JavaScript is disabled in your browser. Please enable JavaScript to view this website.
AB226816

Anti-Integrin alpha 5 antibody

4

(1 Review)

|

(1 Publication)

Rabbit Polyclonal Integrin alpha 5 antibody. Suitable for WB and reacts with Mouse, Rat, Human samples. Cited in 1 publication. Immunogen corresponding to Recombinant Fragment Protein within Human ITGA5.

View Alternative Names

CD49e, FNRA, ITGA5, Integrin alpha-5, CD49 antigen-like family member E, Fibronectin receptor subunit alpha, Integrin alpha-F, VLA-5

3 Images
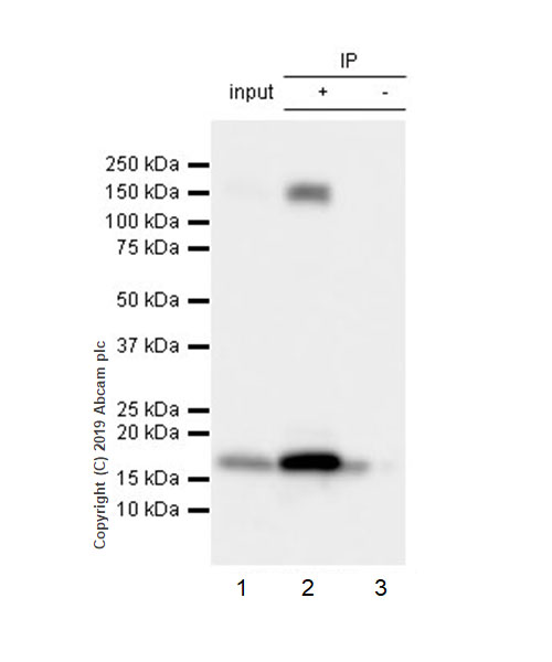
Western blot - Anti-Integrin alpha 5 antibody (AB226816)
  • WB

Supplier Data

Western blot - Anti-Integrin alpha 5 antibody (AB226816)

All lanes:

Western blot - Anti-Integrin alpha 5 antibody (ab226816) at 1/5000 dilution

Lane 1:

MDA-MB-231 (human breast adenocarcinoma cell line) cell lysate at 30 µg

Lane 2:

MDA-MB-231 membrane extract lysate at 30 µg

Predicted band size: 115 kDa,47 kDa

true

Western blot - Anti-Integrin alpha 5 antibody (AB226816)
  • WB

Supplier Data

Western blot - Anti-Integrin alpha 5 antibody (AB226816)

All lanes:

Western blot - Anti-Integrin alpha 5 antibody (ab226816) at 1/5000 dilution

All lanes:

Rat liver tissue lysate at 50 µg

Secondary

All lanes:

HRP-conjugated anti-rabbit IgG

Predicted band size: 115 kDa

true

Western blot - Anti-Integrin alpha 5 antibody (AB226816)
  • WB

Supplier Data

Western blot - Anti-Integrin alpha 5 antibody (AB226816)

All lanes:

Western blot - Anti-Integrin alpha 5 antibody (ab226816) at 1/5000 dilution

All lanes:

Mouse liver tissue lysate at 50 µg

Secondary

All lanes:

HRP-conjugated anti-rabbit IgG

Predicted band size: 115 kDa

true

Key facts

Host species

Rabbit

Clonality

Polyclonal

Isotype

IgG

Carrier free

No

Reacts with

Mouse, Rat, Human

Applications

WB

applications

Immunogen

Recombinant Fragment Protein within Human ITGA5. The exact immunogen used to generate this antibody is proprietary information.

P08648

Reactivity data

{ "title": "Reactivity Data", "filters": { "stats": ["", "Species", "Dilution Info", "Notes"], "tabs": { "all-applications": {"fullname" : "All Applications", "shortname": "All Applications"}, "WB" : {"fullname" : "Western blot", "shortname":"WB"} }, "product-promise": { "all": "all", "testedAndGuaranteed": "tested", "guaranteed": "expected", "predicted": "predicted", "notRecommended": "not-recommended" } }, "values": { "Human": { "WB-species-checked": "testedAndGuaranteed", "WB-species-dilution-info": "1/1000 - 1/10000", "WB-species-notes": "<p></p>" }, "Mouse": { "WB-species-checked": "testedAndGuaranteed", "WB-species-dilution-info": "1/1000 - 1/10000", "WB-species-notes": "<p></p>" }, "Rat": { "WB-species-checked": "testedAndGuaranteed", "WB-species-dilution-info": "1/1000 - 1/10000", "WB-species-notes": "<p></p>" } } }

Properties and storage information

Form
Liquid
Purification technique
Affinity purification Immunogen
Storage buffer
pH: 7 Preservative: 0.025% Proclin 300 Constituents: 79% PBS, 20% Glycerol (glycerin, glycerine)
Shipped at conditions
Blue Ice
Appropriate short-term storage duration
1-2 weeks
Appropriate short-term storage conditions
+4°C
Appropriate long-term storage conditions
-20°C
Aliquoting information
Upon delivery aliquot
Storage information
Avoid freeze / thaw cycle

Supplementary information

This supplementary information is collated from multiple sources and compiled automatically.

Integrin alpha 5 also known as CD49e or ITGA5 is a subunit of the integrin family that forms heterodimers with beta 1 integrin. It has an approximate mass of 130 kDa. This protein mainly expresses in various tissues including fibroblasts endothelial cells and certain epithelial cells. Integrin alpha 5 mediates cell adhesion by binding to fibronectin an important extracellular matrix protein helping cells stay attached to their surrounding environment.
Biological function summary

Integrin alpha 5 plays a significant role in cellular processes such as migration proliferation and differentiation. It pairs with beta 1 integrin to form the alpha 5 beta 1 integrin complex. This complex facilitates the transmission of mechanical and chemical signals between the extracellular matrix and the cell interior. Integrin alpha 5 also interacts with intracellular proteins like talin and kindlin which are essential for initiating and strengthening the linkage to the actin cytoskeleton.

Pathways

Integrin alpha 5 is involved in the regulation of several critical signaling pathways. It prominently features within the MAPK/ERK pathway and the focal adhesion signaling pathway. Through these pathways integrin alpha 5 influences cell survival proliferation and migration. It interacts with proteins such as paxillin and focal adhesion kinase (FAK) within these pathways contributing to cellular responses to external stimuli.

Integrin alpha 5 is linked to conditions such as cancer and fibrosis. Overexpression or aberrant regulation of this integrin often associates with tumorigenesis particularly in breast and colorectal cancers enhancing cancer cell migration and invasion. Integrin alpha 5 is also connected to proteins like matrix metalloproteinases (MMPs) which play roles in extracellular matrix remodeling and are involved in fibrotic diseases. These associations highlight the importance of integrin alpha 5 in pathological processes and its potential as a target for therapeutic intervention.

Product protocols

For this product, it's our understanding that no specific protocols are required. You can visit:

Target data

Integrin alpha-5/beta-1 (ITGA5 : ITGB1) is a receptor for fibronectin and fibrinogen. It recognizes the sequence R-G-D in its ligands. ITGA5 : ITGB1 binds to PLA2G2A via a site (site 2) which is distinct from the classical ligand-binding site (site 1) and this induces integrin conformational changes and enhanced ligand binding to site 1 (PubMed : 18635536, PubMed : 25398877). ITGA5 : ITGB1 acts as a receptor for fibrillin-1 (FBN1) and mediates R-G-D-dependent cell adhesion to FBN1 (PubMed : 12807887, PubMed : 17158881). ITGA5 : ITGB1 acts as a receptor for fibronectin (FN1) and mediates R-G-D-dependent cell adhesion to FN1 (PubMed : 33962943). ITGA5 : ITGB1 is a receptor for IL1B and binding is essential for IL1B signaling (PubMed : 29030430). ITGA5 : ITGB3 is a receptor for soluble CD40LG and is required for CD40/CD40LG signaling (PubMed : 31331973).. (Microbial infection) Integrin ITGA5 : ITGB1 acts as a receptor for Human metapneumovirus.. (Microbial infection) Integrin ITGA2 : ITGB1 acts as a receptor for Human parvovirus B19.. (Microbial infection) In case of HIV-1 infection, the interaction with extracellular viral Tat protein seems to enhance angiogenesis in Kaposi's sarcoma lesions.
See full target information ITGA5

Publications (1)

Recent publications for all applications. Explore the full list and refine your search

OncoTargets and therapy 13:5323-5335 PubMed32606750

2020

Connexin 43 Modulates the Cellular Resistance to Paclitaxel via Targeting β-Tubulin in Triple-Negative Breast Cancer.

Applications

Unspecified application

Species

Unspecified reactive species

Yun Fu,Xiaoyin Sun,Zhangyuan Gu,Zhigang Zhuang
View all publications

Product promise

We are committed to supporting your work with high-quality reagents, and we're here for you every step of the way. In the unlikely event that one of our products does not perform as expected, you're protected by our Product Promise.
For full details, please see our Terms & Conditions

Please note: All products are 'FOR RESEARCH USE ONLY. NOT FOR USE IN DIAGNOSTIC OR THERAPEUTIC PROCEDURES'.

For licensing inquiries, please contact partnerships@abcam.com