JavaScript is disabled in your browser. Please enable JavaScript to view this website.
AB181551

Anti-Integrin alpha 6 antibody [EPR18124]

4

(6 Reviews)

|

(56 Publications)

Anti-Integrin alpha 6 antibody [EPR18124] (ab181551) is a rabbit monoclonal antibody detecting Integrin alpha 6 in Western Blot, IHC-P, IHC-Fr. Suitable for Human, Mouse, Rat.

- KO validated for confirmed specificity
- Biophysical QC for unrivalled batch-batch consistency
- Over 30 publications

View Alternative Names

CD49f, Integrin alpha-6, CD49 antigen-like family member F, VLA-6, ITGA6

12 Images
Immunohistochemistry (Formalin/PFA-fixed paraffin-embedded sections) - Anti-Integrin alpha 6 antibody [EPR18124] (AB181551)
  • IHC-P

Supplier Data

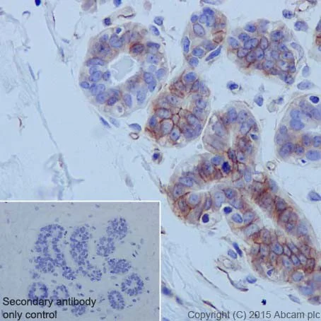
Immunohistochemistry (Formalin/PFA-fixed paraffin-embedded sections) - Anti-Integrin alpha 6 antibody [EPR18124] (AB181551)

Immunohistochemical analysis of paraffin-embedded Human endometrial cancer tissue labeling Intergrin alpha 6 with ab181551 at 1/500 followed by Goat Anti-Rabbit IgG (HRP) at 1/500.

Membrane and cytoplasm staining on tumor cells of Human endometrial cancer tissue is observed.

Counter stained with Hematoxylin.
Negative control : Used PBS instead of primary antibody followed by Goat Anti-Rabbit IgG (HRP) at 1/500.

Perform heat mediated antigen retrieval with Tris/EDTA buffer pH 9.0 before commencing with IHC staining protocol.

Immunohistochemistry (Formalin/PFA-fixed paraffin-embedded sections) - Anti-Integrin alpha 6 antibody [EPR18124] (AB181551)
  • IHC-P

Supplier Data

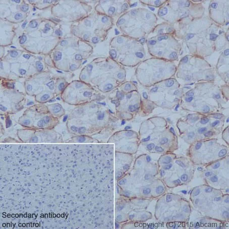
Immunohistochemistry (Formalin/PFA-fixed paraffin-embedded sections) - Anti-Integrin alpha 6 antibody [EPR18124] (AB181551)

Immunohistochemical analysis of paraffin-embedded Human breast tissue labeling Intergrin alpha 6 with ab181551 at 1/500 followed by Goat Anti-Rabbit IgG (HRP) at 1/500.

Membrane and cytoplasm staining on epithelial cells of Human breast tissue is observed.

Counter stained with Hematoxylin.
Negative control : Used PBS instead of primary antibody followed by Goat Anti-Rabbit IgG (HRP) at 1/500.

Perform heat mediated antigen retrieval with Tris/EDTA buffer pH 9.0 before commencing with IHC staining protocol.

Immunohistochemistry (Frozen sections) - Anti-Integrin alpha 6 antibody [EPR18124] (AB181551)
  • IHC-Fr

Unknown

Immunohistochemistry (Frozen sections) - Anti-Integrin alpha 6 antibody [EPR18124] (AB181551)

Immunohistochemistry (Frozen sections) analysis of mouse stomach tissue (4% PFA, 0.2% Tritron x-100) labelling Integrin alpha 6 with ab240252 at 1/100 dilution. ab150077 Goat Anti-Rabbit IgG H&L (Alexa Fluor® 488) was used as the secondary antibody at 1/1000 dilution. Negative control using PBS instead of primary antibody (left). Counterstained with DAPI.

Positive staining was seen on mouse stomach.

Immunohistochemistry (Frozen sections) - Anti-Integrin alpha 6 antibody [EPR18124] (AB181551)
  • IHC-Fr

Unknown

Immunohistochemistry (Frozen sections) - Anti-Integrin alpha 6 antibody [EPR18124] (AB181551)

Immunohistochemistry (Frozen sections) analysis of rat stomach tissue (4% PFA, 0.2% Tritron x-100) labelling Integrin alpha 6 with ab240252 at 1/100 dilution. ab150077 Goat Anti-Rabbit IgG H&L (Alexa Fluor® 488) was used as the secondary antibody at 1/1000 dilution. Negative control using PBS instead of primary antibody (left). Counterstained with DAPI.

Positive staining was seen on rat stomach.

Immunohistochemistry (Formalin/PFA-fixed paraffin-embedded sections) - Anti-Integrin alpha 6 antibody [EPR18124] (AB181551)
  • IHC-P

Supplier Data

Immunohistochemistry (Formalin/PFA-fixed paraffin-embedded sections) - Anti-Integrin alpha 6 antibody [EPR18124] (AB181551)

Immunohistochemical analysis of paraffin-embedded Rat stomach tissue labeling Intergrin alpha 6 with ab181551 at 1/500 followed by Goat Anti-Rabbit IgG (HRP) at 1/500.

Basement membrane staining on tumor cells of Rat stomach tissue is observed.

Counter stained with Hematoxylin.
Negative control : Used PBS instead of primary antibody followed by Goat Anti-Rabbit IgG (HRP) at 1/500.

Perform heat mediated antigen retrieval with Tris/EDTA buffer pH 9.0 before commencing with IHC staining protocol.

Immunohistochemistry (Formalin/PFA-fixed paraffin-embedded sections) - Anti-Integrin alpha 6 antibody [EPR18124] (AB181551)
  • IHC-P

Supplier Data

Immunohistochemistry (Formalin/PFA-fixed paraffin-embedded sections) - Anti-Integrin alpha 6 antibody [EPR18124] (AB181551)

Immunohistochemical analysis of paraffin-embedded Mouse stomach tissue labeling Intergrin alpha 6 with ab181551 at 1/500 followed by Goat Anti-Rabbit IgG (HRP) at 1/500.

Basement membrane staining on tumor cells of Mouse stomach tissue is observed.

Counter stained with Hematoxylin.
Negative control : Used PBS instead of primary antibody followed by Goat Anti-Rabbit IgG (HRP) at 1/500.

Perform heat mediated antigen retrieval with Tris/EDTA buffer pH 9.0 before commencing with IHC staining protocol.

Western blot - Anti-Integrin alpha 6 antibody [EPR18124] (AB181551)
  • WB

Lab

Western blot - Anti-Integrin alpha 6 antibody [EPR18124] (AB181551)

Lanes 1 - 3 : Merged signal (red and green). Green - ab181551 observed at 130 kDa. Red - loading control ab8245 (Mouse anti-GAPDH antibody [6C5]) observed at 37kDa.

ab181551 was shown to react with Integrin alpha 6 in wild-type SW480 cells in western blot with loss of signal observed in ITGA6 knockout cell line ab265838 (knockout cell lysate ab256957). Wild-type and ITGA6 knockout SW480 cell lysates were subjected to SDS-PAGE. Membranes were blocked in 3% milk in TBS-T (0.1% Tween®) before incubation with ab181551 and ab8245 (Mouse anti-GAPDH antibody [6C5]) overnight at 4°C at a 1 in 2000 dilution and a 1 in 20000 dilution respectively. Blots were incubated with Goat anti-Rabbit IgG H&L (IRDye® 800CW) preabsorbed (ab216773) and Goat anti-Mouse IgG H&L (IRDye® 680RD) preabsorbed (ab216776) secondary antibodies at 1 in 20000 dilution for 1 hour at room temperature before imaging.

All lanes:

Western blot - Anti-Integrin alpha 6 antibody [EPR18124] (ab181551) at 1/2000 dilution

Lane 1:

Wild-type SW480 cell lysate at 20 µg

Lane 2:

ITGA6 knockout SW480 cell lysate at 20 µg

Lane 3:

HEK-293 cell lysate at 20 µg

Secondary

All lanes:

Goat anti-Rabbit IgG H&L preabsorbed (<a href='/en-us/products/secondary-antibodies/goat-rabbit-igg-h-l-irdye-800cw-preadsorbed-ab216773'>ab216773</a>) and Goat anti-Mouse IgG H&L preabsorbed (<a href='/en-us/products/secondary-antibodies/goat-mouse-igg-h-l-irdye-680rd-preadsorbed-ab216776'>ab216776</a>) at 1/20000 dilution

Predicted band size: 126 kDa

Observed band size: 130 kDa

false

Western blot - Anti-Integrin alpha 6 antibody [EPR18124] (AB181551)
  • WB

Supplier Data

Western blot - Anti-Integrin alpha 6 antibody [EPR18124] (AB181551)

Blocking and diluting buffer was 5% NFDM /TBST.

All lanes:

Western blot - Anti-Integrin alpha 6 antibody [EPR18124] (ab181551) at 1/10000 dilution

Lane 1:

SW480 (Human colon adenocarcinoma cell line) whole cell lysate at 20 µg

Lane 2:

A549 (Human lung carcinoma) whole cell lysate at 20 µg

Lane 3:

Mouse skin lysate at 20 µg

Lane 4:

Rat skin lysate at 20 µg

Secondary

All lanes:

Goat Anti-Rabbit IgG, (H+L),Peroxidase conjugated at 1/1000 dilution

Predicted band size: 126 kDa

Observed band size: 127 kDa

true

Exposure time: 3min

Western blot - Anti-Integrin alpha 6 antibody [EPR18124] (AB181551)
  • WB

Supplier Data

Western blot - Anti-Integrin alpha 6 antibody [EPR18124] (AB181551)

Blocking and diluting buffer was 5% NFDM /TBST.

All lanes:

Western blot - Anti-Integrin alpha 6 antibody [EPR18124] (ab181551) at 1/2000 dilution

All lanes:

Human fetal kidney tissue lysate at 10 µg

Secondary

All lanes:

Anti-Rabbit IgG (HRP), specific to the non-reduced form of IgG at 1/1000 dilution

Predicted band size: 126 kDa

Observed band size: 127 kDa

true

Exposure time: 3min

Western blot - Anti-Integrin alpha 6 antibody [EPR18124] (AB181551)
  • WB

Lab

Western blot - Anti-Integrin alpha 6 antibody [EPR18124] (AB181551)

Lanes 1 - 3 : Merged signal (red and green). Green - ab181551 observed at 130 kDa. Red - loading control ab8245 (Mouse anti-GAPDH antibody [6C5]) observed at 37kDa.

ab181551 was shown to react with Integrin alpha 6 in wild-type SW480 cells in western blot with loss of signal observed in ITGA6 knockout cell line ab265838 (knockout cell lysate ab256957). Wild-type and ITGA6 knockout SW480 cell lysates were subjected to SDS-PAGE. Membranes were blocked in 3% milk in TBS-T (0.1% Tween®) before incubation with ab181551 and ab8245 (Mouse anti-GAPDH antibody [6C5]) overnight at 4°C at a 1 in 2000 dilution and a 1 in 20000 dilution respectively. Blots were incubated with Goat anti-Rabbit IgG H&L (IRDye® 800CW) preabsorbed (ab216773) and Goat anti-Mouse IgG H&L (IRDye® 680RD) preabsorbed (ab216776) secondary antibodies at 1 in 20000 dilution for 1 hour at room temperature before imaging.

All lanes:

Western blot - Anti-Integrin alpha 6 antibody [EPR18124] (ab181551) at 1/2000 dilution

Lane 1:

Wild-type SW480 cell lysate at 20 µg

Lane 2:

ITGA6 knockout SW480 cell lysate at 20 µg

Lane 2:

Western blot - Human ITGA6 (Integrin alpha 6) knockout HeLa cell line (<a href='/en-us/products/cell-lines/human-itga6-integrin-alpha-6-knockout-hela-cell-line-ab265838'>ab265838</a>)

Lane 3:

HEK-293 cell lysate at 20 µg

Predicted band size: 126 kDa,127 kDa

Observed band size: 130 kDa

false

Western blot - Anti-Integrin alpha 6 antibody [EPR18124] (AB181551)
  • WB

Supplier Data

Western blot - Anti-Integrin alpha 6 antibody [EPR18124] (AB181551)

Blocking and diluting buffer was 5% NFDM /TBST

All lanes:

Western blot - Anti-Integrin alpha 6 antibody [EPR18124] (ab181551) at 1/10000 dilution

Lane 1:

F9 (mouse embryo testicular cancer cell line) whole cell lysate at 10 µg

Lane 2:

Rat spleen tissue lysate at 10 µg

Secondary

All lanes:

Goat Anti-Rabbit IgG, (H+L),Peroxidase conjugated at 1/1000 dilution

Predicted band size: 126 kDa

Observed band size: 127 kDa

true

Exposure time: 3min

Western blot - Anti-Integrin alpha 6 antibody [EPR18124] (AB181551)
  • WB

Supplier Data

Western blot - Anti-Integrin alpha 6 antibody [EPR18124] (AB181551)

Blocking and diluting buffer was 5% NFDM /TBST

All lanes:

Western blot - Anti-Integrin alpha 6 antibody [EPR18124] (ab181551) at 1/2000 dilution

Lane 1:

Mouse kidney tissue lysate at 10 µg

Lane 2:

Mouse spleen tissue lysate at 10 µg

Secondary

All lanes:

Goat Anti-Rabbit IgG, (H+L),Peroxidase conjugated at 1/1000 dilution

Predicted band size: 126 kDa

Observed band size: 127 kDa

true

Exposure time: 10s

Key facts

Host species

Rabbit

Clonality

Monoclonal

Clone number

EPR18124

Isotype

IgG

Carrier free

No

Reacts with

Mouse, Rat, Human

Applications

WB, IHC-P, IHC-Fr

applications

Immunogen

The exact immunogen used to generate this antibody is proprietary information.

Reactivity data

{ "title": "Reactivity Data", "filters": { "stats": ["", "Species", "Dilution Info", "Notes"], "tabs": { "all-applications": {"fullname" : "All Applications", "shortname": "All Applications"}, "WB" : {"fullname" : "Western blot", "shortname":"WB"}, "IHCFr" : {"fullname" : "Immunohistochemistry (Frozen sections)", "shortname":"IHC-Fr"}, "IHCP" : {"fullname" : "Immunohistochemistry (Formalin/PFA-fixed paraffin-embedded sections)", "shortname":"IHC-P"} }, "product-promise": { "all": "all", "testedAndGuaranteed": "tested", "guaranteed": "expected", "predicted": "predicted", "notRecommended": "not-recommended" } }, "values": { "Human": { "WB-species-checked": "testedAndGuaranteed", "WB-species-dilution-info": "1/2000", "WB-species-notes": "<p></p>", "IHCFr-species-checked": "guaranteed", "IHCFr-species-dilution-info": "", "IHCFr-species-notes": "", "IHCP-species-checked": "testedAndGuaranteed", "IHCP-species-dilution-info": "1/500", "IHCP-species-notes": "<p></p>" }, "Mouse": { "WB-species-checked": "testedAndGuaranteed", "WB-species-dilution-info": "1/2000", "WB-species-notes": "<p></p>", "IHCFr-species-checked": "testedAndGuaranteed", "IHCFr-species-dilution-info": "1/100", "IHCFr-species-notes": "<p></p>", "IHCP-species-checked": "testedAndGuaranteed", "IHCP-species-dilution-info": "1/500", "IHCP-species-notes": "<p></p>" }, "Rat": { "WB-species-checked": "testedAndGuaranteed", "WB-species-dilution-info": "1/2000", "WB-species-notes": "<p></p>", "IHCFr-species-checked": "testedAndGuaranteed", "IHCFr-species-dilution-info": "1/100", "IHCFr-species-notes": "<p></p>", "IHCP-species-checked": "testedAndGuaranteed", "IHCP-species-dilution-info": "1/500", "IHCP-species-notes": "<p></p>" } } }

Product details

What is this antibody validated in?
Anti-Integrin alpha 6 antibody [EPR18124] (ab181551) is a rabbit recombinant monoclonal antibody and is validated for use in Western Blot (WB), Immunohistochemistry (IHC-P), Immunohistochemistry (IHC-Fr) in Human, Mouse, Rat samples.

What is the molecular weight of Integrin alpha 6?
Anti-Integrin alpha 6 [EPR18124] (ab181551) specifically detects a band for Integrin alpha 6 (UniProt: P23229) at a molecular weight of 127kDa.

Trusted by the scientific community
Anti-Integrin alpha 6 [EPR18124] (ab181551) was first used in a scientific publication in 2015 and has been cited over 30 times in peer-reviewed journals.

Reviewed by scientists
Anti-Integrin alpha 6 [EPR18124] (ab181551) has over 5 independent reviews from customers.

Trial sizes available!
Test your antibody or perform pre-screening before committing to a larger quantity. Sold in 10µl. Discover our selection of trial-size antibodies.

Specificity confirmed
The specificity of Anti-Integrin alpha 6 antibody [EPR18124] (ab181551) has been confirmed by Western blot testing in ITGA6 Knockout SW480 cell line, ab265838.

Other related products
We have a range of other formats of antibody clone [EPR18124] also available for your convenience: ab181551, Carrier free - ab240252, Alexa Fluor® 488 - ab311018, Alexa Fluor® 647 - ab311146, Alexa Fluor® 594 - ab311787, Alexa Fluor® 568 - ab313068, Alexa Fluor® 555 - ab313265, Alexa Fluor® 750 - ab321254

Patented technology
Our RabMAb® technology is a patented hybridoma-based technology for making rabbit monoclonal antibodies. For details on our patents, please refer to RabMAb® patents.

What are the advantages of a recombinant monoclonal antibody?
This product is a recombinant monoclonal antibody, which offers several advantages including:

  • - High batch-to-batch consistency and reproducibility
  • - Improved sensitivity and specificity
  • - Long-term security of supply
  • - Animal-free batch production

For more information, read more on recombinant antibodies.

Properties and storage information

Form
Liquid
Purification technique
Affinity purification Protein A
Storage buffer
Preservative: 0.01% Sodium azide Constituents: PBS, 40% Glycerol (glycerin, glycerine), 0.05% BSA
Shipped at conditions
Blue Ice
Appropriate short-term storage duration
1-2 weeks
Appropriate short-term storage conditions
+4°C
Appropriate long-term storage conditions
-20°C
Aliquoting information
Upon delivery aliquot
Storage information
Avoid freeze / thaw cycle

Supplementary information

This supplementary information is collated from multiple sources and compiled automatically.

Integrin alpha 6 also known as ITGA6 or CD49f functions as a transmembrane receptor protein involved in cell adhesion and signal transduction. As part of the broader integrin family integrin alpha 6 typically pairs with the beta 1 or beta 4 subunits forming the alpha6beta1 or alpha6beta4 integrins respectively. It has a molecular mass of approximately 150 kDa. This protein is mainly expressed in epithelial cells but also found in platelets certain immune cells and in the nervous system. Its expression patterns highlight its role in a variety of cellular and tissue functions.
Biological function summary

The integrin alpha 6 protein partners with the beta 4 subunit to form a heterodimer complex that plays an important role in cellular adhesion to the extracellular matrix specifically interacting with laminins. Its main action helps cells attach to the basement membrane which is an important component of epithelial tissue structure and integrity. The alpha 6 integrin provides structural cell support and participates in transmitting signals that influence cell behavior such as movement survival and proliferation.

Pathways

Integrins including the alpha 6 variant are important components in the integrin signaling pathway and are involved in cell motility and survival pathways. In particular the alpha 6 integrin partners with proteins like focal adhesion kinase (FAK) and phosphoinositide 3-kinase (PI3K) to initiate downstream signaling cascades. The interaction with laminins activates pathways critical for developmental processes and tissue remodeling highlighting their role in maintaining cellular environments.

Integrin alpha 6 has significant implications in cancer progression and skin blistering disorders. In various cancers such as breast and skin cancers upregulation of integrin alpha 6 promotes tumor growth and metastasis through interaction with proteins like collagen and laminins found in the tumor microenvironment. Furthermore in the context of blistering disorders such as epidermolysis bullosa mutations in the beta 4 subunit that pairs with alpha 6 can disrupt the integrity of epithelial tissues leading to severe impact on the skin's structural stability.

Product protocols

For this product, it's our understanding that no specific protocols are required. You can visit:

Target data

Integrin alpha-6/beta-1 (ITGA6 : ITGB1) is a receptor for laminin on platelets (By similarity). Integrin alpha-6/beta-1 (ITGA6 : ITGB1) is present in oocytes and is involved in sperm-egg fusion (By similarity). Integrin alpha-6/beta-4 (ITGA6 : ITGB4) is a receptor for laminin in epithelial cells and it plays a critical structural role in the hemidesmosome (By similarity). ITGA6 : ITGB4 binds to NRG1 (via EGF domain) and this binding is essential for NRG1-ERBB signaling (PubMed : 20682778). ITGA6 : ITGB4 binds to IGF1 and this binding is essential for IGF1 signaling (PubMed : 22351760). ITGA6 : ITGB4 binds to IGF2 and this binding is essential for IGF2 signaling (PubMed : 28873464).
See full target information ITGA6

Publications (56)

Recent publications for all applications. Explore the full list and refine your search

Nature communications 16:7287 PubMed40775187

2025

Galectin-3-integrin α5β1 phase separation disrupted by advanced glycation end-products impairs diabetic wound healing in rodents.

Applications

Unspecified application

Species

Unspecified reactive species

Zhongyu Zhang,Zhengde Zhao,Xiuyi Huang,Lifang Zhou,Xin Jiang,Haoliang Wu,Chenshu Liu,Kan Huang,Jielu Wen,Yunchong Liu,Michelle C Miller,Zihan Zhao,Zhen He,Yuxin Wang,Siyu Liu,Lijin Huang,Lining Yuan,Renli Zeng,Zhipeng Cen,Anning Chen,Yanbo Chen,Gang Zeng,Wenzhou Liu,Xiaosi Hong,Meng Ren,Li Yan,Yang Zhang,Dongxian Guan,Xiaoyu Tian,Weikang Cai,Guihua Tai,Kevin H Mayo,Yifa Zhou,Zilun Li,Sifan Chen

Cancer research communications 5:1319-1331 PubMed40728119

2025

Collagen XVII Promotes Pancreatic Ductal Adenocarcinoma Tumor Growth through Regulation of PIK3R5.

Applications

Unspecified application

Species

Unspecified reactive species

Thomas Hank,Annie Li,Louisa Bolm,Marta Sandini,Taisuke Baba,Natalie Petruch,Julia Strässer,Kenzui Taniue,Jon M Harrison,Mari Mino-Kenudson,David T Ting,Keith D Lillemoe,Andrew L Warshaw,Carlos Fernández-Del Castillo,Kim C Honselmann,Andrew S Liss

Molecular medicine reports 31: PubMed39981899

2025

Recombinant human collagen XVII protects skin basement membrane integrity by inhibiting the MAPK and Wnt signaling pathways.

Applications

Unspecified application

Species

Unspecified reactive species

Jing Wang,Simin Lin,Yun Wei,Zhangying Ye

The Journal of cell biology 223: PubMed38551497

2024

Subpopulation commensalism promotes Rac1-dependent invasion of single cells via laminin-332.

Applications

Unspecified application

Species

Unspecified reactive species

Sung Bo Yoon,Luxiao Chen,Isaac E Robinson,Tala O Khatib,Robert A Arthur,Henry Claussen,Najdat M Zohbi,Hao Wu,Janna K Mouw,Adam I Marcus

Cancer research 84:1781-1798 PubMed38507720

2024

A Subpopulation of Luminal Progenitors Secretes Pleiotrophin to Promote Angiogenesis and Metastasis in Inflammatory Breast Cancer.

Applications

Unspecified application

Species

Unspecified reactive species

Mengmeng Zhang,Kaiwen Zhou,Zilin Wang,Ting Liu,Laura E Stevens,Filipa Lynce,Wendy Y Chen,Sui Peng,Yubin Xie,Duanyang Zhai,Qianjun Chen,Yawei Shi,Huijuan Shi,Zhongyu Yuan,Xiaoping Li,Juan Xu,Zhenhai Cai,Jianping Guo,Nan Shao,Ying Lin

Journal of translational medicine 22:288 PubMed38493128

2024

Single-cell transcriptomic sequencing data reveal aberrant DNA methylation in SMAD3 promoter region in tumor-associated fibroblasts affecting molecular mechanism of radiosensitivity in non-small cell lung cancer.

Applications

Unspecified application

Species

Unspecified reactive species

Fushi Han,Shuzhen Chen,Kangwei Zhang,Kunming Zhang,Meng Wang,Peijun Wang

Biomaterials advances 159:213825 PubMed38479242

2024

Material matters: Degradation products affect regenerating Schwann cells.

Applications

Unspecified application

Species

Unspecified reactive species

Kendell M Pawelec,Jeremy M L Hix,Erik M Shapiro

Regenerative therapy 25:113-127 PubMed38226057

2024

Simultaneous binding of bFGF to both FGFR and integrin maintains properties of primed human induced pluripotent stem cells.

Applications

Unspecified application

Species

Unspecified reactive species

Yu-Shen Cheng,Yukimasa Taniguchi,Yasuhiro Yunoki,Satomi Masai,Mizuho Nogi,Hatsuki Doi,Kiyotoshi Sekiguchi,Masato Nakagawa

Journal of experimental & clinical cancer research : CR 42:328 PubMed38031171

2023

Unveiling the role of osteosarcoma-derived secretome in premetastatic lung remodelling.

Applications

Unspecified application

Species

Unspecified reactive species

Sara F F Almeida,Liliana Santos,Gabriela Sampaio-Ribeiro,Hugo R S Ferreira,Nuno Lima,Rui Caetano,Mónica Abreu,Mónica Zuzarte,Ana Sofia Ribeiro,Artur Paiva,Tânia Martins-Marques,Paulo Teixeira,Rui Almeida,José Manuel Casanova,Henrique Girão,Antero J Abrunhosa,Célia M Gomes

Molecular cancer research : MCR 22:169-180 PubMed37878345

2023

Spatial Transcriptomics Suggests That Alterations Occur in the Preneoplastic Breast Microenvironment of BRCA1/2 Mutation Carriers.

Applications

Unspecified application

Species

Unspecified reactive species

Anthony Caputo,Kavya Vipparthi,Peter Bazeley,Erinn Downs-Kelly,Patrick McIntire,Lauren A Duckworth,Ying Ni,Bo Hu,Ruth A Keri,Mihriban Karaayvaz
View all publications

Product promise

We are committed to supporting your work with high-quality reagents, and we're here for you every step of the way. In the unlikely event that one of our products does not perform as expected, you're protected by our Product Promise.
For full details, please see our Terms & Conditions

Please note: All products are 'FOR RESEARCH USE ONLY. NOT FOR USE IN DIAGNOSTIC OR THERAPEUTIC PROCEDURES'.

For licensing inquiries, please contact partnerships@abcam.com