JavaScript is disabled in your browser. Please enable JavaScript to view this website.
AB240252

Anti-Integrin alpha 6 antibody [EPR18124] - BSA and Azide free

Be the first to review this product! Submit a review

|

(2 Publications)

Rabbit Recombinant Monoclonal Integrin alpha 6 antibody. Carrier free. Suitable for WB, IHC-Fr, IHC-P and reacts with Human, Mouse, Rat samples. Cited in 2 publications.

View Alternative Names

CD49f, Integrin alpha-6, CD49 antigen-like family member F, VLA-6, ITGA6

7 Images
Immunohistochemistry (Formalin/PFA-fixed paraffin-embedded sections) - Anti-Integrin alpha 6 antibody [EPR18124] - BSA and Azide free (AB240252)
  • IHC-P

Supplier Data

Immunohistochemistry (Formalin/PFA-fixed paraffin-embedded sections) - Anti-Integrin alpha 6 antibody [EPR18124] - BSA and Azide free (AB240252)

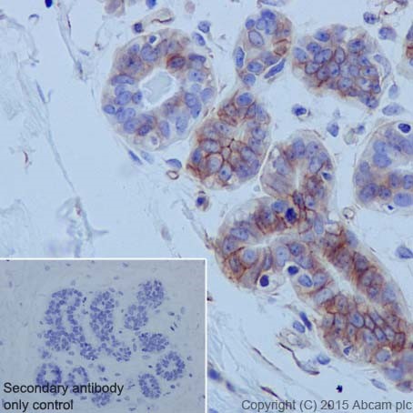
Immunohistochemical analysis of paraffin-embedded Human breast tissue labeling Intergrin alpha 6 with ab181551 at 1/500 followed by Goat Anti-Rabbit IgG (HRP) at 1/500.

Membrane and cytoplasm staining on epithelial cells of Human breast tissue is observed.

Counter stained with Hematoxylin.
Negative control : Used PBS instead of primary antibody followed by Goat Anti-Rabbit IgG (HRP) at 1/500.

This data was developed using the same antibody clone in a different buffer formulation containing PBS, BSA, glycerol, and sodium azide (ab181551).

Perform heat mediated antigen retrieval with Tris/EDTA buffer pH 9.0 before commencing with IHC staining protocol.

Immunohistochemistry (Formalin/PFA-fixed paraffin-embedded sections) - Anti-Integrin alpha 6 antibody [EPR18124] - BSA and Azide free (AB240252)
  • IHC-P

Supplier Data

Immunohistochemistry (Formalin/PFA-fixed paraffin-embedded sections) - Anti-Integrin alpha 6 antibody [EPR18124] - BSA and Azide free (AB240252)

Immunohistochemical analysis of paraffin-embedded Human endometrial cancer tissue labeling Intergrin alpha 6 with ab181551 at 1/500 followed by Goat Anti-Rabbit IgG (HRP) at 1/500.

Membrane and cytoplasm staining on tumor cells of Human endometrial cancer tissue is observed.

Counter stained with Hematoxylin.
Negative control : Used PBS instead of primary antibody followed by Goat Anti-Rabbit IgG (HRP) at 1/500.

This data was developed using the same antibody clone in a different buffer formulation containing PBS, BSA, glycerol, and sodium azide (ab181551).

Perform heat mediated antigen retrieval with Tris/EDTA buffer pH 9.0 before commencing with IHC staining protocol.

Immunohistochemistry (Frozen sections) - Anti-Integrin alpha 6 antibody [EPR18124] - BSA and Azide free (AB240252)
  • IHC-Fr

Unknown

Immunohistochemistry (Frozen sections) - Anti-Integrin alpha 6 antibody [EPR18124] - BSA and Azide free (AB240252)

This data was developed using the same antibody clone in a different buffer formulation - ab181551.

Immunohistochemistry (Frozen sections) analysis of mouse stomach tissue (4% PFA, 0.2% Tritron x-100) labelling Integrin alpha 6 with ab240252 at 1/100 dilution. ab150077 Goat Anti-Rabbit IgG H&L (Alexa Fluor® 488) was used as the secondary antibody at 1/1000 dilution. Negative control using PBS instead of primary antibody (left). Counterstained with DAPI.

Positive staining was seen on mouse stomach.

Immunohistochemistry (Frozen sections) - Anti-Integrin alpha 6 antibody [EPR18124] - BSA and Azide free (AB240252)
  • IHC-Fr

Unknown

Immunohistochemistry (Frozen sections) - Anti-Integrin alpha 6 antibody [EPR18124] - BSA and Azide free (AB240252)

This data was developed using the same antibody clone in a different buffer formulation - ab181551.

Immunohistochemistry (Frozen sections) analysis of rat stomach tissue (4% PFA, 0.2% Tritron x-100) labelling Integrin alpha 6 with ab240252 at 1/100 dilution. ab150077 Goat Anti-Rabbit IgG H&L (Alexa Fluor® 488) was used as the secondary antibody at 1/1000 dilution. Negative control using PBS instead of primary antibody (left). Counterstained with DAPI.

Positive staining was seen on rat stomach.

Immunohistochemistry (Formalin/PFA-fixed paraffin-embedded sections) - Anti-Integrin alpha 6 antibody [EPR18124] - BSA and Azide free (AB240252)
  • IHC-P

Supplier Data

Immunohistochemistry (Formalin/PFA-fixed paraffin-embedded sections) - Anti-Integrin alpha 6 antibody [EPR18124] - BSA and Azide free (AB240252)

Immunohistochemical analysis of paraffin-embedded Mouse stomach tissue labeling Intergrin alpha 6 with ab181551 at 1/500 followed by Goat Anti-Rabbit IgG (HRP) at 1/500.

Basement membrane staining on tumor cells of Mouse stomach tissue is observed.

Counter stained with Hematoxylin.
Negative control : Used PBS instead of primary antibody followed by Goat Anti-Rabbit IgG (HRP) at 1/500.

This data was developed using the same antibody clone in a different buffer formulation containing PBS, BSA, glycerol, and sodium azide (ab181551).

Perform heat mediated antigen retrieval with Tris/EDTA buffer pH 9.0 before commencing with IHC staining protocol.

Immunohistochemistry (Formalin/PFA-fixed paraffin-embedded sections) - Anti-Integrin alpha 6 antibody [EPR18124] - BSA and Azide free (AB240252)
  • IHC-P

Supplier Data

Immunohistochemistry (Formalin/PFA-fixed paraffin-embedded sections) - Anti-Integrin alpha 6 antibody [EPR18124] - BSA and Azide free (AB240252)

Immunohistochemical analysis of paraffin-embedded Rat stomach tissue labeling Intergrin alpha 6 with ab181551 at 1/500 followed by Goat Anti-Rabbit IgG (HRP) at 1/500.

Basement membrane staining on tumor cells of Rat stomach tissue is observed.

Counter stained with Hematoxylin.
Negative control : Used PBS instead of primary antibody followed by Goat Anti-Rabbit IgG (HRP) at 1/500.

This data was developed using the same antibody clone in a different buffer formulation containing PBS, BSA, glycerol, and sodium azide (ab181551).

Perform heat mediated antigen retrieval with Tris/EDTA buffer pH 9.0 before commencing with IHC staining protocol.

Western blot - Anti-Integrin alpha 6 antibody [EPR18124] - BSA and Azide free (AB240252)
  • WB

Lab

Western blot - Anti-Integrin alpha 6 antibody [EPR18124] - BSA and Azide free (AB240252)

This data was developed using the same antibody clone in a different buffer formulation (ab181551).

Lanes 1 - 3 : Merged signal (red and green). Green - ab181551 observed at 130 kDa. Red - loading control ab8245 (Mouse anti-GAPDH antibody [6C5]) observed at 37kDa.

ab181551 was shown to react with Integrin alpha 6 in wild-type SW480 cells in western blot with loss of signal observed in ITGA6 knockout sample. Wild-type and ITGA6 knockout SW480 cell lysates were subjected to SDS-PAGE. Membranes were blocked in 3% milk in TBS-T (0.1% Tween®) before incubation with ab181551 and ab8245 (Mouse anti-GAPDH antibody [6C5]) overnight at 4°C at a 1 in 2000 dilution and a 1 in 20000 dilution respectively. Blots were incubated with Goat anti-Rabbit IgG H&L (IRDye® 800CW) preabsorbed (ab216773) and Goat anti-Mouse IgG H&L (IRDye® 680RD) preabsorbed (ab216776) secondary antibodies at 1 in 20000 dilution for 1 hour at room temperature before imaging.

All lanes:

Western blot - Anti-Integrin alpha 6 antibody [EPR18124] (<a href='/en-us/products/primary-antibodies/integrin-alpha-6-antibody-epr18124-ab181551'>ab181551</a>) at 1/2000 dilution

Lane 1:

Wild-type SW480 cell lysate at 20 µg

Lane 2:

ITGA6 knockout SW480 cell lysate at 20 µg

Lane 2:

Western blot - Human ITGA6 (Integrin alpha 6) knockout HeLa cell line (<a href='/en-us/products/cell-lines/human-itga6-integrin-alpha-6-knockout-hela-cell-line-ab265838'>ab265838</a>)

Lane 3:

HEK-293 cell lysate at 20 µg

Predicted band size: 126 kDa,127 kDa

Observed band size: 130 kDa

false

Key facts

Host species

Rabbit

Clonality

Monoclonal

Clone number

EPR18124

Isotype

IgG

Carrier free

Yes

Reacts with

Mouse, Rat, Human

Applications

IHC-P, IHC-Fr, WB

applications

Immunogen

The exact immunogen used to generate this antibody is proprietary information.

Reactivity data

{ "title": "Reactivity Data", "filters": { "stats": ["", "Species", "Dilution Info", "Notes"], "tabs": { "all-applications": {"fullname" : "All Applications", "shortname": "All Applications"}, "WB" : {"fullname" : "Western blot", "shortname":"WB"}, "IHCFr" : {"fullname" : "Immunohistochemistry (Frozen sections)", "shortname":"IHC-Fr"}, "IHCP" : {"fullname" : "Immunohistochemistry (Formalin/PFA-fixed paraffin-embedded sections)", "shortname":"IHC-P"} }, "product-promise": { "all": "all", "testedAndGuaranteed": "tested", "guaranteed": "expected", "predicted": "predicted", "notRecommended": "not-recommended" } }, "values": { "Human": { "WB-species-checked": "testedAndGuaranteed", "WB-species-dilution-info": "", "WB-species-notes": "<p></p>", "IHCFr-species-checked": "guaranteed", "IHCFr-species-dilution-info": "", "IHCFr-species-notes": "", "IHCP-species-checked": "guaranteed", "IHCP-species-dilution-info": "", "IHCP-species-notes": "" }, "Mouse": { "WB-species-checked": "guaranteed", "WB-species-dilution-info": "", "WB-species-notes": "", "IHCFr-species-checked": "testedAndGuaranteed", "IHCFr-species-dilution-info": "1/100", "IHCFr-species-notes": "<p></p>", "IHCP-species-checked": "testedAndGuaranteed", "IHCP-species-dilution-info": "", "IHCP-species-notes": "<p></p>" }, "Rat": { "WB-species-checked": "guaranteed", "WB-species-dilution-info": "", "WB-species-notes": "", "IHCFr-species-checked": "testedAndGuaranteed", "IHCFr-species-dilution-info": "1/100", "IHCFr-species-notes": "<p></p>", "IHCP-species-checked": "guaranteed", "IHCP-species-dilution-info": "", "IHCP-species-notes": "" } } }

Product details

ab240252 is the carrier-free version of ab181551.

Patented technology
Our RabMAb® technology is a patented hybridoma-based technology for making rabbit monoclonal antibodies. For details on our patents, please refer to RabMAb® patents.

What are the advantages of a recombinant monoclonal antibody?
This product is a recombinant monoclonal antibody, which offers several advantages including:

  • - High batch-to-batch consistency and reproducibility
  • - Improved sensitivity and specificity
  • - Long-term security of supply
  • - Animal-free batch production

For more information, read more on recombinant antibodies.

Conjugation ready
Our carrier-free antibodies are typically supplied in a PBS-only formulation, purified and free of BSA, sodium azide and glycerol. This conjugation-ready format is designed for use with fluorochromes, metal isotopes, oligonucleotides, and enzymes, which makes them ideal for antibody labelling, functional and cell-based assays, flow-based assays (e.g. mass cytometry) and Multiplex Imaging applications.

Use our conjugation kits for antibody conjugates that are ready-to-use in as little as 20 minutes with 1 minute hands-on-time and 100% antibody recovery: available for fluorescent dyes, HRP, biotin and gold.

Compatibility
This product is compatible with the Maxpar® Antibody Labeling Kit from Fluidigm, without the need for antibody preparation. Maxpar® is a trademark of Fluidigm Canada Inc.

Properties and storage information

Form
Liquid
Purification technique
Affinity purification Protein A
Storage buffer
pH: 7.2 - 7.4 Constituents: PBS
Shipped at conditions
Blue Ice
Appropriate short-term storage conditions
+4°C
Appropriate long-term storage conditions
+4°C
Storage information
Do Not Freeze

Supplementary information

This supplementary information is collated from multiple sources and compiled automatically.

Integrin alpha 6 also known as ITGA6 or CD49f functions as a transmembrane receptor protein involved in cell adhesion and signal transduction. As part of the broader integrin family integrin alpha 6 typically pairs with the beta 1 or beta 4 subunits forming the alpha6beta1 or alpha6beta4 integrins respectively. It has a molecular mass of approximately 150 kDa. This protein is mainly expressed in epithelial cells but also found in platelets certain immune cells and in the nervous system. Its expression patterns highlight its role in a variety of cellular and tissue functions.
Biological function summary

The integrin alpha 6 protein partners with the beta 4 subunit to form a heterodimer complex that plays an important role in cellular adhesion to the extracellular matrix specifically interacting with laminins. Its main action helps cells attach to the basement membrane which is an important component of epithelial tissue structure and integrity. The alpha 6 integrin provides structural cell support and participates in transmitting signals that influence cell behavior such as movement survival and proliferation.

Pathways

Integrins including the alpha 6 variant are important components in the integrin signaling pathway and are involved in cell motility and survival pathways. In particular the alpha 6 integrin partners with proteins like focal adhesion kinase (FAK) and phosphoinositide 3-kinase (PI3K) to initiate downstream signaling cascades. The interaction with laminins activates pathways critical for developmental processes and tissue remodeling highlighting their role in maintaining cellular environments.

Integrin alpha 6 has significant implications in cancer progression and skin blistering disorders. In various cancers such as breast and skin cancers upregulation of integrin alpha 6 promotes tumor growth and metastasis through interaction with proteins like collagen and laminins found in the tumor microenvironment. Furthermore in the context of blistering disorders such as epidermolysis bullosa mutations in the beta 4 subunit that pairs with alpha 6 can disrupt the integrity of epithelial tissues leading to severe impact on the skin’s structural stability.

Product protocols

For this product, it's our understanding that no specific protocols are required. You can visit:

Target data

Integrin alpha-6/beta-1 (ITGA6 : ITGB1) is a receptor for laminin on platelets (By similarity). Integrin alpha-6/beta-1 (ITGA6 : ITGB1) is present in oocytes and is involved in sperm-egg fusion (By similarity). Integrin alpha-6/beta-4 (ITGA6 : ITGB4) is a receptor for laminin in epithelial cells and it plays a critical structural role in the hemidesmosome (By similarity). ITGA6 : ITGB4 binds to NRG1 (via EGF domain) and this binding is essential for NRG1-ERBB signaling (PubMed : 20682778). ITGA6 : ITGB4 binds to IGF1 and this binding is essential for IGF1 signaling (PubMed : 22351760). ITGA6 : ITGB4 binds to IGF2 and this binding is essential for IGF2 signaling (PubMed : 28873464).
See full target information ITGA6

Publications (2)

Recent publications for all applications. Explore the full list and refine your search

Cell 187:3120-3140.e29 PubMed38714197

2024

Mapping the cellular biogeography of human bone marrow niches using single-cell transcriptomics and proteomic imaging.

Applications

Unspecified application

Species

Unspecified reactive species

Shovik Bandyopadhyay,Michael P Duffy,Kyung Jin Ahn,Jonathan H Sussman,Minxing Pang,David Smith,Gwendolyn Duncan,Iris Zhang,Jeffrey Huang,Yulieh Lin,Barbara Xiong,Tamjid Imtiaz,Chia-Hui Chen,Anusha Thadi,Changya Chen,Jason Xu,Melissa Reichart,Zachary Martinez,Caroline Diorio,Chider Chen,Vinodh Pillai,Oraine Snaith,Derek Oldridge,Siddharth Bhattacharyya,Ivan Maillard,Martin Carroll,Charles Nelson,Ling Qin,Kai Tan

Journal of cellular and molecular medicine 26:5078-5094 PubMed36071546

2022

ISGylation of EMD promotes its interaction with PDHA to inhibit aerobic oxidation in lung adenocarcinoma.

Applications

Unspecified application

Species

Unspecified reactive species

Congcong Zhang,Jiangtao Cui,Leiqun Cao,Xiaoting Tian,Yayou Miao,Yikun Wang,Shiyu Qiu,Wanxin Guo,Lifang Ma,Jinjing Xia,Xiao Zhang
View all publications

Product promise

We are committed to supporting your work with high-quality reagents, and we're here for you every step of the way. In the unlikely event that one of our products does not perform as expected, you're protected by our Product Promise.
For full details, please see our Terms & Conditions

Please note: All products are 'FOR RESEARCH USE ONLY. NOT FOR USE IN DIAGNOSTIC OR THERAPEUTIC PROCEDURES'.

For licensing inquiries, please contact partnerships@abcam.com