JavaScript is disabled in your browser. Please enable JavaScript to view this website.
AB271932

Anti-Integrin alpha V antibody [EPR16800] - BSA and Azide free

5

(1 Review)

|

(0 Publication)

Rabbit Recombinant Monoclonal Integrin alpha V antibody. Carrier free. Suitable for IP, WB, IHC-P, ICC/IF and reacts with Human, Mouse samples.

View Alternative Names

CD51, MSK8, VNRA, VTNR, ITGAV, Integrin alpha-V, Vitronectin receptor, Vitronectin receptor subunit alpha

5 Images
Immunocytochemistry/ Immunofluorescence - Anti-Integrin alpha V antibody [EPR16800] - BSA and Azide free (AB271932)
  • ICC/IF

Supplier Data

Immunocytochemistry/ Immunofluorescence - Anti-Integrin alpha V antibody [EPR16800] - BSA and Azide free (AB271932)

Immunofluorescent analysis of 100% methanol-fixed, 0.1% Triton X-100 permeabilized A549 (Human lung carcinoma) cells labeling Integrin alpha V with ab179475 at 1/500 dilution, followed by Goat anti-rabbit Alexa Fluor® 488 (IgG) (ab150077) secondary antibody at 1/400 dilution (green).

Confocal image showing membrane and cytoplasm staining on A549 cell line. The nuclear counterstain is DAPI (blue). Tubulin is detected with ab7291 (anti-Tubulin mouse mAb) at 1/500 dilution and ab150120 (goat anti-mouse AlexaFluor®594 secondary antibody) at 1/500 dilution (red).

The negative controls are as follows :

-ve control 1 : ab179475 at 1/500 dilution followed by ab150120 (AlexaFluor®594 Goat anti-Mouse secondary) at 1/500 dilution.

-ve control 2 : ab7291 (anti-Tubulin mouse mAb) at 1/500 dilution followed by ab150077 (Alexa Fluor®488 Goat Anti-Rabbit IgG H&L) at 1/400 dilution.

This data was developed using the same antibody clone in a different buffer formulation containing PBS, BSA, glycerol, and sodium azide (ab179475).

Immunohistochemistry (Formalin/PFA-fixed paraffin-embedded sections) - Anti-Integrin alpha V antibody [EPR16800] - BSA and Azide free (AB271932)
  • IHC-P

Supplier Data

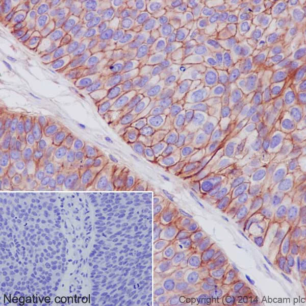
Immunohistochemistry (Formalin/PFA-fixed paraffin-embedded sections) - Anti-Integrin alpha V antibody [EPR16800] - BSA and Azide free (AB271932)

Immunohistochemical analysis of paraffin-embedded human transitional cell carcinoma of bladder tissue labeling Integrin alpha V with ab179475 at 1/500 dilution followed by Goat Anti-Rabbit HRP (IgG H&L) (ab97051) secondary antibody at 1/500 dilution.

Membrane and weak cytoplasm staining on human transitional cell carcinoma of bladder is observed. Counterstained with hematoxylin.

Negative control : Using PBS instead of primary antibody, secondary antibody is Goat Anti-Rabbit IgG H&L (HRP) (ab97051) at 1/500 dilution.

Perform heat mediated antigen retrieval with Tris/EDTA buffer pH 9.0 before commencing with IHC staining protocol.

This data was developed using the same antibody clone in a different buffer formulation containing PBS, BSA, glycerol, and sodium azide (ab179475).

Immunohistochemistry (Formalin/PFA-fixed paraffin-embedded sections) - Anti-Integrin alpha V antibody [EPR16800] - BSA and Azide free (AB271932)
  • IHC-P

Supplier Data

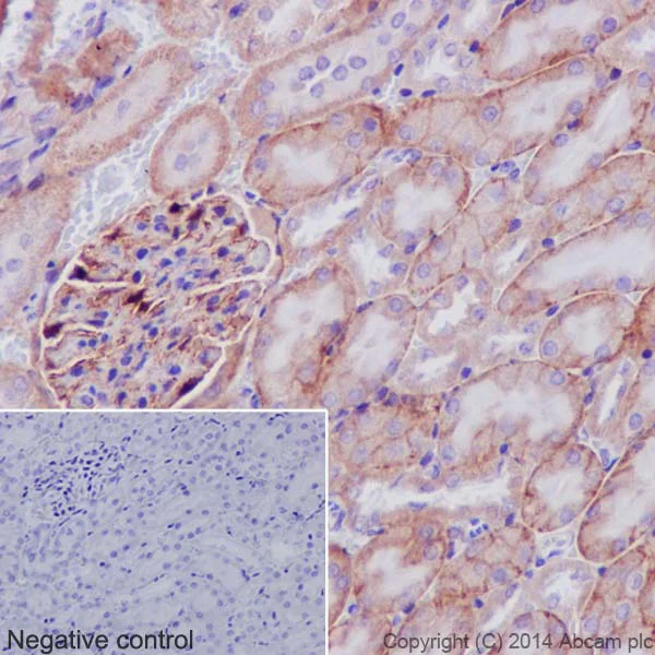
Immunohistochemistry (Formalin/PFA-fixed paraffin-embedded sections) - Anti-Integrin alpha V antibody [EPR16800] - BSA and Azide free (AB271932)

Immunohistochemical analysis of paraffin-embedded human kidney tissue labeling Integrin alpha V with ab179475 at 1/500 dilution followed by Goat Anti-Rabbit HRP (IgG H&L) (ab97051) secondary antibody at 1/500 dilution.

Membrane and cytoplasm staining on human kidney tubules is observed. Counterstained with hematoxylin.

Negative control : Using PBS instead of primary antibody, secondary antibody is Goat Anti-Rabbit IgG H&L (HRP) (ab97051) at 1/500 dilution.

Perform heat mediated antigen retrieval with Tris/EDTA buffer pH 9.0 before commencing with IHC staining protocol.

This data was developed using the same antibody clone in a different buffer formulation containing PBS, BSA, glycerol, and sodium azide (ab179475).

Immunoprecipitation - Anti-Integrin alpha V antibody [EPR16800] - BSA and Azide free (AB271932)
  • IP

Supplier Data

Immunoprecipitation - Anti-Integrin alpha V antibody [EPR16800] - BSA and Azide free (AB271932)

Integrin alpha V was immunoprecipitated from 1 mg of A549 (Human lung carcinoma) whole cell extract with ab179475 at 1/40 dilution. Western blot analysis was performed from the immunoprecipitate using ab179475 at 1/1000 dilution. Anti-Rabbit IgG (HRP), specific to the non-reduced form of IgG, was used as secondary antibody at 1/1500 dilution.

Lane 1 : A549 whole cell extract.

Lane 2 : PBS instead of A549 whole cell extract.

Blocking/Dilution buffer : 5% NFDM/TBST.

ab179475 can recognize 135kDa full length Integrin alpha V and 125kDa heavy chain. The 125 kDa band is Integrin alpha V heavy chain.

This data was developed using the same antibody clone in a different buffer formulation containing PBS, BSA, glycerol, and sodium azide (ab179475).

All lanes:

Immunoprecipitation - Anti-Integrin alpha V antibody [EPR16800] (<a href='/en-us/products/primary-antibodies/integrin-alpha-v-antibody-epr16800-ab179475'>ab179475</a>)

Predicted band size: 116 kDa

Observed band size: 125 kDa

false

Immunohistochemistry (Formalin/PFA-fixed paraffin-embedded sections) - Anti-Integrin alpha V antibody [EPR16800] - BSA and Azide free (AB271932)
  • IHC-P

Supplier Data

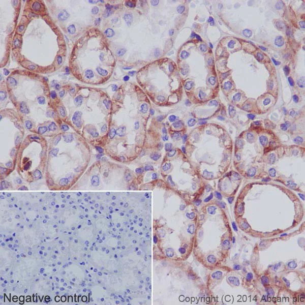
Immunohistochemistry (Formalin/PFA-fixed paraffin-embedded sections) - Anti-Integrin alpha V antibody [EPR16800] - BSA and Azide free (AB271932)

Immunohistochemical analysis of paraffin-embedded mouse kidney tissue labeling Integrin alpha V with ab179475 at 1/500 dilution followed by Goat Anti-Rabbit HRP (IgG H&L) (ab97051) secondary at 1/500 dilution.

Membrane and cytoplasm staining on mouse kidney tubule and glomerulus is observed. Counterstained with hematoxylin.

Negative control : Using PBS instead of primary antibody, secondary antibody is Goat Anti-Rabbit IgG H&L (HRP) (ab97051) at 1/500 dilution.

Perform heat mediated antigen retrieval with Tris/EDTA buffer pH 9.0 before commencing with IHC staining protocol.

This data was developed using the same antibody clone in a different buffer formulation containing PBS, BSA, glycerol, and sodium azide (ab179475).

  • Unconjugated

    Anti-Integrin alpha V antibody [EPR16800]

  • 519 Alexa Fluor® 488

    Alexa Fluor® 488 Anti-Integrin alpha V antibody [EPR16800]

  • 565 Alexa Fluor® 555

    Alexa Fluor® 555 Anti-Integrin alpha V antibody [EPR16800]

  • 578 PE

    PE Anti-Integrin alpha V antibody [EPR16800]

  • HRP

    HRP Anti-Integrin alpha V antibody [EPR16800]

  • 665 Alexa Fluor® 647

    Alexa Fluor® 647 Anti-Integrin alpha V antibody [EPR16800]

  • Carrier free

    Anti-Integrin alpha V antibody [EPR16800] - BSA and Azide free (Detector)

  • Carrier free

    Anti-Integrin alpha V antibody [EPR16800] - Low endotoxin, Azide free

Key facts

Host species

Rabbit

Clonality

Monoclonal

Clone number

EPR16800

Isotype

IgG

Carrier free

Yes

Reacts with

Mouse, Human

Applications

WB, ICC/IF, IHC-P, IP

applications

Immunogen

The exact immunogen used to generate this antibody is proprietary information.

Reactivity data

{ "title": "Reactivity Data", "filters": { "stats": ["", "Species", "Dilution Info", "Notes"], "tabs": { "all-applications": {"fullname" : "All Applications", "shortname": "All Applications"}, "IP" : {"fullname" : "Immunoprecipitation", "shortname":"IP"}, "WB" : {"fullname" : "Western blot", "shortname":"WB"}, "IHCP" : {"fullname" : "Immunohistochemistry (Formalin/PFA-fixed paraffin-embedded sections)", "shortname":"IHC-P"}, "ICCIF" : {"fullname" : "Immunocytochemistry/ Immunofluorescence", "shortname":"ICC/IF"} }, "product-promise": { "all": "all", "testedAndGuaranteed": "tested", "guaranteed": "expected", "predicted": "predicted", "notRecommended": "not-recommended" } }, "values": { "Human": { "IP-species-checked": "testedAndGuaranteed", "IP-species-dilution-info": "", "IP-species-notes": "<p></p>", "WB-species-checked": "guaranteed", "WB-species-dilution-info": "", "WB-species-notes": "<p></p>", "IHCP-species-checked": "guaranteed", "IHCP-species-dilution-info": "", "IHCP-species-notes": "", "ICCIF-species-checked": "testedAndGuaranteed", "ICCIF-species-dilution-info": "", "ICCIF-species-notes": "<p></p>" }, "Mouse": { "IP-species-checked": "guaranteed", "IP-species-dilution-info": "", "IP-species-notes": "", "WB-species-checked": "guaranteed", "WB-species-dilution-info": "", "WB-species-notes": "<p></p>", "IHCP-species-checked": "testedAndGuaranteed", "IHCP-species-dilution-info": "", "IHCP-species-notes": "<p></p>", "ICCIF-species-checked": "guaranteed", "ICCIF-species-dilution-info": "", "ICCIF-species-notes": "" }, "Rat": { "IP-species-checked": "predicted", "IP-species-dilution-info": "", "IP-species-notes": "", "WB-species-checked": "predicted", "WB-species-dilution-info": "", "WB-species-notes": "", "IHCP-species-checked": "predicted", "IHCP-species-dilution-info": "", "IHCP-species-notes": "", "ICCIF-species-checked": "predicted", "ICCIF-species-dilution-info": "", "ICCIF-species-notes": "" } } }

Product details

ab271932 is the carrier-free version of ab179475.

Patented technology
Our RabMAb® technology is a patented hybridoma-based technology for making rabbit monoclonal antibodies. For details on our patents, please refer to RabMAb® patents.

What are the advantages of a recombinant monoclonal antibody?
This product is a recombinant monoclonal antibody, which offers several advantages including:

  • - High batch-to-batch consistency and reproducibility
  • - Improved sensitivity and specificity
  • - Long-term security of supply
  • - Animal-free batch production

For more information, read more on recombinant antibodies.

Conjugation ready
Our carrier-free antibodies are typically supplied in a PBS-only formulation, purified and free of BSA, sodium azide and glycerol. This conjugation-ready format is designed for use with fluorochromes, metal isotopes, oligonucleotides, and enzymes, which makes them ideal for antibody labelling, functional and cell-based assays, flow-based assays (e.g. mass cytometry) and Multiplex Imaging applications.

Use our conjugation kits for antibody conjugates that are ready-to-use in as little as 20 minutes with 1 minute hands-on-time and 100% antibody recovery: available for fluorescent dyes, HRP, biotin and gold.

Compatibility
This product is compatible with the Maxpar® Antibody Labeling Kit from Fluidigm, without the need for antibody preparation. Maxpar® is a trademark of Fluidigm Canada Inc.

Properties and storage information

Form
Liquid
Purification technique
Affinity purification Protein A
Storage buffer
pH: 7.2 - 7.4 Constituents: PBS
Shipped at conditions
Blue Ice
Appropriate short-term storage conditions
+4°C
Appropriate long-term storage conditions
+4°C
Storage information
Do Not Freeze

Supplementary information

This supplementary information is collated from multiple sources and compiled automatically.

Integrin alpha V also known as integrin av CD51 and CD51/CD61 is a transmembrane protein with an approximate mass of 125 kDa. It functions mechanically by mediating cell adhesion and signaling through its interaction with the extracellular matrix and other cells. Integrin alpha V is widely expressed in a variety of tissues including endothelial and epithelial cells as well as some tumor cells. This protein forms heterodimers typically with beta subunits like CD61 which is also referred to as beta 3 integrin to execute its biological functions.
Biological function summary

Integrin alpha V plays a pivotal role in cellular processes such as migration proliferation and survival. It participates in the formation of multi-molecular complexes within cellular structures. The integrin av integrins particularly in conjunction with its CD51/CD61 form contribute to the regulation of angiogenesis immune response and wound healing. These functions arise from the integrin’s ability to act as a receptor for numerous ligands including fibrinogen fibronectin and vitronectin.

Pathways

Integrin alpha V is a critical component of the integrin signaling and focal adhesion pathways. These pathways involve a network of interactions that include proteins like focal adhesion kinase (FAK) and Src family kinases. Integrin alpha V’s interaction within these pathways assists in transmitting mechanical signals from the extracellular environment to the intracellular signaling cascades affecting cytoskeleton dynamics and gene expression. The pathway interactions with integrin av also coordinate complex signaling with other receptors and matrix proteins like laminins enhancing cellular communication and response to environmental changes.

Integrin alpha V’s dysregulation associates with conditions such as cancer and fibrosis. Overexpression or aberrant functioning of integrin av contributes to tumor progression and metastasis by promoting angiogenesis and cell migration. In fibrotic diseases the protein's interactions with the extracellular matrix components are altered leading to excessive tissue scarring and dysfunction. Furthermore integrin alpha V interplays with proteins such as matrix metalloproteinases (MMPs) in the tumor microenvironment facilitating tissue remodeling and cancer cell invasion.

Product protocols

For this product, it's our understanding that no specific protocols are required. You can visit:

Target data

The alpha-V (ITGAV) integrins are receptors for vitronectin, cytotactin, fibronectin, fibrinogen, laminin, matrix metalloproteinase-2, osteopontin, osteomodulin, prothrombin, thrombospondin and vWF. They recognize the sequence R-G-D in a wide array of ligands. ITGAV : ITGB3 binds to fractalkine (CX3CL1) and may act as its coreceptor in CX3CR1-dependent fractalkine signaling (PubMed : 23125415). ITGAV : ITGB3 binds to NRG1 (via EGF domain) and this binding is essential for NRG1-ERBB signaling (PubMed : 20682778). ITGAV : ITGB3 binds to FGF1 and this binding is essential for FGF1 signaling (PubMed : 18441324). ITGAV : ITGB3 binds to FGF2 and this binding is essential for FGF2 signaling (PubMed : 28302677). ITGAV : ITGB3 binds to IGF1 and this binding is essential for IGF1 signaling (PubMed : 19578119). ITGAV : ITGB3 binds to IGF2 and this binding is essential for IGF2 signaling (PubMed : 28873464). ITGAV : ITGB3 binds to IL1B and this binding is essential for IL1B signaling (PubMed : 29030430). ITGAV : ITGB3 binds to PLA2G2A via a site (site 2) which is distinct from the classical ligand-binding site (site 1) and this induces integrin conformational changes and enhanced ligand binding to site 1 (PubMed : 18635536, PubMed : 25398877). ITGAV : ITGB3 and ITGAV : ITGB6 act as receptors for fibrillin-1 (FBN1) and mediate R-G-D-dependent cell adhesion to FBN1 (PubMed : 12807887, PubMed : 17158881). Integrin alpha-V/beta-6 or alpha-V/beta-8 (ITGAV : ITGB6 or ITGAV : ITGB8) mediates R-G-D-dependent release of transforming growth factor beta-1 (TGF-beta-1) from regulatory Latency-associated peptide (LAP), thereby playing a key role in TGF-beta-1 activation (PubMed : 15184403, PubMed : 22278742, PubMed : 28117447). ITGAV : ITGB3 acts as a receptor for CD40LG (PubMed : 31331973). ITGAV : ITGB3 acts as a receptor for IBSP and promotes cell adhesion and migration to IBSP (PubMed : 10640428).. (Microbial infection) Integrin ITGAV : ITGB5 acts as a receptor for Adenovirus type C.. (Microbial infection) Integrin ITGAV : ITGB5 and ITGAV : ITGB3 act as receptors for Coxsackievirus A9 and B1.. (Microbial infection) Integrin ITGAV : ITGB3 acts as a receptor for Herpes virus 8/HHV-8.. (Microbial infection) Integrin ITGAV : ITGB6 acts as a receptor for herpes simplex 1/HHV-1.. (Microbial infection) Integrin ITGAV : ITGB3 acts as a receptor for Human parechovirus 1.. (Microbial infection) Integrin ITGAV : ITGB3 acts as a receptor for West nile virus.. (Microbial infection) In case of HIV-1 infection, the interaction with extracellular viral Tat protein seems to enhance angiogenesis in Kaposi's sarcoma lesions.
See full target information ITGAV

Product promise

We are committed to supporting your work with high-quality reagents, and we're here for you every step of the way. In the unlikely event that one of our products does not perform as expected, you're protected by our Product Promise.
For full details, please see our Terms & Conditions

Please note: All products are 'FOR RESEARCH USE ONLY. NOT FOR USE IN DIAGNOSTIC OR THERAPEUTIC PROCEDURES'.

For licensing inquiries, please contact partnerships@abcam.com