JavaScript is disabled in your browser. Please enable JavaScript to view this website.
AB208012

Anti-Integrin alpha V antibody [EPR19669]

Be the first to review this product! Submit a review

|

(3 Publications)

Rabbit Recombinant Monoclonal Integrin alpha V antibody. Suitable for WB, IHC-P and reacts with Mouse, Rat, Human samples. Cited in 3 publications.

View Alternative Names

CD51, MSK8, VNRA, VTNR, ITGAV, Integrin alpha-V, Vitronectin receptor, Vitronectin receptor subunit alpha

5 Images
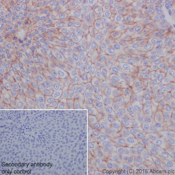
Immunohistochemistry (Formalin/PFA-fixed paraffin-embedded sections) - Anti-Integrin alpha V antibody [EPR19669] (AB208012)
  • IHC-P

Supplier Data

Immunohistochemistry (Formalin/PFA-fixed paraffin-embedded sections) - Anti-Integrin alpha V antibody [EPR19669] (AB208012)

Immunohistochemical analysis of paraffin-embedded human bladder cancer tissue labeling CD51 with ab208012 at 1/500 dilution followed by Goat Anti-Rabbit IgG H&L (HRP) (ab97051) at 1/500 dilution.

Membrane staining on human bladder cancer is observed.

Counter stained with Hematoxylin.

Secondary antibody only control : Used PBS instead of primary antibody secondary antibody is Goat Anti-Rabbit IgG H&L (HRP) (ab97051) at 1/500 dilution.

Perform heat mediated antigen retrieval with Tris/EDTA buffer pH 9.0 before commencing with IHC staining protocol.

Immunohistochemistry (Formalin/PFA-fixed paraffin-embedded sections) - Anti-Integrin alpha V antibody [EPR19669] (AB208012)
  • IHC-P

Supplier Data

Immunohistochemistry (Formalin/PFA-fixed paraffin-embedded sections) - Anti-Integrin alpha V antibody [EPR19669] (AB208012)

Immunohistochemical analysis of paraffin-embedded human kidney tissue labeling CD51 with ab208012 at 1/500 dilution followed by Goat Anti-Rabbit IgG H&L (HRP) (ab97051) at 1/500 dilution.

Cytoplasmic and membrane staining on human kidney is observed.

Counter stained with Hematoxylin.

Secondary antibody only control : Used PBS instead of primary antibody secondary antibody is Goat Anti-Rabbit IgG H&L (HRP) (ab97051) at 1/500 dilution.

Perform heat mediated antigen retrieval with Tris/EDTA buffer pH 9.0 before commencing with IHC staining protocol.

Western blot - Anti-Integrin alpha V antibody [EPR19669] (AB208012)
  • WB

Supplier Data

Western blot - Anti-Integrin alpha V antibody [EPR19669] (AB208012)

Blocking/Dilution buffer : 5% NFDM/TBST.

All lanes:

Western blot - Anti-Integrin alpha V antibody [EPR19669] (ab208012) at 1/2000 dilution

Lane 1:

Human fetal brain tissue lysate at 10 µg

Lane 2:

Human fetal heart tissue lysate at 10 µg

Lane 3:

Human fetal kidney tissue lysate at 10 µg

Secondary

All lanes:

Goat Anti-Rabbit IgG Peroxidase Conjugate, specific to the non-reduced form of IgG at 1/10000 dilution

Predicted band size: 116 kDa

Observed band size: 130-140 kDa

false

Exposure time: 15s

Western blot - Anti-Integrin alpha V antibody [EPR19669] (AB208012)
  • WB

Supplier Data

Western blot - Anti-Integrin alpha V antibody [EPR19669] (AB208012)

Blocking/Dilution buffer : 5% NFDM/TBST.

The molecular weight observed is consistent with what has been described in the literature (PMID : 22740495)

All lanes:

Western blot - Anti-Integrin alpha V antibody [EPR19669] (ab208012) at 1/2000 dilution

Lane 1:

A549 (Human lung carcinoma cell line) whole cell lysate at 10 µg

Lane 2:

A431 (Human epidermoid carcinoma cell line) whole cell lysate at 10 µg

Lane 3:

HT-29 (Human colorectal adenocarcinoma cell line) whole cell lysate at 10 µg

Lane 4:

HUVEC (Human umbilical vein endothelial cell line) whole cell lysate at 10 µg

Secondary

All lanes:

Western blot - Goat Anti-Rabbit IgG H&L (HRP) (<a href='/en-us/products/secondary-antibodies/goat-rabbit-igg-h-l-hrp-ab97051'>ab97051</a>) at 1/100000 dilution

Predicted band size: 116 kDa

Observed band size: 130-140 kDa

false

Exposure time: 5s

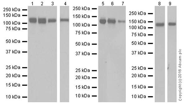
Western blot - Anti-Integrin alpha V antibody [EPR19669] (AB208012)
  • WB

Supplier Data

Western blot - Anti-Integrin alpha V antibody [EPR19669] (AB208012)

Blocking/Dilution buffer : 5% NFDM/TBST.

Exposure time : Lane 1-3 : 5 seconds; Lane 4/9 : 30 seconds; Lane 5-7 : 1 minute; Lane 8 : 15 seconds.

All lanes:

Western blot - Anti-Integrin alpha V antibody [EPR19669] (ab208012) at 1/2000 dilution

Lane 1:

C6 (Rat glial tumor cell line) whole cell lysate at 10 µg

Lane 2:

PC-12 (Rat adrenal gland pheochromocytoma cell line) whole cell lysate at 10 µg

Lane 3:

NIH/3T3 (Mouse embryonic fibroblast cell line) whole cell lysate at 10 µg

Lane 4:

RAW 264.7 (Mouse macrophage cell line transformed with Abelson murine leukemia virus) whole cell lysate at 10 µg

Lane 5:

Mouse brain tissue lysate at 10 µg

Lane 6:

Mouse kidney tissue lysate at 10 µg

Lane 7:

Mouse spleen tissue lysate at 10 µg

Lane 8:

Rat kidney tissue lysate at 10 µg

Lane 9:

Rat spleen tissue lysate at 10 µg

Secondary

All lanes:

Western blot - Goat Anti-Rabbit IgG H&L (HRP) (<a href='/en-us/products/secondary-antibodies/goat-rabbit-igg-h-l-hrp-ab97051'>ab97051</a>) at 100000 µg

Predicted band size: 116 kDa

Observed band size: 130-140 kDa

false

  • Carrier free

    Anti-Integrin alpha V antibody [EPR19669] - BSA and Azide free

Key facts

Host species

Rabbit

Clonality

Monoclonal

Clone number

EPR19669

Isotype

IgG

Carrier free

No

Reacts with

Mouse, Rat, Human

Applications

IHC-P, WB

applications

Immunogen

The exact immunogen used to generate this antibody is proprietary information.

Reactivity data

{ "title": "Reactivity Data", "filters": { "stats": ["", "Species", "Dilution Info", "Notes"], "tabs": { "all-applications": {"fullname" : "All Applications", "shortname": "All Applications"}, "WB" : {"fullname" : "Western blot", "shortname":"WB"}, "IHCP" : {"fullname" : "Immunohistochemistry (Formalin/PFA-fixed paraffin-embedded sections)", "shortname":"IHC-P"} }, "product-promise": { "all": "all", "testedAndGuaranteed": "tested", "guaranteed": "expected", "predicted": "predicted", "notRecommended": "not-recommended" } }, "values": { "Human": { "WB-species-checked": "testedAndGuaranteed", "WB-species-dilution-info": "1/2000", "WB-species-notes": "<p></p>", "IHCP-species-checked": "testedAndGuaranteed", "IHCP-species-dilution-info": "1/500", "IHCP-species-notes": "<p>IHC is recommended for human only.</p>" }, "Mouse": { "WB-species-checked": "testedAndGuaranteed", "WB-species-dilution-info": "1/2000", "WB-species-notes": "<p></p>", "IHCP-species-checked": "guaranteed", "IHCP-species-dilution-info": "", "IHCP-species-notes": "" }, "Rat": { "WB-species-checked": "testedAndGuaranteed", "WB-species-dilution-info": "1/2000", "WB-species-notes": "<p></p>", "IHCP-species-checked": "guaranteed", "IHCP-species-dilution-info": "", "IHCP-species-notes": "" } } }

Product details

Patented technology
Our RabMAb® technology is a patented hybridoma-based technology for making rabbit monoclonal antibodies. For details on our patents, please refer to RabMAb® patents.

What are the advantages of a recombinant monoclonal antibody?
This product is a recombinant monoclonal antibody, which offers several advantages including:

  • - High batch-to-batch consistency and reproducibility
  • - Improved sensitivity and specificity
  • - Long-term security of supply
  • - Animal-free batch production

For more information, read more on recombinant antibodies.

Properties and storage information

Form
Liquid
Purification technique
Affinity purification Protein A
Storage buffer
pH: 7.2 - 7.4 Preservative: 0.01% Sodium azide Constituents: PBS, 40% Glycerol (glycerin, glycerine), 0.05% BSA
Shipped at conditions
Blue Ice
Appropriate short-term storage duration
1-2 weeks
Appropriate short-term storage conditions
+4°C
Appropriate long-term storage conditions
-20°C
Aliquoting information
Upon delivery aliquot
Storage information
Avoid freeze / thaw cycle

Supplementary information

This supplementary information is collated from multiple sources and compiled automatically.

Integrin alpha V also known as integrin av CD51 and CD51/CD61 is a transmembrane protein with an approximate mass of 125 kDa. It functions mechanically by mediating cell adhesion and signaling through its interaction with the extracellular matrix and other cells. Integrin alpha V is widely expressed in a variety of tissues including endothelial and epithelial cells as well as some tumor cells. This protein forms heterodimers typically with beta subunits like CD61 which is also referred to as beta 3 integrin to execute its biological functions.
Biological function summary

Integrin alpha V plays a pivotal role in cellular processes such as migration proliferation and survival. It participates in the formation of multi-molecular complexes within cellular structures. The integrin av integrins particularly in conjunction with its CD51/CD61 form contribute to the regulation of angiogenesis immune response and wound healing. These functions arise from the integrin’s ability to act as a receptor for numerous ligands including fibrinogen fibronectin and vitronectin.

Pathways

Integrin alpha V is a critical component of the integrin signaling and focal adhesion pathways. These pathways involve a network of interactions that include proteins like focal adhesion kinase (FAK) and Src family kinases. Integrin alpha V’s interaction within these pathways assists in transmitting mechanical signals from the extracellular environment to the intracellular signaling cascades affecting cytoskeleton dynamics and gene expression. The pathway interactions with integrin av also coordinate complex signaling with other receptors and matrix proteins like laminins enhancing cellular communication and response to environmental changes.

Integrin alpha V’s dysregulation associates with conditions such as cancer and fibrosis. Overexpression or aberrant functioning of integrin av contributes to tumor progression and metastasis by promoting angiogenesis and cell migration. In fibrotic diseases the protein's interactions with the extracellular matrix components are altered leading to excessive tissue scarring and dysfunction. Furthermore integrin alpha V interplays with proteins such as matrix metalloproteinases (MMPs) in the tumor microenvironment facilitating tissue remodeling and cancer cell invasion.

Product protocols

For this product, it's our understanding that no specific protocols are required. You can visit:

Target data

The alpha-V (ITGAV) integrins are receptors for vitronectin, cytotactin, fibronectin, fibrinogen, laminin, matrix metalloproteinase-2, osteopontin, osteomodulin, prothrombin, thrombospondin and vWF. They recognize the sequence R-G-D in a wide array of ligands. ITGAV : ITGB3 binds to fractalkine (CX3CL1) and may act as its coreceptor in CX3CR1-dependent fractalkine signaling (PubMed : 23125415). ITGAV : ITGB3 binds to NRG1 (via EGF domain) and this binding is essential for NRG1-ERBB signaling (PubMed : 20682778). ITGAV : ITGB3 binds to FGF1 and this binding is essential for FGF1 signaling (PubMed : 18441324). ITGAV : ITGB3 binds to FGF2 and this binding is essential for FGF2 signaling (PubMed : 28302677). ITGAV : ITGB3 binds to IGF1 and this binding is essential for IGF1 signaling (PubMed : 19578119). ITGAV : ITGB3 binds to IGF2 and this binding is essential for IGF2 signaling (PubMed : 28873464). ITGAV : ITGB3 binds to IL1B and this binding is essential for IL1B signaling (PubMed : 29030430). ITGAV : ITGB3 binds to PLA2G2A via a site (site 2) which is distinct from the classical ligand-binding site (site 1) and this induces integrin conformational changes and enhanced ligand binding to site 1 (PubMed : 18635536, PubMed : 25398877). ITGAV : ITGB3 and ITGAV : ITGB6 act as receptors for fibrillin-1 (FBN1) and mediate R-G-D-dependent cell adhesion to FBN1 (PubMed : 12807887, PubMed : 17158881). Integrin alpha-V/beta-6 or alpha-V/beta-8 (ITGAV : ITGB6 or ITGAV : ITGB8) mediates R-G-D-dependent release of transforming growth factor beta-1 (TGF-beta-1) from regulatory Latency-associated peptide (LAP), thereby playing a key role in TGF-beta-1 activation (PubMed : 15184403, PubMed : 22278742, PubMed : 28117447). ITGAV : ITGB3 acts as a receptor for CD40LG (PubMed : 31331973). ITGAV : ITGB3 acts as a receptor for IBSP and promotes cell adhesion and migration to IBSP (PubMed : 10640428).. (Microbial infection) Integrin ITGAV : ITGB5 acts as a receptor for Adenovirus type C.. (Microbial infection) Integrin ITGAV : ITGB5 and ITGAV : ITGB3 act as receptors for Coxsackievirus A9 and B1.. (Microbial infection) Integrin ITGAV : ITGB3 acts as a receptor for Herpes virus 8/HHV-8.. (Microbial infection) Integrin ITGAV : ITGB6 acts as a receptor for herpes simplex 1/HHV-1.. (Microbial infection) Integrin ITGAV : ITGB3 acts as a receptor for Human parechovirus 1.. (Microbial infection) Integrin ITGAV : ITGB3 acts as a receptor for West nile virus.. (Microbial infection) In case of HIV-1 infection, the interaction with extracellular viral Tat protein seems to enhance angiogenesis in Kaposi's sarcoma lesions.
See full target information ITGAV

Publications (3)

Recent publications for all applications. Explore the full list and refine your search

Science advances 10:eadl2238 PubMed38394209

2024

Identification of the metaphyseal skeletal stem cell building trabecular bone.

Applications

Unspecified application

Species

Unspecified reactive species

Guan Yang,Qi He,Xiaoxiao Guo,Rong-Yu Li,Jingting Lin,Yiming Lang,Wanyu Tao,Wenjia Liu,Huisang Lin,Shilai Xing,Yini Qi,Zhongliang Xie,Jing-Dong J Han,Bin Zhou,Yan Teng,Xiao Yang

mAbs 10:1003-1017 PubMed30130447

2018

T-DM1-resistant cells gain high invasive activity via EGFR and integrin cooperated pathways.

Applications

Unspecified application

Species

Unspecified reactive species

Yukinori Endo,Yi Shen,Lamis Abou Youssef,Nishant Mohan,Wen Jin Wu

Scandinavian journal of immunology 85:441-449 PubMed28376277

2017

Dendritic Cells from Rheumatoid Arthritis Patient Peripheral Blood Induce Th17 Cell Differentiation via miR-363/Integrin αv/TGF-β Axis.

Applications

Unspecified application

Species

Unspecified reactive species

F Pan,H Xiang,J Yan,L Hong,L Zhang,Y Liu,X Feng,C Cai
View all publications

Product promise

We are committed to supporting your work with high-quality reagents, and we're here for you every step of the way. In the unlikely event that one of our products does not perform as expected, you're protected by our Product Promise.
For full details, please see our Terms & Conditions

Please note: All products are 'FOR RESEARCH USE ONLY. NOT FOR USE IN DIAGNOSTIC OR THERAPEUTIC PROCEDURES'.

For licensing inquiries, please contact partnerships@abcam.com