JavaScript is disabled in your browser. Please enable JavaScript to view this website.
AB192456

Anti-Integrin beta 1 antibody [EP1041Y] - BSA and Azide free

Be the first to review this product! Submit a review

|

(1 Publication)

Rabbit Recombinant Monoclonal Integrin beta 1 antibody. Carrier free. Suitable for IHC-P, WB and reacts with Human samples. Cited in 1 publication.

View Alternative Names

CD29, FNRB, MDF2, MSK12, ITGB1, Integrin beta-1, Fibronectin receptor subunit beta, Glycoprotein IIa, VLA-4 subunit beta, GPIIA

7 Images
Immunohistochemistry (Formalin/PFA-fixed paraffin-embedded sections) - Anti-Integrin beta 1 antibody [EP1041Y] - BSA and Azide free (AB192456)
  • IHC-P

AbReview9866****

Immunohistochemistry (Formalin/PFA-fixed paraffin-embedded sections) - Anti-Integrin beta 1 antibody [EP1041Y] - BSA and Azide free (AB192456)

Unpurified ab52971 staining human breast cancer metastasis tissue sections by IHC-P. Sections were formaldehyde fixed and subjected to heat mediated antigen retrieval in citrate buffer (pH 6) prior to blocking with a commercial blocking reagent and incubation with the antibody (diluted 1/100) for 18 hours at 4°C.  A HRP-conjugated goat anti-rabbit was used as the secondary antibody.  This image shows a cancer metastasis at 40x with beta1 staining (in red) in both blood vessels and tumour cells. Blue is Hoechst for nuclei.  The antibody detection was enhanced using a commercial Cy3 tyramide signal amplification kit.

This data was developed using the same antibody clone in a different buffer formulation containing PBS, BSA, glycerol, and sodium azide (ab52971).

This image is courtesy of an anonymous Abreview

Immunohistochemistry (Formalin/PFA-fixed paraffin-embedded sections) - Anti-Integrin beta 1 antibody [EP1041Y] - BSA and Azide free (AB192456)
  • IHC-P

AbReview13423****

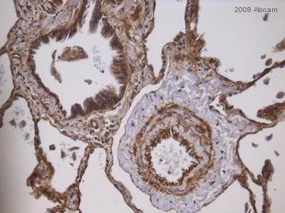
Immunohistochemistry (Formalin/PFA-fixed paraffin-embedded sections) - Anti-Integrin beta 1 antibody [EP1041Y] - BSA and Azide free (AB192456)

Formaldehyde-fixed, paraffin-embedded human lung tissue stained for Integrin beta 1 using ab52971 at 1/100 dilution in immunohistochemical analysis.

This data was developed using the same antibody clone in a different buffer formulation containing PBS, BSA, glycerol, and sodium azide (ab52971).

Perform heat mediated antigen retrieval before commencing with IHC staining protocol.

This image is courtesy of an Abreview submitted by Mark Southwood.

Immunohistochemistry (Formalin/PFA-fixed paraffin-embedded sections) - Anti-Integrin beta 1 antibody [EP1041Y] - BSA and Azide free (AB192456)
  • IHC-P

Unknown

Immunohistochemistry (Formalin/PFA-fixed paraffin-embedded sections) - Anti-Integrin beta 1 antibody [EP1041Y] - BSA and Azide free (AB192456)

ab52971 at 1/500 staining Integrin beta 1 antibody in human transitional cell carcinoma of bladder by immunohistochemistry (FFPE). Immunohistochemical analysis of paraffin-embedded human transitional cell carcinoma of bladder tissue labeling Integrin beta 1 with ab52971 at 1/500 dilution followed by goat anti-rabbit IgG H&L (HRP) (ab97051, 1/500). Counter stained with hematoxylin. This data was developed using the same antibody clone in a different buffer formulation containing PBS, BSA, glycerol, and sodium azide (ab52971). Perform heat mediated antigen retrieval before commencing with IHC staining protocol.

Western blot - Anti-Integrin beta 1 antibody [EP1041Y] - BSA and Azide free (AB192456)
  • WB

Unknown

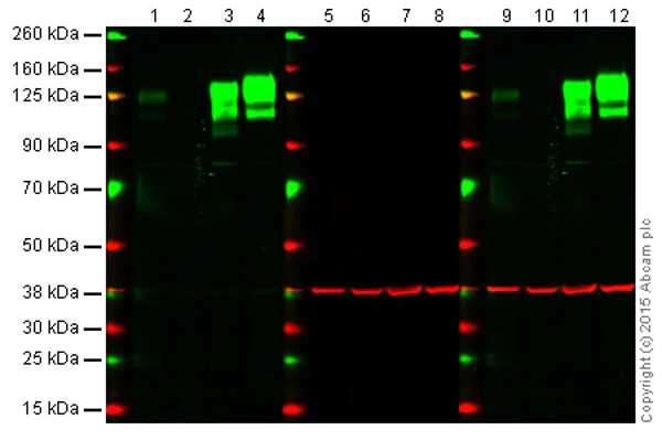
Western blot - Anti-Integrin beta 1 antibody [EP1041Y] - BSA and Azide free (AB192456)

This data was developed using the same antibody clone in a different buffer formulation containing PBS, BSA, glycerol, and sodium azide (ab52971).

Lanes 1, 5 and 9 : Wild-type HAP1 cell lysate (20 μg)
Lanes 2, 6 and 10 : Integrin beta 1 knockout HAP1 cell lysate (20 μg)
Lanes 3, 7 and 11 : U87-MG cell lysate (20 μg)
Lanes 4, 8 and 12 : A431 cell lysate (20 μg)
Lanes 1, 2, 3 and 4 : Green signal from target – ab52971 observed at 140 kDa
Lanes 5, 6, 7 and 8 : Red signal from loading control – ab8245 observed at 37 kDa
Lanes 9, 10, 11 and 12 : Merged (red and green) signal

ab52971 was shown to specifically react with Integrin beta 1 in wild-type HAP1 cells. No band was observed when Integrin beta 1 knockout samples were examined. Wild-type and Integrin beta 1 knockout samples were subjected to SDS-PAGE. ab52971 and ab8245 (loading control to GAPDH) were diluted 1/10,000 and 1/2000 respectively and incubated overnight at 4°C. Blots were developed with Goat anti-Rabbit IgG H&L (IRDye® 800CW) preadsorbed (ab216773) and Goat anti-Mouse IgG H&L (IRDye® 680RD) preadsorbed (ab216776) secondary antibodies at 1/10,000 dilution for 1 hour at room temperature before imaging.

All lanes:

Western blot - Anti-Integrin beta 1 antibody [EP1041Y] - BSA and Azide free (ab192456)

Predicted band size: 88 kDa

false

Western blot - Anti-Integrin beta 1 antibody [EP1041Y] - BSA and Azide free (AB192456)
  • WB

Unknown

Western blot - Anti-Integrin beta 1 antibody [EP1041Y] - BSA and Azide free (AB192456)

This data was developed using the same antibody clone in a different buffer formulation containing PBS, BSA, glycerol, and sodium azide (ab52971).

5% NFDM/TBST dilution buffer

All lanes:

Western blot - Anti-Integrin beta 1 antibody [EP1041Y] - BSA and Azide free (ab192456) at 1/10000 dilution

Lane 1:

U87-MG cell lysate at 20 µg

Lane 2:

HT-1080 cell lysate at 20 µg

Lane 3:

U937 cell lysate at 20 µg

Secondary

All lanes:

Secondary: HRP goat anti-rabbit (H+L) at 1/1000 dilution

Predicted band size: 88 kDa

false

Western blot - Anti-Integrin beta 1 antibody [EP1041Y] - BSA and Azide free (AB192456)
  • WB

Unknown

Western blot - Anti-Integrin beta 1 antibody [EP1041Y] - BSA and Azide free (AB192456)

This data was developed using the same antibody clone in a different buffer formulation containing PBS, BSA, glycerol, and sodium azide (ab52971).

This blot was produced using a 4-12% Bis-tris gel under the MOPS buffer system. The gel was run at 200V for 50 minutes before being transferred onto a Nitrocellulose membrane at 30V for 70 minutes. The membrane was then blocked for an hour using Licor blocking buffer before being incubated with ab52971 overnight at 4°C. Antibody binding was detected using ab175781 at a 1 : 10,000 dilution for 1hr at room temperature and then imaged using the Licor Odyssey CLx.

Secondary antibody - anti-rabbit Alexa Fluor 790 (ab175781)

All lanes:

Western blot - Anti-Integrin beta 1 antibody [EP1041Y] - BSA and Azide free (ab192456) at 20 µg

Lane 1:

HeLa (Human epithelial carcinoma cell line) Whole Cell Lysate at 20 µg

Lane 2:

HT 1080 (Human fibrosarcoma) Whole Cell Lysate at 20 µg

Lane 3:

U2OS (Human osteosarcoma cell line) Whole Cell Lysate at 20 µg

Secondary

All lanes:

Western blot - Goat Anti-Rabbit IgG H&L (Alexa Fluor® 790) (<a href='/en-us/products/secondary-antibodies/goat-rabbit-igg-h-l-alexa-fluor-790-ab175781'>ab175781</a>) at 1/10000 dilution

Predicted band size: 88 kDa

Observed band size: 120 kDa,140 kDa

false

Western blot - Anti-Integrin beta 1 antibody [EP1041Y] - BSA and Azide free (AB192456)
  • WB

Unknown

Western blot - Anti-Integrin beta 1 antibody [EP1041Y] - BSA and Azide free (AB192456)

This data was developed using the same antibody clone in a different buffer formulation containing PBS, BSA, glycerol, and sodium azide (ab52971).

Lane 1 : Wild-type HAP1 cell lysate (20 μg)
Lane 2 : Integrin beta 1 knockout HAP1 cell lysate (20 μg)
Lane 3 : U87-MG cell lysate (20 μg)
Lane 4 : A431 cell lysate (20 μg)

Lanes 1 - 4 : Merged signal (red and green). Green - ab52971 observed at 140 kDa. Red signal from loading control – ab8245 observed at 37 kDa.

This western blot image is a comparison between ab52971 and a competitor's top cited rabbit polyclonal antibody.

All lanes:

Western blot - Anti-Integrin beta 1 antibody [EP1041Y] - BSA and Azide free (ab192456)

Predicted band size: 88 kDa

false

Key facts

Host species

Rabbit

Clonality

Monoclonal

Clone number

EP1041Y

Isotype

IgG

Carrier free

Yes

Reacts with

Human

Applications

IHC-P, WB

applications

Immunogen

The exact immunogen used to generate this antibody is proprietary information.

Reactivity data

{ "title": "Reactivity Data", "filters": { "stats": ["", "Species", "Dilution Info", "Notes"], "tabs": { "all-applications": {"fullname" : "All Applications", "shortname": "All Applications"}, "IHCP" : {"fullname" : "Immunohistochemistry (Formalin/PFA-fixed paraffin-embedded sections)", "shortname":"IHC-P"}, "FlowCyt" : {"fullname" : "Flow Cytometry", "shortname":"Flow Cyt"}, "WB" : {"fullname" : "Western blot", "shortname":"WB"}, "ICCIF" : {"fullname" : "Immunocytochemistry/ Immunofluorescence", "shortname":"ICC/IF"} }, "product-promise": { "all": "all", "testedAndGuaranteed": "tested", "guaranteed": "expected", "predicted": "predicted", "notRecommended": "not-recommended" } }, "values": { "Human": { "IHCP-species-checked": "testedAndGuaranteed", "IHCP-species-dilution-info": "", "IHCP-species-notes": "<p></p>", "FlowCyt-species-checked": "notRecommended", "FlowCyt-species-dilution-info": "", "FlowCyt-species-notes": "<p></p>", "WB-species-checked": "testedAndGuaranteed", "WB-species-dilution-info": "", "WB-species-notes": "<p></p>", "ICCIF-species-checked": "notRecommended", "ICCIF-species-dilution-info": "", "ICCIF-species-notes": "<p></p>" } } }

Product details

ab192456 is the carrier-free version of ab52971.

Patented technology
Our RabMAb® technology is a patented hybridoma-based technology for making rabbit monoclonal antibodies. For details on our patents, please refer to RabMAb® patents.

What are the advantages of a recombinant monoclonal antibody?
This product is a recombinant monoclonal antibody, which offers several advantages including:

  • - High batch-to-batch consistency and reproducibility
  • - Improved sensitivity and specificity
  • - Long-term security of supply
  • - Animal-free batch production

For more information, read more on recombinant antibodies.

Conjugation ready
Our carrier-free antibodies are typically supplied in a PBS-only formulation, purified and free of BSA, sodium azide and glycerol. This conjugation-ready format is designed for use with fluorochromes, metal isotopes, oligonucleotides, and enzymes, which makes them ideal for antibody labelling, functional and cell-based assays, flow-based assays (e.g. mass cytometry) and Multiplex Imaging applications.

Use our conjugation kits for antibody conjugates that are ready-to-use in as little as 20 minutes with 1 minute hands-on-time and 100% antibody recovery: available for fluorescent dyes, HRP, biotin and gold.

Compatibility
This product is compatible with the Maxpar® Antibody Labeling Kit from Fluidigm, without the need for antibody preparation. Maxpar® is a trademark of Fluidigm Canada Inc.

Properties and storage information

Form
Liquid
Purification technique
Affinity purification Protein A
Storage buffer
pH: 7.2 - 7.4 Constituents: PBS
Shipped at conditions
Blue Ice
Appropriate short-term storage conditions
+4°C
Appropriate long-term storage conditions
+4°C
Storage information
Do Not Freeze

Supplementary information

This supplementary information is collated from multiple sources and compiled automatically.

Integrin beta 1 also known as CD29 ITGB1 or integrin β1 is a part of the integrin family of cell surface receptors. This protein plays a role in cell adhesion and signal transduction processes. Integrin beta 1 weighs around 88 kDa and typically expresses on the surface of various cell types including epithelial endothelial and certain blood cells. As a transmembrane receptor it interacts with extracellular matrix components such as fibronectin collagen and laminin facilitating cell-matrix adhesion which is key in maintaining cellular structure and function.
Biological function summary

Integrin beta 1 functions in cells as a component of heterodimeric complexes with alpha integrin subunits forming adhesion receptors that mediate cellular signaling. These integrins are important for processes like cell migration differentiation proliferation and apoptosis. As they interact with various extracellular ligands integrin beta 1 influences numerous cellular responses particularly in tissue remodeling wound healing and embryonic development.

Pathways

Integrin beta 1 plays significant roles in the MAPK/ERK and PI3K/Akt signaling pathways both of which are essential for cellular growth and survival signals. It forms connections with associated proteins including focal adhesion kinase (FAK) and talin which participate in mechanotransduction and signal propagation. These interactions influence cellular responses to environmental changes impacting processes such as tissue repair and immune response modulation.

Integrin beta 1 associates with cancer progression and fibrosis disorders. Abnormal expression or function of integrin beta 1 can promote tumor invasion and metastasis making it a target for cancer research and potential therapeutic interventions. Furthermore in fibrosis integrin beta 1 interacts with transforming growth factor-beta (TGF-β) signaling contributing to excessive extracellular matrix production and scarring. Understanding these relationships helps in developing targeted treatments for conditions where integrin beta 1 plays a critical role.

Product protocols

For this product, it's our understanding that no specific protocols are required. You can visit:

Target data

Integrins alpha-1/beta-1, alpha-2/beta-1, alpha-10/beta-1 and alpha-11/beta-1 are receptors for collagen. Integrins alpha-1/beta-1 and alpha-2/beta-2 recognize the proline-hydroxylated sequence G-F-P-G-E-R in collagen. Integrins alpha-2/beta-1, alpha-3/beta-1, alpha-4/beta-1, alpha-5/beta-1, alpha-8/beta-1, alpha-10/beta-1, alpha-11/beta-1 and alpha-V/beta-1 are receptors for fibronectin. Alpha-4/beta-1 recognizes one or more domains within the alternatively spliced CS-1 and CS-5 regions of fibronectin. Integrin alpha-5/beta-1 is a receptor for fibrinogen. Integrin alpha-1/beta-1, alpha-2/beta-1, alpha-6/beta-1 and alpha-7/beta-1 are receptors for lamimin. Integrin alpha-6/beta-1 (ITGA6 : ITGB1) is present in oocytes and is involved in sperm-egg fusion (By similarity). Integrin alpha-4/beta-1 is a receptor for VCAM1. It recognizes the sequence Q-I-D-S in VCAM1. Integrin alpha-9/beta-1 is a receptor for VCAM1, cytotactin and osteopontin. It recognizes the sequence A-E-I-D-G-I-E-L in cytotactin. Integrin alpha-3/beta-1 is a receptor for epiligrin, thrombospondin and CSPG4. Alpha-3/beta-1 may mediate with LGALS3 the stimulation by CSPG4 of endothelial cells migration. Integrin alpha-V/beta-1 is a receptor for vitronectin. Beta-1 integrins recognize the sequence R-G-D in a wide array of ligands. When associated with alpha-7 integrin, regulates cell adhesion and laminin matrix deposition. Involved in promoting endothelial cell motility and angiogenesis. Involved in osteoblast compaction through the fibronectin fibrillogenesis cell-mediated matrix assembly process and the formation of mineralized bone nodules. May be involved in up-regulation of the activity of kinases such as PKC via binding to KRT1. Together with KRT1 and RACK1, serves as a platform for SRC activation or inactivation. Plays a mechanistic adhesive role during telophase, required for the successful completion of cytokinesis. Integrin alpha-3/beta-1 provides a docking site for FAP (seprase) at invadopodia plasma membranes in a collagen-dependent manner and hence may participate in the adhesion, formation of invadopodia and matrix degradation processes, promoting cell invasion. ITGA4 : ITGB1 binds to fractalkine (CX3CL1) and may act as its coreceptor in CX3CR1-dependent fractalkine signaling (PubMed : 23125415, PubMed : 24789099). ITGA4 : ITGB1 and ITGA5 : ITGB1 bind to PLA2G2A via a site (site 2) which is distinct from the classical ligand-binding site (site 1) and this induces integrin conformational changes and enhanced ligand binding to site 1 (PubMed : 18635536, PubMed : 25398877). ITGA5 : ITGB1 acts as a receptor for fibrillin-1 (FBN1) and mediates R-G-D-dependent cell adhesion to FBN1 (PubMed : 12807887, PubMed : 17158881). ITGA5 : ITGB1 acts as a receptor for fibronectin FN1 and mediates R-G-D-dependent cell adhesion to FN1 (PubMed : 33962943). ITGA5 : ITGB1 is a receptor for IL1B and binding is essential for IL1B signaling (PubMed : 29030430). ITGA5 : ITGB3 is a receptor for soluble CD40LG and is required for CD40/CD40LG signaling (PubMed : 31331973). Plays an important role in myoblast differentiation and fusion during skeletal myogenesis (By similarity). ITGA9 : ITGB1 may play a crucial role in SVEP1/polydom-mediated myoblast cell adhesion (By similarity). Integrins ITGA9 : ITGB1 and ITGA4 : ITGB1 repress PRKCA-mediated L-type voltage-gated channel Ca(2+) influx and ROCK-mediated calcium sensitivity in vascular smooth muscle cells via their interaction with SVEP1, thereby inhibit vasocontraction (PubMed : 35802072).. Isoform 2. Interferes with isoform 1 resulting in a dominant negative effect on cell adhesion and migration (in vitro).. Isoform 5. Isoform 5 displaces isoform 1 in striated muscles.. (Microbial infection) Integrin ITGA2 : ITGB1 acts as a receptor for Human echoviruses 1 and 8.. (Microbial infection) Acts as a receptor for Cytomegalovirus/HHV-5.. (Microbial infection) Acts as a receptor for Epstein-Barr virus/HHV-4.. (Microbial infection) Integrin ITGA5 : ITGB1 acts as a receptor for Human parvovirus B19.. (Microbial infection) Integrin ITGA2 : ITGB1 acts as a receptor for Human rotavirus.. (Microbial infection) Acts as a receptor for Mammalian reovirus.. (Microbial infection) In case of HIV-1 infection, integrin ITGA5 : ITGB1 binding to extracellular viral Tat protein seems to enhance angiogenesis in Kaposi's sarcoma lesions.. (Microbial infection) Interacts with CotH proteins expressed by fungi of the order mucorales, the causative agent of mucormycosis, which plays an important role in epithelial cell invasion by the fungi (PubMed : 32487760). Integrin ITGA3 : ITGB1 may act as a receptor for R.delemar CotH7 in alveolar epithelial cells, which may be an early step in pulmonary mucormycosis disease progression (PubMed : 32487760).. (Microbial infection) May serve as a receptor for adhesin A (nadA) of N.meningitidis.
See full target information ITGB1

Publications (1)

Recent publications for all applications. Explore the full list and refine your search

Stem cells translational medicine 11:310-321 PubMed35356978

2022

Alterations in Hematopoietic and Mesenchymal Stromal Cell Components of the Osteopetrotic Bone Marrow Niche.

Applications

Unspecified application

Species

Unspecified reactive species

Inci Cevher Zeytin,Berna Alkan,Cansu Ozdemir,Duygu Uckan Cetinkaya,Fatma Visal Okur
View all publications

Product promise

We are committed to supporting your work with high-quality reagents, and we're here for you every step of the way. In the unlikely event that one of our products does not perform as expected, you're protected by our Product Promise.
For full details, please see our Terms & Conditions

Please note: All products are 'FOR RESEARCH USE ONLY. NOT FOR USE IN DIAGNOSTIC OR THERAPEUTIC PROCEDURES'.

For licensing inquiries, please contact partnerships@abcam.com