JavaScript is disabled in your browser. Please enable JavaScript to view this website.
AB134179

Anti-Integrin beta 1 antibody [EPR1040Y]

  • BOND RX™ Validated
  • RabMAb
  • Recombinant
  • KO Validated
  • 20ul selling size
  • What is this?

5

(5 Reviews)

|

(30 Publications)

Rabbit Recombinant Monoclonal Integrin beta 1 antibody. Suitable for IHC-P, WB and reacts with Human samples. Cited in 30 publications.

View Alternative Names

CD29, FNRB, MDF2, MSK12, ITGB1, Integrin beta-1, Fibronectin receptor subunit beta, Glycoprotein IIa, VLA-4 subunit beta, GPIIA

4 Images
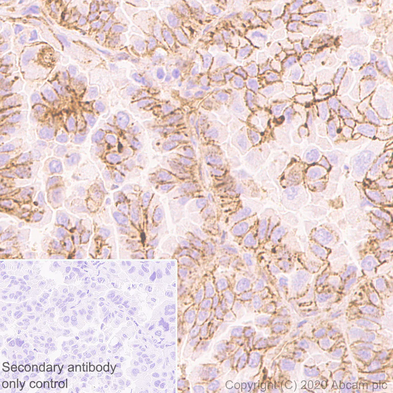
Immunohistochemistry (Formalin/PFA-fixed paraffin-embedded sections) - Anti-Integrin beta 1 antibody [EPR1040Y] (AB134179)
  • IHC-P

Lab

Immunohistochemistry (Formalin/PFA-fixed paraffin-embedded sections) - Anti-Integrin beta 1 antibody [EPR1040Y] (AB134179)

Immunohistochemistry (Formalin/PFA-fixed paraffin-embedded sections) analysis of human lung cancer tissue sections labeling Integrin beta 1 with purified ab134179 at 1/150 dilution (1.02 μg/mL). Heat mediated antigen retrieval was performed using Heat mediated antigen retrieval using Bond™ Epitope Retrieval Solution 2 (pH 9.0). Tissue was counterstained with Hematoxylin. Rabbit specific IHC polymer detection kit HRP/DAB (ab209101) secondary antibody was used at 1/0 dilution. PBS instead of the primary antibody was used as the negative control.

The immunostaining was performed on a Leica Biosystems BOND® RX instrument.

Western blot - Anti-Integrin beta 1 antibody [EPR1040Y] (AB134179)
  • WB

Lab

Western blot - Anti-Integrin beta 1 antibody [EPR1040Y] (AB134179)

Lanes 1- 2 : Merged signal (red and green). Green - ab134179 observed at 140-150 kDa. Red - Anti-GAPDH antibody [6C5] - Loading Control (ab8245) observed at 37 kDa.

ab134179 was shown to react with Integrin beta 1 in wild-type HeLa cells in western blot. Loss of signal was observed when knockout cell line ab255354 (knockout cell lysate ab263847) was used. Wild-type HeLa and ITGB1 knockout HeLa cell lysates were subjected to SDS-PAGE. Membrane was blocked for 1 hour at room temperature in 0.1% TBST with 3% non-fat dried milk. ab134179 and Anti-GAPDH antibody [6C5] - Loading Control (ab8245) overnight at 4°C at a 1 in 500 dilution and a 1 in 20000 dilution respectively. Blots were developed with Goat anti-Rabbit IgG H&L (IRDye®800CW) preadsorbed (ab216773) and Goat anti-Mouse IgG H&L (IRDye®680RD) preadsorbed (ab216776) secondary antibodies at 1 in 20000 dilution for 1 hour at room temperature before imaging.

All lanes:

Western blot - Anti-Integrin beta 1 antibody [EPR1040Y] (ab134179) at 1/500 dilution

Lane 1:

Wild-type HeLa cell lysate at 20 µg

Lane 2:

ITGB1 knockout HeLa cell lysate at 20 µg

Predicted band size: 130 kDa,88 kDa

Observed band size: 140-150 kDa

false

Western blot - Anti-Integrin beta 1 antibody [EPR1040Y] (AB134179)
  • WB

Unknown

Western blot - Anti-Integrin beta 1 antibody [EPR1040Y] (AB134179)

Lanes 1 - 4 : Merged signal (red and green). Green - ab134179 observed at 125 kDa. Red - loading control, ab8245 observed at 37 kDa.

ab134179 was shown to react with Integrin beta 1 in wild-type HeLa. Loss of signal was observed when knockout cell line ab255354 (knockout cell lysate ab263847) was used. Wild-type and Integrin beta 1 knockout samples were subjected to SDS-PAGE. ab134179 and Anti-GAPDH antibody [6C5] - Loading Control (ab8245) were incubated overnight at 4°C at 1 in 500 dilution and 1 in 20000 dilution respectively. Blots were developed with Goat anti-Rabbit IgG H&L (IRDye® 800CW) preadsorbed (ab216773) and Goat anti-Mouse IgG H&L (IRDye® 680RD) preadsorbed (ab216776) secondary antibodies at 1 in 20000 dilution for 1 hour at room temperature before imaging.

All lanes:

Western blot - Anti-Integrin beta 1 antibody [EPR1040Y] (ab134179) at 1/500 dilution

Lane 1:

Wild-type Hap1 cell lysate at 20 µg

Lane 2:

ITGB1 knockout Hap1 cell lysate at 20 µg

Lane 3:

Wild-type HeLa cell lysate at 20 µg

Lane 4:

ITGB1 knockout HeLa cell lysate at 20 µg

Predicted band size: 130 kDa,88 kDa

Observed band size: 37 kDa

false

Western blot - Anti-Integrin beta 1 antibody [EPR1040Y] (AB134179)
  • WB

Unknown

Western blot - Anti-Integrin beta 1 antibody [EPR1040Y] (AB134179)

All lanes:

Western blot - Anti-Integrin beta 1 antibody [EPR1040Y] (ab134179) at 1/1000 dilution

Lane 1:

U-937 (Human histiocytic lymphoma monocyte) whole cell lysate

Lane 2:

HeLa (Human cervix adenocarcinoma epithelial cell) whole cell lysate

Lane 3:

HEK-293 (Human embryonic kidney epithelial cell) whole cell lysate

Lane 4:

Human liver lysate

Secondary

All lanes:

Goat Anti-Rabbit IgG (HRP) with minimal cross-reactivity with human IgG at 1/2000 dilution

Predicted band size: 88 kDa

false

  • 665 Alexa Fluor® 647

    Alexa Fluor® 647 Anti-Integrin beta 1 antibody [EPR1040Y]

  • Carrier free

    Anti-Integrin beta 1 antibody [EPR1040Y] - BSA and Azide free

  • HRP

    HRP Anti-Integrin beta 1 antibody [EPR1040Y]

Key facts

Host species

Rabbit

Clonality

Monoclonal

Clone number

EPR1040Y

Isotype

IgG

Carrier free

No

Reacts with

Human

Applications

WB, IHC-P

applications

Immunogen

The exact immunogen used to generate this antibody is proprietary information.

Reactivity data

{ "title": "Reactivity Data", "filters": { "stats": ["", "Species", "Dilution Info", "Notes"], "tabs": { "all-applications": {"fullname" : "All Applications", "shortname": "All Applications"}, "IHCP" : {"fullname" : "Immunohistochemistry (Formalin/PFA-fixed paraffin-embedded sections)", "shortname":"IHC-P"}, "IP" : {"fullname" : "Immunoprecipitation", "shortname":"IP"}, "FlowCyt" : {"fullname" : "Flow Cytometry", "shortname":"Flow Cyt"}, "WB" : {"fullname" : "Western blot", "shortname":"WB"}, "ICCIF" : {"fullname" : "Immunocytochemistry/ Immunofluorescence", "shortname":"ICC/IF"} }, "product-promise": { "all": "all", "testedAndGuaranteed": "tested", "guaranteed": "expected", "predicted": "predicted", "notRecommended": "not-recommended" } }, "values": { "Human": { "IHCP-species-checked": "testedAndGuaranteed", "IHCP-species-dilution-info": "1/100 - 1/250", "IHCP-species-notes": "<p>HIER is recommended with Tris-EDTA (pH 9.0) or citrate (pH 6.0) buffer.</p> Perform heat-mediated antigen retrieval before commencing with IHC staining protocol.", "IP-species-checked": "notRecommended", "IP-species-dilution-info": "", "IP-species-notes": "<p></p>", "FlowCyt-species-checked": "notRecommended", "FlowCyt-species-dilution-info": "1/100 - 1/1000", "FlowCyt-species-notes": "<p><a href='/en-us/products/primary-antibodies/rabbit-igg-monoclonal-epr25a-isotype-control-ab172730'>ab172730</a> - Rabbit monoclonal IgG, is suitable for use as an isotype control with this antibody.</p>", "WB-species-checked": "testedAndGuaranteed", "WB-species-dilution-info": "1/1000", "WB-species-notes": "<p></p>", "ICCIF-species-checked": "notRecommended", "ICCIF-species-dilution-info": "1/250", "ICCIF-species-notes": "<p></p>" } } }

Product details

Species reactivity
Mouse, Rat: We have preliminary internal testing data to indicate this antibody may not react with these species.
Please contact us for more information.

Patented technology
Our RabMAb® technology is a patented hybridoma-based technology for making rabbit monoclonal antibodies. For details on our patents, please refer to RabMAb® patents.

What are the advantages of a recombinant monoclonal antibody?
This product is a recombinant monoclonal antibody, which offers several advantages including:

  • - High batch-to-batch consistency and reproducibility
  • - Improved sensitivity and specificity
  • - Long-term security of supply
  • - Animal-free batch production

For more information, read more on recombinant antibodies.

Properties and storage information

Form
Liquid
Purification technique
Affinity purification Protein A
Storage buffer
pH: 7.2 - 7.4 Preservative: 0.01% Sodium azide Constituents: PBS, 40% Glycerol (glycerin, glycerine), 0.05% BSA
Shipped at conditions
Blue Ice
Appropriate short-term storage conditions
+4°C
Appropriate long-term storage conditions
-20°C
Storage information
Stable for 12 months at -20°C

Supplementary information

This supplementary information is collated from multiple sources and compiled automatically.

Integrin beta 1 also known as CD29 ITGB1 or integrin β1 is a part of the integrin family of cell surface receptors. This protein plays a role in cell adhesion and signal transduction processes. Integrin beta 1 weighs around 88 kDa and typically expresses on the surface of various cell types including epithelial endothelial and certain blood cells. As a transmembrane receptor it interacts with extracellular matrix components such as fibronectin collagen and laminin facilitating cell-matrix adhesion which is key in maintaining cellular structure and function.
Biological function summary

Integrin beta 1 functions in cells as a component of heterodimeric complexes with alpha integrin subunits forming adhesion receptors that mediate cellular signaling. These integrins are important for processes like cell migration differentiation proliferation and apoptosis. As they interact with various extracellular ligands integrin beta 1 influences numerous cellular responses particularly in tissue remodeling wound healing and embryonic development.

Pathways

Integrin beta 1 plays significant roles in the MAPK/ERK and PI3K/Akt signaling pathways both of which are essential for cellular growth and survival signals. It forms connections with associated proteins including focal adhesion kinase (FAK) and talin which participate in mechanotransduction and signal propagation. These interactions influence cellular responses to environmental changes impacting processes such as tissue repair and immune response modulation.

Integrin beta 1 associates with cancer progression and fibrosis disorders. Abnormal expression or function of integrin beta 1 can promote tumor invasion and metastasis making it a target for cancer research and potential therapeutic interventions. Furthermore in fibrosis integrin beta 1 interacts with transforming growth factor-beta (TGF-β) signaling contributing to excessive extracellular matrix production and scarring. Understanding these relationships helps in developing targeted treatments for conditions where integrin beta 1 plays a critical role.

Product protocols

For this product, it's our understanding that no specific protocols are required. You can visit:

Target data

Integrins alpha-1/beta-1, alpha-2/beta-1, alpha-10/beta-1 and alpha-11/beta-1 are receptors for collagen. Integrins alpha-1/beta-1 and alpha-2/beta-2 recognize the proline-hydroxylated sequence G-F-P-G-E-R in collagen. Integrins alpha-2/beta-1, alpha-3/beta-1, alpha-4/beta-1, alpha-5/beta-1, alpha-8/beta-1, alpha-10/beta-1, alpha-11/beta-1 and alpha-V/beta-1 are receptors for fibronectin. Alpha-4/beta-1 recognizes one or more domains within the alternatively spliced CS-1 and CS-5 regions of fibronectin. Integrin alpha-5/beta-1 is a receptor for fibrinogen. Integrin alpha-1/beta-1, alpha-2/beta-1, alpha-6/beta-1 and alpha-7/beta-1 are receptors for lamimin. Integrin alpha-6/beta-1 (ITGA6 : ITGB1) is present in oocytes and is involved in sperm-egg fusion (By similarity). Integrin alpha-4/beta-1 is a receptor for VCAM1. It recognizes the sequence Q-I-D-S in VCAM1. Integrin alpha-9/beta-1 is a receptor for VCAM1, cytotactin and osteopontin. It recognizes the sequence A-E-I-D-G-I-E-L in cytotactin. Integrin alpha-3/beta-1 is a receptor for epiligrin, thrombospondin and CSPG4. Alpha-3/beta-1 may mediate with LGALS3 the stimulation by CSPG4 of endothelial cells migration. Integrin alpha-V/beta-1 is a receptor for vitronectin. Beta-1 integrins recognize the sequence R-G-D in a wide array of ligands. When associated with alpha-7 integrin, regulates cell adhesion and laminin matrix deposition. Involved in promoting endothelial cell motility and angiogenesis. Involved in osteoblast compaction through the fibronectin fibrillogenesis cell-mediated matrix assembly process and the formation of mineralized bone nodules. May be involved in up-regulation of the activity of kinases such as PKC via binding to KRT1. Together with KRT1 and RACK1, serves as a platform for SRC activation or inactivation. Plays a mechanistic adhesive role during telophase, required for the successful completion of cytokinesis. Integrin alpha-3/beta-1 provides a docking site for FAP (seprase) at invadopodia plasma membranes in a collagen-dependent manner and hence may participate in the adhesion, formation of invadopodia and matrix degradation processes, promoting cell invasion. ITGA4 : ITGB1 binds to fractalkine (CX3CL1) and may act as its coreceptor in CX3CR1-dependent fractalkine signaling (PubMed : 23125415, PubMed : 24789099). ITGA4 : ITGB1 and ITGA5 : ITGB1 bind to PLA2G2A via a site (site 2) which is distinct from the classical ligand-binding site (site 1) and this induces integrin conformational changes and enhanced ligand binding to site 1 (PubMed : 18635536, PubMed : 25398877). ITGA5 : ITGB1 acts as a receptor for fibrillin-1 (FBN1) and mediates R-G-D-dependent cell adhesion to FBN1 (PubMed : 12807887, PubMed : 17158881). ITGA5 : ITGB1 acts as a receptor for fibronectin FN1 and mediates R-G-D-dependent cell adhesion to FN1 (PubMed : 33962943). ITGA5 : ITGB1 is a receptor for IL1B and binding is essential for IL1B signaling (PubMed : 29030430). ITGA5 : ITGB3 is a receptor for soluble CD40LG and is required for CD40/CD40LG signaling (PubMed : 31331973). Plays an important role in myoblast differentiation and fusion during skeletal myogenesis (By similarity). ITGA9 : ITGB1 may play a crucial role in SVEP1/polydom-mediated myoblast cell adhesion (By similarity). Integrins ITGA9 : ITGB1 and ITGA4 : ITGB1 repress PRKCA-mediated L-type voltage-gated channel Ca(2+) influx and ROCK-mediated calcium sensitivity in vascular smooth muscle cells via their interaction with SVEP1, thereby inhibit vasocontraction (PubMed : 35802072).. Isoform 2. Interferes with isoform 1 resulting in a dominant negative effect on cell adhesion and migration (in vitro).. Isoform 5. Isoform 5 displaces isoform 1 in striated muscles.. (Microbial infection) Integrin ITGA2 : ITGB1 acts as a receptor for Human echoviruses 1 and 8.. (Microbial infection) Acts as a receptor for Cytomegalovirus/HHV-5.. (Microbial infection) Acts as a receptor for Epstein-Barr virus/HHV-4.. (Microbial infection) Integrin ITGA5 : ITGB1 acts as a receptor for Human parvovirus B19.. (Microbial infection) Integrin ITGA2 : ITGB1 acts as a receptor for Human rotavirus.. (Microbial infection) Acts as a receptor for Mammalian reovirus.. (Microbial infection) In case of HIV-1 infection, integrin ITGA5 : ITGB1 binding to extracellular viral Tat protein seems to enhance angiogenesis in Kaposi's sarcoma lesions.. (Microbial infection) Interacts with CotH proteins expressed by fungi of the order mucorales, the causative agent of mucormycosis, which plays an important role in epithelial cell invasion by the fungi (PubMed : 32487760). Integrin ITGA3 : ITGB1 may act as a receptor for R.delemar CotH7 in alveolar epithelial cells, which may be an early step in pulmonary mucormycosis disease progression (PubMed : 32487760).. (Microbial infection) May serve as a receptor for adhesin A (nadA) of N.meningitidis.
See full target information ITGB1

Publications (30)

Recent publications for all applications. Explore the full list and refine your search

Stem cell research & therapy 15:462 PubMed39627883

2024

Exosomes derived from minor salivary gland mesenchymal stem cells: a promising novel exosome exhibiting pro-angiogenic and wound healing effects similar to those of adipose-derived stem cell exosomes.

Applications

Unspecified application

Species

Unspecified reactive species

Haibo Xiang,Pengbing Ding,Jiaying Qian,Enhang Lu,Yimou Sun,Seyeon Lee,Zhenkun Zhao,Zhixuan Sun,Zhenmin Zhao

Open medicine (Warsaw, Poland) 18:20220539 PubMed36760719

2023

Propofol-mediated circ_0000735 downregulation restrains tumor growth by decreasing integrin-β1 expression in non-small cell lung cancer.

Applications

Unspecified application

Species

Unspecified reactive species

Lihui Zhang,Yunli Gao,Yue Li,Xinying Li,Haixia Gong

Journal of extracellular biology 1:e70 PubMed38938599

2022

GMP-compliant manufacturing of biologically active cell-derived vesicles produced by extrusion technology.

Applications

Unspecified application

Species

Unspecified reactive species

Hui-Chong Lau,Dong Woo Han,Jinhee Park,Edwine Lehner,Carina Kals,Claudia Arzt,Elisabeth Bayer,Daniela Auer,Tanja Schally,Eva Grasmann,Han Fang,Jae-Young Lee,Hyun Soo Lee,Jinah Han,Mario Gimona,Eva Rohde,Shingyu Bae,Seung Wook Oh

Cell reports 41:111580 PubMed36323248

2022

Multi-omic profiling reveals the ataxia protein sacsin is required for integrin trafficking and synaptic organization.

Applications

Unspecified application

Species

Unspecified reactive species

Lisa E L Romano,Wen Yih Aw,Kathryn M Hixson,Tatiana V Novoselova,Tammy M Havener,Stefanie Howell,Bonnie Taylor-Blake,Charlotte L Hall,Lei Xing,Josh Beri,Suran Nethisinghe,Laura Perna,Abubakar Hatimy,Ginevra Chioccioli Altadonna,Lee M Graves,Laura E Herring,Anthony J Hickey,Konstantinos Thalassinos,J Paul Chapple,Justin M Wolter

Bioengineering (Basel, Switzerland) 9: PubMed36134958

2022

Optimized Decellularization Protocol for Large Peripheral Nerve Segments: Towards Personalized Nerve Bioengineering.

Applications

Unspecified application

Species

Unspecified reactive species

Alois Hopf,Lina Al-Bayati,Dirk J Schaefer,Daniel F Kalbermatten,Raphael Guzman,Srinivas Madduri

Frontiers in endocrinology 13:869519 PubMed35721704

2022

Secreted Protein Acidic and Rich in Cysteine Mediates the Development and Progression of Diabetic Retinopathy.

Applications

Unspecified application

Species

Unspecified reactive species

Liying Luo,Xi Sun,Min Tang,Jiahui Wu,Tianwei Qian,Shimei Chen,Zhiyuan Guan,Yanyun Jiang,Yang Fu,Zhi Zheng

Frontiers in immunology 13:749241 PubMed35529878

2022

The Comprehensive Analysis Identified an Autophagy Signature for the Prognosis and the Immunotherapy Efficiency Prediction in Lung Adenocarcinoma.

Applications

Unspecified application

Species

Unspecified reactive species

Xizhe Li,Ziyu Dai,Xianning Wu,Nan Zhang,Hao Zhang,Zeyu Wang,Xun Zhang,Xisong Liang,Peng Luo,Jian Zhang,Zaoqu Liu,Yanwu Zhou,Quan Cheng,Ruimin Chang

Stem cell research & therapy 13:17 PubMed35022063

2022

Human amniotic mesenchymal stem cells combined with PPCNg facilitate injured endometrial regeneration.

Applications

Unspecified application

Species

Unspecified reactive species

Jiayue Huang,Wenwen Zhang,Jie Yu,Yating Gou,Nizhou Liu,Tingting Wang,Congcong Sun,Benyuan Wu,Changjiang Li,Xinpei Chen,Yanhua Mao,Yingfeng Zhang,Jia Wang

Frontiers in cell and developmental biology 9:764109 PubMed34938733

2021

Identification of the Recombinant Surface-Related Antigen as a Possible Immune Evasion Factor Against Human Splenic Fibroblasts by Targeting ITGB1.

Applications

Unspecified application

Species

Unspecified reactive species

Haitian Fu,Jiachen Lu,Xinxin Zhang,Bo Wang,Yifan Sun,Yao Lei,Feihu Shen,Kokouvi Kassegne,Eun-Taek Han,Yang Cheng

The Journal of investigative dermatology 142:679-691.e3 PubMed34534575

2021

Oncostatin M Improves Cutaneous Wound Re-Epithelialization and Is Deficient under Diabetic Conditions.

Applications

Unspecified application

Species

Unspecified reactive species

Amitava Das,Amit K Madeshiya,Nirupam Biswas,Nandini Ghosh,Mahadeo Gorain,Atul Rawat,Sanskruti P Mahajan,Savita Khanna,Chandan K Sen,Sashwati Roy
View all publications

Product promise

We are committed to supporting your work with high-quality reagents, and we're here for you every step of the way. In the unlikely event that one of our products does not perform as expected, you're protected by our Product Promise.
For full details, please see our Terms & Conditions

Please note: All products are 'FOR RESEARCH USE ONLY. NOT FOR USE IN DIAGNOSTIC OR THERAPEUTIC PROCEDURES'.

For licensing inquiries, please contact partnerships@abcam.com