JavaScript is disabled in your browser. Please enable JavaScript to view this website.
AB179472

Anti-Integrin beta 1 antibody [EPR16896]

Be the first to review this product! Submit a review

|

(3 Publications)

Rabbit Recombinant Monoclonal Integrin beta 1 antibody. Suitable for WB and reacts with Mouse, Rat, Human samples. Cited in 3 publications.

View Alternative Names

CD29, FNRB, MDF2, MSK12, ITGB1, Integrin beta-1, Fibronectin receptor subunit beta, Glycoprotein IIa, VLA-4 subunit beta, GPIIA

7 Images
Western blot - Anti-Integrin beta 1 antibody [EPR16896] (AB179472)
  • WB

Lab

Western blot - Anti-Integrin beta 1 antibody [EPR16896] (AB179472)

Lanes 1- 2 : Merged signal (red and green). Green - ab179472 observed at 140-150 kDa. Red - Anti-GAPDH antibody [6C5] - Loading Control (ab8245) observed at 37 kDa.

ab179472 was shown to react with ITGB1 in wild-type HeLa cells in western blot. Loss of signal was observed when knockout cell line ab255354 (knockout cell lysate ab263847) was used. Wild-type HeLa and ITGB1 knockout HeLa cell lysates were subjected to SDS-PAGE. Membrane was blocked for 1 hour at room temperature in 0.1% TBST with 3% non-fat dried milk. ab179472 and Anti-GAPDH antibody [6C5] - Loading Control (ab8245) overnight at 4°C at a 1 in 1000 dilution and a 1 in 20000 dilution respectively. Blots were developed with Goat anti-Rabbit IgG H&L (IRDye®800CW) preadsorbed (ab216773) and Goat anti-Mouse IgG H&L (IRDye®680RD) preadsorbed (ab216776) secondary antibodies at 1 in 20000 dilution for 1 hour at room temperature before imaging.

All lanes:

Western blot - Anti-Integrin beta 1 antibody [EPR16896] (ab179472) at 1/1000 dilution

Lane 1:

Wild-type HeLa cell lysate at 20 µg

Lane 2:

ITGB1 knockout HeLa cell lysate at 20 µg

Predicted band size: 130 kDa,88 kDa

Observed band size: 140-150 kDa

false

Western blot - Anti-Integrin beta 1 antibody [EPR16896] (AB179472)
  • WB

Supplier Data

Western blot - Anti-Integrin beta 1 antibody [EPR16896] (AB179472)

Blocking/Dilution buffer : 5% NFDM/TBST.

The expression profile/ molecular weight observed is consistent with what has been described in the literature (PMID : 23444218 and 23444218).

All lanes:

Western blot - Anti-Integrin beta 1 antibody [EPR16896] (ab179472) at 1/1000 dilution

Lane 1:

Human fetal heart lysate at 10 µg

Lane 2:

Human fetal kidney lysate at 10 µg

Lane 3:

Human fetal spleen lysate at 10 µg

Secondary

All lanes:

Goat Anti-Rabbit IgG Peroxidase Conjugate, specific to the non-reduced form of IgG at 1/100000 dilution

Predicted band size: 68 kDa,72 kDa,81 kDa,88 kDa

Observed band size: 120 kDa,125 kDa,81 kDa

false

Exposure time: 10s

Western blot - Anti-Integrin beta 1 antibody [EPR16896] (AB179472)
  • WB

Lab

Western blot - Anti-Integrin beta 1 antibody [EPR16896] (AB179472)

Western blot : Anti-Integrin beta 1 antibody [EPR16896] ab179472 staining at 1/1000 dilution, shown in green; Mouse anti GAPDH ab8245 loading control staining at 1/20000 dilution, shown in magenta. A band was observed at 100-130 kDa in Wild-type A549 cell lysates with no signal observed at this size in ITGB1 knockout A549 cell line. To generate this image, samples were run on an SDS-PAGE gel then transferred onto a nitrocellulose membrane. Membranes were blocked in 5pc BSA in TBS-0.1 % Tween® 20 (TBS-T) before incubation with primary antibodies overnight at 4 °C. Blots were washed four times in TBS-T, incubated with secondary antibodies for 1 h at room temperature, washed again four times then imaged. Secondary antibodies used were Goat anti-Rabbit 800CW and Goat anti-Mouse 680RD at 1/20,000 dilution.

All lanes:

Western blot - Anti-Integrin beta 1 antibody [EPR16896] (ab179472) at 1/1000 dilution

Lane 1:

Wild-type A549 at 20 µg

Lane 2:

Western blot - Human ITGB1 knockout A549 cell line (<a href='/en-us/products/cell-lines/human-itgb1-knockout-a549-cell-line-ab286593'>ab286593</a>) at 20 µg

Lane 3:

Wild-type HCT 116 at 20 µg

Lane 4:

ITGB1 knockout HCT 116 cell line at 20 µg

Secondary

All lanes:

Goat anti-Rabbit 800CW & Goat anti-Mouse 680RD at 1/20000 dilution

Predicted band size: 88 kDa

Observed band size: 100-130 kDa,37 kDa

false

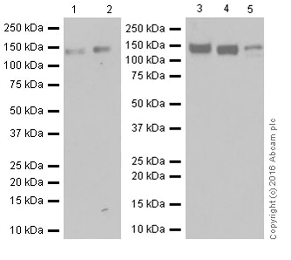
Western blot - Anti-Integrin beta 1 antibody [EPR16896] (AB179472)
  • WB

Supplier Data

Western blot - Anti-Integrin beta 1 antibody [EPR16896] (AB179472)

Blocking/Dilution buffer : 5% NFDM/TBST.

Exposure times : Lane 1, 2 and 3 : 3 seconds; Lane 4 : 3 minutes.

The expression profile/ molecular weight observed is consistent with what has been described in the literature (PMID : 23444218 and 23444218).

All lanes:

Western blot - Anti-Integrin beta 1 antibody [EPR16896] (ab179472) at 1/1000 dilution

Lane 1:

A431 (Human epidermoid carcinoma cell line) whole cell lysate at 20 µg

Lane 2:

U-87 MG (Human glioblastoma-astrocytoma epithelial cell line) whole cell lysate at 20 µg

Lane 3:

HT1080 (Human fibrosarcoma cell line) whole cell lysate at 20 µg

Lane 4:

U937 (Human histiocytic lymphoma cell line) whole cell lysate at 20 µg

Secondary

All lanes:

Western blot - Goat Anti-Rabbit IgG H&L (HRP) (<a href='/en-us/products/secondary-antibodies/goat-rabbit-igg-h-l-hrp-ab97051'>ab97051</a>) at 1/100000 dilution

Predicted band size: 88 kDa

Observed band size: 125 kDa

false

Western blot - Anti-Integrin beta 1 antibody [EPR16896] (AB179472)
  • WB

Lab

Western blot - Anti-Integrin beta 1 antibody [EPR16896] (AB179472)

Lanes 1 - 2 : Merged signal (red and green). Green - ab179472 observed at 130 kDa. Red - loading control ab8245 (Mouse anti-GAPDH antibody [6C5]) observed at 37kDa.

ab179472 was shown to react with Integrin beta 1 in wild-type HCT 116 cells in western blot with loss of signal observed in ITGB1 knockout cell line ab273724 (ITGB1 knockout cell lysate ab275251). Wild-type and ITGB1 knockout HCT 116 cell lysates were subjected to SDS-PAGE. Membranes were blocked in 3% milk in TBS-T (0.1% Tween®) before incubation with ab179472 and ab8245 (Mouse anti-GAPDH antibody [6C5]) overnight at 4°C at a 1 in 1000 dilution and a 1 in 20000 dilution respectively. Blots were incubated with Goat anti-Rabbit IgG H&L (IRDye® 800CW) preabsorbed (ab216773) and Goat anti-Mouse IgG H&L (IRDye® 680RD) preabsorbed (ab216776) secondary antibodies at 1 in 20000 dilution for 1 hour at room temperature before imaging.

All lanes:

Western blot - Anti-Integrin beta 1 antibody [EPR16896] (ab179472) at 1/1000 dilution

Lane 1:

Wild-type HCT116 cell lysate at 20 µg

Lane 2:

ITGB1 knockout HCT116 cell lysate at 20 µg

Lane 2:

Western blot - Human ITGB1 (CD29) knockout HCT116 cell line (<a href='/en-us/products/cell-lines/human-itgb1-cd29-knockout-hct116-cell-line-ab273724'>ab273724</a>)

Predicted band size: 88 kDa

Observed band size: 130 kDa

false

Western blot - Anti-Integrin beta 1 antibody [EPR16896] (AB179472)
  • WB

Lab

Western blot - Anti-Integrin beta 1 antibody [EPR16896] (AB179472)

Lanes 1 - 2 : Merged signal (red and green). Green - ab179472 observed at 125 kDa. Red - loading control, ab9484, observed at 37 kDa.

ab179472 was shown to specifically react with Integrin beta 1 in wild-type HAP1 cells as signal was lost in Integrin beta 1 knockout cells. Wild-type and Integrin beta 1 knockout samples were subjected to SDS-PAGE. ab179472 and ab9484 (Mouse anti-GAPDH loading control) were incubated overnight at 4°C at 1/1000 dilution and 1/20000 dilution respectively. Blots were developed with Goat anti-Rabbit IgG H&L (IRDye® 800CW) preabsorbed ab216773 and Goat anti-Mouse IgG H&L (IRDye® 680RD) preabsorbed ab216776 secondary antibodies at 1/20000 dilution for 1 hour at room temperature before imaging.

All lanes:

Western blot - Anti-Integrin beta 1 antibody [EPR16896] (ab179472) at 1/1000 dilution

Lane 1:

Wild-type HAP1 whole cell lysate at 20 µg

Lane 2:

Integrin beta 1 knockout HAP1 whole cell lysate at 20 µg

Predicted band size: 88 kDa

false

Western blot - Anti-Integrin beta 1 antibody [EPR16896] (AB179472)
  • WB

Supplier Data

Western blot - Anti-Integrin beta 1 antibody [EPR16896] (AB179472)

Blocking/Dilution buffer : 5% NFDM/TBST.

Exposure times : Lane 1 and 2 : 3 minutes; Lane 3,4 and 5 : 1 minute.

The expression profile/ molecular weight observed is consistent with what has been described in the literature (PMID : 23444218 and 23444218).

All lanes:

Western blot - Anti-Integrin beta 1 antibody [EPR16896] (ab179472) at 1/1000 dilution

Lane 1:

Rat kidney lysate at 10 µg

Lane 2:

Rat spleen lysate at 10 µg

Lane 3:

C6 (Rat glial tumor cell line) whole cell lysate at 10 µg

Lane 4:

PC-12 (Rat adrenal gland pheochromocytoma cell line) whole cell lysate at 10 µg

Lane 5:

NIH/3T3 (Mouse embryonic fibroblast cell line) whole cell lysate at 10 µg

Secondary

All lanes:

Western blot - Goat Anti-Rabbit IgG H&L (HRP) (<a href='/en-us/products/secondary-antibodies/goat-rabbit-igg-h-l-hrp-ab97051'>ab97051</a>) at 1/100000 dilution

Predicted band size: 11 kDa,88 kDa

Observed band size: 125 kDa

false

Key facts

Host species

Rabbit

Clonality

Monoclonal

Clone number

EPR16896

Isotype

IgG

Carrier free

No

Reacts with

Mouse, Rat, Human

Applications

WB

applications

Immunogen

The exact immunogen used to generate this antibody is proprietary information.

Reactivity data

{ "title": "Reactivity Data", "filters": { "stats": ["", "Species", "Dilution Info", "Notes"], "tabs": { "all-applications": {"fullname" : "All Applications", "shortname": "All Applications"}, "WB" : {"fullname" : "Western blot", "shortname":"WB"} }, "product-promise": { "all": "all", "testedAndGuaranteed": "tested", "guaranteed": "expected", "predicted": "predicted", "notRecommended": "not-recommended" } }, "values": { "Human": { "WB-species-checked": "testedAndGuaranteed", "WB-species-dilution-info": "1/1000", "WB-species-notes": "<p></p>" }, "Mouse": { "WB-species-checked": "testedAndGuaranteed", "WB-species-dilution-info": "1/1000", "WB-species-notes": "<p></p>" }, "Rat": { "WB-species-checked": "testedAndGuaranteed", "WB-species-dilution-info": "1/1000", "WB-species-notes": "<p></p>" } } }

Product details

Patented technology
Our RabMAb® technology is a patented hybridoma-based technology for making rabbit monoclonal antibodies. For details on our patents, please refer to RabMAb® patents.

What are the advantages of a recombinant monoclonal antibody?
This product is a recombinant monoclonal antibody, which offers several advantages including:

  • - High batch-to-batch consistency and reproducibility
  • - Improved sensitivity and specificity
  • - Long-term security of supply
  • - Animal-free batch production

For more information, read more on recombinant antibodies.

Properties and storage information

Form
Liquid
Purification technique
Affinity purification Protein A
Storage buffer
Preservative: 0.01% Sodium azide Constituents: PBS, 40% Glycerol (glycerin, glycerine), 0.05% BSA
Shipped at conditions
Blue Ice
Appropriate short-term storage duration
1-2 weeks
Appropriate short-term storage conditions
+4°C
Appropriate long-term storage conditions
-20°C
Aliquoting information
Upon delivery aliquot
Storage information
Avoid freeze / thaw cycle

Supplementary information

This supplementary information is collated from multiple sources and compiled automatically.

Integrin beta 1 also known as CD29 ITGB1 or integrin β1 is a part of the integrin family of cell surface receptors. This protein plays a role in cell adhesion and signal transduction processes. Integrin beta 1 weighs around 88 kDa and typically expresses on the surface of various cell types including epithelial endothelial and certain blood cells. As a transmembrane receptor it interacts with extracellular matrix components such as fibronectin collagen and laminin facilitating cell-matrix adhesion which is key in maintaining cellular structure and function.
Biological function summary

Integrin beta 1 functions in cells as a component of heterodimeric complexes with alpha integrin subunits forming adhesion receptors that mediate cellular signaling. These integrins are important for processes like cell migration differentiation proliferation and apoptosis. As they interact with various extracellular ligands integrin beta 1 influences numerous cellular responses particularly in tissue remodeling wound healing and embryonic development.

Pathways

Integrin beta 1 plays significant roles in the MAPK/ERK and PI3K/Akt signaling pathways both of which are essential for cellular growth and survival signals. It forms connections with associated proteins including focal adhesion kinase (FAK) and talin which participate in mechanotransduction and signal propagation. These interactions influence cellular responses to environmental changes impacting processes such as tissue repair and immune response modulation.

Integrin beta 1 associates with cancer progression and fibrosis disorders. Abnormal expression or function of integrin beta 1 can promote tumor invasion and metastasis making it a target for cancer research and potential therapeutic interventions. Furthermore in fibrosis integrin beta 1 interacts with transforming growth factor-beta (TGF-β) signaling contributing to excessive extracellular matrix production and scarring. Understanding these relationships helps in developing targeted treatments for conditions where integrin beta 1 plays a critical role.

Product protocols

For this product, it's our understanding that no specific protocols are required. You can visit:

Target data

Integrins alpha-1/beta-1, alpha-2/beta-1, alpha-10/beta-1 and alpha-11/beta-1 are receptors for collagen. Integrins alpha-1/beta-1 and alpha-2/beta-2 recognize the proline-hydroxylated sequence G-F-P-G-E-R in collagen. Integrins alpha-2/beta-1, alpha-3/beta-1, alpha-4/beta-1, alpha-5/beta-1, alpha-8/beta-1, alpha-10/beta-1, alpha-11/beta-1 and alpha-V/beta-1 are receptors for fibronectin. Alpha-4/beta-1 recognizes one or more domains within the alternatively spliced CS-1 and CS-5 regions of fibronectin. Integrin alpha-5/beta-1 is a receptor for fibrinogen. Integrin alpha-1/beta-1, alpha-2/beta-1, alpha-6/beta-1 and alpha-7/beta-1 are receptors for lamimin. Integrin alpha-6/beta-1 (ITGA6 : ITGB1) is present in oocytes and is involved in sperm-egg fusion (By similarity). Integrin alpha-4/beta-1 is a receptor for VCAM1. It recognizes the sequence Q-I-D-S in VCAM1. Integrin alpha-9/beta-1 is a receptor for VCAM1, cytotactin and osteopontin. It recognizes the sequence A-E-I-D-G-I-E-L in cytotactin. Integrin alpha-3/beta-1 is a receptor for epiligrin, thrombospondin and CSPG4. Alpha-3/beta-1 may mediate with LGALS3 the stimulation by CSPG4 of endothelial cells migration. Integrin alpha-V/beta-1 is a receptor for vitronectin. Beta-1 integrins recognize the sequence R-G-D in a wide array of ligands. When associated with alpha-7 integrin, regulates cell adhesion and laminin matrix deposition. Involved in promoting endothelial cell motility and angiogenesis. Involved in osteoblast compaction through the fibronectin fibrillogenesis cell-mediated matrix assembly process and the formation of mineralized bone nodules. May be involved in up-regulation of the activity of kinases such as PKC via binding to KRT1. Together with KRT1 and RACK1, serves as a platform for SRC activation or inactivation. Plays a mechanistic adhesive role during telophase, required for the successful completion of cytokinesis. Integrin alpha-3/beta-1 provides a docking site for FAP (seprase) at invadopodia plasma membranes in a collagen-dependent manner and hence may participate in the adhesion, formation of invadopodia and matrix degradation processes, promoting cell invasion. ITGA4 : ITGB1 binds to fractalkine (CX3CL1) and may act as its coreceptor in CX3CR1-dependent fractalkine signaling (PubMed : 23125415, PubMed : 24789099). ITGA4 : ITGB1 and ITGA5 : ITGB1 bind to PLA2G2A via a site (site 2) which is distinct from the classical ligand-binding site (site 1) and this induces integrin conformational changes and enhanced ligand binding to site 1 (PubMed : 18635536, PubMed : 25398877). ITGA5 : ITGB1 acts as a receptor for fibrillin-1 (FBN1) and mediates R-G-D-dependent cell adhesion to FBN1 (PubMed : 12807887, PubMed : 17158881). ITGA5 : ITGB1 acts as a receptor for fibronectin FN1 and mediates R-G-D-dependent cell adhesion to FN1 (PubMed : 33962943). ITGA5 : ITGB1 is a receptor for IL1B and binding is essential for IL1B signaling (PubMed : 29030430). ITGA5 : ITGB3 is a receptor for soluble CD40LG and is required for CD40/CD40LG signaling (PubMed : 31331973). Plays an important role in myoblast differentiation and fusion during skeletal myogenesis (By similarity). ITGA9 : ITGB1 may play a crucial role in SVEP1/polydom-mediated myoblast cell adhesion (By similarity). Integrins ITGA9 : ITGB1 and ITGA4 : ITGB1 repress PRKCA-mediated L-type voltage-gated channel Ca(2+) influx and ROCK-mediated calcium sensitivity in vascular smooth muscle cells via their interaction with SVEP1, thereby inhibit vasocontraction (PubMed : 35802072).. Isoform 2. Interferes with isoform 1 resulting in a dominant negative effect on cell adhesion and migration (in vitro).. Isoform 5. Isoform 5 displaces isoform 1 in striated muscles.. (Microbial infection) Integrin ITGA2 : ITGB1 acts as a receptor for Human echoviruses 1 and 8.. (Microbial infection) Acts as a receptor for Cytomegalovirus/HHV-5.. (Microbial infection) Acts as a receptor for Epstein-Barr virus/HHV-4.. (Microbial infection) Integrin ITGA5 : ITGB1 acts as a receptor for Human parvovirus B19.. (Microbial infection) Integrin ITGA2 : ITGB1 acts as a receptor for Human rotavirus.. (Microbial infection) Acts as a receptor for Mammalian reovirus.. (Microbial infection) In case of HIV-1 infection, integrin ITGA5 : ITGB1 binding to extracellular viral Tat protein seems to enhance angiogenesis in Kaposi's sarcoma lesions.. (Microbial infection) Interacts with CotH proteins expressed by fungi of the order mucorales, the causative agent of mucormycosis, which plays an important role in epithelial cell invasion by the fungi (PubMed : 32487760). Integrin ITGA3 : ITGB1 may act as a receptor for R.delemar CotH7 in alveolar epithelial cells, which may be an early step in pulmonary mucormycosis disease progression (PubMed : 32487760).. (Microbial infection) May serve as a receptor for adhesin A (nadA) of N.meningitidis.
See full target information ITGB1

Publications (3)

Recent publications for all applications. Explore the full list and refine your search

Journal of cellular and molecular medicine 28:e18236 PubMed38509746

2024

ICA/SDF-1α/PBMSCs loaded onto alginate and gelatin cross-linked scaffolds promote damaged cartilage repair.

Applications

Unspecified application

Species

Unspecified reactive species

Pengzhen Wang,Pingping Zhu,Wenhui Yin,Jian Wu,Shaoheng Zhang

Nature communications 15:1159 PubMed38326312

2024

Regulating protein corona on nanovesicles by glycosylated polyhydroxy polymer modification for efficient drug delivery.

Applications

Unspecified application

Species

Unspecified reactive species

Yunqiu Miao,Lijun Li,Ying Wang,Jiangyue Wang,Yihan Zhou,Linmiao Guo,Yanqi Zhao,Di Nie,Yang Zhang,Xinxin Zhang,Yong Gan

Experimental and therapeutic medicine 12:1542-1550 PubMed27588075

2016

Changes in tension regulates proliferation and migration of fibroblasts by remodeling expression of ECM proteins.

Applications

WB

Species

Human

Minmin Jiang,Juhui Qiu,Lingling Zhang,Dongyuan Lü,Mian Long,Li Chen,Xiangdong Luo
View all publications

Product promise

We are committed to supporting your work with high-quality reagents, and we're here for you every step of the way. In the unlikely event that one of our products does not perform as expected, you're protected by our Product Promise.
For full details, please see our Terms & Conditions

Please note: All products are 'FOR RESEARCH USE ONLY. NOT FOR USE IN DIAGNOSTIC OR THERAPEUTIC PROCEDURES'.

For licensing inquiries, please contact partnerships@abcam.com