JavaScript is disabled in your browser. Please enable JavaScript to view this website.
AB308384

Anti-Integrin beta 1/CD29 antibody [HL1255]

Be the first to review this product! Submit a review

|

(0 Publication)

Rabbit Recombinant Monoclonal Integrin beta 1 antibody. Carrier free. Suitable for IP, WB and reacts with Human, Cat, Dog, Transfected cell line samples. Immunogen corresponding to Synthetic Peptide within Human ITGB1.

View Alternative Names

CD29, FNRB, MDF2, MSK12, ITGB1, Integrin beta-1, Fibronectin receptor subunit beta, Glycoprotein IIa, VLA-4 subunit beta, GPIIA

5 Images
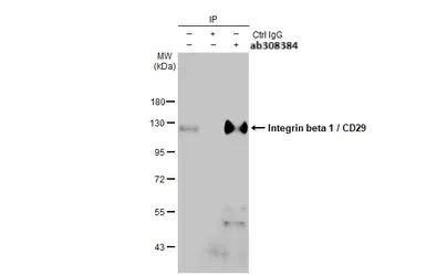
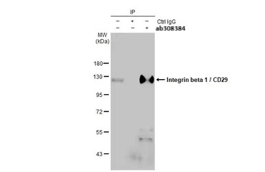
Immunoprecipitation - Anti-Integrin beta 1/CD29 antibody [HL1255] (AB308384)
  • IP

Supplier Data

Immunoprecipitation - Anti-Integrin beta 1/CD29 antibody [HL1255] (AB308384)

Immunoprecipitation of Integrin beta 1 / CD29 protein from A431 whole cell extract using 5 μg of Integrin beta 1 / CD29 antibody [HL1255]. Western blot analysis was performed using Integrin beta 1 / CD29 antibody [HL1255]. HRP-conjugated anti rabbit IgG antibody was used as a secondary.

All lanes:

Immunoprecipitation - Anti-Integrin beta 1/CD29 antibody [HL1255] (ab308384)

All lanes:

A431 whole cell extracts

Secondary

All lanes:

HRP-conjugated anti rabbit IgG antibody

Predicted band size: 88 kDa

false

Western blot - Anti-Integrin beta 1/CD29 antibody [HL1255] (AB308384)
  • WB

Supplier Data

Western blot - Anti-Integrin beta 1/CD29 antibody [HL1255] (AB308384)

Non-transfected (–) and transfected (+) HEK293T whole cell lysates (100 μg) were separated by 7.5% SDS-PAGE, and the membrane was blotted with Integrin beta 1 / CD29 antibody [HL1255] (ab308384) diluted at 1/50000. A HRP-conjugated anti-rabbit IgG antibody was used to detect the primary antibody, and the signal was developed with Trident ECL plus-Enhanced.

All lanes:

Western blot - Anti-Integrin beta 1/CD29 antibody [HL1255] (ab308384) at 1/50000 dilution

Lane 1:

Non-transfected (–) HEK293T whole cell lysates at 100 µg

Lane 2:

Transfected (+) HEK293T whole cell lysates at 100 µg

Secondary

All lanes:

HRP-conjugated anti-rabbit IgG antibody

Predicted band size: 88.4 kDa

true

Western blot - Anti-Integrin beta 1/CD29 antibody [HL1255] (AB308384)
  • WB

Supplier Data

Western blot - Anti-Integrin beta 1/CD29 antibody [HL1255] (AB308384)

Various whole cell extracts (30 μg) were separated by 7.5% SDS-PAGE, and the membrane was blotted with Integrin beta 1 / CD29 antibody [HL1255] (ab308384) diluted at 1/10000. A HRP-conjugated anti-rabbit IgG antibody was used to detect the primary antibody.

All lanes:

Western blot - Anti-Integrin beta 1/CD29 antibody [HL1255] (ab308384) at 1/10000 dilution

Lane 1:

SK-N-SH cell lysate at 30 µg

Lane 2:

IMR32 cell lysate at 30 µg

Secondary

All lanes:

HRP-conjugated anti-rabbit IgG antibody

Predicted band size: 88.4 kDa

false

Western blot - Anti-Integrin beta 1/CD29 antibody [HL1255] (AB308384)
  • WB

Supplier Data

Western blot - Anti-Integrin beta 1/CD29 antibody [HL1255] (AB308384)

Samples were separated by SDS-PAGE.

All lanes:

Western blot - Anti-Integrin beta 1/CD29 antibody [HL1255] (ab308384) at 1/20000 dilution

Lane 1:

Wild-type (WT) HeLa cell extracts at 30 µg

Lane 2:

ITGB1 knockout (KO) HeLa cell extracts at 30 µg

Secondary

All lanes:

HRP-conjugated anti-rabbit IgG antibody

Predicted band size: 88 kDa

false

Western blot - Anti-Integrin beta 1/CD29 antibody [HL1255] (AB308384)
  • WB

Supplier Data

Western blot - Anti-Integrin beta 1/CD29 antibody [HL1255] (AB308384)

Various whole cell extracts (30 μg) were separated by 7.5% SDS-PAGE, and the membrane was blotted with Integrin beta 1 / CD29 antibody [HL1255] (ab308384) diluted at 1/1000. A HRP-conjugated anti-rabbit IgG antibody was used to detect the primary antibody.

All lanes:

Western blot - Anti-Integrin beta 1/CD29 antibody [HL1255] (ab308384) at 1/1000 dilution

Lane 1:

MDCK cell lysate at 30 µg

Lane 2:

PG4 cell lysate at 30 µg

Secondary

All lanes:

HRP-conjugated anti-rabbit IgG antibody

Predicted band size: 88.4 kDa

false

Key facts

Host species

Rabbit

Clonality

Monoclonal

Clone number

HL1255

Isotype

IgG

Carrier free

Yes

Reacts with

Cat, Dog, Human

Applications

WB, IP

applications

Immunogen

Synthetic Peptide within Human ITGB1. The exact immunogen used to generate this antibody is proprietary information.

P05556

Reactivity data

{ "title": "Reactivity Data", "filters": { "stats": ["", "Species", "Dilution Info", "Notes"], "tabs": { "all-applications": {"fullname" : "All Applications", "shortname": "All Applications"}, "IP" : {"fullname" : "Immunoprecipitation", "shortname":"IP"}, "WB" : {"fullname" : "Western blot", "shortname":"WB"} }, "product-promise": { "all": "all", "testedAndGuaranteed": "tested", "guaranteed": "expected", "predicted": "predicted", "notRecommended": "not-recommended" } }, "values": { "Human": { "IP-species-checked": "testedAndGuaranteed", "IP-species-dilution-info": "1/100 - 1/500", "IP-species-notes": "<p></p>", "WB-species-checked": "testedAndGuaranteed", "WB-species-dilution-info": "1/1000 - 1/50000", "WB-species-notes": "<p></p>" }, "Cat": { "IP-species-checked": "guaranteed", "IP-species-dilution-info": "", "IP-species-notes": "", "WB-species-checked": "testedAndGuaranteed", "WB-species-dilution-info": "1/1000 - 1/50000", "WB-species-notes": "<p></p>" }, "Dog": { "IP-species-checked": "guaranteed", "IP-species-dilution-info": "", "IP-species-notes": "", "WB-species-checked": "testedAndGuaranteed", "WB-species-dilution-info": "1/1000 - 1/50000", "WB-species-notes": "<p></p>" }, "Transfected cell line": { "IP-species-checked": "notRecommended", "IP-species-dilution-info": "", "IP-species-notes": "", "WB-species-checked": "testedAndGuaranteed", "WB-species-dilution-info": "1/1000 - 1/50000", "WB-species-notes": "<p></p>" } } }

Product details

What are the advantages of a recombinant monoclonal antibody?
This product is a recombinant monoclonal antibody, which offers several advantages including:

  • - High batch-to-batch consistency and reproducibility
  • - Improved sensitivity and specificity
  • - Long-term security of supply
  • - Animal-free batch production

For more information, read more on recombinant antibodies.

Conjugation ready
Our carrier-free antibodies are typically supplied in a PBS-only formulation, purified and free of BSA, sodium azide and glycerol. This conjugation-ready format is designed for use with fluorochromes, metal isotopes, oligonucleotides, and enzymes, which makes them ideal for antibody labelling, functional and cell-based assays, flow-based assays (e.g. mass cytometry) and Multiplex Imaging applications.

Use our conjugation kits for antibody conjugates that are ready-to-use in as little as 20 minutes with 1 minute hands-on-time and 100% antibody recovery: available for fluorescent dyes, HRP, biotin and gold.

Properties and storage information

Form
Liquid
Purification technique
Affinity purification Protein A
Storage buffer
pH: 7.4 Constituents: PBS
Shipped at conditions
Blue Ice
Appropriate short-term storage duration
1-2 weeks
Appropriate short-term storage conditions
+4°C
Appropriate long-term storage conditions
+4°C
Aliquoting information
Upon delivery aliquot
Storage information
Avoid freeze / thaw cycle

Supplementary information

This supplementary information is collated from multiple sources and compiled automatically.

Integrin beta 1 also known as CD29 ITGB1 or integrin β1 is a part of the integrin family of cell surface receptors. This protein plays a role in cell adhesion and signal transduction processes. Integrin beta 1 weighs around 88 kDa and typically expresses on the surface of various cell types including epithelial endothelial and certain blood cells. As a transmembrane receptor it interacts with extracellular matrix components such as fibronectin collagen and laminin facilitating cell-matrix adhesion which is key in maintaining cellular structure and function.
Biological function summary

Integrin beta 1 functions in cells as a component of heterodimeric complexes with alpha integrin subunits forming adhesion receptors that mediate cellular signaling. These integrins are important for processes like cell migration differentiation proliferation and apoptosis. As they interact with various extracellular ligands integrin beta 1 influences numerous cellular responses particularly in tissue remodeling wound healing and embryonic development.

Pathways

Integrin beta 1 plays significant roles in the MAPK/ERK and PI3K/Akt signaling pathways both of which are essential for cellular growth and survival signals. It forms connections with associated proteins including focal adhesion kinase (FAK) and talin which participate in mechanotransduction and signal propagation. These interactions influence cellular responses to environmental changes impacting processes such as tissue repair and immune response modulation.

Integrin beta 1 associates with cancer progression and fibrosis disorders. Abnormal expression or function of integrin beta 1 can promote tumor invasion and metastasis making it a target for cancer research and potential therapeutic interventions. Furthermore in fibrosis integrin beta 1 interacts with transforming growth factor-beta (TGF-β) signaling contributing to excessive extracellular matrix production and scarring. Understanding these relationships helps in developing targeted treatments for conditions where integrin beta 1 plays a critical role.

Product protocols

For this product, it's our understanding that no specific protocols are required. You can visit:

Target data

Integrins alpha-1/beta-1, alpha-2/beta-1, alpha-10/beta-1 and alpha-11/beta-1 are receptors for collagen. Integrins alpha-1/beta-1 and alpha-2/beta-2 recognize the proline-hydroxylated sequence G-F-P-G-E-R in collagen. Integrins alpha-2/beta-1, alpha-3/beta-1, alpha-4/beta-1, alpha-5/beta-1, alpha-8/beta-1, alpha-10/beta-1, alpha-11/beta-1 and alpha-V/beta-1 are receptors for fibronectin. Alpha-4/beta-1 recognizes one or more domains within the alternatively spliced CS-1 and CS-5 regions of fibronectin. Integrin alpha-5/beta-1 is a receptor for fibrinogen. Integrin alpha-1/beta-1, alpha-2/beta-1, alpha-6/beta-1 and alpha-7/beta-1 are receptors for lamimin. Integrin alpha-6/beta-1 (ITGA6 : ITGB1) is present in oocytes and is involved in sperm-egg fusion (By similarity). Integrin alpha-4/beta-1 is a receptor for VCAM1. It recognizes the sequence Q-I-D-S in VCAM1. Integrin alpha-9/beta-1 is a receptor for VCAM1, cytotactin and osteopontin. It recognizes the sequence A-E-I-D-G-I-E-L in cytotactin. Integrin alpha-3/beta-1 is a receptor for epiligrin, thrombospondin and CSPG4. Alpha-3/beta-1 may mediate with LGALS3 the stimulation by CSPG4 of endothelial cells migration. Integrin alpha-V/beta-1 is a receptor for vitronectin. Beta-1 integrins recognize the sequence R-G-D in a wide array of ligands. When associated with alpha-7 integrin, regulates cell adhesion and laminin matrix deposition. Involved in promoting endothelial cell motility and angiogenesis. Involved in osteoblast compaction through the fibronectin fibrillogenesis cell-mediated matrix assembly process and the formation of mineralized bone nodules. May be involved in up-regulation of the activity of kinases such as PKC via binding to KRT1. Together with KRT1 and RACK1, serves as a platform for SRC activation or inactivation. Plays a mechanistic adhesive role during telophase, required for the successful completion of cytokinesis. Integrin alpha-3/beta-1 provides a docking site for FAP (seprase) at invadopodia plasma membranes in a collagen-dependent manner and hence may participate in the adhesion, formation of invadopodia and matrix degradation processes, promoting cell invasion. ITGA4 : ITGB1 binds to fractalkine (CX3CL1) and may act as its coreceptor in CX3CR1-dependent fractalkine signaling (PubMed : 23125415, PubMed : 24789099). ITGA4 : ITGB1 and ITGA5 : ITGB1 bind to PLA2G2A via a site (site 2) which is distinct from the classical ligand-binding site (site 1) and this induces integrin conformational changes and enhanced ligand binding to site 1 (PubMed : 18635536, PubMed : 25398877). ITGA5 : ITGB1 acts as a receptor for fibrillin-1 (FBN1) and mediates R-G-D-dependent cell adhesion to FBN1 (PubMed : 12807887, PubMed : 17158881). ITGA5 : ITGB1 acts as a receptor for fibronectin FN1 and mediates R-G-D-dependent cell adhesion to FN1 (PubMed : 33962943). ITGA5 : ITGB1 is a receptor for IL1B and binding is essential for IL1B signaling (PubMed : 29030430). ITGA5 : ITGB3 is a receptor for soluble CD40LG and is required for CD40/CD40LG signaling (PubMed : 31331973). Plays an important role in myoblast differentiation and fusion during skeletal myogenesis (By similarity). ITGA9 : ITGB1 may play a crucial role in SVEP1/polydom-mediated myoblast cell adhesion (By similarity). Integrins ITGA9 : ITGB1 and ITGA4 : ITGB1 repress PRKCA-mediated L-type voltage-gated channel Ca(2+) influx and ROCK-mediated calcium sensitivity in vascular smooth muscle cells via their interaction with SVEP1, thereby inhibit vasocontraction (PubMed : 35802072).. Isoform 2. Interferes with isoform 1 resulting in a dominant negative effect on cell adhesion and migration (in vitro).. Isoform 5. Isoform 5 displaces isoform 1 in striated muscles.. (Microbial infection) Integrin ITGA2 : ITGB1 acts as a receptor for Human echoviruses 1 and 8.. (Microbial infection) Acts as a receptor for Cytomegalovirus/HHV-5.. (Microbial infection) Acts as a receptor for Epstein-Barr virus/HHV-4.. (Microbial infection) Integrin ITGA5 : ITGB1 acts as a receptor for Human parvovirus B19.. (Microbial infection) Integrin ITGA2 : ITGB1 acts as a receptor for Human rotavirus.. (Microbial infection) Acts as a receptor for Mammalian reovirus.. (Microbial infection) In case of HIV-1 infection, integrin ITGA5 : ITGB1 binding to extracellular viral Tat protein seems to enhance angiogenesis in Kaposi's sarcoma lesions.. (Microbial infection) Interacts with CotH proteins expressed by fungi of the order mucorales, the causative agent of mucormycosis, which plays an important role in epithelial cell invasion by the fungi (PubMed : 32487760). Integrin ITGA3 : ITGB1 may act as a receptor for R.delemar CotH7 in alveolar epithelial cells, which may be an early step in pulmonary mucormycosis disease progression (PubMed : 32487760).. (Microbial infection) May serve as a receptor for adhesin A (nadA) of N.meningitidis.
See full target information ITGB1

Product promise

We are committed to supporting your work with high-quality reagents, and we're here for you every step of the way. In the unlikely event that one of our products does not perform as expected, you're protected by our Product Promise.
For full details, please see our Terms & Conditions

Please note: All products are 'FOR RESEARCH USE ONLY. NOT FOR USE IN DIAGNOSTIC OR THERAPEUTIC PROCEDURES'.

For licensing inquiries, please contact partnerships@abcam.com