JavaScript is disabled in your browser. Please enable JavaScript to view this website.
AB240259

Anti-Integrin beta 4 antibody [EPR17517] - BSA and Azide free

Be the first to review this product! Submit a review

|

(1 Publication)

Rabbit Recombinant Monoclonal Integrin beta 4 antibody. Carrier free. Suitable for WB, IHC-P and reacts with Mouse, Human samples. Cited in 1 publication.

View Alternative Names

CD104, Integrin beta-4, GP150, ITGB4

12 Images
Immunohistochemistry (Formalin/PFA-fixed paraffin-embedded sections) - Anti-Integrin beta 4 antibody [EPR17517] - BSA and Azide free (AB240259)
  • IHC-P

Supplier Data

Immunohistochemistry (Formalin/PFA-fixed paraffin-embedded sections) - Anti-Integrin beta 4 antibody [EPR17517] - BSA and Azide free (AB240259)

Immunohistochemical analysis of paraffin-embedded Human colon tissue labeling Integrin beta 4 with ab182120 at 1/250 dilution, followed by Goat Anti-Rabbit IgG H&L (HRP) (ab97051) secondary antibody at 1/500 dilution. Membrane and cytoplasm staining on Human colon epithelium is observed. Counter stained with Hematoxylin.

Secondary antibody only control : Used PBS instead of primary antibody, secondary antibody is Goat Anti-Rabbit IgG H&L (HRP) (ab97051) at 1/500 dilution.

This data was developed using the same antibody clone in a different buffer formulation containing PBS, BSA, glycerol, and sodium azide (ab182120).

Perform heat mediated antigen retrieval with Tris/EDTA buffer pH 9.0 before commencing with IHC staining protocol.

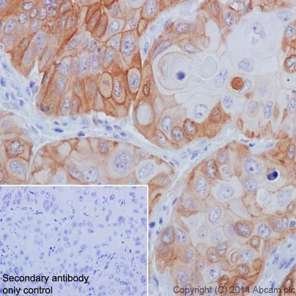
Immunohistochemistry (Formalin/PFA-fixed paraffin-embedded sections) - Anti-Integrin beta 4 antibody [EPR17517] - BSA and Azide free (AB240259)
  • IHC-P

Supplier Data

Immunohistochemistry (Formalin/PFA-fixed paraffin-embedded sections) - Anti-Integrin beta 4 antibody [EPR17517] - BSA and Azide free (AB240259)

Immunohistochemical analysis of paraffin-embedded Human cervical carcinoma tissue labeling Integrin beta 4 with ab182120 at 1/250 dilution, followed by Goat Anti-Rabbit IgG H&L (HRP) (ab97051) secondary antibody at 1/500 dilution. Membrane and cytoplasm staining on Human cervical carcinoma is observed. Counter stained with Hematoxylin.

Secondary antibody only control : Used PBS instead of primary antibody, secondary antibody is Goat Anti-Rabbit IgG H&L (HRP) (ab97051) at 1/500 dilution.

This data was developed using the same antibody clone in a different buffer formulation containing PBS, BSA, glycerol, and sodium azide (ab182120).

Perform heat mediated antigen retrieval with Tris/EDTA buffer pH 9.0 before commencing with IHC staining protocol.

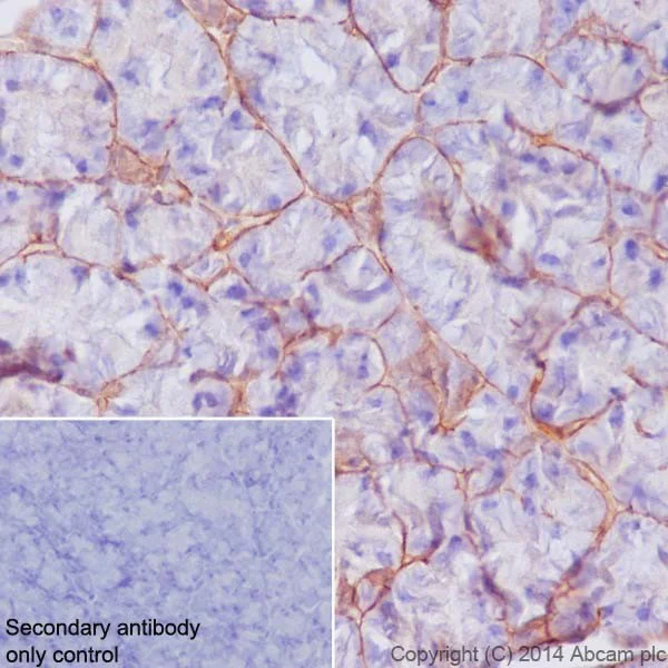
Immunohistochemistry (Formalin/PFA-fixed paraffin-embedded sections) - Anti-Integrin beta 4 antibody [EPR17517] - BSA and Azide free (AB240259)
  • IHC-P

Supplier Data

Immunohistochemistry (Formalin/PFA-fixed paraffin-embedded sections) - Anti-Integrin beta 4 antibody [EPR17517] - BSA and Azide free (AB240259)

Immunohistochemical analysis of paraffin-embedded mouse pancreas tissue labeling Integrin beta 4 with ab182120 at 1/250 dilution, followed by Goat Anti-Rabbit IgG H&L (HRP) (ab97051) secondary antibody at 1/500 dilution. Cell junction staining on mouse pancreatic acinus is observed. Counter stained with Hematoxylin.

Secondary antibody only control : Used PBS instead of primary antibody, secondary antibody is Goat Anti-Rabbit IgG H&L (HRP) (ab97051) at 1/500 dilution.

This data was developed using the same antibody clone in a different buffer formulation containing PBS, BSA, glycerol, and sodium azide (ab182120).

Perform heat mediated antigen retrieval with Tris/EDTA buffer pH 9.0 before commencing with IHC staining protocol.

Western blot - Anti-Integrin beta 4 antibody [EPR17517] - BSA and Azide free (AB240259)
  • WB

Unknown

Western blot - Anti-Integrin beta 4 antibody [EPR17517] - BSA and Azide free (AB240259)

This data was developed using ab182120, the same antibody clone in a different buffer formulation.

Blocking/Dilution buffer : 5% NFDM/TBST.

All lanes:

Western blot - Anti-Integrin beta 4 antibody [EPR17517] - BSA and Azide free (ab240259) at 1/20000 dilution

All lanes:

Human skin lysate at 10 µg

Secondary

All lanes:

Anti-Rabbit IgG (HRP), specific to the non-reduced form of IgG at 1/1000 dilution

Predicted band size: 202 kDa

Observed band size: 210 kDa

false

Exposure time: 30s

Western blot - Anti-Integrin beta 4 antibody [EPR17517] - BSA and Azide free (AB240259)
  • WB

Lab

Western blot - Anti-Integrin beta 4 antibody [EPR17517] - BSA and Azide free (AB240259)

This data was developed using ab182120, the same antibody clone in a different buffer formulation.

Lane 1 : Wild-type HAP1 whole cell lysate (40 μg)
Lane 2 : ITGB4 knockout HAP1 whole cell lysate (40 μg)

Lanes 1 - 2 : Merged signal (red and green). Green - ab182120 observed at 240 kDa. Red - loading control, ab8245, observed at 37 kDa.

ab182120 was shown to specifically recognize ITGB4 in wild-type HAP1 cells alond with additional cross-reactive bands. No band was observed when ITGB4 knockout samples were used. Wild-type and ITGB4 knockout samples were subjected to SDS-PAGE. ab182120 and ab8245 (Mouse anti GAPDH loading control) were incubated overnight at 4°C at 1/1000 dilution and 1/30,000 dilution respectively. Blots were developed with Goat anti-Rabbit IgG H&L (IRDye® 800CW) preabsorbed ab216773 and Goat anti-Mouse IgG H&L (IRDye® 680RD) preabsorbed ab216776 secondary antibodies at 1/20,000 dilution for 1 hour at room temperature before imaging.

All lanes:

Western blot - Anti-Integrin beta 4 antibody [EPR17517] - BSA and Azide free (ab240259)

Predicted band size: 202 kDa

false

Western blot - Anti-Integrin beta 4 antibody [EPR17517] - BSA and Azide free (AB240259)
  • WB

Lab

Western blot - Anti-Integrin beta 4 antibody [EPR17517] - BSA and Azide free (AB240259)

This data was developed using the same antibody clone in a different buffer formulation (ab182120).

Western blot : Anti-ITGB4 antibody [EPR17517] (ab182120) staining at 1/1000 dilution, shown in green; Mouse anti-CANX [CANX/1543] (ab238078) loading control staining at 1/20000 dilution, shown in magenta. In Western blot, ab182120 was shown to bind specifically to ITGB4. A band was observed at 200 kDa in wild-type A549 cell lysates with no signal observed at this size in ITGB4 knockout cell line. To generate this image, wild-type and ITGB4 knockout A549 cell lysates were analysed. First, samples were run on an SDS-PAGE gel then transferred onto a nitrocellulose membrane. Membranes were blocked in 3 % milk in TBS-0.1 % Tween® 20 (TBS-T) before incubation with primary antibodies overnight at 4 °C. Blots were washed four times in TBS-T, incubated with secondary antibodies for 1 h at room temperature, washed again four times then imaged. Secondary antibodies used were Goat anti-Rabbit IgG H&L 800CW and Goat anti-Mouse IgG H&L 680RD at 1/20000 dilution.

All lanes:

Western blot - Anti-Integrin beta 4 antibody [EPR17517] (<a href='/en-us/products/primary-antibodies/integrin-beta-4-antibody-epr17517-ab182120'>ab182120</a>) at 1/1000 dilution

Lane 1:

Wild-type A549 cell lysate at 40 µg

Lane 2:

ITGB4 knockout A549 cell lysate at 40 µg

Secondary

All lanes:

Goat anti-Rabbit IgG H&L 800CW and Goat anti-Mouse IgG H&L 680RD at 1/20000 dilution

Observed band size: 200 kDa

false

Western blot - Anti-Integrin beta 4 antibody [EPR17517] - BSA and Azide free (AB240259)
  • WB

Unknown

Western blot - Anti-Integrin beta 4 antibody [EPR17517] - BSA and Azide free (AB240259)

This data was developed using ab182120, the same antibody clone in a different buffer formulation.

Blocking/Dilution buffer : 5% NFDM/TBST.

All lanes:

Western blot - Anti-Integrin beta 4 antibody [EPR17517] - BSA and Azide free (ab240259) at 1/10000 dilution

All lanes:

Human pancreas lysate at 10 µg

Secondary

All lanes:

Anti-Rabbit IgG (HRP), specific to the non-reduced form of IgG at 1000 µg

Predicted band size: 202 kDa

Observed band size: 210 kDa

false

Exposure time: 30s

Western blot - Anti-Integrin beta 4 antibody [EPR17517] - BSA and Azide free (AB240259)
  • WB

Unknown

Western blot - Anti-Integrin beta 4 antibody [EPR17517] - BSA and Azide free (AB240259)

This data was developed using ab182120, the same antibody clone in a different buffer formulation.

Blocking/Dilution buffer : 5% NFDM/TBST.

All lanes:

Western blot - Anti-Integrin beta 4 antibody [EPR17517] - BSA and Azide free (ab240259) at 1/5000 dilution

All lanes:

SW480 (Human colon adenocarcinoma cell line) whole cell lysate at 10 µg

Secondary

All lanes:

Goat Anti-Rabbit IgG, (H+L),Peroxidase conjugated at 1/1000 dilution

Predicted band size: 202 kDa

Observed band size: 210 kDa

false

Exposure time: 5s

Western blot - Anti-Integrin beta 4 antibody [EPR17517] - BSA and Azide free (AB240259)
  • WB

Supplier Data

Western blot - Anti-Integrin beta 4 antibody [EPR17517] - BSA and Azide free (AB240259)

This data was developed using ab182120, the same antibody clone in a different buffer formulation.

Blocking/Dilution buffer : 5% NFDM/TBST.

All lanes:

Western blot - Anti-Integrin beta 4 antibody [EPR17517] - BSA and Azide free (ab240259) at 1/1000 dilution

All lanes:

BxPC-3 (Human pancreas adenocarcinoma cells) whole cell lysate at 10 µg

Secondary

All lanes:

Goat Anti-Rabbit IgG, (H+L),Peroxidase conjugated at 1/1000 dilution

Predicted band size: 202 kDa

Observed band size: 210 kDa

false

Exposure time: 1s

Western blot - Anti-Integrin beta 4 antibody [EPR17517] - BSA and Azide free (AB240259)
  • WB

Supplier Data

Western blot - Anti-Integrin beta 4 antibody [EPR17517] - BSA and Azide free (AB240259)

This data was developed using ab182120, the same antibody clone in a different buffer formulation.

Blocking/Dilution buffer : 5% NFDM/TBST.

All lanes:

Western blot - Anti-Integrin beta 4 antibody [EPR17517] - BSA and Azide free (ab240259) at 1/1000 dilution

Lane 1:

Mouse pancreas lysate at 10 µg

Lane 2:

Mouse ovary lysate at 10 µg

Secondary

All lanes:

Goat Anti-Rabbit IgG, (H+L),Peroxidase conjugated at 1/1000 dilution

Predicted band size: 202 kDa

Observed band size: 210 kDa

false

Exposure time: 15s

Western blot - Anti-Integrin beta 4 antibody [EPR17517] - BSA and Azide free (AB240259)
  • WB

Unknown

Western blot - Anti-Integrin beta 4 antibody [EPR17517] - BSA and Azide free (AB240259)

This data was developed using ab182120, the same antibody clone in a different buffer formulation.

Blocking/Dilution buffer : 5% NFDM/TBST.

All lanes:

Western blot - Anti-Integrin beta 4 antibody [EPR17517] - BSA and Azide free (ab240259) at 1/20000 dilution

All lanes:

Mouse skin lysate at 10 µg

Secondary

All lanes:

Goat Anti-Rabbit IgG, (H+L),Peroxidase conjugated at 1/1000 dilution

Predicted band size: 202 kDa

Observed band size: 210 kDa

false

Exposure time: 15s

Western blot - Anti-Integrin beta 4 antibody [EPR17517] - BSA and Azide free (AB240259)
  • WB

Supplier Data

Western blot - Anti-Integrin beta 4 antibody [EPR17517] - BSA and Azide free (AB240259)

This data was developed using ab182120, the same antibody clone in a different buffer formulation.

Blocking/Dilution buffer : 5% NFDM/TBST.

All lanes:

Western blot - Anti-Integrin beta 4 antibody [EPR17517] - BSA and Azide free (ab240259) at 1/1000 dilution

Lane 1:

Mouse spleen lysate at 10 µg

Lane 2:

Mouse kidney lysate at 10 µg

Secondary

All lanes:

Goat Anti-Rabbit IgG, (H+L),Peroxidase conjugated at 1/1000 dilution

Predicted band size: 202 kDa

false

Exposure time: 3min

Key facts

Host species

Rabbit

Clonality

Monoclonal

Clone number

EPR17517

Isotype

IgG

Carrier free

Yes

Reacts with

Mouse, Human

Applications

IHC-P, WB

applications

Immunogen

The exact immunogen used to generate this antibody is proprietary information.

Reactivity data

{ "title": "Reactivity Data", "filters": { "stats": ["", "Species", "Dilution Info", "Notes"], "tabs": { "all-applications": {"fullname" : "All Applications", "shortname": "All Applications"}, "WB" : {"fullname" : "Western blot", "shortname":"WB"}, "IHCP" : {"fullname" : "Immunohistochemistry (Formalin/PFA-fixed paraffin-embedded sections)", "shortname":"IHC-P"} }, "product-promise": { "all": "all", "testedAndGuaranteed": "tested", "guaranteed": "expected", "predicted": "predicted", "notRecommended": "not-recommended" } }, "values": { "Human": { "WB-species-checked": "testedAndGuaranteed", "WB-species-dilution-info": "", "WB-species-notes": "<p></p>", "IHCP-species-checked": "testedAndGuaranteed", "IHCP-species-dilution-info": "", "IHCP-species-notes": "<p></p>" }, "Mouse": { "WB-species-checked": "testedAndGuaranteed", "WB-species-dilution-info": "", "WB-species-notes": "<p></p>", "IHCP-species-checked": "testedAndGuaranteed", "IHCP-species-dilution-info": "", "IHCP-species-notes": "<p></p>" } } }

Product details

ab240259 is the carrier-free version of ab182120.

Patented technology
Our RabMAb® technology is a patented hybridoma-based technology for making rabbit monoclonal antibodies. For details on our patents, please refer to RabMAb® patents.

What are the advantages of a recombinant monoclonal antibody?
This product is a recombinant monoclonal antibody, which offers several advantages including:

  • - High batch-to-batch consistency and reproducibility
  • - Improved sensitivity and specificity
  • - Long-term security of supply
  • - Animal-free batch production

For more information, read more on recombinant antibodies.

Conjugation ready
Our carrier-free antibodies are typically supplied in a PBS-only formulation, purified and free of BSA, sodium azide and glycerol. This conjugation-ready format is designed for use with fluorochromes, metal isotopes, oligonucleotides, and enzymes, which makes them ideal for antibody labelling, functional and cell-based assays, flow-based assays (e.g. mass cytometry) and Multiplex Imaging applications.

Use our conjugation kits for antibody conjugates that are ready-to-use in as little as 20 minutes with 1 minute hands-on-time and 100% antibody recovery: available for fluorescent dyes, HRP, biotin and gold.

Compatibility
This product is compatible with the Maxpar® Antibody Labeling Kit from Fluidigm, without the need for antibody preparation. Maxpar® is a trademark of Fluidigm Canada Inc.

Properties and storage information

Form
Liquid
Purification technique
Affinity purification Protein A
Storage buffer
pH: 7.2 - 7.4 Constituents: PBS
Shipped at conditions
Blue Ice
Appropriate short-term storage conditions
+4°C
Appropriate long-term storage conditions
+4°C
Storage information
Do Not Freeze

Supplementary information

This supplementary information is collated from multiple sources and compiled automatically.

Integrin beta 4 also known as ITGB4 integrin ß4 or integrine beta 4 is a transmembrane protein that mechanically links the extracellular matrix to the intracellular cytoskeleton. This protein has a molecular mass of approximately 205 kDa. Integrin beta 4 primarily expresses in epithelial cells particularly those forming stratified and transitional epithelia. It partners with alpha 6 integrin to form the alpha 6 beta 4 integrin complex which plays a significant role in the formation and maintenance of hemidesmosomes.
Biological function summary

Integrin beta 4 is important for anchoring epithelial cells to the basement membrane stabilizing cell layers in tissues. It interacts with intermediate filaments through specific cytoplasmic proteins. The integrin beta 4 complex ensures structural integrity essential for maintaining the skin and mucosal barriers. Integrations with proteins like M126 are essential for strengthening these interactions safeguarding cellular stability and promoting wound healing.

Pathways

Integrin beta 4 is embedded in key signaling pathways that influence cell adhesion and migration. It participates prominently in the PI3K/AKT and RAS pathway collaborations facilitating signal transduction essential for cell growth and survival. Through these pathways integrin beta 4 interacts with proteins like IS200BPIRG1A linking extracellular cues to internal cellular responses.

Integrin beta 4 has associations with epidermolysis bullosa and various cancers. In epidermolysis bullosa mutations in integrin beta 4 impair hemidesmosomal function leading to skin fragility. In cancer integrin beta 4 overexpression or mislocalization contributes to tumor progression affecting cell invasion and metastasis. Its interactions with IS200BPIAG1A or related pathways highlight the protein’s influence on carcinogenic processes and potential as a therapeutic target.

Product protocols

For this product, it's our understanding that no specific protocols are required. You can visit:

Target data

Integrin alpha-6/beta-4 is a receptor for laminin. Plays a critical structural role in the hemidesmosome of epithelial cells. Is required for the regulation of keratinocyte polarity and motility. ITGA6 : ITGB4 binds to NRG1 (via EGF domain) and this binding is essential for NRG1-ERBB signaling (PubMed : 20682778). ITGA6 : ITGB4 binds to IGF1 and this binding is essential for IGF1 signaling (PubMed : 22351760). ITGA6 : ITGB4 binds to IGF2 and this binding is essential for IGF2 signaling (PubMed : 28873464).
See full target information ITGB4

Publications (1)

Recent publications for all applications. Explore the full list and refine your search

Cell 187:3120-3140.e29 PubMed38714197

2024

Mapping the cellular biogeography of human bone marrow niches using single-cell transcriptomics and proteomic imaging.

Applications

Unspecified application

Species

Unspecified reactive species

Shovik Bandyopadhyay,Michael P Duffy,Kyung Jin Ahn,Jonathan H Sussman,Minxing Pang,David Smith,Gwendolyn Duncan,Iris Zhang,Jeffrey Huang,Yulieh Lin,Barbara Xiong,Tamjid Imtiaz,Chia-Hui Chen,Anusha Thadi,Changya Chen,Jason Xu,Melissa Reichart,Zachary Martinez,Caroline Diorio,Chider Chen,Vinodh Pillai,Oraine Snaith,Derek Oldridge,Siddharth Bhattacharyya,Ivan Maillard,Martin Carroll,Charles Nelson,Ling Qin,Kai Tan
View all publications

Product promise

We are committed to supporting your work with high-quality reagents, and we're here for you every step of the way. In the unlikely event that one of our products does not perform as expected, you're protected by our Product Promise.
For full details, please see our Terms & Conditions

Please note: All products are 'FOR RESEARCH USE ONLY. NOT FOR USE IN DIAGNOSTIC OR THERAPEUTIC PROCEDURES'.

For licensing inquiries, please contact partnerships@abcam.com