JavaScript is disabled in your browser. Please enable JavaScript to view this website.
AB236455

Anti-Integrin linked ILK antibody

Be the first to review this product! Submit a review

|

(3 Publications)

Rabbit Polyclonal Integrin linked ILK antibody. Suitable for ICC, WB, IHC-P, ICC/IF and reacts with Human, Mouse, Rat, Zebrafish samples. Cited in 3 publications. Immunogen corresponding to Recombinant Fragment Protein within Human ILK aa 1-250.

View Alternative Names

ILK1, ILK2, ILK, Scaffold protein ILK, ILK-1, ILK-2, Inactive integrin-linked kinase, p59ILK

5 Images
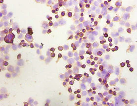
Immunocytochemistry - Anti-Integrin linked ILK antibody (AB236455)
  • ICC

Supplier Data

Immunocytochemistry - Anti-Integrin linked ILK antibody (AB236455)

Paraffin-embedded HEK-293T (human epithelial cell line from embryonic kidney transformed with large T antigen) cells stained for Integrin linked ILK using ab236455 at 1/100 dilution in immunohistochemical analysis.

Immunohistochemistry (Formalin/PFA-fixed paraffin-embedded sections) - Anti-Integrin linked ILK antibody (AB236455)
  • IHC-P

Supplier Data

Immunohistochemistry (Formalin/PFA-fixed paraffin-embedded sections) - Anti-Integrin linked ILK antibody (AB236455)

Paraffin-embedded human skeletal muscle tissue stained for Integrin linked ILK using ab236455 at 1/100 dilution in immunohistochemical analysis.

After dewaxing and hydration, antigen retrieval was mediated by high pressure in a citrate buffer (pH 6.0). Section was blocked with 10% normal goat serum 30 minutes at RT. Then primary antibody (1% BSA) was incubated at 4°C overnight. The primary is detected by a biotinylated secondary antibody and visualized tissue using an HRP conjugated SP system.

Immunocytochemistry/ Immunofluorescence - Anti-Integrin linked ILK antibody (AB236455)
  • ICC/IF

Unknown

Immunocytochemistry/ Immunofluorescence - Anti-Integrin linked ILK antibody (AB236455)

HeLa (human epithelial cell line from cervix adenocarcinoma) cells stained for Integrin linked ILK (green) using ab236455 at 1/100 dilution in ICC/IF, followed by Alexa Fluor 488® conjugated Goat Anti-Rabbit IgG (H+L).

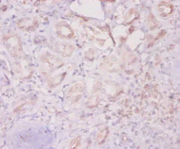
Immunohistochemistry (Formalin/PFA-fixed paraffin-embedded sections) - Anti-Integrin linked ILK antibody (AB236455)
  • IHC-P

Supplier Data

Immunohistochemistry (Formalin/PFA-fixed paraffin-embedded sections) - Anti-Integrin linked ILK antibody (AB236455)

Paraffin-embedded human kidney tissue stained for Integrin linked ILK using ab236455 at 1/100 dilution in immunohistochemical analysis.

Western blot - Anti-Integrin linked ILK antibody (AB236455)
  • WB

Supplier Data

Western blot - Anti-Integrin linked ILK antibody (AB236455)

All lanes:

Western blot - Anti-Integrin linked ILK antibody (ab236455) at 1/500 dilution

Lane 1:

HeLa (human epithelial cell line from cervix adenocarcinoma) whole cell lysate

Lane 2:

NIH/3T3 (mouse embryo fibroblast cell line) whole cell lysate

Lane 3:

HL-60 (human promyelocytic leukemia cell line) whole cell lysate

Lane 4:

Mouse liver lysate

Lane 5:

Mouse lung lysate

Lane 6:

Rat liver lysate

Lane 7:

Rat lung lysate

Lane 8:

Zebrafish lysate

Secondary

All lanes:

Goat polyclonal to Rabbit IgG at 1/10000 dilution

Predicted band size: 51 kDa

false

Key facts

Host species

Rabbit

Clonality

Polyclonal

Isotype

IgG

Carrier free

No

Reacts with

Mouse, Rat, Human, Zebrafish

Applications

IHC-P, ICC/IF, ICC, WB

applications

Immunogen

Recombinant Fragment Protein within Human ILK aa 1-250. The exact immunogen used to generate this antibody is proprietary information.

Q13418

Reactivity data

{ "title": "Reactivity Data", "filters": { "stats": ["", "Species", "Dilution Info", "Notes"], "tabs": { "all-applications": {"fullname" : "All Applications", "shortname": "All Applications"}, "ICC" : {"fullname" : "Immunocytochemistry", "shortname":"ICC"}, "WB" : {"fullname" : "Western blot", "shortname":"WB"}, "IHCP" : {"fullname" : "Immunohistochemistry (Formalin/PFA-fixed paraffin-embedded sections)", "shortname":"IHC-P"}, "ICCIF" : {"fullname" : "Immunocytochemistry/ Immunofluorescence", "shortname":"ICC/IF"} }, "product-promise": { "all": "all", "testedAndGuaranteed": "tested", "guaranteed": "expected", "predicted": "predicted", "notRecommended": "not-recommended" } }, "values": { "Human": { "ICC-species-checked": "testedAndGuaranteed", "ICC-species-dilution-info": "1/100", "ICC-species-notes": "<p></p>", "WB-species-checked": "testedAndGuaranteed", "WB-species-dilution-info": "1/500 - 1/2000", "WB-species-notes": "<p></p>", "IHCP-species-checked": "testedAndGuaranteed", "IHCP-species-dilution-info": "1/20 - 1/200", "IHCP-species-notes": "<p></p>", "ICCIF-species-checked": "testedAndGuaranteed", "ICCIF-species-dilution-info": "1/50 - 1/200", "ICCIF-species-notes": "<p></p>" }, "Mouse": { "ICC-species-checked": "guaranteed", "ICC-species-dilution-info": "", "ICC-species-notes": "", "WB-species-checked": "testedAndGuaranteed", "WB-species-dilution-info": "1/500 - 1/2000", "WB-species-notes": "<p></p>", "IHCP-species-checked": "guaranteed", "IHCP-species-dilution-info": "", "IHCP-species-notes": "", "ICCIF-species-checked": "guaranteed", "ICCIF-species-dilution-info": "", "ICCIF-species-notes": "" }, "Rat": { "ICC-species-checked": "guaranteed", "ICC-species-dilution-info": "", "ICC-species-notes": "", "WB-species-checked": "testedAndGuaranteed", "WB-species-dilution-info": "1/500 - 1/2000", "WB-species-notes": "<p></p>", "IHCP-species-checked": "guaranteed", "IHCP-species-dilution-info": "", "IHCP-species-notes": "", "ICCIF-species-checked": "guaranteed", "ICCIF-species-dilution-info": "", "ICCIF-species-notes": "" }, "Zebrafish": { "ICC-species-checked": "guaranteed", "ICC-species-dilution-info": "", "ICC-species-notes": "", "WB-species-checked": "testedAndGuaranteed", "WB-species-dilution-info": "1/500 - 1/2000", "WB-species-notes": "<p></p>", "IHCP-species-checked": "guaranteed", "IHCP-species-dilution-info": "", "IHCP-species-notes": "", "ICCIF-species-checked": "guaranteed", "ICCIF-species-dilution-info": "", "ICCIF-species-notes": "" } } }

Properties and storage information

Form
Liquid
Purification technique
Affinity purification Protein G
Purification notes
Purity >95%.
Storage buffer
pH: 7.4 Preservative: 0.03% Proclin 300 Constituents: PBS, 50% Glycerol (glycerin, glycerine)
Shipped at conditions
Blue Ice
Appropriate short-term storage duration
1-2 weeks
Appropriate short-term storage conditions
+4°C
Appropriate long-term storage conditions
-20°C
Aliquoting information
Upon delivery aliquot
Storage information
Avoid freeze / thaw cycle

Supplementary information

This supplementary information is collated from multiple sources and compiled automatically.

Integrin-linked kinase (ILK) is a 59 kDa protein involved mechanically in linking the extracellular matrix to the intracellular cytoskeleton. It serves as an important adaptor and scaffold in cell signaling facilitating communication between integrins and other cellular components. Expressed widely in various cell types ILK operates at focal adhesions and plays an important role in regulating cell shape movement and survival. The ILK protein is also referred to as 'integrin-linked protein' in some scientific circles and has significant relevance in cellular mechanics.
Biological function summary

ILK influences numerous cell processes including adhesion migration and proliferation. It forms a complex with other proteins such as parvin and PINCH known collectively as the ILK complex. This complex regulates actin cytoskeletal dynamics affecting cell-extracellular matrix interactions. ILK also modulates signal transduction pathways linked to cell cycle control making it integral to maintaining normal cellular functions. This protein's interaction within the cell influences processes like angiogenesis and tissue remodeling showing its biological significance.

Pathways

ILK participates significantly in the PI3K/Akt and Wnt signaling pathways. It interacts with proteins like Akt and GSK-3β playing an essential role in these pathways. In the PI3K/Akt pathway it mediates cell survival and growth by influencing Akt phosphorylation. Within Wnt signaling ILK's relationship with GSK-3β contributes to regulating β-catenin affecting gene expression downstream. These interactions place ILK as a vital component in cellular signaling networks coordinating important pathway activities.

ILK's malfunction or aberrant expression is linked to cancer and cardiovascular disorders. In cancer excessive ILK expression often correlates with tumor progression and metastasis likely involving interactions with proteins like β-catenin. In cardiovascular diseases dysregulated ILK function can contribute to heart failure where it associates with proteins like Akt affecting cardiac cell survival. These connections highlight the importance of ILK in pathology showing its role beyond normal physiology.

Product protocols

For this product, it's our understanding that no specific protocols are required. You can visit:

Target data

Scaffold protein which mediates protein-protein interactions during a range of cellular events including focal adhesion assembly, cell adhesion and cell migration (PubMed : 17420447, PubMed : 20005845, PubMed : 30367047, PubMed : 32528174). Regulates integrin-mediated signal transduction by contributing to inside-out integrin activation (By similarity). Recruits PARVA and LIMS1/PITCH to form the heterotrimeric IPP (ILK-PINCH-PARVIN) complex which binds to F-actin via the C-terminal tail of LIMS1 and the N-terminal region of PARVA, promoting F-actin filament bundling, a process required to generate force for actin cytoskeleton reorganization and subsequent dynamic cell adhesion events such as cell spreading and migration (PubMed : 30367047). Binding to PARVA promotes effective assembly of ILK into focal adhesions while PARVA-bound ILK can simultaneously engage integrin-beta cytoplasmic tails to mediate cell adhesion (PubMed : 20005845). Plays a role with PARVG in promoting the cell adhesion and spreading of leukocytes (PubMed : 16517730). Acts as an upstream effector of both AKT1/PKB and GSK3 (PubMed : 9736715). Mediates trafficking of caveolae to the cell surface in an ITGB1-dependent manner by promoting the recruitment of IQGAP1 to the cell cortex which cooperates with its effector DIAPH1 to locally stabilize microtubules and allow stable insertion of caveolae into the plasma membrane (By similarity). Required for the maintenance of mitotic spindle integrity by promoting phosphorylation of TACC3 by AURKA (PubMed : 18283114). Associates with chromatin and may act as a negative regulator of transcription when located in the nucleus (PubMed : 17420447).
See full target information ILK

Publications (3)

Recent publications for all applications. Explore the full list and refine your search

Nature communications 14:7032 PubMed37923718

2023

Spliceosome component Usp39 contributes to hepatic lipid homeostasis through the regulation of autophagy.

Applications

Unspecified application

Species

Unspecified reactive species

Donghai Cui,Zixiang Wang,Qianli Dang,Jing Wang,Junchao Qin,Jianping Song,Xiangyu Zhai,Yachao Zhou,Ling Zhao,Gang Lu,Hongbin Liu,Gang Liu,Runping Liu,Changshun Shao,Xiyu Zhang,Zhaojian Liu

Frontiers in pharmacology 12:706617 PubMed34690754

2021

Polysaccharide Reduces Blood Pressure, Renal Damage, and Dysfunction Through the TGF-1-ILK Pathway.

Applications

Unspecified application

Species

Unspecified reactive species

Wei Zheng,Tao Huang,Qi-Zhen Tang,Shi Li,Jie Qin,Feng Chen

American journal of translational research 12:3011-3022 PubMed32655826

2020

Integrin-linked kinase improves uterine receptivity formation by activating Wnt/β-catenin signaling and up-regulating MMP-3/9 expression.

Applications

Unspecified application

Species

Unspecified reactive species

Qian Chen,Ying Ni,Mi Han,Wen-Jie Zhou,Xiao-Bin Zhu,Ai-Jun Zhang
View all publications

Product promise

We are committed to supporting your work with high-quality reagents, and we're here for you every step of the way. In the unlikely event that one of our products does not perform as expected, you're protected by our Product Promise.
For full details, please see our Terms & Conditions

Please note: All products are 'FOR RESEARCH USE ONLY. NOT FOR USE IN DIAGNOSTIC OR THERAPEUTIC PROCEDURES'.

For licensing inquiries, please contact partnerships@abcam.com