JavaScript is disabled in your browser. Please enable JavaScript to view this website.
AB271842

Anti-Integrin linked ILK antibody [EP1593Y] - BSA and Azide free

Be the first to review this product! Submit a review

|

(0 Publication)

Rabbit Recombinant Monoclonal Integrin linked ILK antibody. Carrier free. Suitable for IP, WB, IHC-P and reacts with Human, Rat, African green monkey samples.

View Alternative Names

ILK1, ILK2, ILK, Scaffold protein ILK, ILK-1, ILK-2, Inactive integrin-linked kinase, p59ILK

2 Images
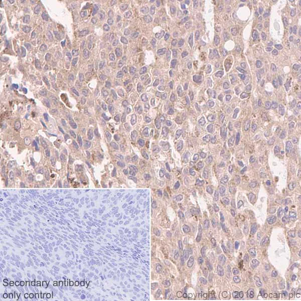
Immunohistochemistry (Formalin/PFA-fixed paraffin-embedded sections) - Anti-Integrin linked ILK antibody [EP1593Y] - BSA and Azide free (AB271842)
  • IHC-P

Unknown

Immunohistochemistry (Formalin/PFA-fixed paraffin-embedded sections) - Anti-Integrin linked ILK antibody [EP1593Y] - BSA and Azide free (AB271842)

Immunohistochemistry (Formalin/PFA-fixed paraffin-embedded sections) analysis of Human lung cancer tissue sections labeling Integrin linked ILK with Purified ab52480 at 1/100 dilution (7.13 μg/ml). Heat mediated antigen retrieval was performed using citrate (pH 6.0).

This data was developed using the same antibody clone in a different buffer formulation containing PBS, BSA, glycerol, and sodium azide (ab52480).

Immunoprecipitation - Anti-Integrin linked ILK antibody [EP1593Y] - BSA and Azide free (AB271842)
  • IP

Unknown

Immunoprecipitation - Anti-Integrin linked ILK antibody [EP1593Y] - BSA and Azide free (AB271842)

ab52480 (purified) at 1 : 40 dilution (2μg) immunoprecipitating Integrin linked ILK in HeLa whole cell lysate.
Lane 1 (input) : HeLa (Human cervix adenocarcinoma epithelial cell) whole cell lysate 10μg
Lane 2 (+) : ab52480 & HeLa whole cell lysate
Lane 3 (-) : Rabbit monoclonal IgG (ab172730) instead of ab52480 in HeLa whole cell lysate
For western blotting, VeriBlot for IP Detection Reagent (HRP) (ab131366) was used for detection at 1 : 1000 dilution.
Blocking and diluting buffer : 5% NFDM/TBST.

This data was developed using the same antibody clone in a different buffer formulation containing PBS, BSA, glycerol, and sodium azide (ab52480).

All lanes:

Immunoprecipitation - Anti-Integrin linked ILK antibody [EP1593Y] (<a href='/en-us/products/primary-antibodies/integrin-linked-ilk-antibody-ep1593y-ab52480'>ab52480</a>)

Predicted band size: 51 kDa

Observed band size: 51 kDa

false

Key facts

Host species

Rabbit

Clonality

Monoclonal

Clone number

EP1593Y

Isotype

IgG

Carrier free

Yes

Reacts with

Rat, Human, African green monkey

Applications

WB, IHC-P, IP

applications

Immunogen

The exact immunogen used to generate this antibody is proprietary information.

Reactivity data

{ "title": "Reactivity Data", "filters": { "stats": ["", "Species", "Dilution Info", "Notes"], "tabs": { "all-applications": {"fullname" : "All Applications", "shortname": "All Applications"}, "ICCIF" : {"fullname" : "Immunocytochemistry/ Immunofluorescence", "shortname":"ICC/IF"}, "IP" : {"fullname" : "Immunoprecipitation", "shortname":"IP"}, "FlowCyt" : {"fullname" : "Flow Cytometry", "shortname":"Flow Cyt"}, "WB" : {"fullname" : "Western blot", "shortname":"WB"}, "IHCP" : {"fullname" : "Immunohistochemistry (Formalin/PFA-fixed paraffin-embedded sections)", "shortname":"IHC-P"} }, "product-promise": { "all": "all", "testedAndGuaranteed": "tested", "guaranteed": "expected", "predicted": "predicted", "notRecommended": "not-recommended" } }, "values": { "Human": { "ICCIF-species-checked": "notRecommended", "ICCIF-species-dilution-info": "", "ICCIF-species-notes": "<p></p>", "IP-species-checked": "testedAndGuaranteed", "IP-species-dilution-info": "", "IP-species-notes": "<p>For unpurified use at 1/30 dilution. ;</p>", "FlowCyt-species-checked": "notRecommended", "FlowCyt-species-dilution-info": "", "FlowCyt-species-notes": "<p><a href='/en-us/products/primary-antibodies/rabbit-igg-monoclonal-epr25a-isotype-control-ab172730'>ab172730</a> - Rabbit monoclonal IgG, is suitable for use as an isotype control with this antibody.</p>", "WB-species-checked": "testedAndGuaranteed", "WB-species-dilution-info": "", "WB-species-notes": "<p>For unpurified use at 1/2000 - 1/10000 dilution. ;</p>", "IHCP-species-checked": "testedAndGuaranteed", "IHCP-species-dilution-info": "", "IHCP-species-notes": "<p>See IHC antigen retrieval protocols.The mouse and rat recommendation is based on the WB results. We do not guarantee IHC-P for mouse and rat.</p>" }, "Mouse": { "ICCIF-species-checked": "notRecommended", "ICCIF-species-dilution-info": "", "ICCIF-species-notes": "", "IP-species-checked": "predicted", "IP-species-dilution-info": "", "IP-species-notes": "", "FlowCyt-species-checked": "notRecommended", "FlowCyt-species-dilution-info": "", "FlowCyt-species-notes": "", "WB-species-checked": "predicted", "WB-species-dilution-info": "", "WB-species-notes": "", "IHCP-species-checked": "predicted", "IHCP-species-dilution-info": "", "IHCP-species-notes": "" }, "Rat": { "ICCIF-species-checked": "notRecommended", "ICCIF-species-dilution-info": "", "ICCIF-species-notes": "<p></p>", "IP-species-checked": "guaranteed", "IP-species-dilution-info": "", "IP-species-notes": "", "FlowCyt-species-checked": "notRecommended", "FlowCyt-species-dilution-info": "", "FlowCyt-species-notes": "<p><a href='/en-us/products/primary-antibodies/rabbit-igg-monoclonal-epr25a-isotype-control-ab172730'>ab172730</a> - Rabbit monoclonal IgG, is suitable for use as an isotype control with this antibody.</p>", "WB-species-checked": "testedAndGuaranteed", "WB-species-dilution-info": "", "WB-species-notes": "<p>For unpurified use at 1/2000 - 1/10000 dilution. ;</p>", "IHCP-species-checked": "guaranteed", "IHCP-species-dilution-info": "", "IHCP-species-notes": "" }, "African green monkey": { "ICCIF-species-checked": "notRecommended", "ICCIF-species-dilution-info": "", "ICCIF-species-notes": "<p></p>", "IP-species-checked": "guaranteed", "IP-species-dilution-info": "", "IP-species-notes": "", "FlowCyt-species-checked": "notRecommended", "FlowCyt-species-dilution-info": "", "FlowCyt-species-notes": "<p><a href='/en-us/products/primary-antibodies/rabbit-igg-monoclonal-epr25a-isotype-control-ab172730'>ab172730</a> - Rabbit monoclonal IgG, is suitable for use as an isotype control with this antibody.</p>", "WB-species-checked": "testedAndGuaranteed", "WB-species-dilution-info": "", "WB-species-notes": "<p>For unpurified use at 1/2000 - 1/10000 dilution. ;</p>", "IHCP-species-checked": "guaranteed", "IHCP-species-dilution-info": "", "IHCP-species-notes": "" }, "Cow": { "ICCIF-species-checked": "notRecommended", "ICCIF-species-dilution-info": "", "ICCIF-species-notes": "", "IP-species-checked": "predicted", "IP-species-dilution-info": "", "IP-species-notes": "", "FlowCyt-species-checked": "notRecommended", "FlowCyt-species-dilution-info": "", "FlowCyt-species-notes": "", "WB-species-checked": "predicted", "WB-species-dilution-info": "", "WB-species-notes": "", "IHCP-species-checked": "predicted", "IHCP-species-dilution-info": "", "IHCP-species-notes": "" } } }

Product details

ab271842 is the carrier-free version of ab52480.

Patented technology
Our RabMAb® technology is a patented hybridoma-based technology for making rabbit monoclonal antibodies. For details on our patents, please refer to RabMAb® patents.

What are the advantages of a recombinant monoclonal antibody?
This product is a recombinant monoclonal antibody, which offers several advantages including:

  • - High batch-to-batch consistency and reproducibility
  • - Improved sensitivity and specificity
  • - Long-term security of supply
  • - Animal-free batch production

For more information, read more on recombinant antibodies.

Conjugation ready
Our carrier-free antibodies are typically supplied in a PBS-only formulation, purified and free of BSA, sodium azide and glycerol. This conjugation-ready format is designed for use with fluorochromes, metal isotopes, oligonucleotides, and enzymes, which makes them ideal for antibody labelling, functional and cell-based assays, flow-based assays (e.g. mass cytometry) and Multiplex Imaging applications.

Use our conjugation kits for antibody conjugates that are ready-to-use in as little as 20 minutes with 1 minute hands-on-time and 100% antibody recovery: available for fluorescent dyes, HRP, biotin and gold.

Compatibility
This product is compatible with the Maxpar® Antibody Labeling Kit from Fluidigm, without the need for antibody preparation. Maxpar® is a trademark of Fluidigm Canada Inc.

Properties and storage information

Form
Liquid
Purification technique
Affinity purification Protein A
Storage buffer
pH: 7.2 - 7.4 Constituents: PBS
Shipped at conditions
Blue Ice
Appropriate short-term storage conditions
+4°C
Appropriate long-term storage conditions
+4°C
Storage information
Do Not Freeze

Supplementary information

This supplementary information is collated from multiple sources and compiled automatically.

Integrin-linked kinase (ILK) is a 59 kDa protein involved mechanically in linking the extracellular matrix to the intracellular cytoskeleton. It serves as an important adaptor and scaffold in cell signaling facilitating communication between integrins and other cellular components. Expressed widely in various cell types ILK operates at focal adhesions and plays an important role in regulating cell shape movement and survival. The ILK protein is also referred to as 'integrin-linked protein' in some scientific circles and has significant relevance in cellular mechanics.
Biological function summary

ILK influences numerous cell processes including adhesion migration and proliferation. It forms a complex with other proteins such as parvin and PINCH known collectively as the ILK complex. This complex regulates actin cytoskeletal dynamics affecting cell-extracellular matrix interactions. ILK also modulates signal transduction pathways linked to cell cycle control making it integral to maintaining normal cellular functions. This protein’s interaction within the cell influences processes like angiogenesis and tissue remodeling showing its biological significance.

Pathways

ILK participates significantly in the PI3K/Akt and Wnt signaling pathways. It interacts with proteins like Akt and GSK-3β playing an essential role in these pathways. In the PI3K/Akt pathway it mediates cell survival and growth by influencing Akt phosphorylation. Within Wnt signaling ILK’s relationship with GSK-3β contributes to regulating β-catenin affecting gene expression downstream. These interactions place ILK as a vital component in cellular signaling networks coordinating important pathway activities.

ILK’s malfunction or aberrant expression is linked to cancer and cardiovascular disorders. In cancer excessive ILK expression often correlates with tumor progression and metastasis likely involving interactions with proteins like β-catenin. In cardiovascular diseases dysregulated ILK function can contribute to heart failure where it associates with proteins like Akt affecting cardiac cell survival. These connections highlight the importance of ILK in pathology showing its role beyond normal physiology.

Product protocols

For this product, it's our understanding that no specific protocols are required. You can visit:

Target data

Scaffold protein which mediates protein-protein interactions during a range of cellular events including focal adhesion assembly, cell adhesion and cell migration (PubMed : 17420447, PubMed : 20005845, PubMed : 30367047, PubMed : 32528174). Regulates integrin-mediated signal transduction by contributing to inside-out integrin activation (By similarity). Recruits PARVA and LIMS1/PITCH to form the heterotrimeric IPP (ILK-PINCH-PARVIN) complex which binds to F-actin via the C-terminal tail of LIMS1 and the N-terminal region of PARVA, promoting F-actin filament bundling, a process required to generate force for actin cytoskeleton reorganization and subsequent dynamic cell adhesion events such as cell spreading and migration (PubMed : 30367047). Binding to PARVA promotes effective assembly of ILK into focal adhesions while PARVA-bound ILK can simultaneously engage integrin-beta cytoplasmic tails to mediate cell adhesion (PubMed : 20005845). Plays a role with PARVG in promoting the cell adhesion and spreading of leukocytes (PubMed : 16517730). Acts as an upstream effector of both AKT1/PKB and GSK3 (PubMed : 9736715). Mediates trafficking of caveolae to the cell surface in an ITGB1-dependent manner by promoting the recruitment of IQGAP1 to the cell cortex which cooperates with its effector DIAPH1 to locally stabilize microtubules and allow stable insertion of caveolae into the plasma membrane (By similarity). Required for the maintenance of mitotic spindle integrity by promoting phosphorylation of TACC3 by AURKA (PubMed : 18283114). Associates with chromatin and may act as a negative regulator of transcription when located in the nucleus (PubMed : 17420447).
See full target information ILK

Product promise

We are committed to supporting your work with high-quality reagents, and we're here for you every step of the way. In the unlikely event that one of our products does not perform as expected, you're protected by our Product Promise.
For full details, please see our Terms & Conditions

Please note: All products are 'FOR RESEARCH USE ONLY. NOT FOR USE IN DIAGNOSTIC OR THERAPEUTIC PROCEDURES'.

For licensing inquiries, please contact partnerships@abcam.com