JavaScript is disabled in your browser. Please enable JavaScript to view this website.
AB193055

Anti-Interferon alpha 2 antibody

3

(1 Review)

|

(8 Publications)

Rabbit Polyclonal Interferon alpha 2 antibody. Suitable for WB, IHC-P and reacts with Mouse, Human samples. Cited in 8 publications. Immunogen corresponding to Recombinant Full Length Protein corresponding to Human IFNA2.

View Alternative Names

IFNA2A, IFNA2B, IFNA2C, IFNA2, Interferon alpha-2, IFN-alpha-2, Interferon alpha-A, LeIF A

6 Images
Immunohistochemistry (Formalin/PFA-fixed paraffin-embedded sections) - Anti-Interferon alpha 2 antibody (AB193055)
  • IHC-P

Supplier Data

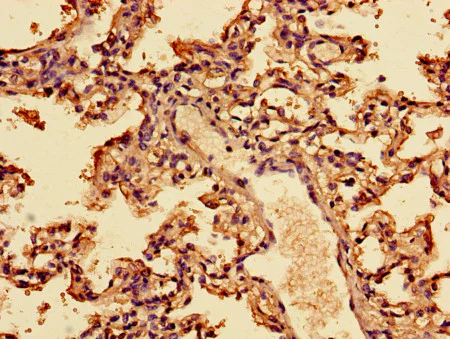
Immunohistochemistry (Formalin/PFA-fixed paraffin-embedded sections) - Anti-Interferon alpha 2 antibody (AB193055)

Immunohistochemistry (Formalin/PFA-fixed paraffin-embedded sections) analysis of human lung tissue labeling Interferon alpha 2 with ab193055 at 1/100 dilution.

Immunohistochemistry (Formalin/PFA-fixed paraffin-embedded sections) - Anti-Interferon alpha 2 antibody (AB193055)
  • IHC-P

Supplier Data

Immunohistochemistry (Formalin/PFA-fixed paraffin-embedded sections) - Anti-Interferon alpha 2 antibody (AB193055)

Immunohistochemistry (Formalin/PFA-fixed paraffin-embedded sections) analysis of human glioma tissue labelling Interferon alpha 2 with ab193055 at a dilution of 1/100.

Immunohistochemistry (Formalin/PFA-fixed paraffin-embedded sections) - Anti-Interferon alpha 2 antibody (AB193055)
  • IHC-P

Supplier Data

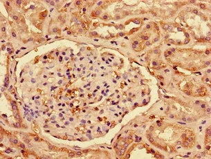
Immunohistochemistry (Formalin/PFA-fixed paraffin-embedded sections) - Anti-Interferon alpha 2 antibody (AB193055)

Immunohistochemistry (Formalin/PFA-fixed paraffin-embedded sections) analysis of human kidney tissue labelling Interferon alpha 2 with ab193055 at a dilution of 1/100.

Immunohistochemistry (Formalin/PFA-fixed paraffin-embedded sections) - Anti-Interferon alpha 2 antibody (AB193055)
  • IHC-P

AbReview81812****

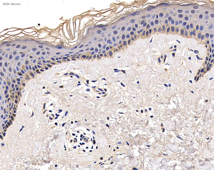
Immunohistochemistry (Formalin/PFA-fixed paraffin-embedded sections) - Anti-Interferon alpha 2 antibody (AB193055)

Immunohistochemistry (Formalin/PFA-fixed paraffin-embedded sections) analysis of paraformaldehyde-fixed human skin tissue staining with ab193055 at 1/400 dilution. Secondary antibody was HRP-Goat Anti-Rabbit IgG (H+L) at 1/500 dilution. Samples were incubated with the primary antibody for 12 hours at 4°C. Blocking was done using 5% BSA for 30 minutes at 21°C. Heat mediated antigen retrieval with Tris/EDTA buffer pH 9.0.

This image is courtesy of an anonymous Abreview.

Western blot - Anti-Interferon alpha 2 antibody (AB193055)
  • WB

Supplier Data

Western blot - Anti-Interferon alpha 2 antibody (AB193055)

All lanes:

Western blot - Anti-Interferon alpha 2 antibody (ab193055) at 2 µg/mL

All lanes:

Mouse liver tissue lysate

Secondary

All lanes:

Polyclonal goat anti-rabbit at 1/10000 dilution

Predicted band size: 22 kDa

false

Western blot - Anti-Interferon alpha 2 antibody (AB193055)
  • WB

Supplier Data

Western blot - Anti-Interferon alpha 2 antibody (AB193055)

All lanes:

Western blot - Anti-Interferon alpha 2 antibody (ab193055) at 3 µg/mL

All lanes:

Mouse stomach tissue

Secondary

All lanes:

Goat polyclonal to rabbit IgG at 1/50000 dilution

Predicted band size: 22 kDa

Observed band size: 22 kDa

false

Key facts

Host species

Rabbit

Clonality

Polyclonal

Isotype

IgG

Carrier free

No

Reacts with

Mouse, Human

Applications

WB, IHC-P

applications

Immunogen

Recombinant Full Length Protein corresponding to Human IFNA2.

P01563

Reactivity data

{ "title": "Reactivity Data", "filters": { "stats": ["", "Species", "Dilution Info", "Notes"], "tabs": { "all-applications": {"fullname" : "All Applications", "shortname": "All Applications"}, "WB" : {"fullname" : "Western blot", "shortname":"WB"}, "IHCP" : {"fullname" : "Immunohistochemistry (Formalin/PFA-fixed paraffin-embedded sections)", "shortname":"IHC-P"} }, "product-promise": { "all": "all", "testedAndGuaranteed": "tested", "guaranteed": "expected", "predicted": "predicted", "notRecommended": "not-recommended" } }, "values": { "Human": { "WB-species-checked": "guaranteed", "WB-species-dilution-info": "", "WB-species-notes": "", "IHCP-species-checked": "testedAndGuaranteed", "IHCP-species-dilution-info": "1/20 - 1/200", "IHCP-species-notes": "<p></p>" }, "Mouse": { "WB-species-checked": "testedAndGuaranteed", "WB-species-dilution-info": "1/500 - 1/5000", "WB-species-notes": "<p></p>", "IHCP-species-checked": "guaranteed", "IHCP-species-dilution-info": "", "IHCP-species-notes": "" } } }

Properties and storage information

Form
Liquid
Purification technique
Affinity purification Protein G
Purification notes
>95%
Storage buffer
pH: 7.4 Preservative: 0.03% Proclin 300 Constituents: PBS, 50% Glycerol (glycerin, glycerine)
Shipped at conditions
Blue Ice
Appropriate short-term storage duration
1-2 weeks
Appropriate short-term storage conditions
+4°C
Appropriate long-term storage conditions
-20°C
Aliquoting information
Upon delivery aliquot
Storage information
Avoid freeze / thaw cycle

Supplementary information

This supplementary information is collated from multiple sources and compiled automatically.

Interferon alpha 2 also known as IFN alpha 2 or IFN alpha 2a/b is a type of cytokine that plays a critical role in the immune response. It is a smaller protein weighing approximately 19.5 kDa mainly expressed by leukocytes such as macrophages and dendritic cells. This protein exhibits antiviral antiproliferative and immunomodulatory activities by binding to specific receptors on target cells. Researchers often study interferon alpha through recombinant protein studies which can be simulated by companies like PeproTech. Additionally ELISA assays facilitate the quantitative measurement of interferon alpha levels in various biological samples.
Biological function summary

Interferon alpha 2 engages in complex signaling with other immune factors to establish an antiviral state in cells. This protein binds to the IFNAR1 and IFNAR2 receptor complex initiating a cascade that activates genes responsible for immune defense. By doing so it triggers the transcription of various antiviral proteins and enhances the activity of immune cells including natural killer cells and macrophages. Its function is also evaluated in reconstitution studies such as PeproTech's IL-2 reconstitution to investigate broader immune functions.

Pathways

Researchers observe interferon alpha 2 predominantly within the JAK-STAT signaling pathway. This pathway is vital in transmitting the extracellular signal through to the gene transcription process leading to an appropriate immune response. STAT proteins such as STAT1 and STAT2 form a transcription complex following activation by JAK kinases. Interferon alpha 2's interactions in the pathway exemplify how this cytokine links with other components for immune regulation coordinating with other proteins like ISGF3 to amplify antiviral responses.

Scientists associate interferon alpha 2 with chronic viral infections and certain cancers. For example its therapeutic application has been prominent in treating hepatitis C and some hematological malignancies. In viral infections interferon alpha inhibits viral replication and enhances antiviral immunity. In cancer it suppresses cell proliferation and regulates immune surveillance. The protein's levels and activity can correlate with pathological states influenced by other proteins such as IFN-lambda and TNF-alpha highlighting its role in disease mechanisms and therapeutic interventions.

Product protocols

For this product, it's our understanding that no specific protocols are required. You can visit:

Target data

Produced by macrophages, IFN-alpha have antiviral activities.
See full target information IFNA2

Publications (8)

Recent publications for all applications. Explore the full list and refine your search

Experimental & molecular medicine 57:1555-1566 PubMed40610751

2025

The ubiquitin E3 ligase TRIM21 suppresses type I interferon signaling via STING degradation and ameliorates systemic autoimmunity.

Applications

Unspecified application

Species

Unspecified reactive species

Da Som Kim,Youngjae Park,George C Tsokos,Mi-La Cho,Seung-Ki Kwok

Journal of clinical immunology 44:104 PubMed38647550

2024

Suppression of Type I Interferon Signaling in Myeloid Cells by Autoantibodies in Severe COVID-19 Patients.

Applications

Unspecified application

Species

Unspecified reactive species

Ami Aoki,Chiaki Iwamura,Masahiro Kiuchi,Kaori Tsuji,Atsushi Sasaki,Takahisa Hishiya,Rui Hirasawa,Kota Kokubo,Sachiko Kuriyama,Atsushi Onodera,Tadanaga Shimada,Tetsutaro Nagaoka,Satoru Ishikawa,Akira Kojima,Haruki Mito,Ryota Hase,Yasunori Kasahara,Naohide Kuriyama,Sukeyuki Nakamura,Takashi Urushibara,Satoru Kaneda,Seiichiro Sakao,Osamu Nishida,Kazuhisa Takahashi,Motoko Y Kimura,Shinichiro Motohashi,Hidetoshi Igari,Yuzuru Ikehara,Hiroshi Nakajima,Takuji Suzuki,Hideki Hanaoka,Taka-Aki Nakada,Toshiaki Kikuchi,Toshinori Nakayama,Koutaro Yokote,Kiyoshi Hirahara

BMC immunology 23:39 PubMed35965334

2022

NLRP3 inflammasome up-regulates major histocompatibility complex class I expression and promotes inflammatory infiltration in polymyositis.

Applications

Unspecified application

Species

Unspecified reactive species

Ping Xia,Yu-Quan Shao,Cong-Cong Yu,Yu Xie,Zhi-Jie Zhou

PloS one 16:e0258856 PubMed34673800

2021

Klotho deficiency intensifies hypoxia-induced expression of IFN-α/β through upregulation of RIG-I in kidneys.

Applications

Unspecified application

Species

Unspecified reactive species

Asako Urabe,Shigehiro Doi,Ayumu Nakashima,Takeshi Ike,Kenichi Morii,Kensuke Sasaki,Toshiki Doi,Koji Arihiro,Takao Masaki

Frontiers in endocrinology 11:522340 PubMed33329376

2020

Overexpression of microRNA-216a-3p Accelerates the Inflammatory Response in Cardiomyocytes in Type 2 Diabetes Mellitus by Targeting IFN-α2.

Applications

Unspecified application

Species

Unspecified reactive species

Xiaomeng Liu,Yusong Zhang,Hongwei Liang,Yanchao Xu

The Journal of experimental medicine 217: PubMed32181805

2020

Glioma stem-like cells evade interferon suppression through MBD3/NuRD complex-mediated STAT1 downregulation.

Applications

Unspecified application

Species

Unspecified reactive species

Xiaoyan Zhan,Saisai Guo,Yuanyuan Li,Haowen Ran,Haohao Huang,Lanjuan Mi,Jin Wu,Xinzheng Wang,Dake Xiao,Lishu Chen,Da Li,Songyang Zhang,Xu Yan,Yu Yu,Tingting Li,Qiuying Han,Kun He,Jiuwei Cui,Tao Li,Tao Zhou,Jeremy N Rich,Shideng Bao,Xuemin Zhang,Ailing Li,Jianghong Man

Frontiers in immunology 10:2888 PubMed31921151

2019

-Bronchial Epithelial Cells Cross-Talk Through Type I Interferon Signaling.

Applications

Unspecified application

Species

Unspecified reactive species

Chongxu Zhang,Huda Asif,Gregory E Holt,Anthony J Griswold,Michael Campos,Pablo Bejarano,Nevis L Fregien,Mehdi Mirsaeidi

Frontiers in immunology 8:655 PubMed28659913

2017

N6.2 Modulates the Host Immune Responses: A Double-Blind, Randomized Trial in Healthy Adults.

Applications

Unspecified application

Species

Unspecified reactive species

Guillermo E Marcial,Amanda L Ford,Michael J Haller,Salvador A Gezan,Natalie A Harrison,Dan Cai,Julie L Meyer,Daniel J Perry,Mark A Atkinson,Clive H Wasserfall,Timothy Garrett,Claudio F Gonzalez,Todd M Brusko,Wendy J Dahl,Graciela L Lorca
View all publications

Product promise

We are committed to supporting your work with high-quality reagents, and we're here for you every step of the way. In the unlikely event that one of our products does not perform as expected, you're protected by our Product Promise.
For full details, please see our Terms & Conditions

Please note: All products are 'FOR RESEARCH USE ONLY. NOT FOR USE IN DIAGNOSTIC OR THERAPEUTIC PROCEDURES'.

For licensing inquiries, please contact partnerships@abcam.com