JavaScript is disabled in your browser. Please enable JavaScript to view this website.
AB198914

Anti-Interferon alpha 2 antibody

Be the first to review this product! Submit a review

|

(1 Publication)

Rabbit Polyclonal Interferon alpha 2 antibody. Suitable for IHC-P and reacts with Human samples. Cited in 1 publication. Immunogen corresponding to Synthetic Peptide within Human IFNA2.

View Alternative Names

IFNA2A, IFNA2B, IFNA2C, IFNA2, Interferon alpha-2, IFN-alpha-2, Interferon alpha-A, LeIF A

2 Images
Immunohistochemistry (Formalin/PFA-fixed paraffin-embedded sections) - Anti-Interferon alpha 2 antibody (AB198914)
  • IHC-P

Supplier Data

Immunohistochemistry (Formalin/PFA-fixed paraffin-embedded sections) - Anti-Interferon alpha 2 antibody (AB198914)

Immunohistochemical analysis of paraffin-embedded Human colon cancer tissue labeling Interferon alpha 2 with ab198914 at a 1/40 dilution.

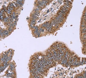
Immunohistochemistry (Formalin/PFA-fixed paraffin-embedded sections) - Anti-Interferon alpha 2 antibody (AB198914)
  • IHC-P

Supplier Data

Immunohistochemistry (Formalin/PFA-fixed paraffin-embedded sections) - Anti-Interferon alpha 2 antibody (AB198914)

Immunohistochemical analysis of paraffin-embedded Human gastric cancer tissue labeling Interferon alpha 2 with ab198914 at a 1/40 dilution.

Key facts

Host species

Rabbit

Clonality

Polyclonal

Isotype

IgG

Carrier free

No

Reacts with

Human

Applications

IHC-P

applications

Immunogen

Synthetic Peptide within Human IFNA2. The exact immunogen used to generate this antibody is proprietary information.

P01563

Reactivity data

{ "title": "Reactivity Data", "filters": { "stats": ["", "Species", "Dilution Info", "Notes"], "tabs": { "all-applications": {"fullname" : "All Applications", "shortname": "All Applications"}, "IHCP" : {"fullname" : "Immunohistochemistry (Formalin/PFA-fixed paraffin-embedded sections)", "shortname":"IHC-P"} }, "product-promise": { "all": "all", "testedAndGuaranteed": "tested", "guaranteed": "expected", "predicted": "predicted", "notRecommended": "not-recommended" } }, "values": { "Human": { "IHCP-species-checked": "testedAndGuaranteed", "IHCP-species-dilution-info": "1/50 - 1/200", "IHCP-species-notes": "<p></p>" } } }

Properties and storage information

Form
Liquid
Purification technique
Affinity purification Immunogen
Storage buffer
pH: 7.4 Preservative: 0.05% Sodium azide Constituents: PBS, 50% Glycerol (glycerin, glycerine)
Shipped at conditions
Blue Ice
Appropriate short-term storage duration
1-2 weeks
Appropriate short-term storage conditions
+4°C
Appropriate long-term storage conditions
-20°C
Aliquoting information
Upon delivery aliquot
Storage information
Avoid freeze / thaw cycle

Supplementary information

This supplementary information is collated from multiple sources and compiled automatically.

Interferon alpha 2 also known as IFN alpha 2 or IFN alpha 2a/b is a type of cytokine that plays a critical role in the immune response. It is a smaller protein weighing approximately 19.5 kDa mainly expressed by leukocytes such as macrophages and dendritic cells. This protein exhibits antiviral antiproliferative and immunomodulatory activities by binding to specific receptors on target cells. Researchers often study interferon alpha through recombinant protein studies which can be simulated by companies like PeproTech. Additionally ELISA assays facilitate the quantitative measurement of interferon alpha levels in various biological samples.
Biological function summary

Interferon alpha 2 engages in complex signaling with other immune factors to establish an antiviral state in cells. This protein binds to the IFNAR1 and IFNAR2 receptor complex initiating a cascade that activates genes responsible for immune defense. By doing so it triggers the transcription of various antiviral proteins and enhances the activity of immune cells including natural killer cells and macrophages. Its function is also evaluated in reconstitution studies such as PeproTech's IL-2 reconstitution to investigate broader immune functions.

Pathways

Researchers observe interferon alpha 2 predominantly within the JAK-STAT signaling pathway. This pathway is vital in transmitting the extracellular signal through to the gene transcription process leading to an appropriate immune response. STAT proteins such as STAT1 and STAT2 form a transcription complex following activation by JAK kinases. Interferon alpha 2's interactions in the pathway exemplify how this cytokine links with other components for immune regulation coordinating with other proteins like ISGF3 to amplify antiviral responses.

Scientists associate interferon alpha 2 with chronic viral infections and certain cancers. For example its therapeutic application has been prominent in treating hepatitis C and some hematological malignancies. In viral infections interferon alpha inhibits viral replication and enhances antiviral immunity. In cancer it suppresses cell proliferation and regulates immune surveillance. The protein's levels and activity can correlate with pathological states influenced by other proteins such as IFN-lambda and TNF-alpha highlighting its role in disease mechanisms and therapeutic interventions.

Product protocols

For this product, it's our understanding that no specific protocols are required. You can visit:

Target data

Produced by macrophages, IFN-alpha have antiviral activities.
See full target information IFNA2

Publications (1)

Recent publications for all applications. Explore the full list and refine your search

In vitro models 3:49-63 PubMed39872066

2025

Microfluidic model of the alternative vasculature in neuroblastoma.

Applications

Unspecified application

Species

Unspecified reactive species

Aranzazu Villasante,Maria Jose Lopez-Martinez,Gema Quiñonero,Andrea Garcia-Lizarribar,Xiaofeng Peng,Josep Samitier
View all publications

Product promise

We are committed to supporting your work with high-quality reagents, and we're here for you every step of the way. In the unlikely event that one of our products does not perform as expected, you're protected by our Product Promise.
For full details, please see our Terms & Conditions

Please note: All products are 'FOR RESEARCH USE ONLY. NOT FOR USE IN DIAGNOSTIC OR THERAPEUTIC PROCEDURES'.

For licensing inquiries, please contact partnerships@abcam.com