JavaScript is disabled in your browser. Please enable JavaScript to view this website.
AB196221

Anti-Interferon alpha 2 antibody [EPR19074]

Be the first to review this product! Submit a review

|

(4 Publications)

Rabbit Recombinant Monoclonal Interferon alpha 2 antibody. Suitable for ICC, IP, WB, ICC/IF, Flow Cyt (Intra) and reacts with Human samples. Cited in 4 publications.

View Alternative Names

IFNA2A, IFNA2B, IFNA2C, IFNA2, Interferon alpha-2, IFN-alpha-2, Interferon alpha-A, LeIF A

5 Images
Western blot - Anti-Interferon alpha 2 antibody [EPR19074] (AB196221)
  • WB

Supplier Data

Western blot - Anti-Interferon alpha 2 antibody [EPR19074] (AB196221)

Blocking and dilution buffer : 5% NFDM/TBST.

The molecular mass observed is due to the presence of the GFP epitope tag on full length IFN alpha 2.

All lanes:

Western blot - Anti-Interferon alpha 2 antibody [EPR19074] (ab196221) at 1/5000 dilution

Lane 1:

HEK-293T (human epithelial cell line from embryonic kidney transformed with large T antigen) transfected with an empty vector, containing a GFP-Myc-tag, whole cell lysate at 10 µg

Lane 2:

HEK-293T transfected with Interferon alpha 2 expression vector containing a GFP-Myc-tag, whole cell lysate at 10 µg

Secondary

All lanes:

Western blot - Goat Anti-Rabbit IgG H&L (HRP) (<a href='/en-us/products/secondary-antibodies/goat-rabbit-igg-h-l-hrp-ab97051'>ab97051</a>) at 1/100000 dilution

Predicted band size: 22 kDa

Observed band size: 50 kDa

true

Exposure time: 3s

Flow Cytometry (Intracellular) - Anti-Interferon alpha 2 antibody [EPR19074] (AB196221)
  • Flow Cyt (Intra)

Unknown

Flow Cytometry (Intracellular) - Anti-Interferon alpha 2 antibody [EPR19074] (AB196221)

Intracellular flow cytometric analysis of4% paraformaldehyde-fixed, 90% methanol-permeabilized HEK-293T (human epithelial cell line from embryonic kidney transformed with large T antigen) (transfected with Interferon alpha 2 expression vector containing a GFP-His-tag cell line) cells labeling Interferon alpha 2 with ab196221 at 1/600 (red) compared with Rabbit IgG, monoclonal [EPR25A] - Isotype Control (ab172730) (black) and an unlabelled control (cells without incubation with primary antibody and secondary antibody) (blue).

Goat Anti-Rabbit IgG H&L (Alexa Fluorr® 647) (ab150079), at 1/2000 dilution was used as the secondary antibody.

Immunocytochemistry/ Immunofluorescence - Anti-Interferon alpha 2 antibody [EPR19074] (AB196221)
  • ICC/IF

Unknown

Immunocytochemistry/ Immunofluorescence - Anti-Interferon alpha 2 antibody [EPR19074] (AB196221)

Immunofluorescent analysis of 4% paraformaldehyde-fixed, 0.1% Triton X-100 permeabilized HEK-293T (human epithelial cell line from embryonic kidney transformed with large T antigen) (transfected with either GFP-tagged Interferon alpha 2 expression vector or empty GFP expression vector) cells labeling Interferon alpha 2 with ab196221 at 1/100 dilution, followed by Goat Anti-Rabbit IgG H&L (Alexa Fluor® 647) (ab150079) secondary antibody at 1/1000 dilution. Confocal image showing cytoplasmic staining in HEK-293T cells transfected with GFP-tagged Interferon alpha 2 expression vector.

The nuclear counterstain is DAPI (blue). Tubulin is detected with Anti-alpha Tubulin antibody [DM1A] - Microtubule Marker (Alexa Fluor® 594) (ab195889) at 1/200 dilution (red).

Secondary antibody only control : Used PBS instead of ab196221, followed by Goat Anti-Rabbit IgG H&L (Alexa Fluor® 647) (ab150079) secondary antibody at 1/1000 dilution.

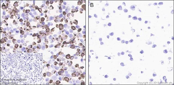
Immunocytochemistry - Anti-Interferon alpha 2 antibody [EPR19074] (AB196221)
  • ICC

Unknown

Immunocytochemistry - Anti-Interferon alpha 2 antibody [EPR19074] (AB196221)

Immunocytochemical analysis of agarose-embedded HEK-293T (human epithelial cell line from embryonic kidney transformed with large T antigen) (transfected with Interferon alpha 2 (pcDNA3.1 (+)-EGFP-Myc)) cells labeling Interferon alpha 2 with ab196221 at 1/1000 dilution, followed by Goat Anti-Rabbit IgG H&L (HRP) ready to use secondary antibody. Positive staining on HEK-293T cells transfected with Interferon alpha 2 (pcDNA3.1 (+)-EGFP-Myc) (image A); and no staining on HEK-293T cells without transfection (image B). Counterstained with hematoxylin.

Secondary antibody only control : Used PBS instead of ab196221, followed by Goat Anti-Rabbit IgG H&L (HRP) ready to use.

Immunoprecipitation - Anti-Interferon alpha 2 antibody [EPR19074] (AB196221)
  • IP

Unknown

Immunoprecipitation - Anti-Interferon alpha 2 antibody [EPR19074] (AB196221)

Interferon alpha 2 was immunoprecipitated from 0.35 mg of HEK-293T (human epithelial cell line from embryonic kidney transformed with large T antigen) (transfected with Interferon alpha 2 expression vector containing a GFP-His-tag) whole cell lysate using ab196221 at 1/30 dilution. Western blot was performed from the immunoprecipitate using ab196221 at 1/1000 dilution. VeriBlot for IP Detection Reagent (HRP) (ab131366), was used for detection at 1/10,000 dilution.

Lane 1 : HEK-293T (transfected with Interferon alpha 2 expression vector containing a GFP-His-tag) whole cell lysate 10 μg (Input).

Lane 2 : ab196221 IP in HEK-293T (transfected with Interferon alpha 2 expression vector containing a GFP-His-tag) whole cell lysate.

Lane 3 : Rabbit monoclonal IgG (ab172730) instead of ab196221 inHEK-293T (transfected with Interferon alpha 2 expression vector containing a GFP-His-tag) whole cell lysate

Blocking and dilution buffer and concentration : 5% NFDM/TBST.
Exposure time : 1 second.

The molecular mass observed is due to the presence of the GFP epitope tag on full length IFN alpha 2.

All lanes:

Immunoprecipitation - Anti-Interferon alpha 2 antibody [EPR19074] (ab196221)

Predicted band size: 22 kDa

Observed band size: 50 kDa

true

Key facts

Host species

Rabbit

Clonality

Monoclonal

Clone number

EPR19074

Isotype

IgG

Carrier free

No

Reacts with

Human

Applications

WB, ICC/IF, IP, Flow Cyt (Intra), ICC

applications

Immunogen

The exact immunogen used to generate this antibody is proprietary information.

Reactivity data

{ "title": "Reactivity Data", "filters": { "stats": ["", "Species", "Dilution Info", "Notes"], "tabs": { "all-applications": {"fullname" : "All Applications", "shortname": "All Applications"}, "ICC" : {"fullname" : "Immunocytochemistry", "shortname":"ICC"}, "IP" : {"fullname" : "Immunoprecipitation", "shortname":"IP"}, "WB" : {"fullname" : "Western blot", "shortname":"WB"}, "ICCIF" : {"fullname" : "Immunocytochemistry/ Immunofluorescence", "shortname":"ICC/IF"}, "FlowCytIntra" : {"fullname" : "Flow Cytometry (Intracellular)", "shortname":"Flow Cyt (Intra)"} }, "product-promise": { "all": "all", "testedAndGuaranteed": "tested", "guaranteed": "expected", "predicted": "predicted", "notRecommended": "not-recommended" } }, "values": { "Human": { "ICC-species-checked": "testedAndGuaranteed", "ICC-species-dilution-info": "1/1000", "ICC-species-notes": "<p>Perform heat mediated antigen retrieval using <a href='/en-us/products/buffers/antigen-retrieval-buffer-100x-tris-edta-buffer-ph-90-ab93684'>ab93684</a> (Tris/EDTA buffer, pH 9.0).</p>", "IP-species-checked": "testedAndGuaranteed", "IP-species-dilution-info": "1/30", "IP-species-notes": "<p></p>", "WB-species-checked": "testedAndGuaranteed", "WB-species-dilution-info": "1/1000", "WB-species-notes": "<p></p>", "ICCIF-species-checked": "testedAndGuaranteed", "ICCIF-species-dilution-info": "1/100", "ICCIF-species-notes": "<p></p>", "FlowCytIntra-species-checked": "testedAndGuaranteed", "FlowCytIntra-species-dilution-info": "1/600", "FlowCytIntra-species-notes": "<p></p>" } } }

Product details

Patented technology
Our RabMAb® technology is a patented hybridoma-based technology for making rabbit monoclonal antibodies. For details on our patents, please refer to RabMAb® patents.

What are the advantages of a recombinant monoclonal antibody?
This product is a recombinant monoclonal antibody, which offers several advantages including:

  • - High batch-to-batch consistency and reproducibility
  • - Improved sensitivity and specificity
  • - Long-term security of supply
  • - Animal-free batch production

For more information, read more on recombinant antibodies.

Properties and storage information

Form
Liquid
Purification technique
Affinity purification Protein A
Storage buffer
pH: 7.2 - 7.4 Preservative: 0.01% Sodium azide Constituents: PBS, 40% Glycerol (glycerin, glycerine), 0.05% BSA
Shipped at conditions
Blue Ice
Appropriate short-term storage duration
1-2 weeks
Appropriate short-term storage conditions
+4°C
Appropriate long-term storage conditions
-20°C
Aliquoting information
Upon delivery aliquot
Storage information
Avoid freeze / thaw cycle

Supplementary information

This supplementary information is collated from multiple sources and compiled automatically.

Interferon alpha 2 also known as IFN alpha 2 or IFN alpha 2a/b is a type of cytokine that plays a critical role in the immune response. It is a smaller protein weighing approximately 19.5 kDa mainly expressed by leukocytes such as macrophages and dendritic cells. This protein exhibits antiviral antiproliferative and immunomodulatory activities by binding to specific receptors on target cells. Researchers often study interferon alpha through recombinant protein studies which can be simulated by companies like PeproTech. Additionally ELISA assays facilitate the quantitative measurement of interferon alpha levels in various biological samples.
Biological function summary

Interferon alpha 2 engages in complex signaling with other immune factors to establish an antiviral state in cells. This protein binds to the IFNAR1 and IFNAR2 receptor complex initiating a cascade that activates genes responsible for immune defense. By doing so it triggers the transcription of various antiviral proteins and enhances the activity of immune cells including natural killer cells and macrophages. Its function is also evaluated in reconstitution studies such as PeproTech's IL-2 reconstitution to investigate broader immune functions.

Pathways

Researchers observe interferon alpha 2 predominantly within the JAK-STAT signaling pathway. This pathway is vital in transmitting the extracellular signal through to the gene transcription process leading to an appropriate immune response. STAT proteins such as STAT1 and STAT2 form a transcription complex following activation by JAK kinases. Interferon alpha 2's interactions in the pathway exemplify how this cytokine links with other components for immune regulation coordinating with other proteins like ISGF3 to amplify antiviral responses.

Scientists associate interferon alpha 2 with chronic viral infections and certain cancers. For example its therapeutic application has been prominent in treating hepatitis C and some hematological malignancies. In viral infections interferon alpha inhibits viral replication and enhances antiviral immunity. In cancer it suppresses cell proliferation and regulates immune surveillance. The protein's levels and activity can correlate with pathological states influenced by other proteins such as IFN-lambda and TNF-alpha highlighting its role in disease mechanisms and therapeutic interventions.

Product protocols

For this product, it's our understanding that no specific protocols are required. You can visit:

Target data

Produced by macrophages, IFN-alpha have antiviral activities.
See full target information IFNA2

Publications (4)

Recent publications for all applications. Explore the full list and refine your search

The Journal of experimental medicine 222: PubMed40227192

2025

Enhanced TLR7-dependent production of type I interferon by pDCs underlies pandemic chilblains.

Applications

Unspecified application

Species

Unspecified reactive species

Fanny Saidoune,Danyel Lee,Jeremy Di Domizio,Corentin Le Floc'h,Raphael Jenelten,Jérémie Le Pen,Vincent Bondet,Ana Joncic,Marie-Anne Morren,Vivien Béziat,Shen-Ying Zhang,Emmanuelle Jouanguy,Darragh Duffy,Charles M Rice,Curdin Conrad,Jacques Fellay,Jean-Laurent Casanova,Michel Gilliet,Ahmad Yatim

iScience 27:111255 PubMed39620128

2024

activates SLFN4MDSCs to accelerate gastric intestinal metaplasia.

Applications

Unspecified application

Species

Unspecified reactive species

Zhihong Zhao,Rui Liu,Ye Peng,Cun Li,Qian Li

Journal of cellular and molecular medicine 28:e18546 PubMed39046458

2024

The role of miR-128 and MDFI in cardiac hypertrophy and heart failure: Mechanistic.

Applications

Unspecified application

Species

Unspecified reactive species

Sun Yanjun,Gu Yunfen,Yao Haoyi,Wang Zhe,Qiu Jiapei

International journal of molecular sciences 23: PubMed35806255

2022

Targeted Modulation of Interferon Response-Related Genes with IFN-Alpha/Lambda Inhibition.

Applications

Unspecified application

Species

Unspecified reactive species

Debpali Sur,Katerina Leonova,Bar Levi,Shany Ivon Markowitz,Raichel Cohen-Harazi,Ilya Gitlin,Katerina Gurova,Andrei Gudkov,Albert Pinhasov,Igor Koman,Elimelech Nesher
View all publications

Product promise

We are committed to supporting your work with high-quality reagents, and we're here for you every step of the way. In the unlikely event that one of our products does not perform as expected, you're protected by our Product Promise.
For full details, please see our Terms & Conditions

Please note: All products are 'FOR RESEARCH USE ONLY. NOT FOR USE IN DIAGNOSTIC OR THERAPEUTIC PROCEDURES'.

For licensing inquiries, please contact partnerships@abcam.com