JavaScript is disabled in your browser. Please enable JavaScript to view this website.
AB230830

Anti-Interferon alpha 2 antibody [EPR19074] - BSA and Azide free

Be the first to review this product! Submit a review

|

(1 Publication)

Rabbit Recombinant Monoclonal Interferon alpha 2 antibody. Carrier free. Suitable for ICC, IP, WB, ICC/IF, Flow Cyt (Intra) and reacts with Human samples. Cited in 1 publication.

View Alternative Names

IFNA2A, IFNA2B, IFNA2C, IFNA2, Interferon alpha-2, IFN-alpha-2, Interferon alpha-A, LeIF A

4 Images
Flow Cytometry (Intracellular) - Anti-Interferon alpha 2 antibody [EPR19074] - BSA and Azide free (AB230830)
  • Flow Cyt (Intra)

Unknown

Flow Cytometry (Intracellular) - Anti-Interferon alpha 2 antibody [EPR19074] - BSA and Azide free (AB230830)

Intracellular flow cytometric analysis of�4% paraformaldehyde-fixed, 90% methanol-permeabilized HEK-293T (human epithelial cell line from embryonic kidney transformed with large T antigen) (transfected with Interferon alpha 2 expression vector containing a GFP-His-tag cell line) cells labeling �Interferon alpha 2 with ab196221 at 1/600 (red) compared with Rabbit IgG, monoclonal [EPR25A] - Isotype Control (ab172730) (black) and an unlabelled control (cells without incubation with primary antibody and secondary antibody) (blue).

Goat Anti-Rabbit IgG H&L (Alexa Fluor� 647) (ab150079), at 1/2000 dilution was used as the secondary antibody.

This data was developed using the same antibody clone in a different buffer formulation containing PBS, BSA, glycerol, and sodium azide (ab196221).

Immunocytochemistry/ Immunofluorescence - Anti-Interferon alpha 2 antibody [EPR19074] - BSA and Azide free (AB230830)
  • ICC/IF

Unknown

Immunocytochemistry/ Immunofluorescence - Anti-Interferon alpha 2 antibody [EPR19074] - BSA and Azide free (AB230830)

Immunofluorescent analysis of 4% paraformaldehyde-fixed, 0.1% Triton X-100 permeabilized HEK-293T (human epithelial cell line from embryonic kidney transformed with large T antigen) (transfected with either GFP-tagged Interferon alpha 2 expression vector or empty GFP expression vector) cells labeling Interferon alpha 2 with ab196221 at 1/100 dilution, followed by Goat Anti-Rabbit IgG H&L (Alexa Fluor® 647) (ab150079) secondary antibody at 1/1000 dilution. Confocal image showing cytoplasmic staining in HEK-293T cells transfected with GFP-tagged Interferon alpha 2 expression vector.

The nuclear counterstain is DAPI (blue). Tubulin is detected with Anti-alpha Tubulin antibody [DM1A] - Microtubule Marker (Alexa Fluor® 594) (ab195889) at 1/200 dilution (red).

Secondary antibody only control : Used PBS instead of ab196221, followed by Goat Anti-Rabbit IgG H&L (Alexa Fluor® 647) (ab150079) secondary antibody at 1/1000 dilution.

This data was developed using the same antibody clone in a different buffer formulation containing PBS, BSA, glycerol, and sodium azide (ab196221).

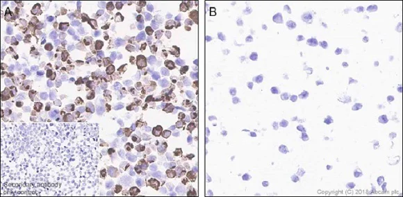
Immunocytochemistry - Anti-Interferon alpha 2 antibody [EPR19074] - BSA and Azide free (AB230830)
  • ICC

Unknown

Immunocytochemistry - Anti-Interferon alpha 2 antibody [EPR19074] - BSA and Azide free (AB230830)

Immunocytochemical analysis of agarose-embedded HEK-293T (human epithelial cell line from embryonic kidney transformed with large T antigen) (transfected with Interferon alpha 2 (pcDNA3.1 (+)-EGFP-Myc)) cells labeling Interferon alpha 2 with ab196221 at 1/1000 dilution, followed by Goat Anti-Rabbit IgG H&L (HRP) ready to use secondary antibody. Positive staining on HEK-293T cells transfected with Interferon alpha 2 (pcDNA3.1 (+)-EGFP-Myc) (image A); and no staining on HEK-293T cells without transfection (image B). Counterstained with hematoxylin.

Secondary antibody only control : Used PBS instead of ab196221, followed by Goat Anti-Rabbit IgG H&L (HRP) ready to use.

This data was developed using the same antibody clone in a different buffer formulation containing PBS, BSA, glycerol, and sodium azide (ab196221).

Immunoprecipitation - Anti-Interferon alpha 2 antibody [EPR19074] - BSA and Azide free (AB230830)
  • IP

Unknown

Immunoprecipitation - Anti-Interferon alpha 2 antibody [EPR19074] - BSA and Azide free (AB230830)

Interferon alpha 2 was immunoprecipitated from 0.35 mg of HEK-293T (human epithelial cell line from embryonic kidney transformed with large T antigen) (transfected with Interferon alpha 2 expression vector containing a GFP-His-tag) whole cell lysate using ab196221 at 1/30 dilution. Western blot was performed from the immunoprecipitate using ab196221 at 1/1000 dilution. VeriBlot for IP Detection Reagent (HRP) (ab131366), was used as for detection at 1/10000 dilution.

Lane 1 : HEK-293T (transfected with Interferon alpha 2 expression vector containing a GFP-His-tag) whole cell lysate 10 μg (Input).

Lane 2 : ab196221 IP in HEK-293T (transfected with Interferon alpha 2 expression vector containing a GFP-His-tag) whole cell lysate.

Lane 3 : Rabbit monoclonal IgG (ab172730) instead of ab196221 inHEK-293T (transfected with Interferon alpha 2 expression vector containing a GFP-His-tag) whole cell lysate

Blocking and dilution buffer and concentration : 5% NFDM/TBST.
Exposure time : 1 second.

The molecular mass observed is due to the presence of the GFP epitope tag on full length IFN alpha 2.

This data was developed using the same antibody clone in a different buffer formulation containing PBS, BSA, glycerol, and sodium azide (ab196221).

All lanes:

Immunoprecipitation - Anti-Interferon alpha 2 antibody [EPR19074] (<a href='/en-us/products/primary-antibodies/interferon-alpha-2-antibody-epr19074-ab196221'>ab196221</a>)

Predicted band size: 22 kDa

Observed band size: 50 kDa

true

Key facts

Host species

Rabbit

Clonality

Monoclonal

Clone number

EPR19074

Isotype

IgG

Carrier free

Yes

Reacts with

Human

Applications

ICC, ICC/IF, Flow Cyt (Intra), WB, IP

applications

Immunogen

The exact immunogen used to generate this antibody is proprietary information.

Reactivity data

{ "title": "Reactivity Data", "filters": { "stats": ["", "Species", "Dilution Info", "Notes"], "tabs": { "all-applications": {"fullname" : "All Applications", "shortname": "All Applications"}, "ICC" : {"fullname" : "Immunocytochemistry", "shortname":"ICC"}, "IP" : {"fullname" : "Immunoprecipitation", "shortname":"IP"}, "WB" : {"fullname" : "Western blot", "shortname":"WB"}, "ICCIF" : {"fullname" : "Immunocytochemistry/ Immunofluorescence", "shortname":"ICC/IF"}, "FlowCytIntra" : {"fullname" : "Flow Cytometry (Intracellular)", "shortname":"Flow Cyt (Intra)"} }, "product-promise": { "all": "all", "testedAndGuaranteed": "tested", "guaranteed": "expected", "predicted": "predicted", "notRecommended": "not-recommended" } }, "values": { "Human": { "ICC-species-checked": "testedAndGuaranteed", "ICC-species-dilution-info": "", "ICC-species-notes": "<p>Perform heat mediated antigen retrieval using <a href='/en-us/products/buffers/antigen-retrieval-buffer-100x-tris-edta-buffer-ph-90-ab93684'>ab93684</a> (Tris/EDTA buffer, pH 9.0).</p>", "IP-species-checked": "testedAndGuaranteed", "IP-species-dilution-info": "", "IP-species-notes": "<p></p>", "WB-species-checked": "guaranteed", "WB-species-dilution-info": "", "WB-species-notes": "<p></p>", "ICCIF-species-checked": "testedAndGuaranteed", "ICCIF-species-dilution-info": "", "ICCIF-species-notes": "<p></p>", "FlowCytIntra-species-checked": "testedAndGuaranteed", "FlowCytIntra-species-dilution-info": "", "FlowCytIntra-species-notes": "<p></p>" } } }

Product details

ab230830 is the carrier-free version of ab196221.

Patented technology
Our RabMAb® technology is a patented hybridoma-based technology for making rabbit monoclonal antibodies. For details on our patents, please refer to RabMAb® patents.

What are the advantages of a recombinant monoclonal antibody?
This product is a recombinant monoclonal antibody, which offers several advantages including:

  • - High batch-to-batch consistency and reproducibility
  • - Improved sensitivity and specificity
  • - Long-term security of supply
  • - Animal-free batch production

For more information, read more on recombinant antibodies.

Conjugation ready
Our carrier-free antibodies are typically supplied in a PBS-only formulation, purified and free of BSA, sodium azide and glycerol. This conjugation-ready format is designed for use with fluorochromes, metal isotopes, oligonucleotides, and enzymes, which makes them ideal for antibody labelling, functional and cell-based assays, flow-based assays (e.g. mass cytometry) and Multiplex Imaging applications.

Use our conjugation kits for antibody conjugates that are ready-to-use in as little as 20 minutes with 1 minute hands-on-time and 100% antibody recovery: available for fluorescent dyes, HRP, biotin and gold.

Compatibility
This product is compatible with the Maxpar® Antibody Labeling Kit from Fluidigm, without the need for antibody preparation. Maxpar® is a trademark of Fluidigm Canada Inc.

Properties and storage information

Form
Liquid
Purification technique
Affinity purification Protein A
Storage buffer
pH: 7.2 - 7.4 Constituents: PBS
Shipped at conditions
Blue Ice
Appropriate short-term storage conditions
+4°C
Appropriate long-term storage conditions
+4°C
Storage information
Do Not Freeze

Supplementary information

This supplementary information is collated from multiple sources and compiled automatically.

Interferon alpha 2 also known as IFN alpha 2 or IFN alpha 2a/b is a type of cytokine that plays a critical role in the immune response. It is a smaller protein weighing approximately 19.5 kDa mainly expressed by leukocytes such as macrophages and dendritic cells. This protein exhibits antiviral antiproliferative and immunomodulatory activities by binding to specific receptors on target cells. Researchers often study interferon alpha through recombinant protein studies which can be simulated by companies like PeproTech. Additionally ELISA assays facilitate the quantitative measurement of interferon alpha levels in various biological samples.
Biological function summary

Interferon alpha 2 engages in complex signaling with other immune factors to establish an antiviral state in cells. This protein binds to the IFNAR1 and IFNAR2 receptor complex initiating a cascade that activates genes responsible for immune defense. By doing so it triggers the transcription of various antiviral proteins and enhances the activity of immune cells including natural killer cells and macrophages. Its function is also evaluated in reconstitution studies such as PeproTech's IL-2 reconstitution to investigate broader immune functions.

Pathways

Researchers observe interferon alpha 2 predominantly within the JAK-STAT signaling pathway. This pathway is vital in transmitting the extracellular signal through to the gene transcription process leading to an appropriate immune response. STAT proteins such as STAT1 and STAT2 form a transcription complex following activation by JAK kinases. Interferon alpha 2's interactions in the pathway exemplify how this cytokine links with other components for immune regulation coordinating with other proteins like ISGF3 to amplify antiviral responses.

Scientists associate interferon alpha 2 with chronic viral infections and certain cancers. For example its therapeutic application has been prominent in treating hepatitis C and some hematological malignancies. In viral infections interferon alpha inhibits viral replication and enhances antiviral immunity. In cancer it suppresses cell proliferation and regulates immune surveillance. The protein's levels and activity can correlate with pathological states influenced by other proteins such as IFN-lambda and TNF-alpha highlighting its role in disease mechanisms and therapeutic interventions.

Product protocols

For this product, it's our understanding that no specific protocols are required. You can visit:

Target data

Produced by macrophages, IFN-alpha have antiviral activities.
See full target information IFNA2

Publications (1)

Recent publications for all applications. Explore the full list and refine your search

Journal of the Association for Research in Otolaryngology : JARO 26:225-238 PubMed40240732

2025

Influence of Myosin Regulatory Light Chain and Myosin Light Chain Kinase on the Physiological Function of Inner Ear Hair Cells.

Applications

Unspecified application

Species

Unspecified reactive species

Ryohei Oya,Kwang Min Woo,Brian Fabella,R G Alonso,Paloma Bravo,A J Hudspeth
View all publications

Product promise

We are committed to supporting your work with high-quality reagents, and we're here for you every step of the way. In the unlikely event that one of our products does not perform as expected, you're protected by our Product Promise.
For full details, please see our Terms & Conditions

Please note: All products are 'FOR RESEARCH USE ONLY. NOT FOR USE IN DIAGNOSTIC OR THERAPEUTIC PROCEDURES'.

For licensing inquiries, please contact partnerships@abcam.com