JavaScript is disabled in your browser. Please enable JavaScript to view this website.
AB216475

Anti-Interferon beta antibody

Be the first to review this product! Submit a review

|

(1 Publication)

Rabbit Polyclonal Interferon beta antibody. Suitable for IHC-P and reacts with Human samples. Cited in 1 publication. Immunogen corresponding to Synthetic Peptide within Human IFNB1 aa 100 to C-terminus conjugated to Keyhole Limpet Haemocyanin.

View Alternative Names

IFB, IFNB, IFNB1, Interferon beta, IFN-beta, Fibroblast interferon

1 Images
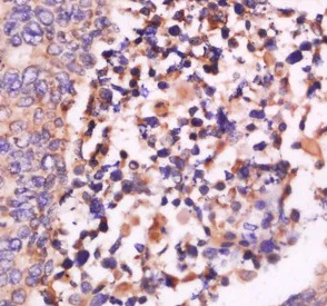
Immunohistochemistry (Formalin/PFA-fixed paraffin-embedded sections) - Anti-Interferon beta antibody (AB216475)
  • IHC-P

Supplier Data

Immunohistochemistry (Formalin/PFA-fixed paraffin-embedded sections) - Anti-Interferon beta antibody (AB216475)

Immunohistochemical analysis of formalin-fixed paraffin-embedded human colon carcinoma tissue sections labeling Interferon beta with ab216475 at a 1/500 dilution. DAB staining.

Key facts

Host species

Rabbit

Clonality

Polyclonal

Isotype

IgG

Carrier free

No

Reacts with

Human

Applications

IHC-P

applications

Immunogen

Synthetic Peptide within Human IFNB1 aa 100 to C-terminus conjugated to Keyhole Limpet Haemocyanin. The exact immunogen used to generate this antibody is proprietary information.

P01574

Reactivity data

{ "title": "Reactivity Data", "filters": { "stats": ["", "Species", "Dilution Info", "Notes"], "tabs": { "all-applications": {"fullname" : "All Applications", "shortname": "All Applications"}, "IHCP" : {"fullname" : "Immunohistochemistry (Formalin/PFA-fixed paraffin-embedded sections)", "shortname":"IHC-P"} }, "product-promise": { "all": "all", "testedAndGuaranteed": "tested", "guaranteed": "expected", "predicted": "predicted", "notRecommended": "not-recommended" } }, "values": { "Human": { "IHCP-species-checked": "testedAndGuaranteed", "IHCP-species-dilution-info": "1/100 - 1/500", "IHCP-species-notes": "<p></p> Perform heat-mediated antigen retrieval with citrate buffer pH 6 before commencing with IHC staining protocol." } } }

Properties and storage information

Form
Liquid
Purification technique
Affinity purification Protein A
Storage buffer
pH: 7.4 Preservative: 0.02% Proclin 300 Constituents: 50% Glycerol (glycerin, glycerine), 48.98% TBS, 1X, 1% BSA
Shipped at conditions
Blue Ice
Appropriate short-term storage duration
1-2 weeks
Appropriate short-term storage conditions
+4°C
Appropriate long-term storage conditions
-20°C
Aliquoting information
Upon delivery aliquot
Storage information
Avoid freeze / thaw cycle

Supplementary information

This supplementary information is collated from multiple sources and compiled automatically.

Interferon beta also known as IFN-beta or beta interferon is a type I interferon with a mass of approximately 20 kDa. It originates primarily from fibroblasts and plays an essential role in the immune response. This protein targets and binds to specific cell surface receptors initiating various antiviral states within cells. This action assists in slowing down viral replication and spread. IFN-beta's expression increases in response to viral infections making it an important component in the body's first line of defense against pathogens.
Biological function summary

Interferon beta functions as an important mediator of immune functions regulating the activity of natural killer cells and macrophages. It also boosts antigen presentation to T cells. Interferon beta belongs to the larger family of interferons which includes IFN-alpha and IFN-gamma each having distinct effects but working together to mount an effective immune response. Though it does not form part of a complex it plays a critical standalone role in immune signaling pathways.

Pathways

Interferon beta associates strongly with the JAK-STAT signaling pathway. Upon activation it interacts with receptors to phosphorylate STAT proteins mainly STAT1 and STAT2 which then dimerize and translocate to the nucleus to trigger gene expression. Another important pathway is the antiviral response where interferon beta modulates the expression of hundreds of interferon-stimulated genes. These pathways intricately involve other proteins like IFN-alpha and IFN-gamma which work synergistically to establish an effective antiviral environment.

Interferon beta shows significant implications in multiple sclerosis and hepatitis C infection. It is widely used as a therapeutic agent in managing multiple sclerosis by modulating the immune response to reduce inflammation and slow disease progression. Similarly its role in antiviral defense makes it relevant to hepatitis C infection management. In these contexts IFN-alpha and IFN-gamma are also important as they share similar antiviral and immunomodulatory functions that can complement IFN-beta's actions enhancing the treatment's efficacy.

Product protocols

For this product, it's our understanding that no specific protocols are required. You can visit:

Target data

Type I interferon cytokine that plays a key role in the innate immune response to infection, developing tumors and other inflammatory stimuli (PubMed : 10049744, PubMed : 10556041, PubMed : 6157094, PubMed : 6171735, PubMed : 7665574, PubMed : 8027027, PubMed : 8969169). Signals via binding to high-affinity (IFNAR2) and low-affinity (IFNAR1) heterodimeric receptor, activating the canonical Jak-STAT signaling pathway resulting in transcriptional activation or repression of interferon-regulated genes that encode the effectors of the interferon response, such as antiviral proteins, regulators of cell proliferation and differentiation, and immunoregulatory proteins (PubMed : 10049744, PubMed : 10556041, PubMed : 7665574, PubMed : 8027027, PubMed : 8969169). Signals mostly via binding to a IFNAR1-IFNAR2 heterodimeric receptor, but can also function with IFNAR1 alone and independently of Jak-STAT pathways (By similarity). Elicits a wide variety of responses, including antiviral and antibacterial activities, and can regulate the development of B-cells, myelopoiesis and lipopolysaccharide (LPS)-inducible production of tumor necrosis factor (By similarity). Plays a role in neuronal homeostasis by regulating dopamine turnover and protecting dopaminergic neurons : acts by promoting neuronal autophagy and alpha-synuclein clearance, thereby preventing dopaminergic neuron loss (By similarity). IFNB1 is more potent than interferon-alpha (IFN-alpha) in inducing the apoptotic and antiproliferative pathways required for control of tumor cell growth (By similarity).
See full target information IFNB1

Publications (1)

Recent publications for all applications. Explore the full list and refine your search

Oncology letters 30:387 PubMed40535100

2025

Propionate metabolism-related genes demonstrate the potential to serve as prognostic and immunotherapeutic markers in osteosarcoma.

Applications

Unspecified application

Species

Unspecified reactive species

Wei Liu,Ze Xu,Mingdong Li,Nan Zhu,Shuo Zhang,Qilun Zhang,Junfeng Zhan
View all publications

Product promise

We are committed to supporting your work with high-quality reagents, and we're here for you every step of the way. In the unlikely event that one of our products does not perform as expected, you're protected by our Product Promise.
For full details, please see our Terms & Conditions

Please note: All products are 'FOR RESEARCH USE ONLY. NOT FOR USE IN DIAGNOSTIC OR THERAPEUTIC PROCEDURES'.

For licensing inquiries, please contact partnerships@abcam.com