JavaScript is disabled in your browser. Please enable JavaScript to view this website.
AB186669

Anti-Interferon beta antibody - C-terminal

Be the first to review this product! Submit a review

|

(8 Publications)

Rabbit Polyclonal Interferon beta antibody. C-terminal. Suitable for WB, sELISA, IHC-P, FuncS (Neut/Block) and reacts with Human samples. Cited in 8 publications. Immunogen corresponding to Recombinant Fragment Protein within Human IFNB1 aa 1 to C-terminus.

View Alternative Names

IFB, IFNB, IFNB1, Interferon beta, IFN-beta, Fibroblast interferon

2 Images
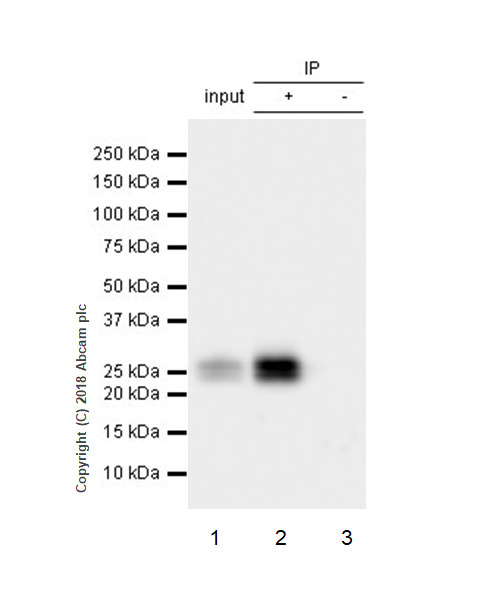
Western blot - Anti-Interferon beta antibody - C-terminal (AB186669)
  • WB

Supplier Data

Western blot - Anti-Interferon beta antibody - C-terminal (AB186669)

ab186669 was used for Western blot at a concentration of 0.1-0.2 μg/ml, and the detection limit for recombinant Human Interferon beta is 1.5-3.0 ng/lane when used in conjunction with compatible secondary reagents.

All lanes:

Western blot - Anti-Interferon beta antibody - C-terminal (ab186669)

Predicted band size: 22 kDa

false

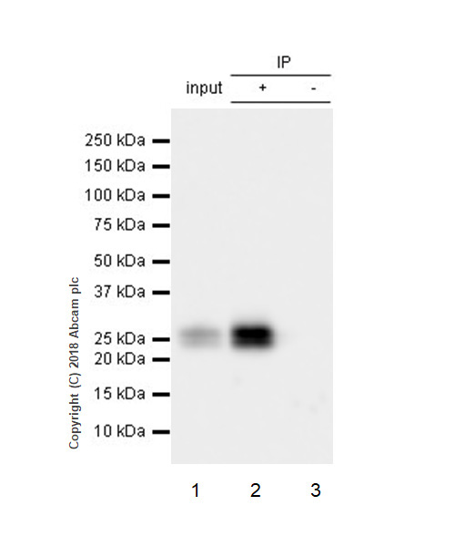
Western blot - Anti-Interferon beta antibody - C-terminal (AB186669)
  • WB

Supplier Data

Western blot - Anti-Interferon beta antibody - C-terminal (AB186669)

ab186669 was used for Western blot at a concentration of 0.1-0.2 μg/ml, and the detection limit for recombinant Human Interferon beta is 1.5-3.0 ng/lane when used in conjunction with compatible secondary reagents.

All lanes:

Western blot - Anti-Interferon beta antibody - C-terminal (ab186669)

Predicted band size: 22 kDa

false

Key facts

Host species

Rabbit

Clonality

Polyclonal

Isotype

IgG

Carrier free

No

Reacts with

Human

Applications

FuncS (Neut/Block), IHC-P, WB, sELISA

applications

Immunogen

Recombinant Fragment Protein within Human IFNB1 aa 1 to C-terminus. The exact immunogen used to generate this antibody is proprietary information.

P01574

Reactivity data

{ "title": "Reactivity Data", "filters": { "stats": ["", "Species", "Dilution Info", "Notes"], "tabs": { "all-applications": {"fullname" : "All Applications", "shortname": "All Applications"}, "WB" : {"fullname" : "Western blot", "shortname":"WB"}, "sELISA" : {"fullname" : "Sandwich ELISA", "shortname":"sELISA"}, "IHCP" : {"fullname" : "Immunohistochemistry (Formalin/PFA-fixed paraffin-embedded sections)", "shortname":"IHC-P"}, "FuncSNeutBlock" : {"fullname" : "Functional Studies (Neut/Block)", "shortname":"FuncS (Neut/Block)"} }, "product-promise": { "all": "all", "testedAndGuaranteed": "tested", "guaranteed": "expected", "predicted": "predicted", "notRecommended": "not-recommended" } }, "values": { "Human": { "WB-species-checked": "testedAndGuaranteed", "WB-species-dilution-info": "0.1-0.2 µg/mL", "WB-species-notes": "<p></p>", "sELISA-species-checked": "guaranteed", "sELISA-species-dilution-info": "", "sELISA-species-notes": "<p>Can be used as a capture antibody, with <a href='/en-us/products/unavailable/interferon-beta-antibody-biotin-ab84258'>ab84258</a> as a detection antibody</p>", "IHCP-species-checked": "guaranteed", "IHCP-species-dilution-info": "", "IHCP-species-notes": "<p></p>", "FuncSNeutBlock-species-checked": "guaranteed", "FuncSNeutBlock-species-dilution-info": "", "FuncSNeutBlock-species-notes": "<p>At the recommended concentration ab186669 yields one-half maximal inhibition [ND50] of the biological activity of Human Interferon beta (5 ug/ml).</p>" } } }

Product details

Although some customers have been successful in IHC we no longer batch test in this application.

Properties and storage information

Form
Lyophilized
Reconstitution
Reconstitute in water
Purification technique
Affinity purification Immunogen
Shipped at conditions
Blue Ice
Appropriate short-term storage duration
1-2 weeks
Appropriate short-term storage conditions
+4°C
Appropriate long-term storage conditions
-20°C
Aliquoting information
Upon delivery aliquot
Storage information
Avoid freeze / thaw cycle

Supplementary information

This supplementary information is collated from multiple sources and compiled automatically.

Interferon beta also known as IFN-beta or beta interferon is a type I interferon with a mass of approximately 20 kDa. It originates primarily from fibroblasts and plays an essential role in the immune response. This protein targets and binds to specific cell surface receptors initiating various antiviral states within cells. This action assists in slowing down viral replication and spread. IFN-beta's expression increases in response to viral infections making it an important component in the body's first line of defense against pathogens.
Biological function summary

Interferon beta functions as an important mediator of immune functions regulating the activity of natural killer cells and macrophages. It also boosts antigen presentation to T cells. Interferon beta belongs to the larger family of interferons which includes IFN-alpha and IFN-gamma each having distinct effects but working together to mount an effective immune response. Though it does not form part of a complex it plays a critical standalone role in immune signaling pathways.

Pathways

Interferon beta associates strongly with the JAK-STAT signaling pathway. Upon activation it interacts with receptors to phosphorylate STAT proteins mainly STAT1 and STAT2 which then dimerize and translocate to the nucleus to trigger gene expression. Another important pathway is the antiviral response where interferon beta modulates the expression of hundreds of interferon-stimulated genes. These pathways intricately involve other proteins like IFN-alpha and IFN-gamma which work synergistically to establish an effective antiviral environment.

Interferon beta shows significant implications in multiple sclerosis and hepatitis C infection. It is widely used as a therapeutic agent in managing multiple sclerosis by modulating the immune response to reduce inflammation and slow disease progression. Similarly its role in antiviral defense makes it relevant to hepatitis C infection management. In these contexts IFN-alpha and IFN-gamma are also important as they share similar antiviral and immunomodulatory functions that can complement IFN-beta's actions enhancing the treatment's efficacy.

Product protocols

For this product, it's our understanding that no specific protocols are required. You can visit:

Target data

Type I interferon cytokine that plays a key role in the innate immune response to infection, developing tumors and other inflammatory stimuli (PubMed : 10049744, PubMed : 10556041, PubMed : 6157094, PubMed : 6171735, PubMed : 7665574, PubMed : 8027027, PubMed : 8969169). Signals via binding to high-affinity (IFNAR2) and low-affinity (IFNAR1) heterodimeric receptor, activating the canonical Jak-STAT signaling pathway resulting in transcriptional activation or repression of interferon-regulated genes that encode the effectors of the interferon response, such as antiviral proteins, regulators of cell proliferation and differentiation, and immunoregulatory proteins (PubMed : 10049744, PubMed : 10556041, PubMed : 7665574, PubMed : 8027027, PubMed : 8969169). Signals mostly via binding to a IFNAR1-IFNAR2 heterodimeric receptor, but can also function with IFNAR1 alone and independently of Jak-STAT pathways (By similarity). Elicits a wide variety of responses, including antiviral and antibacterial activities, and can regulate the development of B-cells, myelopoiesis and lipopolysaccharide (LPS)-inducible production of tumor necrosis factor (By similarity). Plays a role in neuronal homeostasis by regulating dopamine turnover and protecting dopaminergic neurons : acts by promoting neuronal autophagy and alpha-synuclein clearance, thereby preventing dopaminergic neuron loss (By similarity). IFNB1 is more potent than interferon-alpha (IFN-alpha) in inducing the apoptotic and antiproliferative pathways required for control of tumor cell growth (By similarity).
See full target information IFNB1

Publications (8)

Recent publications for all applications. Explore the full list and refine your search

ACS omega 10:17416-17434 PubMed40352528

2025

Mercury Can Bond to α-Carbon of Curcumin Increasing Stability in Aqueous Medium and Demonstrated Selective Cytotoxicity against Acute Leukemia.

Applications

Unspecified application

Species

Unspecified reactive species

Sougata Mondal,Upasana Das,Oyendrila Ghosh,Bidisha Maiti,Shuvam Halder,Uttam Pal,Kalyan Kusum Mukherjee,Supratim Ghosh

ACS applied materials & interfaces 15:25300-25312 PubMed37204867

2023

Toehold-Mediated Shape Transition of Nucleic Acid Nanoparticles.

Applications

Unspecified application

Species

Unspecified reactive species

Jordan Hartung,Nathan McCann,Erwin Doe,Hannah Hayth,Kheiria Benkato,M Brittany Johnson,Mathias Viard,Kirill A Afonin,Emil F Khisamutdinov

ACS applied materials & interfaces 13:39030-39041 PubMed34402305

2021

Controlled Organization of Inorganic Materials Using Biological Molecules for Activating Therapeutic Functionalities.

Applications

Unspecified application

Species

Unspecified reactive species

Morgan Chandler,Brian Minevich,Brandon Roark,Mathias Viard,M Brittany Johnson,Mehedi H Rizvi,Thomas A Deaton,Seraphim Kozlov,Martin Panigaj,Joseph B Tracy,Yaroslava G Yingling,Oleg Gang,Kirill A Afonin

Nucleic acids research 48:11785-11798 PubMed33091133

2020

The immunorecognition, subcellular compartmentalization, and physicochemical properties of nucleic acid nanoparticles can be controlled by composition modification.

Applications

Unspecified application

Species

Unspecified reactive species

Morgan Brittany Johnson,Justin R Halman,Daniel K Miller,Joseph S Cooper,Emil F Khisamutdinov,Ian Marriott,Kirill A Afonin

Journal of neuroinflammation 17:139 PubMed32357908

2020

Retinoic acid inducible gene-I mediated detection of bacterial nucleic acids in human microglial cells.

Applications

Unspecified application

Species

Unspecified reactive species

M Brittany Johnson,Justin R Halman,Amanda R Burmeister,Saralynn Currin,Emil F Khisamutdinov,Kirill A Afonin,Ian Marriott

Scientific reports 9:8827 PubMed31222165

2019

Combating viral contaminants in CHO cells by engineering innate immunity.

Applications

Unspecified application

Species

Unspecified reactive species

Austin W T Chiang,Shangzhong Li,Benjamin P Kellman,Gouri Chattopadhyay,Yaqin Zhang,Chih-Chung Kuo,Jahir M Gutierrez,Faezeh Ghazi,Hana Schmeisser,Patrice Ménard,Sara Petersen Bjørn,Bjørn G Voldborg,Amy S Rosenberg,Montserrat Puig,Nathan E Lewis

Nucleic acid therapeutics 28:200-208 PubMed29634401

2018

Modulation of mRNA Translation and Cell Viability by Influenza A Virus Derived Nonstructural Protein 1.

Applications

Unspecified application

Species

Unspecified reactive species

Yi Liu,Zhen Hua Chia,Johannes Nathaniel Min Hui Liew,Shi Min Or,Kyle K L Phua

Biomolecules 7: PubMed28758979

2017

Suppression of mRNA Nanoparticle Transfection in Human Fibroblasts by Selected Interferon Inhibiting Small Molecule Compounds.

Applications

Unspecified application

Species

Unspecified reactive species

Yang Liu,Manoj N Krishnan,Kyle K L Phua
View all publications

Product promise

We are committed to supporting your work with high-quality reagents, and we're here for you every step of the way. In the unlikely event that one of our products does not perform as expected, you're protected by our Product Promise.
For full details, please see our Terms & Conditions

Please note: All products are 'FOR RESEARCH USE ONLY. NOT FOR USE IN DIAGNOSTIC OR THERAPEUTIC PROCEDURES'.

For licensing inquiries, please contact partnerships@abcam.com