JavaScript is disabled in your browser. Please enable JavaScript to view this website.
AB218229

Anti-Interferon beta antibody [EPR22186-266]

Be the first to review this product! Submit a review

|

(4 Publications)

Rabbit Recombinant Monoclonal Interferon beta antibody. Suitable for IP, WB and reacts with Mouse samples. Cited in 4 publications.

View Alternative Names

Ifb, Ifnb, Ifnb1, Interferon beta, IFN-beta

3 Images
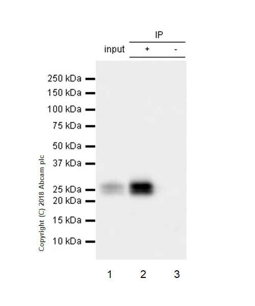
Immunoprecipitation - Anti-Interferon beta antibody [EPR22186-266] (AB218229)
  • IP

Supplier Data

Immunoprecipitation - Anti-Interferon beta antibody [EPR22186-266] (AB218229)

Interferon beta was immunoprecipitated from 0.35 mg of RAW 264.7 (mouse macrophage cell line transformed with Abelson murine leukemia virus) treated with 50μg/ml DMXAA (ab143018) for 1h, then together with 300ng/ml brefeldin A (BFA) for another 6h whole cell lysate with ab218229 at 1/30 dilution. Western blot was performed from the immunoprecipitate using ab218229 at 1/500 dilution. VeriBlot for IP Detection Reagent (HRP) (ab131366), was used for detection at 1/1000 dilution.

Lane 1 : RAW 264.7 (treated with DMXAA (ab143018)/BFA) whole cell lysate 10 μg (Input).
Lane 2 : ab218229 IP in RAW 264.7 (treated with DMXAA (ab143018)/BFA) whole cell lysate.
Lane 3 : Rabbit monoclonal IgG (ab172730) instead of ab218229 in RAW 264.7 (treated with DMXAA (ab143018)/BFA) whole cell lysate.

Blocking and dilution buffer : 5% NFDM/TBST.

All lanes:

Immunoprecipitation - Anti-Interferon beta antibody [EPR22186-266] (ab218229)

Predicted band size: 22 kDa,30 kDa

Observed band size: 24 kDa,26 kDa,30 kDa

false

Exposure time: 10s

Western blot - Anti-Interferon beta antibody [EPR22186-266] (AB218229)
  • WB

Supplier Data

Western blot - Anti-Interferon beta antibody [EPR22186-266] (AB218229)

Exposure time : Lanes 1 and 2 : 26 seconds; Lanes 3 and 4 : 3 minutes.

Blocking/Dilution buffer : 5% NFDM/TBST.

Interferon beta can be induced to increase the expression by DMXAA or LPS in RAW264.7 cell (PMID : 23027866, PMID : 16020513).

The doublet is likely due to isoforms (PMID : 7352261).

All lanes:

Western blot - Anti-Interferon beta antibody [EPR22186-266] (ab218229) at 1/1000 dilution

Lane 1:

Untreated RAW 264.7 (mouse macrophage cell line transformed with Abelson murine leukemia virus) whole cell lysate at 20 µg

Lane 2:

RAW 264.7 treated with 50 μg/ml DMXAA (<a href='/en-us/products/unavailable/dmxaa-asa404-vegfr-inhibitor-ab143018'>ab143018</a>) for 7 hours, then with 300 ng/ml Brefeldin A (BFA) added after 1 hour, whole cell lysate at 20 µg

Lane 3:

Untreated RAW 264.7 whole cell lysate at 20 µg

Lane 4:

RAW264.7 treated with 100 ng/ml lipopolysaccharide (LPS) for 6 hours, then with 300 ng/ml Brefeldin A (BFA) added after 3 hours, whole cell lysate at 20 µg

Secondary

All lanes:

Western blot - Goat Anti-Rabbit IgG H&L (HRP) (<a href='/en-us/products/secondary-antibodies/goat-rabbit-igg-h-l-hrp-ab97051'>ab97051</a>) at 1/100000 dilution

Predicted band size: 22 kDa

Observed band size: 24 kDa,26 kDa

false

Western blot - Anti-Interferon beta antibody [EPR22186-266] (AB218229)
  • WB

CiteAb

Western blot - Anti-Interferon beta antibody [EPR22186-266] (AB218229)

Interferon beta western blot using anti-Interferon beta antibody [EPR22186-266] ab218229. Publication image and figure legend from Chen, H., Chew, G., et al., 2022, Nat Commun, PubMed 36450710.

ab218229 was used in this publication in western blot. This may not be the same as the application(s) guaranteed by Abcam. For a full list of applications guaranteed by Abcam for ab218229 please see the product overview.

WWP2 regulates IRF7 network activity in macrophages in NICM.a Scatter plot of the relative activity of transcription factor (TF)-regulons in cardiac macrophages from WWP2Mut/Mut (Mut/Mut) and WWP2wt/wt (WT) mice treated with Ang-II (7 days). For each regulon, the difference in expression score between Mut/Mut and WT and its statistical significance score are shown on the x axis and y axis, respectively. The number of downstream target genes in each regulon is proportional to the circle size (more details in Methods). The IRF7 regulon showed the largest and most significant expression score difference between Mut/Mut and WT cardiac macrophages. b Average expression score of the IRF7 regulon across cardiac macrophage clusters from WT and Mut/Mut mice treated with Ang-II (7 days). (P values by two-sided Wilcoxon test). c Breakdown of IRF7 targets enrichment in the profibrotic hECM-network (n = 237 genes) previously identified in LV of dilated cardiomyopathy patients39. 80 (33.8%) of these hECM-network genes are targets of IRF7. d, e qRT-PCR (d) and WB (e) of representative IFN signaling genes (IFNα, IFNβ, and IFNγ) in WT and WWP2-/- (-/-) BMDMs with and without LPS stimulation. n = 5 per experimental group. f. IRF7 binding site motif derived from previously published IRF7 ChIP-seq analysis67. g IRF7 ChIP-qPCR analysis and schematic showing the IRF7 binding site motifs (P < 10-4) within the Ccl5 and Irf7 genes. *Motifs matching to (Ccl5, Irf7) PCR products (purple thick line), which were used in the ChIP-qPCR analysis. h,i qRT-PCR (h) and WB (i) of IRF7 mRNA and protein expression in WT and WWP2-/- (-/-) BMDMs. n = 3–6 for each group. j ChIP-qPCR analysis of IRF7 occupancy sites on Ccl5 (left) or Irf7 (right) in WT and WWP2-/- BMDMs treated with LPS. Enrichment is normalized to input DNA, and represented as fold-enrichment relative to vehicle controls in WT BMDMs. In each case, LPS stimulation (100 ng/ml, 4 hrs). Unless otherwise indicated, data are shown as dot-plots with mean ± SD, and statistical significance is assessed by the non-parametric Mann–Whitney U test.

false

  • Carrier free

    Anti-Interferon beta antibody [EPR22186-266] - BSA and Azide free

Key facts

Host species

Rabbit

Clonality

Monoclonal

Clone number

EPR22186-266

Isotype

IgG

Carrier free

No

Reacts with

Mouse

Applications

WB, IP

applications

Immunogen

The exact immunogen used to generate this antibody is proprietary information.

Reactivity data

{ "title": "Reactivity Data", "filters": { "stats": ["", "Species", "Dilution Info", "Notes"], "tabs": { "all-applications": {"fullname" : "All Applications", "shortname": "All Applications"}, "IP" : {"fullname" : "Immunoprecipitation", "shortname":"IP"}, "WB" : {"fullname" : "Western blot", "shortname":"WB"} }, "product-promise": { "all": "all", "testedAndGuaranteed": "tested", "guaranteed": "expected", "predicted": "predicted", "notRecommended": "not-recommended" } }, "values": { "Mouse": { "IP-species-checked": "testedAndGuaranteed", "IP-species-dilution-info": "1/30", "IP-species-notes": "<p></p>", "WB-species-checked": "testedAndGuaranteed", "WB-species-dilution-info": "1/1000", "WB-species-notes": "<p></p>" } } }

Product details

Patented technology
Our RabMAb® technology is a patented hybridoma-based technology for making rabbit monoclonal antibodies. For details on our patents, please refer to RabMAb® patents.

What are the advantages of a recombinant monoclonal antibody?
This product is a recombinant monoclonal antibody, which offers several advantages including:

  • - High batch-to-batch consistency and reproducibility
  • - Improved sensitivity and specificity
  • - Long-term security of supply
  • - Animal-free batch production

For more information, read more on recombinant antibodies.

Properties and storage information

Form
Liquid
Purification technique
Affinity purification Protein A
Storage buffer
pH: 7.2 - 7.4 Preservative: 0.01% Sodium azide Constituents: PBS, 40% Glycerol (glycerin, glycerine), 0.05% BSA
Shipped at conditions
Blue Ice
Appropriate short-term storage duration
1-2 weeks
Appropriate short-term storage conditions
+4°C
Appropriate long-term storage conditions
-20°C
Aliquoting information
Upon delivery aliquot
Storage information
Avoid freeze / thaw cycle

Supplementary information

This supplementary information is collated from multiple sources and compiled automatically.

Interferon beta also known as IFN-beta or beta interferon is a type I interferon with a mass of approximately 20 kDa. It originates primarily from fibroblasts and plays an essential role in the immune response. This protein targets and binds to specific cell surface receptors initiating various antiviral states within cells. This action assists in slowing down viral replication and spread. IFN-beta's expression increases in response to viral infections making it an important component in the body's first line of defense against pathogens.
Biological function summary

Interferon beta functions as an important mediator of immune functions regulating the activity of natural killer cells and macrophages. It also boosts antigen presentation to T cells. Interferon beta belongs to the larger family of interferons which includes IFN-alpha and IFN-gamma each having distinct effects but working together to mount an effective immune response. Though it does not form part of a complex it plays a critical standalone role in immune signaling pathways.

Pathways

Interferon beta associates strongly with the JAK-STAT signaling pathway. Upon activation it interacts with receptors to phosphorylate STAT proteins mainly STAT1 and STAT2 which then dimerize and translocate to the nucleus to trigger gene expression. Another important pathway is the antiviral response where interferon beta modulates the expression of hundreds of interferon-stimulated genes. These pathways intricately involve other proteins like IFN-alpha and IFN-gamma which work synergistically to establish an effective antiviral environment.

Interferon beta shows significant implications in multiple sclerosis and hepatitis C infection. It is widely used as a therapeutic agent in managing multiple sclerosis by modulating the immune response to reduce inflammation and slow disease progression. Similarly its role in antiviral defense makes it relevant to hepatitis C infection management. In these contexts IFN-alpha and IFN-gamma are also important as they share similar antiviral and immunomodulatory functions that can complement IFN-beta's actions enhancing the treatment's efficacy.

Product protocols

For this product, it's our understanding that no specific protocols are required. You can visit:

Target data

Type I interferon cytokine that plays a key role in the innate immune response to infection, developing tumors and other inflammatory stimuli (PubMed : 10708458, PubMed : 23872679). Signals via binding to high-affinity (IFNAR2) and low-affinity (IFNAR1) heterodimeric receptor, activating the canonical Jak-STAT signaling pathway resulting in transcriptional activation or repression of interferon-regulated genes that encode the effectors of the interferon response, such as antiviral proteins, regulators of cell proliferation and differentiation, and immunoregulatory proteins (By similarity). Signals mostly via binding to a IFNAR1-IFNAR2 heterodimeric receptor, but can also function with IFNAR1 alone and independently of Jak-STAT pathways (PubMed : 23872679). Elicits a wide variety of responses, including antiviral and antibacterial activities, and can regulate the development of B-cells, myelopoiesis and lipopolysaccharide (LPS)-inducible production of tumor necrosis factor (PubMed : 10708458, PubMed : 14597717). Plays a role in neuronal homeostasis by regulating dopamine turnover and protecting dopaminergic neurons : acts by promoting neuronal autophagy and alpha-synuclein clearance, thereby preventing dopaminergic neuron loss (PubMed : 26451483). IFNB1 is more potent than interferon-alpha (IFN-alpha) in inducing the apoptotic and antiproliferative pathways required for control of tumor cell growth (PubMed : 14597717).
See full target information Ifnb1

Publications (4)

Recent publications for all applications. Explore the full list and refine your search

Genes 14: PubMed37628607

2023

TRIM25 Suppresses Rabies Virus Fixed HEP-Flury Strain Production by Activating RIG-1-Mediated Type I Interferons.

Applications

Unspecified application

Species

Unspecified reactive species

Boyue Zhang,Ting Cai,Hongling He,Xuezhe Huang,Yongwen Luo,Shile Huang,Jun Luo,Xiaofeng Guo

International journal of molecular sciences 24: PubMed37446070

2023

TRIM21 Promotes Rabies Virus Production by Degrading IRF7 through Ubiquitination.

Applications

Unspecified application

Species

Unspecified reactive species

Boyue Zhang,Ting Cai,Hongling He,Xuezhe Huang,Guie Chen,Yanqin Lai,Yongwen Luo,Shile Huang,Jun Luo,Xiaofeng Guo

Nature communications 13:7375 PubMed36450710

2022

The E3 ubiquitin ligase WWP2 regulates pro-fibrogenic monocyte infiltration and activity in heart fibrosis.

Applications

Unspecified application

Species

Unspecified reactive species

Huimei Chen,Gabriel Chew,Nithya Devapragash,Jui Zhi Loh,Kevin Y Huang,Jing Guo,Shiyang Liu,Elisabeth Li Sa Tan,Shuang Chen,Nicole Gui Zhen Tee,Masum M Mia,Manvendra K Singh,Aihua Zhang,Jacques Behmoaras,Enrico Petretto

Oxidative medicine and cellular longevity 2022:8965903 PubMed36238642

2022

Anlotinib Benefits the PDL1 Immunotherapy by Activating ROS/JNK/AP-1 Pathway to Upregulate PDL1 Expression in Colorectal Cancer.

Applications

Unspecified application

Species

Unspecified reactive species

Bixian Luo,Shun Zhang,Dan Tan,Xinbo Yu,Jianwei Lin,Mingliang Wang
View all publications

Product promise

We are committed to supporting your work with high-quality reagents, and we're here for you every step of the way. In the unlikely event that one of our products does not perform as expected, you're protected by our Product Promise.
For full details, please see our Terms & Conditions

Please note: All products are 'FOR RESEARCH USE ONLY. NOT FOR USE IN DIAGNOSTIC OR THERAPEUTIC PROCEDURES'.

For licensing inquiries, please contact partnerships@abcam.com