JavaScript is disabled in your browser. Please enable JavaScript to view this website.
AB275880

Anti-Interferon beta antibody [EPR23341-7]

Be the first to review this product! Submit a review

|

(2 Publications)

Rabbit Recombinant Monoclonal Interferon beta antibody. Suitable for IP, WB, ICC/IF and reacts with Human, Recombinant full length protein - Human, Transfected cell lysate - Human samples. Cited in 2 publications.

View Alternative Names

IFB, IFNB, IFNB1, Interferon beta, IFN-beta, Fibroblast interferon

4 Images
Immunocytochemistry/ Immunofluorescence - Anti-Interferon beta antibody [EPR23341-7] (AB275880)
  • ICC/IF

Lab

Immunocytochemistry/ Immunofluorescence - Anti-Interferon beta antibody [EPR23341-7] (AB275880)

Immunofluorescent analysis of 100% methanol-fixed, 0.1% TritonX-100 permeabilized A549 (human lung carcinoma epithelial cell) cells labelling Interferon beta with ab275880 at 1/50 (10.14 µg/ml) dilution followed by a ab150081 Goat Anti-Rabbit IgG H&L (Alexa Fluor® 488) preadsorbed at a 1/1000 (2 µg) dilution (Green).

Confocal image showing cytoplasmic staining in A549 cells treated with 400 ng/ml poly(I : C) for 4 hours, then together with 300 ng/ml Brefeldin A for another 20 hours (shown in green). The counterstain was observed in magenta. Nuclear DNA was labelled with DAPI (shown in blue).
Image was taken with a confocal microscope (Leica-Microsystems, TCS SP8).

ab195889 Anti-alpha Tubulin mouse monoclonal antibody - Microtubule Marker (Alexa Fluor® 594) was used to counterstain tubulin at 1/200 (2.5µg/ml) dilution (Magenta). The Nuclear counterstain was DAPI (Blue).

Secondary antibody only control : ab150081 Goat Anti-Rabbit IgG H&L (Alexa Fluor® 488) preadsorbed at a 1/1000 (2 µg) dilution.

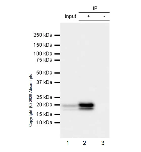
Immunoprecipitation - Anti-Interferon beta antibody [EPR23341-7] (AB275880)
  • IP

Unknown

Immunoprecipitation - Anti-Interferon beta antibody [EPR23341-7] (AB275880)

Interferon beta was immunoprecipitated from 0.35 mg A549 (human lung carcinoma epithelial cell) (transfected with 400ng/ml poly(I : C) for 4 hours, then 300ng/ml BFA was added for the last 20 hours) whole cell lysate with ab275880 at 1/30 dilution (2ug in 0.35mg lysates). Western blot was performed on the immunoprecipitate using ab275880 at 1/1000 dilution. VeriBlot for IP Detection Reagent (HRP)(ab131366) was used at 1/5000 dilution.

Lane 1 : A549 (transfected with 400ng/ml poly(I : C) for 4 hours, then 300ng/ml BFA was added for the last 20 hours) whole cell lysate 10 ug

Lane 2 : ab275880 IP in A549 (transfected with 400ng/ml poly(I : C) for 4 hours, then 300ng/ml BFA was added for the last 20 hours) whole cell lysate

Lane 3 : Rabbit monoclonal IgG (ab172730) instead of ab275880 in A549 (transfected with 400ng/ml poly(I : C) for 4 hours, then 300ng/ml BFA was added for the last 20 hours) whole cell lysate

Blocking and dilution buffer and concentration : 5% NFDM/TBST.

All lanes:

Immunoprecipitation - Anti-Interferon beta antibody [EPR23341-7] (ab275880)

Predicted band size: 22 kDa

Observed band size: 19 kDa,22 kDa

false

Western blot - Anti-Interferon beta antibody [EPR23341-7] (AB275880)
  • WB

Lab

Western blot - Anti-Interferon beta antibody [EPR23341-7] (AB275880)

Blocking and diluting buffer and concentration : 5% NFDM/TBST

Exposure time : 3 seconds.

All lanes:

Western blot - Anti-Interferon beta antibody [EPR23341-7] (ab275880) at 1/1000 dilution

All lanes:

Recombinant Human IFN-beta protein, 10 ng

Secondary

All lanes:

Goat Anti-Rabbit IgG, (H+L), Peroxidase conjugated (<a href='/en-us/products/secondary-antibodies/goat-rabbit-igg-h-l-hrp-ab97051'>ab97051</a>) at 1/100000 dilution

Predicted band size: 22 kDa

Observed band size: 18 kDa

false

Western blot - Anti-Interferon beta antibody [EPR23341-7] (AB275880)
  • WB

Lab

Western blot - Anti-Interferon beta antibody [EPR23341-7] (AB275880)

Blocking and diluting buffer and concentration : 5% NFDM/TBST.

The molecular weight observed is consistent with what has been described in the literature (PMID : 7352261).

Exposure time : 97 seconds.

All lanes:

Western blot - Anti-Interferon beta antibody [EPR23341-7] (ab275880) at 1/1000 dilution

Lane 1:

A549 (human lung carcinoma epithelial cell) transfected with 400ng/ml poly(I:C) for 24 hours, 300ng/ml BFA was added to cells 4 hours after the start of the transfection, whole cell lysate at 20 µg

Lane 2:

A549 transfected with water instead of poly I:C for 24 hours, 300ng/ml BFA was added to cells 4 hours after the start of the transfection, whole cell lysate at 20 µg

Secondary

All lanes:

Western blot - Goat Anti-Rabbit IgG H&L (HRP) (<a href='/en-us/products/secondary-antibodies/goat-rabbit-igg-h-l-hrp-ab97051'>ab97051</a>) at 1/100000 dilution

Predicted band size: 22 kDa

Observed band size: 19 kDa,22 kDa

false

  • Carrier free

    Anti-Interferon beta antibody [EPR23341-7] - BSA and Azide free

Key facts

Host species

Rabbit

Clonality

Monoclonal

Clone number

EPR23341-7

Isotype

IgG

Carrier free

No

Reacts with

Human

Applications

WB, ICC/IF, IP

applications

Immunogen

The exact immunogen used to generate this antibody is proprietary information.

Reactivity data

{ "title": "Reactivity Data", "filters": { "stats": ["", "Species", "Dilution Info", "Notes"], "tabs": { "all-applications": {"fullname" : "All Applications", "shortname": "All Applications"}, "IP" : {"fullname" : "Immunoprecipitation", "shortname":"IP"}, "FlowCyt" : {"fullname" : "Flow Cytometry", "shortname":"Flow Cyt"}, "WB" : {"fullname" : "Western blot", "shortname":"WB"}, "IHCP" : {"fullname" : "Immunohistochemistry (Formalin/PFA-fixed paraffin-embedded sections)", "shortname":"IHC-P"}, "IHCFr" : {"fullname" : "Immunohistochemistry (Frozen sections)", "shortname":"IHC-Fr"}, "ICCIF" : {"fullname" : "Immunocytochemistry/ Immunofluorescence", "shortname":"ICC/IF"} }, "product-promise": { "all": "all", "testedAndGuaranteed": "tested", "guaranteed": "expected", "predicted": "predicted", "notRecommended": "not-recommended" } }, "values": { "Human": { "IP-species-checked": "testedAndGuaranteed", "IP-species-dilution-info": "1/30", "IP-species-notes": "<p></p>", "FlowCyt-species-checked": "notRecommended", "FlowCyt-species-dilution-info": "", "FlowCyt-species-notes": "<p></p>", "WB-species-checked": "guaranteed", "WB-species-dilution-info": "", "WB-species-notes": "", "IHCP-species-checked": "notRecommended", "IHCP-species-dilution-info": "", "IHCP-species-notes": "<p></p>", "IHCFr-species-checked": "notRecommended", "IHCFr-species-dilution-info": "", "IHCFr-species-notes": "<p></p>", "ICCIF-species-checked": "testedAndGuaranteed", "ICCIF-species-dilution-info": "", "ICCIF-species-notes": "<p></p>" }, "Mouse": { "IP-species-checked": "notRecommended", "IP-species-dilution-info": "", "IP-species-notes": "", "FlowCyt-species-checked": "notRecommended", "FlowCyt-species-dilution-info": "", "FlowCyt-species-notes": "", "WB-species-checked": "notRecommended", "WB-species-dilution-info": "1/1000", "WB-species-notes": "<p></p>", "IHCP-species-checked": "notRecommended", "IHCP-species-dilution-info": "", "IHCP-species-notes": "<p></p>", "IHCFr-species-checked": "notRecommended", "IHCFr-species-dilution-info": "", "IHCFr-species-notes": "<p></p>", "ICCIF-species-checked": "notRecommended", "ICCIF-species-dilution-info": "", "ICCIF-species-notes": "" }, "Rat": { "IP-species-checked": "notRecommended", "IP-species-dilution-info": "", "IP-species-notes": "", "FlowCyt-species-checked": "notRecommended", "FlowCyt-species-dilution-info": "", "FlowCyt-species-notes": "", "WB-species-checked": "notRecommended", "WB-species-dilution-info": "1/1000", "WB-species-notes": "<p></p>", "IHCP-species-checked": "notRecommended", "IHCP-species-dilution-info": "", "IHCP-species-notes": "<p></p>", "IHCFr-species-checked": "notRecommended", "IHCFr-species-dilution-info": "", "IHCFr-species-notes": "<p></p>", "ICCIF-species-checked": "notRecommended", "ICCIF-species-dilution-info": "", "ICCIF-species-notes": "" }, "Recombinant full length protein - Human": { "IP-species-checked": "notRecommended", "IP-species-dilution-info": "", "IP-species-notes": "", "FlowCyt-species-checked": "notRecommended", "FlowCyt-species-dilution-info": "", "FlowCyt-species-notes": "", "WB-species-checked": "testedAndGuaranteed", "WB-species-dilution-info": "1/1000", "WB-species-notes": "<p></p>", "IHCP-species-checked": "notRecommended", "IHCP-species-dilution-info": "", "IHCP-species-notes": "", "IHCFr-species-checked": "notRecommended", "IHCFr-species-dilution-info": "", "IHCFr-species-notes": "", "ICCIF-species-checked": "notRecommended", "ICCIF-species-dilution-info": "", "ICCIF-species-notes": "" }, "Transfected cell lysate - Human": { "IP-species-checked": "notRecommended", "IP-species-dilution-info": "", "IP-species-notes": "", "FlowCyt-species-checked": "notRecommended", "FlowCyt-species-dilution-info": "", "FlowCyt-species-notes": "", "WB-species-checked": "testedAndGuaranteed", "WB-species-dilution-info": "1/1000", "WB-species-notes": "<p></p>", "IHCP-species-checked": "notRecommended", "IHCP-species-dilution-info": "", "IHCP-species-notes": "", "IHCFr-species-checked": "notRecommended", "IHCFr-species-dilution-info": "", "IHCFr-species-notes": "", "ICCIF-species-checked": "notRecommended", "ICCIF-species-dilution-info": "", "ICCIF-species-notes": "" } } }

Product details

Patented technology
Our RabMAb® technology is a patented hybridoma-based technology for making rabbit monoclonal antibodies. For details on our patents, please refer to RabMAb® patents.

What are the advantages of a recombinant monoclonal antibody?
This product is a recombinant monoclonal antibody, which offers several advantages including:

  • - High batch-to-batch consistency and reproducibility
  • - Improved sensitivity and specificity
  • - Long-term security of supply
  • - Animal-free batch production

For more information, read more on recombinant antibodies.

Properties and storage information

Form
Liquid
Purification technique
Affinity purification Protein A
Storage buffer
Preservative: 0.01% Sodium azide Constituents: 59.94% PBS, 40% Glycerol (glycerin, glycerine), 0.05% BSA
Shipped at conditions
Blue Ice
Appropriate short-term storage duration
1-2 weeks
Appropriate short-term storage conditions
+4°C
Appropriate long-term storage conditions
-20°C
Aliquoting information
Upon delivery aliquot
Storage information
Avoid freeze / thaw cycle

Supplementary information

This supplementary information is collated from multiple sources and compiled automatically.

Interferon beta also known as IFN-beta or beta interferon is a type I interferon with a mass of approximately 20 kDa. It originates primarily from fibroblasts and plays an essential role in the immune response. This protein targets and binds to specific cell surface receptors initiating various antiviral states within cells. This action assists in slowing down viral replication and spread. IFN-beta's expression increases in response to viral infections making it an important component in the body's first line of defense against pathogens.
Biological function summary

Interferon beta functions as an important mediator of immune functions regulating the activity of natural killer cells and macrophages. It also boosts antigen presentation to T cells. Interferon beta belongs to the larger family of interferons which includes IFN-alpha and IFN-gamma each having distinct effects but working together to mount an effective immune response. Though it does not form part of a complex it plays a critical standalone role in immune signaling pathways.

Pathways

Interferon beta associates strongly with the JAK-STAT signaling pathway. Upon activation it interacts with receptors to phosphorylate STAT proteins mainly STAT1 and STAT2 which then dimerize and translocate to the nucleus to trigger gene expression. Another important pathway is the antiviral response where interferon beta modulates the expression of hundreds of interferon-stimulated genes. These pathways intricately involve other proteins like IFN-alpha and IFN-gamma which work synergistically to establish an effective antiviral environment.

Interferon beta shows significant implications in multiple sclerosis and hepatitis C infection. It is widely used as a therapeutic agent in managing multiple sclerosis by modulating the immune response to reduce inflammation and slow disease progression. Similarly its role in antiviral defense makes it relevant to hepatitis C infection management. In these contexts IFN-alpha and IFN-gamma are also important as they share similar antiviral and immunomodulatory functions that can complement IFN-beta's actions enhancing the treatment's efficacy.

Product protocols

For this product, it's our understanding that no specific protocols are required. You can visit:

Target data

Type I interferon cytokine that plays a key role in the innate immune response to infection, developing tumors and other inflammatory stimuli (PubMed : 10049744, PubMed : 10556041, PubMed : 6157094, PubMed : 6171735, PubMed : 7665574, PubMed : 8027027, PubMed : 8969169). Signals via binding to high-affinity (IFNAR2) and low-affinity (IFNAR1) heterodimeric receptor, activating the canonical Jak-STAT signaling pathway resulting in transcriptional activation or repression of interferon-regulated genes that encode the effectors of the interferon response, such as antiviral proteins, regulators of cell proliferation and differentiation, and immunoregulatory proteins (PubMed : 10049744, PubMed : 10556041, PubMed : 7665574, PubMed : 8027027, PubMed : 8969169). Signals mostly via binding to a IFNAR1-IFNAR2 heterodimeric receptor, but can also function with IFNAR1 alone and independently of Jak-STAT pathways (By similarity). Elicits a wide variety of responses, including antiviral and antibacterial activities, and can regulate the development of B-cells, myelopoiesis and lipopolysaccharide (LPS)-inducible production of tumor necrosis factor (By similarity). Plays a role in neuronal homeostasis by regulating dopamine turnover and protecting dopaminergic neurons : acts by promoting neuronal autophagy and alpha-synuclein clearance, thereby preventing dopaminergic neuron loss (By similarity). IFNB1 is more potent than interferon-alpha (IFN-alpha) in inducing the apoptotic and antiproliferative pathways required for control of tumor cell growth (By similarity).
See full target information IFNB1

Publications (2)

Recent publications for all applications. Explore the full list and refine your search

RMD open 9: PubMed36854567

2023

Immunoproteasome subunit β5i promotes perifascicular muscle atrophy in dermatomyositis by upregulating RIG-I.

Applications

Unspecified application

Species

Unspecified reactive species

Lu Zhang,Qisheng Xia,Wenli Li,Qingyan Liu,Lining Zhang,Xiaolan Tian,Lifang Ye,Guochun Wang,Qinglin Peng

Neoplasma 69:383-391 PubMed35225647

2022

The Hu antigen R/interferon-β axis modulates sensitivity of esophageal squamous cancer cells to cisplatin.

Applications

Unspecified application

Species

Unspecified reactive species

Ya-Yun Cui,Xiao-Feng Zhu,Shu Zhang
View all publications

Product promise

We are committed to supporting your work with high-quality reagents, and we're here for you every step of the way. In the unlikely event that one of our products does not perform as expected, you're protected by our Product Promise.
For full details, please see our Terms & Conditions

Please note: All products are 'FOR RESEARCH USE ONLY. NOT FOR USE IN DIAGNOSTIC OR THERAPEUTIC PROCEDURES'.

For licensing inquiries, please contact partnerships@abcam.com