JavaScript is disabled in your browser. Please enable JavaScript to view this website.
AB25101

Anti-Interferon gamma antibody

4

(4 Reviews)

|

(27 Publications)

Rabbit Polyclonal Interferon gamma antibody. Suitable for IHC-P, sELISA and reacts with Human, Recombinant full length protein - Human samples. Cited in 27 publications. Immunogen corresponding to Recombinant Full Length Protein corresponding to Human IFNG.

View Alternative Names

Interferon gamma, IFN-gamma, Immune interferon, IFNG

3 Images
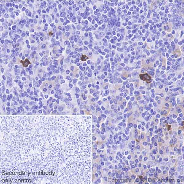
Immunohistochemistry (Formalin/PFA-fixed paraffin-embedded sections) - Anti-Interferon gamma antibody (AB25101)
  • IHC-P

Unknown

Immunohistochemistry (Formalin/PFA-fixed paraffin-embedded sections) - Anti-Interferon gamma antibody (AB25101)

ab25101 staining Human tonsil. Staining is localised to the cytoplasm and protein is secreted.
Left panel : with primary antibody at 1 ug/ml. Right panel : isotype control.
Sections were stained using an automated system DAKO Autostainer Plus , at room temperature. Sections were rehydrated and antigen retrieved with the Dako 3-in-1 antigen retrieval buffer EDTA pH 9.0 in a DAKO PT Link. Slides were peroxidase blocked in 3% H2O2 in methanol for 10 minutes. They were then blocked with Dako Protein block for 10 minutes (containing casein 0.25% in PBS) then incubated with primary antibody for 20 minutes and detected with Dako Envision Flex amplification kit for 30 minutes. Colorimetric detection was completed with diaminobenzidine for 5 minutes. Slides were counterstained with Haematoxylin and coverslipped under DePeX. Please note that for manual staining we recommend to optimize the primary antibody concentration and incubation time (overnight incubation), and amplification may be

Sandwich ELISA - Anti-Interferon gamma antibody (AB25101)
  • sELISA

Unknown

Sandwich ELISA - Anti-Interferon gamma antibody (AB25101)

Standard curve for Interferon gamma (analyte : ab51240); dilution range 1pg/ml to 1μg/ml using capture antibody ab25014 at 5μg/ml and detector antibody ab25101 at 0.5μg/ml.

Western blot - Anti-Interferon gamma antibody (AB25101)
  • WB

Unknown

Western blot - Anti-Interferon gamma antibody (AB25101)

All lanes:

Western blot - Anti-Interferon gamma antibody (ab25101) at 1 µg/mL

All lanes:

Western blot - Recombinant Human Interferon gamma protein (<a href='/en-us/products/proteins-peptides/recombinant-human-interferon-gamma-protein-ab51240'>ab51240</a>) at 0.01 µg

Secondary

All lanes:

Western blot - Goat Anti-Rabbit IgG H&L (HRP) preadsorbed (<a href='/en-us/products/secondary-antibodies/goat-rabbit-igg-h-l-hrp-preadsorbed-ab97080'>ab97080</a>) at 1/5000 dilution

Predicted band size: 19 kDa

true

Exposure time: 30s

Key facts

Host species

Rabbit

Clonality

Polyclonal

Isotype

IgG

Carrier free

No

Reacts with

Human

Applications

IHC-P, sELISA

applications

Immunogen

Recombinant Full Length Protein corresponding to Human IFNG.

P01579

Specificity

This antibody neutralizes both natural and recombinant human IFN gamma. Activity ≥10^4 Neutralizing U/mg protein.

Reactivity data

{ "title": "Reactivity Data", "filters": { "stats": ["", "Species", "Dilution Info", "Notes"], "tabs": { "all-applications": {"fullname" : "All Applications", "shortname": "All Applications"}, "IHCP" : {"fullname" : "Immunohistochemistry (Formalin/PFA-fixed paraffin-embedded sections)", "shortname":"IHC-P"}, "sELISA" : {"fullname" : "Sandwich ELISA", "shortname":"sELISA"} }, "product-promise": { "all": "all", "testedAndGuaranteed": "tested", "guaranteed": "expected", "predicted": "predicted", "notRecommended": "not-recommended" } }, "values": { "Human": { "IHCP-species-checked": "testedAndGuaranteed", "IHCP-species-dilution-info": "1 µg/mL", "IHCP-species-notes": "<p></p> Perform heat-mediated antigen retrieval before commencing with IHC staining protocol.", "sELISA-species-checked": "guaranteed", "sELISA-species-dilution-info": "", "sELISA-species-notes": "" }, "Recombinant full length protein - Human": { "IHCP-species-checked": "notRecommended", "IHCP-species-dilution-info": "", "IHCP-species-notes": "", "sELISA-species-checked": "testedAndGuaranteed", "sELISA-species-dilution-info": "0.5 µg/mL", "sELISA-species-notes": "<p>For sandwich ELISA, use this antibody as detection at 0.5μg/ml with <a href='/en-us/products/primary-antibodies/interferon-gamma-antibody-md-1-ab25014'>ab25014</a> as capture.</p>" } } }

Properties and storage information

Form
Liquid
Purification technique
Affinity purification Immunogen
Purification notes
The antibody was sequentially purified by ammonium sulphate precipitation and protein affinity chromatography. The antibody was then membrane filtered (0.2 µm) for sterility.
Storage buffer
Constituents: PBS, 4.275% Trehalose
Shipped at conditions
Blue Ice
Appropriate short-term storage duration
1-2 weeks
Appropriate short-term storage conditions
+4°C
Appropriate long-term storage conditions
-20°C
Aliquoting information
Upon delivery aliquot

Supplementary information

This supplementary information is collated from multiple sources and compiled automatically.

Interferon gamma (IFN-γ) also known as type II interferon is a cytokine that plays an important role in immune response. IFN-γ has a molecular weight of about 17 kDa and is produced by T cells and natural killer (NK) cells. IFN-γ binds to the interferon gamma receptor initiating a signaling cascade that activates various genes involved in immune functions. It is expressed mainly in activated immune cells within lymphoid tissues and inflamed sites during immune responses.
Biological function summary

This cytokine is significant in promoting macrophage activation enhancing the antigen presentation process and boosting the antimicrobial activity of phagocytes. IFN-γ is not part of a larger protein complex but works as a homodimer in signal transduction. Its production heightens the Th1 immune response by stimulating the differentiation of naïve T cells into Th1 cells which is essential for effective cellular immunity.

Pathways

IFN-γ is integrally involved in the JAK-STAT signaling pathway alongside another critical cytokine Interleukin-12. This pathway further amplifies the immune response by regulating the expression of genes associated with cellular defense mechanisms. IFN-γ also interacts with the NF-kB pathway influencing inflammation and the activation of further immune responses. These interactions show a network of cooperativity with proteins like STAT1 and NF-kB essential for executing its biological roles.

IFN-γ is linked to autoimmune diseases such as rheumatoid arthritis and multiple sclerosis where its elevated levels can exacerbate inflammatory processes. It connects to other proteins like TNF-alpha in promoting the inflammatory cascade. Moreover lower levels of IFN-γ are associated with a heightened risk of infections like tuberculosis demonstrating its vital role in pathogen defense. Therefore understanding IFN-γ and its interactions can be key in developing therapeutic approaches against these conditions.

Product protocols

For this product, it's our understanding that no specific protocols are required. You can visit:

Target data

Type II interferon produced by immune cells such as T-cells and NK cells that plays crucial roles in antimicrobial, antiviral, and antitumor responses by activating effector immune cells and enhancing antigen presentation (PubMed : 16914093, PubMed : 8666937). Primarily signals through the JAK-STAT pathway after interaction with its receptor IFNGR1 to affect gene regulation (PubMed : 8349687). Upon IFNG binding, IFNGR1 intracellular domain opens out to allow association of downstream signaling components JAK2, JAK1 and STAT1, leading to STAT1 activation, nuclear translocation and transcription of IFNG-regulated genes. Many of the induced genes are transcription factors such as IRF1 that are able to further drive regulation of a next wave of transcription (PubMed : 16914093). Plays a role in class I antigen presentation pathway by inducing a replacement of catalytic proteasome subunits with immunoproteasome subunits (PubMed : 8666937). In turn, increases the quantity, quality, and repertoire of peptides for class I MHC loading (PubMed : 8163024). Increases the efficiency of peptide generation also by inducing the expression of activator PA28 that associates with the proteasome and alters its proteolytic cleavage preference (PubMed : 11112687). Up-regulates as well MHC II complexes on the cell surface by promoting expression of several key molecules such as cathepsins B/CTSB, H/CTSH, and L/CTSL (PubMed : 7729559). Participates in the regulation of hematopoietic stem cells during development and under homeostatic conditions by affecting their development, quiescence, and differentiation (By similarity).
See full target information IFNG

Publications (27)

Recent publications for all applications. Explore the full list and refine your search

The Journal of clinical investigation 135: PubMed39541169

2024

Rapid response of lichen planus to baricitinib associated with suppression of cytotoxic CXCL13+CD8+ T cells.

Applications

Unspecified application

Species

Unspecified reactive species

Angelina S Hwang,Jacob A Kechter,Tran H Do,Alysia N Hughes,Nan Zhang,Xing Li,Rachael Bogle,Caitlin M Brumfiel,Meera H Patel,Blake Boudreaux,Puneet Bhullar,Shams Nassir,Miranda L Yousif,Alyssa L Stockard,Zachary Leibovit-Reiben,Ewoma Ogbaudu,David J DiCaudo,Jennifer Fox,Mehrnaz Gharaee-Kermani,Xianying Xing,Samantha Zunich,Emily Branch,J Michelle Kahlenberg,Allison C Billi,Olesya Plazyo,Lam C Tsoi,Mark R Pittelkow,Johann E Gudjonsson,Aaron R Mangold

Oncology letters 27:259 PubMed38646492

2024

Clinical prognostic significance of xeroderma pigmentosum group C and IFN‑γ in non‑small cell lung cancer.

Applications

Unspecified application

Species

Unspecified reactive species

Yongming Wang,Weiyu Wang,Huaijie Wang,Liya Qin,Meijia Zhang,Yong Zhang,Yubing Wang,Changcheng Hao,Meihua Qu,Gongchao Wang

Nature medicine 29:2068-2078 PubMed37488287

2023

Neoadjuvant adebrelimab in locally advanced resectable esophageal squamous cell carcinoma: a phase 1b trial.

Applications

Unspecified application

Species

Unspecified reactive species

Jun Yin,Jingnan Yuan,Yunjin Li,Yong Fang,Ruoxi Wang,Heng Jiao,Han Tang,Shaoyuan Zhang,Siyun Lin,Feng Su,Jianmin Gu,Tian Jiang,Dong Lin,Zhiliang Huang,Chaoxiang Du,Kui Wu,Lijie Tan,Qing Zhou

Cancers 15: PubMed37444550

2023

Co-Expression of Immunohistochemical Markers MRP2, CXCR4, and PD-L1 in Gallbladder Tumors Is Associated with Prolonged Patient Survival.

Applications

Unspecified application

Species

Unspecified reactive species

Andrés Tittarelli,Omar Barría,Evy Sanders,Anna Bergqvist,Daniel Uribe Brange,Mabel Vidal,María Alejandra Gleisner,Jorge Ramón Vergara,Ignacio Niechi,Iván Flores,Cristián Pereda,Cristian Carrasco,Claudia Quezada-Monrás,Flavio Salazar-Onfray

JID innovations : skin science from molecules to population health 3:100189 PubMed37205304

2023

mRNA Staining Distinguishes Palmoplantar Psoriasis from Hyperkeratotic Palmoplantar Eczema in Diagnostic Skin Biopsies.

Applications

Unspecified application

Species

Unspecified reactive species

Jennifer S Chen,Michael J Murphy,Katelyn Singh,Alice Wang,Ryan D Chow,Sa Rang Kim,Jeffrey M Cohen,Christine J Ko,William Damsky

Head & neck 45:126-134 PubMed36222335

2022

Role of immune-inflamed phenotype in the prognosis of hypopharyngeal carcinoma following primary surgery.

Applications

Unspecified application

Species

Unspecified reactive species

Renhui Chen,Qian Cai,Peiliang Lin,Faya Liang,Ping Han,Long Zhang,Pan Song,Tingzhen Zhang,Xiaoming Huang

BMC immunology 23:39 PubMed35965334

2022

NLRP3 inflammasome up-regulates major histocompatibility complex class I expression and promotes inflammatory infiltration in polymyositis.

Applications

Unspecified application

Species

Unspecified reactive species

Ping Xia,Yu-Quan Shao,Cong-Cong Yu,Yu Xie,Zhi-Jie Zhou

Nature immunology 22:1551-1562 PubMed34811544

2021

Mitochondrial aspartate regulates TNF biogenesis and autoimmune tissue inflammation.

Applications

Unspecified application

Species

Unspecified reactive species

Bowen Wu,Tuantuan V Zhao,Ke Jin,Zhaolan Hu,Matthew P Abdel,Ken J Warrington,Jörg J Goronzy,Cornelia M Weyand

Carcinogenesis 42:853-863 PubMed33564842

2021

Glutathione transferase Omega 1 confers protection against azoxymethane-induced colorectal tumour formation.

Applications

Unspecified application

Species

Unspecified reactive species

Padmaja Tummala,Melissa Rooke,Jane E Dahlstrom,Shuhei Takahashi,Marco G Casarotto,Nilisha Fernando,Mark M Hughes,Luke A J O'Neill,Philip G Board

Clinical cancer research : an official journal of the American Association for Cancer Research 27:1778-1791 PubMed33402361

2021

Inflammation Mediates the Development of Aggressive Breast Cancer Following Radiotherapy.

Applications

Unspecified application

Species

Unspecified reactive species

Lin Ma,Alba Gonzalez-Junca,Yufei Zheng,Haoxu Ouyang,Irineu Illa-Bochaca,Kathleen C Horst,Gregor Krings,Yinghao Wang,Ignacio Fernandez-Garcia,William Chou,Mary Helen Barcellos-Hoff
View all publications

Product promise

We are committed to supporting your work with high-quality reagents, and we're here for you every step of the way. In the unlikely event that one of our products does not perform as expected, you're protected by our Product Promise.
For full details, please see our Terms & Conditions

Please note: All products are 'FOR RESEARCH USE ONLY. NOT FOR USE IN DIAGNOSTIC OR THERAPEUTIC PROCEDURES'.

For licensing inquiries, please contact partnerships@abcam.com