JavaScript is disabled in your browser. Please enable JavaScript to view this website.
AB9657

Anti-Interferon gamma antibody

4

(13 Reviews)

|

(112 Publications)

Rabbit Polyclonal Interferon gamma antibody. Suitable for WB, sELISA and reacts with Recombinant full length protein - Human samples. Cited in 112 publications. Immunogen corresponding to Recombinant Full Length Protein corresponding to Human IFNG.

View Alternative Names

Interferon gamma, IFN-gamma, Immune interferon, IFNG

2 Images
Sandwich ELISA - Anti-Interferon gamma antibody (AB9657)
  • sELISA

Supplier Data

Sandwich ELISA - Anti-Interferon gamma antibody (AB9657)

To detect Human IFN-γ by sandwich ELISA (using 100 μl/well antibody solution) a concentration of 0.5 - 2.0 μg/ml of this antibody is required. This antigen affinity purified antibody, in conjunction with a compatible secondary detection antibody, allows the detection of at least 0.2 - 0.4 ng/well of recombinant Human IFN-γ.

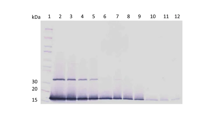
Western blot - Anti-Interferon gamma antibody (AB9657)
  • WB

Supplier Data

Western blot - Anti-Interferon gamma antibody (AB9657)

Lane 1:

Western blot - Anti-Interferon gamma antibody (ab9657)

Lanes 2 - 12:

Western blot - Anti-Interferon gamma antibody (ab9657) at 0.1 µg/mL

All lanes:

Western blot - Recombinant human Interferon gamma protein (Active) (<a href='/en-us/products/proteins-peptides/recombinant-human-interferon-gamma-protein-active-ab9659'>ab9659</a>)

Predicted band size: 19 kDa

false

Key facts

Host species

Rabbit

Clonality

Polyclonal

Isotype

IgG

Light chain type

unknown

Carrier free

No

Reacts with

Human

Applications

sELISA, WB

applications

Immunogen

Recombinant Full Length Protein corresponding to Human IFNG.

P01579

Reactivity data

{ "title": "Reactivity Data", "filters": { "stats": ["", "Species", "Dilution Info", "Notes"], "tabs": { "all-applications": {"fullname" : "All Applications", "shortname": "All Applications"}, "WB" : {"fullname" : "Western blot", "shortname":"WB"}, "sELISA" : {"fullname" : "Sandwich ELISA", "shortname":"sELISA"} }, "product-promise": { "all": "all", "testedAndGuaranteed": "tested", "guaranteed": "expected", "predicted": "predicted", "notRecommended": "not-recommended" } }, "values": { "Human": { "WB-species-checked": "predicted", "WB-species-dilution-info": "", "WB-species-notes": "", "sELISA-species-checked": "predicted", "sELISA-species-dilution-info": "", "sELISA-species-notes": "" }, "Recombinant full length protein - Human": { "WB-species-checked": "testedAndGuaranteed", "WB-species-dilution-info": "0.1-0.2 µg/mL", "WB-species-notes": "<p>Used in conjunction with compatible secondary reagents the detection limit for recombinant hIFN-gamma is 1.5 - 3.0 ng/lane, under either reducing or non-reducing conditions.</p>", "sELISA-species-checked": "testedAndGuaranteed", "sELISA-species-dilution-info": "0.5-2 µg/mL", "sELISA-species-notes": "<p>Detects IFN-gamma by sandwich ELISA using 100μl/well antibody solution. This antigen affinity purified antibody, in conjunction with compatible secondary reagents, allows the detection of 0.2 - 0.4 ng/well of recombinant hIFN-gamma.</p><p>Can be paired for ELISA with <a href='/en-us/products/unavailable/interferon-gamma-antibody-ab9658'>ab9658</a>.</p>" } } }

Product details

This product is no longer batch tested in IHC, for an IHC validated antibody please see ab231036.

Properties and storage information

Form
Lyophilized
Reconstitution
reconstitute with water at 200µL
Purification technique
Affinity purification Protein A
Purification notes
affinity chromatography employing immobilized Human IFN-gamma matrix.
Storage buffer
pH: 7.2 Constituents: PBS
Shipped at conditions
Blue Ice
Appropriate short-term storage duration
1-2 weeks
Appropriate short-term storage conditions
+4°C
Appropriate long-term storage conditions
-20°C
Aliquoting information
Upon delivery aliquot

Supplementary information

This supplementary information is collated from multiple sources and compiled automatically.

Interferon gamma (IFN-γ) also known as type II interferon is a cytokine that plays an important role in immune response. IFN-γ has a molecular weight of about 17 kDa and is produced by T cells and natural killer (NK) cells. IFN-γ binds to the interferon gamma receptor initiating a signaling cascade that activates various genes involved in immune functions. It is expressed mainly in activated immune cells within lymphoid tissues and inflamed sites during immune responses.
Biological function summary

This cytokine is significant in promoting macrophage activation enhancing the antigen presentation process and boosting the antimicrobial activity of phagocytes. IFN-γ is not part of a larger protein complex but works as a homodimer in signal transduction. Its production heightens the Th1 immune response by stimulating the differentiation of naïve T cells into Th1 cells which is essential for effective cellular immunity.

Pathways

IFN-γ is integrally involved in the JAK-STAT signaling pathway alongside another critical cytokine Interleukin-12. This pathway further amplifies the immune response by regulating the expression of genes associated with cellular defense mechanisms. IFN-γ also interacts with the NF-kB pathway influencing inflammation and the activation of further immune responses. These interactions show a network of cooperativity with proteins like STAT1 and NF-kB essential for executing its biological roles.

IFN-γ is linked to autoimmune diseases such as rheumatoid arthritis and multiple sclerosis where its elevated levels can exacerbate inflammatory processes. It connects to other proteins like TNF-alpha in promoting the inflammatory cascade. Moreover lower levels of IFN-γ are associated with a heightened risk of infections like tuberculosis demonstrating its vital role in pathogen defense. Therefore understanding IFN-γ and its interactions can be key in developing therapeutic approaches against these conditions.

Product protocols

For this product, it's our understanding that no specific protocols are required. You can visit:

Target data

Type II interferon produced by immune cells such as T-cells and NK cells that plays crucial roles in antimicrobial, antiviral, and antitumor responses by activating effector immune cells and enhancing antigen presentation (PubMed : 16914093, PubMed : 8666937). Primarily signals through the JAK-STAT pathway after interaction with its receptor IFNGR1 to affect gene regulation (PubMed : 8349687). Upon IFNG binding, IFNGR1 intracellular domain opens out to allow association of downstream signaling components JAK2, JAK1 and STAT1, leading to STAT1 activation, nuclear translocation and transcription of IFNG-regulated genes. Many of the induced genes are transcription factors such as IRF1 that are able to further drive regulation of a next wave of transcription (PubMed : 16914093). Plays a role in class I antigen presentation pathway by inducing a replacement of catalytic proteasome subunits with immunoproteasome subunits (PubMed : 8666937). In turn, increases the quantity, quality, and repertoire of peptides for class I MHC loading (PubMed : 8163024). Increases the efficiency of peptide generation also by inducing the expression of activator PA28 that associates with the proteasome and alters its proteolytic cleavage preference (PubMed : 11112687). Up-regulates as well MHC II complexes on the cell surface by promoting expression of several key molecules such as cathepsins B/CTSB, H/CTSH, and L/CTSL (PubMed : 7729559). Participates in the regulation of hematopoietic stem cells during development and under homeostatic conditions by affecting their development, quiescence, and differentiation (By similarity).
See full target information IFNG

Publications (112)

Recent publications for all applications. Explore the full list and refine your search

Biomedicines 13: PubMed40722781

2025

Evaluation of Apoptosis and Cytotoxicity Induction Using a Recombinant Newcastle Disease Virus Expressing Human IFN-γ in Human Prostate Cancer Cells In Vitro.

Applications

Unspecified application

Species

Unspecified reactive species

Aldo Rojas-Neyra,Katherine Calderón,Brigith Carbajal-Lévano,Gloria Guerrero-Fonseca,Gisela Isasi-Rivas,Ana Chumbe,Ray W Izquierdo-Lara,Astrid Poma-Acevedo,Freddy Ygnacio,Dora Rios-Matos,Manolo Fernández-Sánchez,Manolo Fernández-Díaz

iScience 27:110525 PubMed39156641

2024

Pandemic-associated pernio harbors footprints of an abortive SARS-CoV-2 infection.

Applications

Unspecified application

Species

Unspecified reactive species

Lisa M Arkin,Ana C Costa-da-Silva,Justin Frere,Ashley Ng,Rubina Sharma,John J Moon,Hailey E Bussan,Clara H Kim,Ayesha Javaid,Olivia R Steidl,Ahmad Yatim,Fanny Saidoune,Michel Gilliet,Joe T Nguyen,Aman Nihal,George Luong,Meaghan Kenfield,Lucia Carrau,Jennifer M Tran,Molly A Hinshaw,Erin G Brooks,Jose M Ayuso,David H O'Connor,Jean-Laurent Casanova,Edward W Cowen,Beth A Drolet,Anne Marie Singh,Benjamin tenOever,Jacqueline W Mays

Pathogens (Basel, Switzerland) 13: PubMed38921775

2024

Evaluation of the Local and Peripheral Immune Responses in Patients with Cystic Echinococcosis.

Applications

Unspecified application

Species

Unspecified reactive species

Linda Petrone,Saeid Najafi-Fard,Laura Falasca,Settimia Sbarra,Antonella Teggi,Emanuele Nicastri,Lucia Rosalba Grillo,Mirco Burocchi,Giuseppe Maria Ettorre,Alessandra Ludovisi,Daniele Colombo,Franca Del Nonno,Delia Goletti

Molecules (Basel, Switzerland) 29: PubMed38338338

2024

STAT3 Decoy Oligodeoxynucleotides Suppress Liver Inflammation and Fibrosis in Liver Cancer Cells and a DDC-Induced Liver Injury Mouse Model.

Applications

Unspecified application

Species

Unspecified reactive species

Hye Jin Choi,Young-Ah Kim,Junghwa Ryu,Kwan-Kyu Park,Sun-Jae Lee,Byung Seok Kim,Jeong-En Song,Joo Dong Kim

Nature communications 14:7235 PubMed37945606

2023

Sphingomyelin-derived nanovesicles for the delivery of the IDO1 inhibitor epacadostat enhance metastatic and post-surgical melanoma immunotherapy.

Applications

Unspecified application

Species

Unspecified reactive species

Zhiren Wang,Wenpan Li,Yanhao Jiang,Tuyen Ba Tran,Leyla Estrella Cordova,Jinha Chung,Minhyeok Kim,Georg Wondrak,Jennifer Erdrich,Jianqin Lu

Molecular therapy oncolytics 30:86-102 PubMed37593111

2023

Nanobody-derived bispecific CAR-T cell therapy enhances the anti-tumor efficacy of T cell lymphoma treatment.

Applications

Unspecified application

Species

Unspecified reactive species

Baijin Xia,Keming Lin,Xuemei Wang,FeiLi Chen,Mo Zhou,Yuzhuang Li,Yingtong Lin,Yidan Qiao,Rong Li,Wanying Zhang,Xin He,Fan Zou,Linghua Li,Lijuan Lu,Cancan Chen,WenYu Li,Hui Zhang,Bingfeng Liu

Nature 619:606-615 PubMed37438521

2023

Co-transplantation of autologous T cells in a cell therapy for Parkinson's disease.

Applications

Unspecified application

Species

Unspecified reactive species

Tae-Yoon Park,Jeha Jeon,Nayeon Lee,Jisun Kim,Bin Song,Jung-Ho Kim,Sang-Kyou Lee,Dongxin Liu,Young Cha,Minseon Kim,Pierre Leblanc,Todd M Herrington,Bob S Carter,Jeffrey S Schweitzer,Kwang-Soo Kim

Oncotarget 14:688-699 PubMed37395796

2023

Transformation of immunosuppressive mtKRAS tumors into immunostimulatory tumors by Nerofe and Doxorubicin.

Applications

Unspecified application

Species

Unspecified reactive species

Joel Ohana,Uziel Sandler,Orly Devary,Yoram Devary

Journal of clinical and experimental hematopathology : JCEH 63:83-89 PubMed37121717

2023

Role of TGF-beta1 and TNF-alpha1 produced by neoplastic cells in the pathogenesis of fibrosis in patients with hematologic neoplasms.

Applications

Unspecified application

Species

Unspecified reactive species

Haruko Takizawa,Yoshihiko Araki,Maki Fujishiro,Shigeki Tomita,Satsuki Kishikawa,Akane Hashizume,Toru Mitsumori,Hideaki Nitta,Hiroko Iizuka-Honma,Tomohiro Sawada,Mitsuo Okubo,Yasunobu Sekiguchi,Miki Ando,Masaaki Noguchi

European journal of histochemistry : EJH 67: PubMed37098880

2023

Clinicopathological assessment of PD-1/PD-L1 immune checkpoint expression in desmoid tumors.

Applications

Unspecified application

Species

Unspecified reactive species

Kazuhiko Hashimoto,Shunji Nishimura,Yu Shinyashiki,Tomohiko Ito,Ryosuke Kakinoki,Masao Akagi
View all publications

Product promise

We are committed to supporting your work with high-quality reagents, and we're here for you every step of the way. In the unlikely event that one of our products does not perform as expected, you're protected by our Product Promise.
For full details, please see our Terms & Conditions

Please note: All products are 'FOR RESEARCH USE ONLY. NOT FOR USE IN DIAGNOSTIC OR THERAPEUTIC PROCEDURES'.

For licensing inquiries, please contact partnerships@abcam.com