JavaScript is disabled in your browser. Please enable JavaScript to view this website.
AB231301

Anti-Interferon gamma antibody [EPR21704] - BSA and Azide free

4

(1 Review)

|

(3 Publications)

Anti-Interferon gamma antibody [EPR21704] - BSA and Azide free (ab231301) is a rabbit recombinant monoclonal antibody provided in a PBS only buffer for easy conjugation detecting Interferon gamma in IHC-P, ELISA. Suitable for Human,.

- BSA, sodium azide, and glycerol-free for easy conjugation
- Biophysical QC for unrivalled batch-batch consistency

View Alternative Names

Interferon gamma, IFN-gamma, Immune interferon, IFNG

2 Images
Immunohistochemistry (Formalin/PFA-fixed paraffin-embedded sections) - Anti-Interferon gamma antibody [EPR21704] - BSA and Azide free (AB231301)
  • IHC-P

Supplier Data

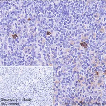
Immunohistochemistry (Formalin/PFA-fixed paraffin-embedded sections) - Anti-Interferon gamma antibody [EPR21704] - BSA and Azide free (AB231301)

Immunohistochemical analysis of paraffin-embedded human tonsil tissue labeling Interferon gamma with ab231036 at 1/500 dilution, followed by a ready to use Goat Anti-Rabbit IgG H&L (HRP) (ab97051). Sporadic cytoplasmic staining in limphocytes of human tonsil is observed (PMID : 21838712). Counter stained with hematoxylin.

Secondary antibody only control : Used PBS instead of primary antibody, secondary antibody is a ready to use Goat Anti-Rabbit IgG H&L (HRP) (ab97051).

Perform heat mediated antigen retrieval using ab93684 (Tris/EDTA buffer, pH 9.0).

This data was developed using the same antibody clone in a different buffer formulation containing PBS, BSA, glycerol, and sodium azide (ab231036).

ELISA - Anti-Interferon gamma antibody [EPR21704] - BSA and Azide free (AB231301)
  • ELISA

Unknown

ELISA - Anti-Interferon gamma antibody [EPR21704] - BSA and Azide free (AB231301)

This data was developed using ab231036, the same antibody clone in a different buffer formulation.ELISA analysis of Human IFN Gamma recombinant protein at 1000 ng/mL with ab231036. An Alkaline Phosphatase-conjugated AffiniPure Goat Anti-Rabbit IgG (H+L) at 1/2500 dilution was used as the secondary antibody.

Key facts

Host species

Rabbit

Clonality

Monoclonal

Clone number

EPR21704

Isotype

IgG

Carrier free

Yes

Reacts with

Human

Applications

IHC-P, ELISA

applications

Immunogen

The exact immunogen used to generate this antibody is proprietary information.

Reactivity data

{ "title": "Reactivity Data", "filters": { "stats": ["", "Species", "Dilution Info", "Notes"], "tabs": { "all-applications": {"fullname" : "All Applications", "shortname": "All Applications"}, "ELISA" : {"fullname" : "ELISA", "shortname":"ELISA"}, "IHCP" : {"fullname" : "Immunohistochemistry (Formalin/PFA-fixed paraffin-embedded sections)", "shortname":"IHC-P"} }, "product-promise": { "all": "all", "testedAndGuaranteed": "tested", "guaranteed": "expected", "predicted": "predicted", "notRecommended": "not-recommended" } }, "values": { "Human": { "ELISA-species-checked": "testedAndGuaranteed", "ELISA-species-dilution-info": "", "ELISA-species-notes": "<p></p>", "IHCP-species-checked": "testedAndGuaranteed", "IHCP-species-dilution-info": "", "IHCP-species-notes": "<p></p> Perform heat-mediated antigen retrieval with Tris/EDTA buffer pH 9.0 before commencing with IHC staining protocol." }, "Recombinant fragment": { "ELISA-species-checked": "testedAndGuaranteed", "ELISA-species-dilution-info": "", "ELISA-species-notes": "<p></p>", "IHCP-species-checked": "testedAndGuaranteed", "IHCP-species-dilution-info": "", "IHCP-species-notes": "<p></p>" } } }

Product details

What is this antibody validated in?
Anti-Interferon gamma antibody [EPR21704] - BSA and Azide free (ab231301) is a rabbit recombinant monoclonal antibody and is validated for use in Immunohistochemistry (IHC-P), ELISA in Human, samples.

Other related products
We have a range of other formats of antibody clone [EPR21704] also available for your convenience: ab231036, Carrier free - ab231301, Carrier free - ab302859, Alexa Fluor® 594 - ab308599, Biotin - ab322914

Patented technology
Our RabMAb® technology is a patented hybridoma-based technology for making rabbit monoclonal antibodies. For details on our patents, please refer to RabMAb® patents.

What are the advantages of a recombinant monoclonal antibody?
This product is a recombinant monoclonal antibody, which offers several advantages including:

  • - High batch-to-batch consistency and reproducibility
  • - Improved sensitivity and specificity
  • - Long-term security of supply
  • - Animal-free batch production

For more information, read more on recombinant antibodies.

Conjugation ready
Our carrier-free antibodies are typically supplied in a PBS-only formulation, purified and free of BSA, sodium azide and glycerol. This conjugation-ready format is designed for use with fluorochromes, metal isotopes, oligonucleotides, and enzymes, which makes them ideal for antibody labelling, functional and cell-based assays, flow-based assays (e.g. mass cytometry) and Multiplex Imaging applications.

Use our conjugation kits for antibody conjugates that are ready-to-use in as little as 20 minutes with 1 minute hands-on-time and 100% antibody recovery: available for fluorescent dyes, HRP, biotin and gold.

Compatibility
This product is compatible with the Maxpar® Antibody Labeling Kit from Fluidigm, without the need for antibody preparation. Maxpar® is a trademark of Fluidigm Canada Inc.

Properties and storage information

Form
Liquid
Purification technique
Affinity purification Protein A
Storage buffer
pH: 7.2 - 7.4 Constituents: PBS
Shipped at conditions
Blue Ice
Appropriate short-term storage conditions
+4°C
Appropriate long-term storage conditions
+4°C
Storage information
Do Not Freeze

Supplementary information

This supplementary information is collated from multiple sources and compiled automatically.

Interferon gamma (IFN-γ) also known as type II interferon is a cytokine that plays an important role in immune response. IFN-γ has a molecular weight of about 17 kDa and is produced by T cells and natural killer (NK) cells. IFN-γ binds to the interferon gamma receptor initiating a signaling cascade that activates various genes involved in immune functions. It is expressed mainly in activated immune cells within lymphoid tissues and inflamed sites during immune responses.
Biological function summary

This cytokine is significant in promoting macrophage activation enhancing the antigen presentation process and boosting the antimicrobial activity of phagocytes. IFN-γ is not part of a larger protein complex but works as a homodimer in signal transduction. Its production heightens the Th1 immune response by stimulating the differentiation of naпve T cells into Th1 cells which is essential for effective cellular immunity.

Pathways

IFN-γ is integrally involved in the JAK-STAT signaling pathway alongside another critical cytokine Interleukin-12. This pathway further amplifies the immune response by regulating the expression of genes associated with cellular defense mechanisms. IFN-γ also interacts with the NF-kB pathway influencing inflammation and the activation of further immune responses. These interactions show a network of cooperativity with proteins like STAT1 and NF-kB essential for executing its biological roles.

IFN-γ is linked to autoimmune diseases such as rheumatoid arthritis and multiple sclerosis where its elevated levels can exacerbate inflammatory processes. It connects to other proteins like TNF-alpha in promoting the inflammatory cascade. Moreover lower levels of IFN-γ are associated with a heightened risk of infections like tuberculosis demonstrating its vital role in pathogen defense. Therefore understanding IFN-γ and its interactions can be key in developing therapeutic approaches against these conditions.

Product protocols

For this product, it's our understanding that no specific protocols are required. You can visit:

Target data

Type II interferon produced by immune cells such as T-cells and NK cells that plays crucial roles in antimicrobial, antiviral, and antitumor responses by activating effector immune cells and enhancing antigen presentation (PubMed : 16914093, PubMed : 8666937). Primarily signals through the JAK-STAT pathway after interaction with its receptor IFNGR1 to affect gene regulation (PubMed : 8349687). Upon IFNG binding, IFNGR1 intracellular domain opens out to allow association of downstream signaling components JAK2, JAK1 and STAT1, leading to STAT1 activation, nuclear translocation and transcription of IFNG-regulated genes. Many of the induced genes are transcription factors such as IRF1 that are able to further drive regulation of a next wave of transcription (PubMed : 16914093). Plays a role in class I antigen presentation pathway by inducing a replacement of catalytic proteasome subunits with immunoproteasome subunits (PubMed : 8666937). In turn, increases the quantity, quality, and repertoire of peptides for class I MHC loading (PubMed : 8163024). Increases the efficiency of peptide generation also by inducing the expression of activator PA28 that associates with the proteasome and alters its proteolytic cleavage preference (PubMed : 11112687). Up-regulates as well MHC II complexes on the cell surface by promoting expression of several key molecules such as cathepsins B/CTSB, H/CTSH, and L/CTSL (PubMed : 7729559). Participates in the regulation of hematopoietic stem cells during development and under homeostatic conditions by affecting their development, quiescence, and differentiation (By similarity).
See full target information IFNG

Publications (3)

Recent publications for all applications. Explore the full list and refine your search

Science advances 11:eadq8545 PubMed39951526

2025

Biglycan fragment modulates TGF-β activity in intervertebral disc via an eIF6-coupled intracellular path.

Applications

Unspecified application

Species

Unspecified reactive species

Manyu Zhu,Stanley Chun Ming Wu,Wai-Kit Tam,Chun Kit Wong,Peng Liao,Kathryn S Cheah,Danny Chan,Aaron W James,Victor Y Leung

iScience 25:103785 PubMed35146396

2022

PD-L1CD8 T cells enrichment in lung cancer exerted regulatory function and tumor-promoting tolerance.

Applications

Unspecified application

Species

Unspecified reactive species

Yingxia Zheng,Li Han,Zheyi Chen,Yiyang Li,Bingqian Zhou,Rui Hu,Shiyu Chen,Haibo Xiao,Yanhui Ma,Guohua Xie,Junyao Yang,Xianting Ding,Lisong Shen

Journal of periodontal research 54:612-623 PubMed31095745

2019

Calcitriol suppresses lipopolysaccharide-induced alveolar bone damage in rats by regulating T helper cell subset polarization.

Applications

Unspecified application

Species

Unspecified reactive species

Chun-Sheng Bi,Jia Wang,Hong-Lei Qu,Xuan Li,Bei-Min Tian,Shaohua Ge,Fa-Ming Chen
View all publications

Product promise

We are committed to supporting your work with high-quality reagents, and we're here for you every step of the way. In the unlikely event that one of our products does not perform as expected, you're protected by our Product Promise.
For full details, please see our Terms & Conditions

Please note: All products are 'FOR RESEARCH USE ONLY. NOT FOR USE IN DIAGNOSTIC OR THERAPEUTIC PROCEDURES'.

For licensing inquiries, please contact partnerships@abcam.com