JavaScript is disabled in your browser. Please enable JavaScript to view this website.
AB271043

Anti-Interferon regulatory factor 9/IRF-9 antibody [EPR24260-55]

  • BOND RX™ Validated
  • 20ul selling size
  • RabMAb
  • Recombinant
  • KO Validated
  • What is this?

5

(1 Review)

|

(1 Publication)

Rabbit Recombinant Monoclonal Interferon regulatory factor 9/IRF-9 antibody. Suitable for ICC/IF, IP, WB, IHC-P and reacts with Human samples. Cited in 1 publication.

View Alternative Names

ISGF3G, IRF9, Interferon regulatory factor 9, IRF-9, IFN-alpha-responsive transcription factor subunit, ISGF3 p48 subunit, Interferon-stimulated gene factor 3 gamma, Transcriptional regulator ISGF3 subunit gamma, ISGF-3 gamma

15 Images
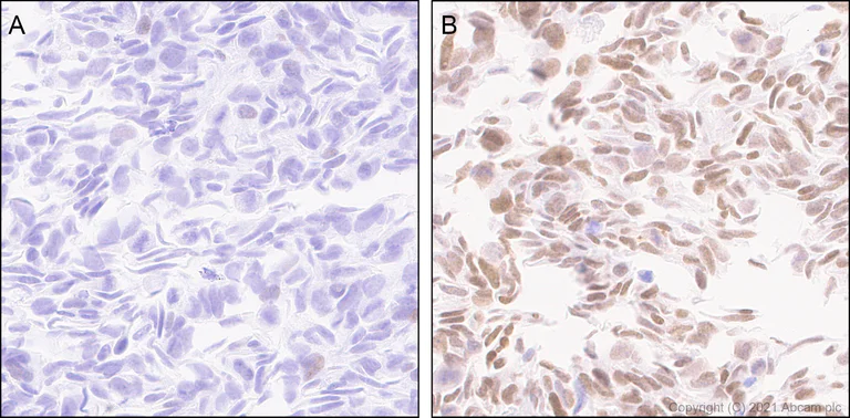
Immunohistochemistry (Formalin/PFA-fixed paraffin-embedded sections) - Anti-Interferon regulatory factor 9/IRF-9 antibody [EPR24260-55] (AB271043)
  • IHC-P

Supplier Data

Immunohistochemistry (Formalin/PFA-fixed paraffin-embedded sections) - Anti-Interferon regulatory factor 9/IRF-9 antibody [EPR24260-55] (AB271043)

Immunohistochemical analysis of paraffin-embedded HeLa (human cervix adenocarcinoma epithelial cell) cells (A) and HeLa cells treated by 10 ng/ml IFN for 18h (B) tissue labelling Interferon regulatory factor 9/IRF-9 with ab271043 at 1/2000 dilution (0.233 ug/ml) followed by a ready to use LeicaDS9800 (Bond™ Polymer Refine Detection). Almost no staining on HeLa cells (A) and strongly positive staining on HeLa cells treated by 10 ng/ml IFN for 18h (B). The section was incubated with ab271043 for 30 mins at room temperature. The immunostaining was performed on a Leica Biosystems BOND® RX instrument. Counterstained with Hematoxylin.

Secondary antibody only control : Secondary antibody is a ready to use LeicaDS9800 (Bond™ Polymer Refine Detection).

Heat mediated antigen retrieval with Tris-EDTA buffer (pH 9.0, epitope retrieval solution2) for 20 mins.

Immunocytochemistry/ Immunofluorescence - Anti-Interferon regulatory factor 9/IRF-9 antibody [EPR24260-55] (AB271043)
  • ICC/IF

Lab

Immunocytochemistry/ Immunofluorescence - Anti-Interferon regulatory factor 9/IRF-9 antibody [EPR24260-55] (AB271043)

ab271043 staining Interferon regulatory factor 9 in wild-type HeLa cells and IRF9 knockout HeLa cells treated with interferon-a1 (ab48750) at 10 ng/ml for 16 hours. The cells were fixed with 4% paraformaldehyde (10 min) then permeabilized with 0.1% Triton X-100 for 5 minutes and then blocked with 1% BSA/10% normal goat serum/0.3M glycine in 0.1% PBS-Tween for 1h. The cells were then incubated with ab271043 at 0.4 μg/ml concentration and ab7291 (Mouse monoclonal to alpha Tubulin) at 1/1000 dilution overnight at 4°C followed by a further incubation at room temperature for 1h with a goat secondary antibody to rabbit IgG (Alexa Fluor® 488) (ab150081) at 2 μg/ml (shown in green) and a goat secondary antibody to mouse IgG (Alexa Fluor® 594) (ab150120) at 2 μg/ml (shown in red). Nuclear DNA was labelled in blue with DAPI.
Image was taken with a confocal microscope (Leica-Microsystems TCS SP8).

Immunocytochemistry/ Immunofluorescence - Anti-Interferon regulatory factor 9/IRF-9 antibody [EPR24260-55] (AB271043)
  • ICC/IF

Supplier Data

Immunocytochemistry/ Immunofluorescence - Anti-Interferon regulatory factor 9/IRF-9 antibody [EPR24260-55] (AB271043)

Immunofluorescent analysis of 4% Paraformaldehyde-fixed, 0.1% TritonX-100 permeabilized HeLa (human cervix adenocarcinoma epithelial cell) cells labelling Interferon regulatory factor 9/IRF-9 with ab271043 at 1/50 dilution(9.3 ug/ml), followed by ab150081 Goat Anti-Rabbit IgG H&L (Alexa Fluor® 488) preadsorbed antibody at 1/500 dilution (Green). Confocal image showing increased nuclear and weak cytoplasmic staining in HeLa cells treated with Interferon alpha-1 (10 ng/ml) for 16 h is observed. ab195889 Anti-alpha Tubulin mouse monoclonal antibody - Microtubule Marker (Alexa Fluor® 594) was used to counterstain tubulin at 1/200 dilution (Red). The Nuclear counterstain was DAPI (Blue).

Secondary antibody only control : Secondary antibody is ab150081 Goat Anti-Rabbit IgG H&L (Alexa Fluor® 488) preadsorbed at 1/500 dilution.

Immunohistochemistry (Formalin/PFA-fixed paraffin-embedded sections) - Anti-Interferon regulatory factor 9/IRF-9 antibody [EPR24260-55] (AB271043)
  • IHC-P

Supplier Data

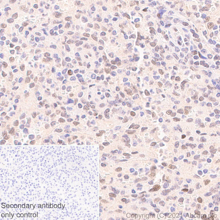
Immunohistochemistry (Formalin/PFA-fixed paraffin-embedded sections) - Anti-Interferon regulatory factor 9/IRF-9 antibody [EPR24260-55] (AB271043)

Immunohistochemical analysis of paraffin-embedded Clear cell carcinoma of human kidney tissue labelling Interferon regulatory factor 9/IRF-9 with ab271043 at 1/2000 dilution (0.233 ug/ml) followed by a ready to use LeicaDS9800 (Bond™ Polymer Refine Detection). Positive staining on Clear cell carcinoma of human kidney (PMID : 30355451). The section was incubated with ab271043 for 30 mins at room temperature. The immunostaining was performed on a Leica Biosystems BOND® RX instrument. Counterstained with Hematoxylin.

Secondary antibody only control : Secondary antibody is a ready to use LeicaDS9800 (Bond™ Polymer Refine Detection).

Heat mediated antigen retrieval with Tris-EDTA buffer (pH 9.0, epitope retrieval solution2) for 20 mins.

Immunohistochemistry (Formalin/PFA-fixed paraffin-embedded sections) - Anti-Interferon regulatory factor 9/IRF-9 antibody [EPR24260-55] (AB271043)
  • IHC-P

Supplier Data

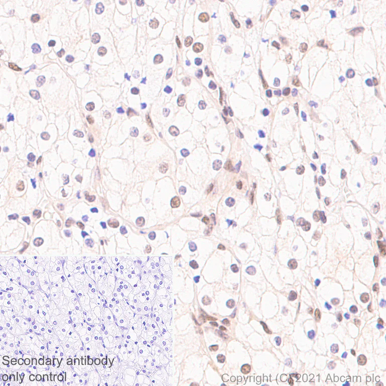
Immunohistochemistry (Formalin/PFA-fixed paraffin-embedded sections) - Anti-Interferon regulatory factor 9/IRF-9 antibody [EPR24260-55] (AB271043)

Immunohistochemical analysis of paraffin-embedded Human spleen tissue labelling Interferon regulatory factor 9/IRF-9 with ab271043 at 1/2000 dilution (0.233 ug/ml) followed by a ready to use (Bond™ Polymer Refine Detection). Positive staining on human spleen. The section was incubated with ab271043 for 30 mins at room temperature. The immunostaining was performed on a Leica Biosystems BOND® RX instrument. Counterstained with Hematoxylin.

Secondary antibody only control : Secondary antibody is a ready to use LeicaDS9800 (Bond™ Polymer Refine Detection).

Heat mediated antigen retrieval with Tris-EDTA buffer (pH 9.0, epitope retrieval solution2) for 20 mins.

Immunohistochemistry (Formalin/PFA-fixed paraffin-embedded sections) - Anti-Interferon regulatory factor 9/IRF-9 antibody [EPR24260-55] (AB271043)
  • IHC-P

Supplier Data

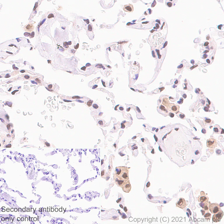
Immunohistochemistry (Formalin/PFA-fixed paraffin-embedded sections) - Anti-Interferon regulatory factor 9/IRF-9 antibody [EPR24260-55] (AB271043)

Immunohistochemical analysis of paraffin-embedded Human lung tissue labelling Interferon regulatory factor 9/IRF-9 with ab271043 at 1/2000 dilution (0.233 ug/ml) followed by a ready to use LeicaDS9800 (Bond™ Polymer Refine Detection). Positive staining on human lung (PMID : 30355451). The section was incubated with ab271043 for 30 mins at room temperature. The immunostaining was performed on a Leica Biosystems BOND® RX instrument. Counterstained with Hematoxylin.

Secondary antibody only control : Secondary antibody is a ready to use LeicaDS9800 (Bond™ Polymer Refine Detection).

Heat mediated antigen retrieval with Tris-EDTA buffer (pH 9.0, epitope retrieval solution2) for 20 mins.

Immunocytochemistry - Anti-Interferon regulatory factor 9/IRF-9 antibody [EPR24260-55] (AB271043)
  • ICC

Lab

Immunocytochemistry - Anti-Interferon regulatory factor 9/IRF-9 antibody [EPR24260-55] (AB271043)

ab271043 staining Interferon regulatory factor 9 in wild-type A549 cells and IRF9 knockout A549 cells treated with interferon-a1 (ab48750) at 10 ng/ml for 16 hours. The cells were fixed with 4% paraformaldehyde (10 min) then permeabilized with 0.1% Triton X-100 for 5 minutes and then blocked with 1% BSA/10% normal goat serum/0.3M glycine in 0.1% PBS-Tween for 1h. The cells were then incubated with ab271043 at 0.4 μg/ml concentration and ab7291 (Mouse monoclonal to alpha Tubulin) at 1/1000 dilution overnight at 4°C followed by a further incubation at room temperature for 1h with a goat secondary antibody to rabbit IgG (Alexa Fluor® 488) (ab150081) at 2 μg/ml (shown in green) and a goat secondary antibody to mouse IgG (Alexa Fluor® 594) (ab150120) at 2 μg/ml (shown in red). Nuclear DNA was labelled in blue with DAPI.
Image was taken with a confocal microscope (Leica-Microsystems TCS SP8).

Immunoprecipitation - Anti-Interferon regulatory factor 9/IRF-9 antibody [EPR24260-55] (AB271043)
  • IP

Supplier Data

Immunoprecipitation - Anti-Interferon regulatory factor 9/IRF-9 antibody [EPR24260-55] (AB271043)

Interferon regulatory factor 9/IRF-9 was immunoprecipitated from 0.35 mg treated HeLa whole cell lysate with ab271043 at 1/30 dilution (2ug in 0.35mg lysates). Western blot was performed on the immunoprecipitate using ab271043 at 1/1000 dilution. VeriBlot for IP secondary antibody(HRP)(ab131366) was used at 1/5000 dilution.

Lane 1 : HeLa (human cervix adenocarcinoma epithelial cell) treated with 10 ng/ml human IFN alpha 1 (ab48750) for 16 hours, whole cell lysate 10 ug

Lane 2 : ab271043 IP in HeLa treated with 10 ng/ml human IFN alpha 1 (ab48750) for 16 hours whole cell lysate

Lane 3 : Rabbit monoclonal IgG (ab172730) instead of ab271043 in HeLa treated with 10 ng/ml human IFN alpha 1 (ab48750) for 16 hours whole cell lysate

Blocking and dilution buffer and concentration : 5% NFDM/TBST.

Exposure time : 3 minutes.

All lanes:

Immunoprecipitation - Anti-Interferon regulatory factor 9/IRF-9 antibody [EPR24260-55] (ab271043)

Predicted band size: 44 kDa

Observed band size: 48 kDa

false

Immunoprecipitation - Anti-Interferon regulatory factor 9/IRF-9 antibody [EPR24260-55] (AB271043)
  • IP

Supplier Data

Immunoprecipitation - Anti-Interferon regulatory factor 9/IRF-9 antibody [EPR24260-55] (AB271043)

Interferon regulatory factor 9/IRF-9 was immunoprecipitated from 0.35 mg THP-1 (human monocytic leukemia monocyte) whole cell lysate with ab271043 at 1/30 dilution (2ug in 0.35mg lysates). Western blot was performed on the immunoprecipitate using ab271043 at 1/1000 dilution. VeriBlot for IP secondary antibody(HRP)(ab131366) was used at 1/5000 dilution.

Lane 1 : THP-1 whole cell lysate 10 ug

Lane 2 : ab271043 IP in THP-1 whole cell lysate

Lane 3 : Rabbit monoclonal IgG (ab172730) instead of ab271043 in THP-1 whole cell lysate

Blocking and dilution buffer and concentration : 5% NFDM/TBST.

Exposure time : 3 minutes.

All lanes:

Immunoprecipitation - Anti-Interferon regulatory factor 9/IRF-9 antibody [EPR24260-55] (ab271043)

Predicted band size: 44 kDa

Observed band size: 48 kDa

false

Western blot - Anti-Interferon regulatory factor 9/IRF-9 antibody [EPR24260-55] (AB271043)
  • WB

Lab

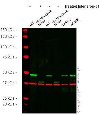
Western blot - Anti-Interferon regulatory factor 9/IRF-9 antibody [EPR24260-55] (AB271043)

False colour image of Western blot : Anti-Interferon regulatory factor 9/IRF-9 antibody [EPR24260-55] staining at 1/1000 dilution, shown in green; Mouse anti-GAPDH antibody [6C5] (ab8245) loading control staining at 1/20000 dilution, shown in red. In Western blot, ab271043 was shown to bind specifically to Interferon regulatory factor 9/IRF-9. A band was observed at 48 kDa in treated wild-type HeLa cell lysates with no signal observed at this size in IRF9 knockout cell line ab266051 (knockout cell lysate ab258472). The band observed in the knockout lysate lane below 48 kDa is likely to represent a truncated form of Interferon regulatory factor 9/IRF-9. This has not been investigated further and the functional properties of the gene product have not been determined. To generate this image, wild-type and IRF9 knockout HeLa cell lysates were analysed.First, samples were run on an SDS-PAGE gel then transferred onto a nitrocellulose membrane. Membranes were blocked in fluorescent western blot (TBS-based) blocking solution before incubation with primary antibodies overnight at 4°C. Blots were washed four times in TBS-T, incubated with secondary antibodies for 1 h at room temperature, washed again four times then imaged. Secondary antibodies used were Goat anti-Rabbit IgG H&L (IRDye® 800CW) preabsorbed (ab216773) and Goat anti-Mouse IgG H&L (IRDye® 680RD) preabsorbed (ab216776) at 1/20000 dilution.

All lanes:

Western blot - Anti-Interferon regulatory factor 9/IRF-9 antibody [EPR24260-55] (ab271043) at 1/1000 dilution

Lane 1:

wild-type HeLa Treated Interferon-alpha1 (hIFN-a1) (10 ng/ml, 16 h) cell lysate at 20 µg

Lane 2:

IRF9 knockout HeLa treated: hIFN-a1 (10 ng/ml, 16 h) cell lysate at 20 µg

Lane 3:

wild-type HeLa Control Interferon-alpha1 (hIFN-a1) (0 ng/ml, 16 h) cell lysate at 20 µg

Lane 4:

IRF9 knockout HeLa vehicle control: hIFN-a1 (0 ng/ml, 16 h) cell lysate at 20 µg

Lane 5:

THP-1 cell lysate at 20 µg

Lane 6:

ACHN cell lysate at 20 µg

Predicted band size: 44 kDa

Observed band size: 48 kDa

false

Western blot - Anti-Interferon regulatory factor 9/IRF-9 antibody [EPR24260-55] (AB271043)
  • WB

Lab

Western blot - Anti-Interferon regulatory factor 9/IRF-9 antibody [EPR24260-55] (AB271043)

Blocking and diluting buffer and concentration : 5% NFDM/TBST.

IFR9 can be degraded by the EV71-encoded 3C protease. A 48-kDa full length and 30-kDa cleaved IRF9 are observed. The molecular weight is consistent with what have been described in literature (PMID : 21536800).

Exposure time : 3 minutes.

All lanes:

Western blot - Anti-Interferon regulatory factor 9/IRF-9 antibody [EPR24260-55] (ab271043) at 1/1000 dilution

Lane 1:

Human ovary cancer tissue lysate at 40 µg

Lane 2:

Human liver cancer tissue lysate at 40 µg

Secondary

All lanes:

Western blot - VeriBlot for IP Detection Reagent (HRP) (<a href='/en-us/products/reagents/veriblot-for-ip-detection-reagent-hrp-ab131366'>ab131366</a>) at 1/1000 dilution

Predicted band size: 44 kDa

Observed band size: 30 kDa,48 kDa

false

Western blot - Anti-Interferon regulatory factor 9/IRF-9 antibody [EPR24260-55] (AB271043)
  • WB

Lab

Western blot - Anti-Interferon regulatory factor 9/IRF-9 antibody [EPR24260-55] (AB271043)

False colour image of Western blot : Anti-Interferon regulatory factor 9/IRF-9 antibody [EPR24260-55] staining at 1/1000 dilution, shown in green; Mouse anti-GAPDH antibody [6C5] (ab8245) loading control staining at 1/20000 dilution, shown in red. In Western blot, ab271043 was shown to bind specifically to Interferon regulatory factor 9/IRF-9. A band was observed at 48 kDa in treated wild-type A549 cell lysates with no signal observed at this size in IRF9 CRISPR-Cas9 edited cell line ab267119 (CRISPR-Cas9 edited cell lysate ab258473). The band observed in the CRISPR-Cas9 edited lysate lane below 48 kDa is likely to represent a truncated form of Interferon regulatory factor 9/IRF-9. This has not been investigated further and the functional properties of the gene product have not been determined. To generate this image, wild-type and IRF9 CRISPR-Cas9 edited A549 cell lysates were analysed. First, samples were run on an SDS-PAGE gel then transferred onto a nitrocellulose membrane. Membranes were blocked in 3 % milk in TBS-0.1 % Tween® 20 (TBS-T) before incubation with primary antibodies overnight at 4°C. Blots were washed four times in TBS-T, incubated with secondary antibodies for 1 h at room temperature, washed again four times then imaged. Secondary antibodies used were Goat anti-Rabbit IgG H&L (IRDye® 800CW) preabsorbed (ab216773) and Goat anti-Mouse IgG H&L (IRDye® 680RD) preabsorbed (ab216776) at 1/20000 dilution.

All lanes:

Western blot - Anti-Interferon regulatory factor 9/IRF-9 antibody [EPR24260-55] (ab271043) at 1/1000 dilution

Lane 1:

wild-type A549 Treated Interferon-alpha1 (hIFN-a1) (10 ng/ml, 16 h) cell lysate at 20 µg

Lane 2:

IRF9 knockout A549 Treated Interferon-alpha1 (hIFN-a1) (10 ng/ml, 16 h) cell lysate at 20 µg

Lane 2:

Western blot - Human IRF9 (Interferon regulatory factor 9) knockout A549 cell line (<a href='/en-us/products/cell-lines/human-irf9-interferon-regulatory-factor-9-knockout-a549-cell-line-ab267119'>ab267119</a>)

Lane 3:

wild-type A549 Control Interferon-alpha1 (hIFN-a1) (0 ng/ml, 16 h) cell lysate at 20 µg

Lane 4:

IRF9 knockout A549 Control Interferon-alpha1 (hIFN-a1) (0 ng/ml, 16 h) cell lysate at 20 µg

Lane 5:

THP-1 cell lysate at 20 µg

Lane 6:

ACHN cell lysate at 20 µg

Predicted band size: 44 kDa

Observed band size: 48 kDa

false

Western blot - Anti-Interferon regulatory factor 9/IRF-9 antibody [EPR24260-55] (AB271043)
  • WB

Lab

Western blot - Anti-Interferon regulatory factor 9/IRF-9 antibody [EPR24260-55] (AB271043)

False colour image of Western blot : Anti-Interferon regulatory factor 9/IRF-9 antibody [EPR24260-55] staining at 1/1000 dilution, shown in green; Mouse anti-GAPDH antibody [6C5] (ab8245) loading control staining at 1/20000 dilution, shown in red. In Western blot, ab271043 was shown to bind specifically to Interferon regulatory factor 9/IRF-9. A band was observed at 48 kDa in treated wild-type HeLa cell lysates with no signal observed at this size in IRF9 CRISPR-Cas9 edited cell line ab266051 (CRISPR-Cas9 edited cell lysate ab258472). The band observed in the CRISPR-Cas9 edited lysate lane below 48 kDa is likely to represent a truncated form of Interferon regulatory factor 9/IRF-9. This has not been investigated further and the functional properties of the gene product have not been determined. To generate this image, wild-type and IRF9 CRISPR-Cas9 edited HeLa cell lysates were analysed. First, samples were run on an SDS-PAGE gel then transferred onto a nitrocellulose membrane. Membranes were blocked in fluorescent western blot (TBS-based) blocking solution before incubation with primary antibodies overnight at 4°C. Blots were washed four times in TBS-T, incubated with secondary antibodies for 1 h at room temperature, washed again four times then imaged. Secondary antibodies used were Goat anti-Rabbit IgG H&L (IRDye® 800CW) preabsorbed (ab216773) and Goat anti-Mouse IgG H&L (IRDye® 680RD) preabsorbed (ab216776) at 1/20000 dilution.

All lanes:

Western blot - Anti-Interferon regulatory factor 9/IRF-9 antibody [EPR24260-55] (ab271043) at 1/1000 dilution

Lane 1:

wild-type HeLa Treated Interferon-alpha1 (hIFN-a1) (10 ng/ml, 16 h) cell lysate at 20 µg

Lane 2:

IRF9 knockout HeLa treated: hIFN-a1 (10 ng/ml, 16 h) cell lysate at 20 µg

Lane 2:

Western blot - Human IRF9 (Interferon regulatory factor 9) knockout HeLa cell line (<a href='/en-us/products/cell-lines/human-irf9-interferon-regulatory-factor-9-knockout-hela-cell-line-ab266051'>ab266051</a>)

Lane 3:

wild-type HeLa Control Interferon-alpha1 (hIFN-a1) (0 ng/ml, 16 h) cell lysate at 20 µg

Lane 4:

IRF9 knockout HeLa vehicle control: hIFN-a1 (0 ng/ml, 16 h) cell lysate at 20 µg

Lane 5:

THP-1 cell lysate at 20 µg

Lane 6:

ACHN cell lysate at 20 µg

Predicted band size: 44 kDa

Observed band size: 48 kDa

false

Western blot - Anti-Interferon regulatory factor 9/IRF-9 antibody [EPR24260-55] (AB271043)
  • WB

Lab

Western blot - Anti-Interferon regulatory factor 9/IRF-9 antibody [EPR24260-55] (AB271043)

False colour image of Western blot : Anti-Interferon regulatory factor 9/IRF-9 antibody [EPR24260-55] staining at 1/1000 dilution, shown in green; Mouse anti-GAPDH antibody [6C5] (ab8245) loading control staining at 1/20000 dilution, shown in red. In Western blot, ab271043 was shown to bind specifically to Interferon regulatory factor 9/IRF-9. A band was observed at 48 kDa in treated wild-type A549 cell lysates with no signal observed at this size in IRF9 knockout cell line ab267119 (knockout cell lysate ab258473). The band observed in the knockout lysate lane below 48 kDa is likely to represent a truncated form of Interferon regulatory factor 9/IRF-9. This has not been investigated further and the functional properties of the gene product have not been determined. To generate this image, wild-type and IRF9 knockout A549 cell lysates were analysed.First, samples were run on an SDS-PAGE gel then transferred onto a nitrocellulose membrane. Membranes were blocked in 3 % milk in TBS-0.1 % Tween® 20 (TBS-T) before incubation with primary antibodies overnight at 4°C. Blots were washed four times in TBS-T, incubated with secondary antibodies for 1 h at room temperature, washed again four times then imaged. Secondary antibodies used were Goat anti-Rabbit IgG H&L (IRDye® 800CW) preabsorbed (ab216773) and Goat anti-Mouse IgG H&L (IRDye® 680RD) preabsorbed (ab216776) at 1/20000 dilution.

All lanes:

Western blot - Anti-Interferon regulatory factor 9/IRF-9 antibody [EPR24260-55] (ab271043) at 1/1000 dilution

Lane 1:

wild-type A549 Treated Interferon-alpha1 (hIFN-a1) (10 ng/ml, 16 h) cell lysate at 20 µg

Lane 2:

IRF9 knockout A549 Treated Interferon-alpha1 (hIFN-a1) (10 ng/ml, 16 h) cell lysate at 20 µg

Lane 3:

wild-type A549 Control Interferon-alpha1 (hIFN-a1) (0 ng/ml, 16 h) cell lysate at 20 µg

Lane 6:

ACHN cell lysate at 20 µg

Predicted band size: 44 kDa

false

Western blot - Anti-Interferon regulatory factor 9/IRF-9 antibody [EPR24260-55] (AB271043)
  • WB

Lab

Western blot - Anti-Interferon regulatory factor 9/IRF-9 antibody [EPR24260-55] (AB271043)

Blocking and diluting buffer and concentration : 5% NFDM/TBST.

IRF9 expression is increased by IFN-alpha (PMID : 18190617).

Exposure time : 15 seconds.

All lanes:

Western blot - Anti-Interferon regulatory factor 9/IRF-9 antibody [EPR24260-55] (ab271043) at 1/1000 dilution

Lane 1:

Untreated HeLa (human cervix adenocarcinoma epithelial cell) whole cell lysate at 40 µg

Lane 2:

HeLa treated with 10ng/ml human IFN alpha 1 (<a href='/en-us/products/proteins-peptides/recombinant-human-interferon-alpha-1-protein-active-ab48750'>ab48750</a>) for 16 hours, whole cell lysate at 40 µg

Lane 3:

THP-1 (human monocytic leukemia monocyte) whole cell lysate at 40 µg

Secondary

All lanes:

Western blot - Goat Anti-Rabbit IgG H&L (HRP) (<a href='/en-us/products/secondary-antibodies/goat-rabbit-igg-h-l-hrp-ab97051'>ab97051</a>) at 1/50000 dilution

Predicted band size: 44 kDa

Observed band size: 48 kDa

false

  • Carrier free

    Anti-Interferon regulatory factor 9/IRF-9 antibody [EPR24260-55] - BSA and Azide free

Key facts

Host species

Rabbit

Clonality

Monoclonal

Clone number

EPR24260-55

Isotype

IgG

Carrier free

No

Reacts with

Human

Applications

IHC-P, IP, WB, ICC/IF

applications

Immunogen

The exact immunogen used to generate this antibody is proprietary information.

Reactivity data

{ "title": "Reactivity Data", "filters": { "stats": ["", "Species", "Dilution Info", "Notes"], "tabs": { "all-applications": {"fullname" : "All Applications", "shortname": "All Applications"}, "ICCIF" : {"fullname" : "Immunocytochemistry/ Immunofluorescence", "shortname":"ICC/IF"}, "IP" : {"fullname" : "Immunoprecipitation", "shortname":"IP"}, "WB" : {"fullname" : "Western blot", "shortname":"WB"}, "IHCP" : {"fullname" : "Immunohistochemistry (Formalin/PFA-fixed paraffin-embedded sections)", "shortname":"IHC-P"}, "FlowCytIntra" : {"fullname" : "Flow Cytometry (Intracellular)", "shortname":"Flow Cyt (Intra)"} }, "product-promise": { "all": "all", "testedAndGuaranteed": "tested", "guaranteed": "expected", "predicted": "predicted", "notRecommended": "not-recommended" } }, "values": { "Human": { "ICCIF-species-checked": "testedAndGuaranteed", "ICCIF-species-dilution-info": "1/50", "ICCIF-species-notes": "<p></p>", "IP-species-checked": "testedAndGuaranteed", "IP-species-dilution-info": "1/30", "IP-species-notes": "<p></p>", "WB-species-checked": "testedAndGuaranteed", "WB-species-dilution-info": "1/1000", "WB-species-notes": "<p></p>", "IHCP-species-checked": "testedAndGuaranteed", "IHCP-species-dilution-info": "1/2000", "IHCP-species-notes": "<p></p>", "FlowCytIntra-species-checked": "notRecommended", "FlowCytIntra-species-dilution-info": "", "FlowCytIntra-species-notes": "<p></p>" }, "Mouse": { "ICCIF-species-checked": "notRecommended", "ICCIF-species-dilution-info": "1/50", "ICCIF-species-notes": "<p></p>", "IP-species-checked": "notRecommended", "IP-species-dilution-info": "1/30", "IP-species-notes": "<p></p>", "WB-species-checked": "notRecommended", "WB-species-dilution-info": "1/1000", "WB-species-notes": "<p></p>", "IHCP-species-checked": "notRecommended", "IHCP-species-dilution-info": "1/2000", "IHCP-species-notes": "<p></p>", "FlowCytIntra-species-checked": "notRecommended", "FlowCytIntra-species-dilution-info": "", "FlowCytIntra-species-notes": "<p></p>" }, "Rat": { "ICCIF-species-checked": "notRecommended", "ICCIF-species-dilution-info": "", "ICCIF-species-notes": "", "IP-species-checked": "notRecommended", "IP-species-dilution-info": "", "IP-species-notes": "", "WB-species-checked": "notRecommended", "WB-species-dilution-info": "1/1000", "WB-species-notes": "<p></p>", "IHCP-species-checked": "notRecommended", "IHCP-species-dilution-info": "1/2000", "IHCP-species-notes": "<p></p>", "FlowCytIntra-species-checked": "notRecommended", "FlowCytIntra-species-dilution-info": "", "FlowCytIntra-species-notes": "" } } }

Product details

Patented technology
Our RabMAb® technology is a patented hybridoma-based technology for making rabbit monoclonal antibodies. For details on our patents, please refer to RabMAb® patents.

What are the advantages of a recombinant monoclonal antibody?
This product is a recombinant monoclonal antibody, which offers several advantages including:

  • - High batch-to-batch consistency and reproducibility
  • - Improved sensitivity and specificity
  • - Long-term security of supply
  • - Animal-free batch production

For more information, read more on recombinant antibodies.

Properties and storage information

Form
Liquid
Purification technique
Affinity purification Protein A
Storage buffer
pH: 7.2 - 7.4 Preservative: 0.01% Sodium azide Constituents: PBS, 40% Glycerol (glycerin, glycerine), 0.05% BSA
Shipped at conditions
Blue Ice
Appropriate short-term storage duration
1-2 weeks
Appropriate short-term storage conditions
+4°C
Appropriate long-term storage conditions
-20°C
Aliquoting information
Upon delivery aliquot
Storage information
Avoid freeze / thaw cycle

Supplementary information

This supplementary information is collated from multiple sources and compiled automatically.

Interferon regulatory factor 9 (IRF-9) also known as ISGF3-γ is a critical component in the transcriptional regulation of interferon-stimulated genes. This protein with a mass of approximately 48 kDa serves as an important mediator in the interferon signaling pathway. IRF-9 is widely expressed in various tissues where it functions as part of the immune response to pathogens. Its expression can be induced by interferons signaling molecules involved in antiviral defense.
Biological function summary

IRF-9 participates in the assembly of the transcription factor complex ISGF3 alongside STAT1 and STAT2. This complex translocates into the nucleus to initiate the transcription of interferon-stimulated genes that promote antiviral states. IRF-9 through this functional role impacts a range of cellular responses including proliferation apoptosis and immune regulation. It affects the temporal and spatial aspects of gene expression in response to interferons.

Pathways

IRF-9 plays a significant role in both the Jak-STAT and interferon signaling pathways. These pathways are essential for the activation of genes involved in immune defense. Through its involvement in these pathways IRF-9 interacts with proteins such as STAT1 and STAT2 creating a bridge between extracellular signals and gene activation. This involvement ensures that cells can respond effectively to viral infections enhancing innate and adaptive immune responses.

IRF-9 has been implicated in autoimmune diseases and certain cancers. Dysfunction in the IRF-9 associated pathways can lead to conditions such as systemic lupus erythematosus where inefficient regulation of immune responses occurs. In cancer altered IRF-9 expression can contribute to uncontrolled cell proliferation. These connections highlight the importance of IRF-9 in maintaining cellular homeostasis and immune integrity. IRF-9's interaction with STAT proteins and interferon pathways highlights its central role in these disease processes.

Product protocols

For this product, it's our understanding that no specific protocols are required. You can visit:

Target data

Transcription factor that plays an essential role in anti-viral immunity. It mediates signaling by type I IFNs (IFN-alpha and IFN-beta). Following type I IFN binding to cell surface receptors, Jak kinases (TYK2 and JAK1) are activated, leading to tyrosine phosphorylation of STAT1 and STAT2. IRF9/ISGF3G associates with the phosphorylated STAT1 : STAT2 dimer to form a complex termed ISGF3 transcription factor, that enters the nucleus. ISGF3 binds to the IFN stimulated response element (ISRE) to activate the transcription of interferon stimulated genes, which drive the cell in an antiviral state.
See full target information IRF9

Publications (1)

Recent publications for all applications. Explore the full list and refine your search

Journal of cellular and molecular medicine 28:e70130 PubMed39365284

2024

PLAGL1 overexpression induces cytoplasmic DNA accumulation that triggers cGAS/STING activation.

Applications

Unspecified application

Species

Unspecified reactive species

Cheng Li,Lingyan Qiao,Juan Ge,Sicui Hu,Hongxiu Yang,Conghui Hu,Tang Li
View all publications

Product promise

We are committed to supporting your work with high-quality reagents, and we're here for you every step of the way. In the unlikely event that one of our products does not perform as expected, you're protected by our Product Promise.
For full details, please see our Terms & Conditions

Please note: All products are 'FOR RESEARCH USE ONLY. NOT FOR USE IN DIAGNOSTIC OR THERAPEUTIC PROCEDURES'.

For licensing inquiries, please contact partnerships@abcam.com