JavaScript is disabled in your browser. Please enable JavaScript to view this website.
AB315277

Anti-Interferon regulatory factor 9/IRF-9 antibody [EPR27554-69]

  • BOND RX™ Validated
  • 20ul selling size
  • RabMAb
  • Recombinant
  • What is this?

Be the first to review this product! Submit a review

|

(0 Publication)

Rabbit Recombinant Monoclonal Interferon regulatory factor 9/IRF-9 antibody. Suitable for IHC-P, ICC/IF, Flow Cyt (Intra), WB and reacts with Mouse, Human, Rat samples.

View Alternative Names

Isgf3g, Irf9, Interferon regulatory factor 9, IRF-9, IFN-alpha-responsive transcription factor subunit, ISGF3 p48 subunit, Interferon-stimulated gene factor 3 gamma, Transcriptional regulator ISGF3 subunit gamma, ISGF-3 gamma

8 Images
Immunohistochemistry (Formalin/PFA-fixed paraffin-embedded sections) - Anti-Interferon regulatory factor 9/IRF-9 antibody [EPR27554-69] (AB315277)
  • IHC-P

Supplier Data

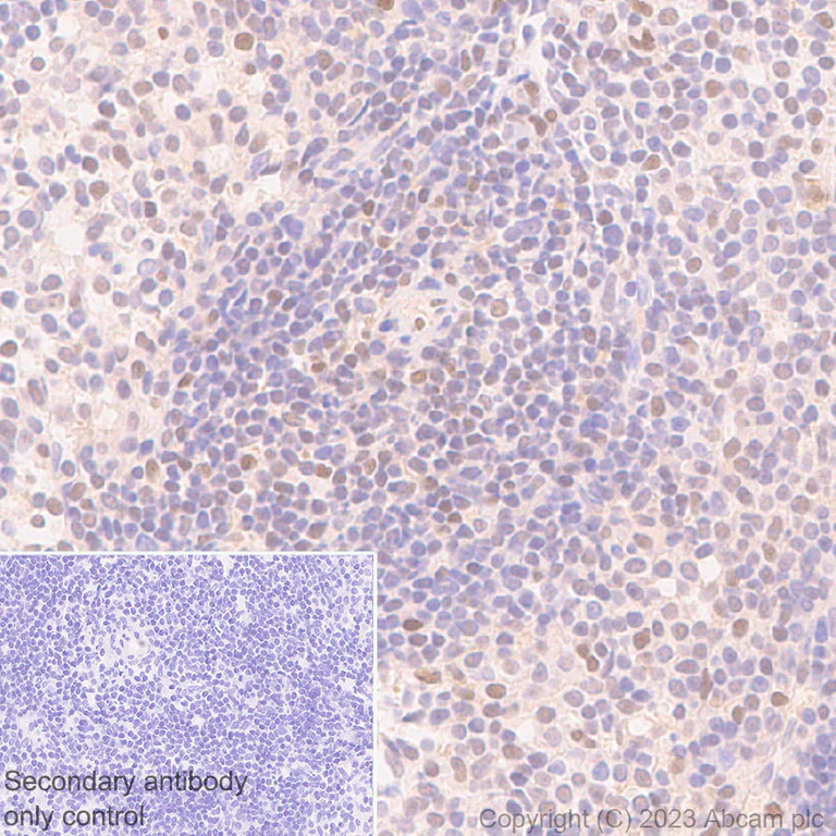
Immunohistochemistry (Formalin/PFA-fixed paraffin-embedded sections) - Anti-Interferon regulatory factor 9/IRF-9 antibody [EPR27554-69] (AB315277)

Immunohistochemical analysis of paraffin-embedded Mouse spleen tissue labeling Interferon regulatory factor 9/IRF-9 with ab315277 at 1/1000 (0.48 ug/ml) dilution, followed by a ready to use LeicaDS9800 (Bond™ Polymer Refine Detection).

Positive staining on mouse spleen. The section was incubated with ab315277 for 30 mins at room temperature. The immunostaining was performed on a Leica Biosystems BOND® RX instrument. Incubate slides with 3% Hydrogen Peroxide for 10 mins at room temperature after secondary antibody incubation to reduce the background. Counterstained with Hematoxylin.

Secondary antibody only control : Secondary antibody is a ready to use LeicaDS9800 (Bond™ Polymer Refine Detection).

Heat mediated antigen retrieval was performed with Tris-EDTA buffer (pH 9.0, Epitope Retrieval Solution2) for 20 mins.

Flow Cytometry (Intracellular) - Anti-Interferon regulatory factor 9/IRF-9 antibody [EPR27554-69] (AB315277)
  • Flow Cyt (Intra)

Supplier Data

Flow Cytometry (Intracellular) - Anti-Interferon regulatory factor 9/IRF-9 antibody [EPR27554-69] (AB315277)

Flow cytometric analysis of 4% paraformaldehyde fixed 90% methanol permeabilized NIH/3T3 (mouse embryonic fibroblast) treated with 10ng/ml IFN alpha for 24h (Red) / Untreated NIH/3T3 (Green) cells labelling Interferon regulatory factor 9/IRF-9 with ab315277 at 1/50 dilution (1 ug)/Red and green compared with a Rabbit monoclonal IgG (ab172730) (Black) isotype control and an unlabelled control (cells without incubation with primary antibody and secondary antibody) (Blue).

Goat Anti-Rabbit IgG (Alexa Fluor® 488, ab150081) at 1/5000 dilution was used as the secondary antibody.

Immunohistochemistry (Formalin/PFA-fixed paraffin-embedded sections) - Anti-Interferon regulatory factor 9/IRF-9 antibody [EPR27554-69] (AB315277)
  • IHC-P

Supplier Data

Immunohistochemistry (Formalin/PFA-fixed paraffin-embedded sections) - Anti-Interferon regulatory factor 9/IRF-9 antibody [EPR27554-69] (AB315277)

Immunohistochemical analysis of paraffin-embedded Mouse liver tissue labeling Interferon regulatory factor 9/IRF-9 with ab315277 at 1/1000 (0.48 ug/ml) dilution, followed by a ready to use LeicaDS9800 (Bond™ Polymer Refine Detection).

Positive staining on mouse liver (PMID : 28442624). The section was incubated with ab315277 for 30 mins at room temperature. The immunostaining was performed on a Leica Biosystems BOND® RX instrument. Incubate slides with 3% Hydrogen Peroxide for 10 mins at room temperature after secondary antibody incubation to reduce the background. Counterstained with Hematoxylin.

Secondary antibody only control : Secondary antibody is a ready to use LeicaDS9800 (Bond™ Polymer Refine Detection).

Heat mediated antigen retrieval was performed with Tris-EDTA buffer (pH 9.0, Epitope Retrieval Solution2) for 20 mins.

Immunocytochemistry/ Immunofluorescence - Anti-Interferon regulatory factor 9/IRF-9 antibody [EPR27554-69] (AB315277)
  • ICC/IF

Supplier Data

Immunocytochemistry/ Immunofluorescence - Anti-Interferon regulatory factor 9/IRF-9 antibody [EPR27554-69] (AB315277)

Immunofluorescent analysis of 4% Paraformaldehyde-fixed, 0.1% TritonX-100 permeabilized NIH/3T3 (mouse embryonic fibroblast) cells labelling Interferon regulatory factor 9/IRF-9 with ab315277 at 1/50 (9.6 ug/ml) dilution, followed by ab150081 Goat Anti-Rabbit IgG H&L (Alexa Fluor® 488) preadsorbed antibody at 1/1000 (2 ug/mL) dilution (Green).

Confocal image showing nuclear staining in NIH/3T3 cells treated with IFNα (mouse) (10 ng/mL) for 24 hr. Image was taken with a confocal microscope(Leica-Microsystems, TCS SP8).

ab195889 Anti-alpha Tubulin mouse monoclonal antibody - Microtubule Marker (Alexa Fluor® 594) was used to counterstain tubulin at 1/200 (2.5 ug/mL) dilution (Red). The Nuclear counterstain was DAPI (Blue).

Secondary antibody only control : Secondary antibody is ab150081 Goat Anti-Rabbit IgG H&L (Alexa Fluor® 488) preadsorbed at 1/1000 (2 ug/mL) dilution.

Immunohistochemistry (Formalin/PFA-fixed paraffin-embedded sections) - Anti-Interferon regulatory factor 9/IRF-9 antibody [EPR27554-69] (AB315277)
  • IHC-P

Supplier Data

Immunohistochemistry (Formalin/PFA-fixed paraffin-embedded sections) - Anti-Interferon regulatory factor 9/IRF-9 antibody [EPR27554-69] (AB315277)

Immunohistochemical analysis of paraffin-embedded Mouse lung cancer tissue labeling Interferon regulatory factor 9/IRF-9 with ab315277 at 1/1000 (0.48 ug/ml) dilution, followed by a ready to use LeicaDS9800 (Bond™ Polymer Refine Detection).

Positive staining on mouse lung cancer. The section was incubated with ab315277 for 30 mins at room temperature. The immunostaining was performed on a Leica Biosystems BOND® RX instrument. Incubate slides with 3% Hydrogen Peroxide for 10 mins at room temperature after secondary antibody incubation to reduce the background. Counterstained with Hematoxylin.

Secondary antibody only control : Secondary antibody is a ready to use LeicaDS9800 (Bond™ Polymer Refine Detection).

Heat mediated antigen retrieval was performed with Tris-EDTA buffer (pH 9.0, Epitope Retrieval Solution2) for 20 mins.

Western blot - Anti-Interferon regulatory factor 9/IRF-9 antibody [EPR27554-69] (AB315277)
  • WB

Supplier Data

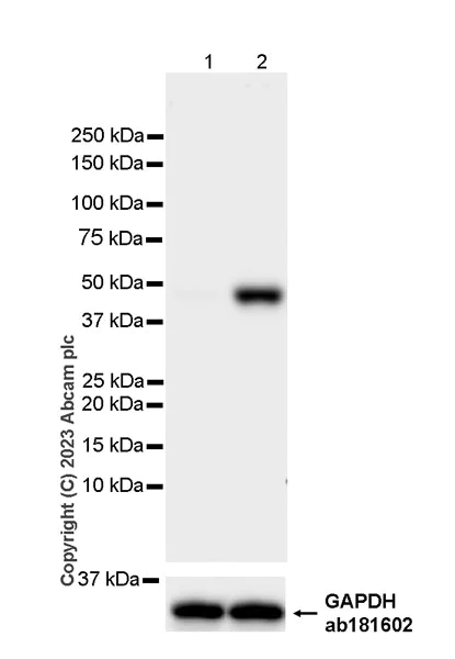
Western blot - Anti-Interferon regulatory factor 9/IRF-9 antibody [EPR27554-69] (AB315277)

Blocking and diluting buffer and concentration : 5% NFDM/TBST.

The expression of IRF-9 is upregulated in response to IFN alpha treatment.

In Western blot, Anti-GAPDH antibody [EPR16891] - Loading Control (ab181602) staining at 1/200000 dilution.

All lanes:

Western blot - Anti-Interferon regulatory factor 9/IRF-9 antibody [EPR27554-69] (ab315277) at 1/1000 dilution

Lane 1:

Untreated HeLa (human cervix adenocarcinoma epithelial cell) whole cell lysate at 20 µg

Lane 2:

HeLa treated with 10ng/ml IFN alpha for 16 hours whole cell lysate at 20 µg

Secondary

All lanes:

Western blot - Goat Anti-Rabbit IgG H&L (HRP) (<a href='/en-us/products/secondary-antibodies/goat-rabbit-igg-h-l-hrp-ab97051'>ab97051</a>) at 1/100000 dilution

Observed band size: 48 kDa,36 kDa

true

Exposure time: 180s

Western blot - Anti-Interferon regulatory factor 9/IRF-9 antibody [EPR27554-69] (AB315277)
  • WB

Supplier Data

Western blot - Anti-Interferon regulatory factor 9/IRF-9 antibody [EPR27554-69] (AB315277)

Blocking and diluting buffer and concentration : 5% NFDM/TBST.

The identity of the band at 37 kDa is unknown.

All lanes:

Western blot - Anti-Interferon regulatory factor 9/IRF-9 antibody [EPR27554-69] (ab315277) at 1/1000 dilution

Lane 1:

Mouse liver tissue lysate at 20 µg

Lane 2:

Rat liver tissue lysate at 20 µg

Lane 3:

THP-1 (human monocytic leukemia monocyte) whole cell lysate at 20 µg

Secondary

All lanes:

Western blot - Goat Anti-Rabbit IgG H&L (HRP) (<a href='/en-us/products/secondary-antibodies/goat-rabbit-igg-h-l-hrp-ab97051'>ab97051</a>) at 1/100000 dilution

Observed band size: 48 kDa

true

Exposure time: 59s

Western blot - Anti-Interferon regulatory factor 9/IRF-9 antibody [EPR27554-69] (AB315277)
  • WB

Supplier Data

Western blot - Anti-Interferon regulatory factor 9/IRF-9 antibody [EPR27554-69] (AB315277)

Blocking and diluting buffer and concentration : 5% NFDM/TBST.

The expression of IRF-9 is upregulated in response to IFN alpha treatment.

In Western blot, Anti-GAPDH antibody [EPR16891] - Loading Control (ab181602) staining at 1/200000 dilution.

All lanes:

Western blot - Anti-Interferon regulatory factor 9/IRF-9 antibody [EPR27554-69] (ab315277) at 1/1000 dilution

Lane 1:

Untreated NIH/3T3 (mouse embryonic fibroblast) whole cell lysate at 20 µg

Lane 2:

HeLa treated with 10ng/ml IFN alpha for 16 hours whole cell lysate at 20 µg

Secondary

All lanes:

Western blot - Goat Anti-Rabbit IgG H&L (HRP) (<a href='/en-us/products/secondary-antibodies/goat-rabbit-igg-h-l-hrp-ab97051'>ab97051</a>) at 1/100000 dilution

Observed band size: 48 kDa,36 kDa

false

Exposure time: 26s

  • Carrier free

    Anti-Interferon regulatory factor 9/IRF-9 antibody [EPR27554-69] - BSA and Azide free

Key facts

Host species

Rabbit

Clonality

Monoclonal

Clone number

EPR27554-69

Isotype

IgG

Carrier free

No

Reacts with

Mouse, Human, Rat

Applications

IHC-P, Flow Cyt (Intra), WB, ICC/IF

applications

Immunogen

The exact immunogen used to generate this antibody is proprietary information.

Specificity

Unsuitable for human and rat IHC.

Reactivity data

{ "title": "Reactivity Data", "filters": { "stats": ["", "Species", "Dilution Info", "Notes"], "tabs": { "all-applications": {"fullname" : "All Applications", "shortname": "All Applications"}, "IHCP" : {"fullname" : "Immunohistochemistry (Formalin/PFA-fixed paraffin-embedded sections)", "shortname":"IHC-P"}, "ICCIF" : {"fullname" : "Immunocytochemistry/ Immunofluorescence", "shortname":"ICC/IF"}, "FlowCytIntra" : {"fullname" : "Flow Cytometry (Intracellular)", "shortname":"Flow Cyt (Intra)"}, "WB" : {"fullname" : "Western blot", "shortname":"WB"}, "IP" : {"fullname" : "Immunoprecipitation", "shortname":"IP"} }, "product-promise": { "all": "all", "testedAndGuaranteed": "tested", "guaranteed": "expected", "predicted": "predicted", "notRecommended": "not-recommended" } }, "values": { "Human": { "IHCP-species-checked": "notRecommended", "IHCP-species-dilution-info": "", "IHCP-species-notes": "<p></p>", "ICCIF-species-checked": "guaranteed", "ICCIF-species-dilution-info": "", "ICCIF-species-notes": "", "FlowCytIntra-species-checked": "guaranteed", "FlowCytIntra-species-dilution-info": "", "FlowCytIntra-species-notes": "", "WB-species-checked": "testedAndGuaranteed", "WB-species-dilution-info": "1/1000", "WB-species-notes": "<p></p>", "IP-species-checked": "notRecommended", "IP-species-dilution-info": "", "IP-species-notes": "" }, "Mouse": { "IHCP-species-checked": "testedAndGuaranteed", "IHCP-species-dilution-info": "1/1000", "IHCP-species-notes": "<p></p>", "ICCIF-species-checked": "testedAndGuaranteed", "ICCIF-species-dilution-info": "1/50", "ICCIF-species-notes": "<p></p>", "FlowCytIntra-species-checked": "testedAndGuaranteed", "FlowCytIntra-species-dilution-info": "1/50", "FlowCytIntra-species-notes": "<p></p>", "WB-species-checked": "testedAndGuaranteed", "WB-species-dilution-info": "1/1000", "WB-species-notes": "<p></p>", "IP-species-checked": "notRecommended", "IP-species-dilution-info": "", "IP-species-notes": "<p></p>" }, "Rat": { "IHCP-species-checked": "notRecommended", "IHCP-species-dilution-info": "", "IHCP-species-notes": "<p></p>", "ICCIF-species-checked": "guaranteed", "ICCIF-species-dilution-info": "", "ICCIF-species-notes": "", "FlowCytIntra-species-checked": "guaranteed", "FlowCytIntra-species-dilution-info": "", "FlowCytIntra-species-notes": "", "WB-species-checked": "testedAndGuaranteed", "WB-species-dilution-info": "1/1000", "WB-species-notes": "<p></p>", "IP-species-checked": "notRecommended", "IP-species-dilution-info": "", "IP-species-notes": "" } } }

Product details

Patented technology
Our RabMAb® technology is a patented hybridoma-based technology for making rabbit monoclonal antibodies. For details on our patents, please refer to RabMAb® patents.

What are the advantages of a recombinant monoclonal antibody?
This product is a recombinant monoclonal antibody, which offers several advantages including:

  • - High batch-to-batch consistency and reproducibility
  • - Improved sensitivity and specificity
  • - Long-term security of supply
  • - Animal-free batch production

For more information, read more on recombinant antibodies.

Properties and storage information

Form
Liquid
Purification technique
Affinity purification Protein A
Storage buffer
pH: 7.2 - 7.4 Preservative: 0.01% Sodium azide Constituents: PBS, 40% Glycerol (glycerin, glycerine), 0.05% BSA
Shipped at conditions
Blue Ice
Appropriate short-term storage duration
1-2 weeks
Appropriate short-term storage conditions
+4°C
Appropriate long-term storage conditions
-20°C
Aliquoting information
Upon delivery aliquot
Storage information
Avoid freeze / thaw cycle

Supplementary information

This supplementary information is collated from multiple sources and compiled automatically.

Interferon regulatory factor 9 (IRF-9) also known as ISGF3-γ is a critical component in the transcriptional regulation of interferon-stimulated genes. This protein with a mass of approximately 48 kDa serves as an important mediator in the interferon signaling pathway. IRF-9 is widely expressed in various tissues where it functions as part of the immune response to pathogens. Its expression can be induced by interferons signaling molecules involved in antiviral defense.
Biological function summary

IRF-9 participates in the assembly of the transcription factor complex ISGF3 alongside STAT1 and STAT2. This complex translocates into the nucleus to initiate the transcription of interferon-stimulated genes that promote antiviral states. IRF-9 through this functional role impacts a range of cellular responses including proliferation apoptosis and immune regulation. It affects the temporal and spatial aspects of gene expression in response to interferons.

Pathways

IRF-9 plays a significant role in both the Jak-STAT and interferon signaling pathways. These pathways are essential for the activation of genes involved in immune defense. Through its involvement in these pathways IRF-9 interacts with proteins such as STAT1 and STAT2 creating a bridge between extracellular signals and gene activation. This involvement ensures that cells can respond effectively to viral infections enhancing innate and adaptive immune responses.

IRF-9 has been implicated in autoimmune diseases and certain cancers. Dysfunction in the IRF-9 associated pathways can lead to conditions such as systemic lupus erythematosus where inefficient regulation of immune responses occurs. In cancer altered IRF-9 expression can contribute to uncontrolled cell proliferation. These connections highlight the importance of IRF-9 in maintaining cellular homeostasis and immune integrity. IRF-9's interaction with STAT proteins and interferon pathways highlights its central role in these disease processes.

Product protocols

For this product, it's our understanding that no specific protocols are required. You can visit:

Target data

Transcription factor that plays an essential role in anti-viral immunity. It mediates signaling by type I IFNs (IFN-alpha and IFN-beta). Following type I IFN binding to cell surface receptors, Jak kinases (TYK2 and JAK1) are activated, leading to tyrosine phosphorylation of STAT1 and STAT2. IRF9/ISGF3G associates with the phosphorylated STAT1 : STAT2 dimer to form a complex termed ISGF3 transcription factor, that enters the nucleus. ISGF3 binds to the IFN stimulated response element (ISRE) to activate the transcription of interferon stimulated genes, which drive the cell in an antiviral state.
See full target information Irf9

Product promise

We are committed to supporting your work with high-quality reagents, and we're here for you every step of the way. In the unlikely event that one of our products does not perform as expected, you're protected by our Product Promise.
For full details, please see our Terms & Conditions

Please note: All products are 'FOR RESEARCH USE ONLY. NOT FOR USE IN DIAGNOSTIC OR THERAPEUTIC PROCEDURES'.

For licensing inquiries, please contact partnerships@abcam.com