JavaScript is disabled in your browser. Please enable JavaScript to view this website.
AB97532

Anti-intestinal alkaline phosphatase antibody

4

(2 Reviews)

|

(2 Publications)

Rabbit Polyclonal PPBI antibody. Suitable for WB, IHC-P and reacts with Recombinant fragment, Human, Mouse samples. Cited in 2 publications. Immunogen corresponding to Recombinant Fragment Protein within Human ALPI aa 1-250.

View Alternative Names

Intestinal-type alkaline phosphatase, IAP, Intestinal alkaline phosphatase, ALPI

5 Images
Immunohistochemistry (Formalin/PFA-fixed paraffin-embedded sections) - Anti-intestinal alkaline phosphatase antibody (AB97532)
  • IHC-P

Unknown

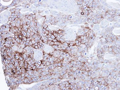
Immunohistochemistry (Formalin/PFA-fixed paraffin-embedded sections) - Anti-intestinal alkaline phosphatase antibody (AB97532)

Immunohistochemical analysis of paraffin-embedded SG xenograft, using ab97532 at 1/100 dilution.

Immunohistochemistry (Formalin/PFA-fixed paraffin-embedded sections) - Anti-intestinal alkaline phosphatase antibody (AB97532)
  • IHC-P

Supplier Data

Immunohistochemistry (Formalin/PFA-fixed paraffin-embedded sections) - Anti-intestinal alkaline phosphatase antibody (AB97532)

Immunohistochemical analysis of paraffin-embedded mouse colon tissue stained for Alkaline phosphatase (intestinal) protein at cell membrane with ab97532 at a 1/500 dilution.

Antigen retrieval : Citrate buffer, pH 6.0, 15 min

Western blot - Anti-intestinal alkaline phosphatase antibody (AB97532)
  • WB

Supplier Data

Western blot - Anti-intestinal alkaline phosphatase antibody (AB97532)

Samples were separated by 7.5% SDS-PAGE.

All lanes:

Western blot - Anti-intestinal alkaline phosphatase antibody (ab97532) at 1/5000 dilution

Lane 1:

Untreated SW1116 cell lysates at 30 µg

Lane 2:

SW1116 cell lysates treated with 5µM NaBu, 72hr at 30 µg

Secondary

All lanes:

HRP-conjugated anti-rabbit IgG antibody

Predicted band size: 57 kDa

false

Western blot - Anti-intestinal alkaline phosphatase antibody (AB97532)
  • WB

Supplier Data

Western blot - Anti-intestinal alkaline phosphatase antibody (AB97532)

Samples were separated by 10% SDS-PAGE. Corresponding RNA expression data for the same cell lines are based on Human Protein Atlas program.

All lanes:

Western blot - Anti-intestinal alkaline phosphatase antibody (ab97532) at 1/1000 dilution

Lane 1:

Caco-2 Whole cell extract at 30 µg

Lane 2:

HeLa whole cell extract at 30 µg

Secondary

All lanes:

HRP-conjugated anti-rabbit IgG antibody

Predicted band size: 57 kDa

false

Western blot - Anti-intestinal alkaline phosphatase antibody (AB97532)
  • WB

Supplier Data

Western blot - Anti-intestinal alkaline phosphatase antibody (AB97532)

Samples were separated by 10% SDS-PAGE.

All lanes:

Western blot - Anti-intestinal alkaline phosphatase antibody (ab97532) at 1/5000 dilution

Lane 1:

293T whole cell lysates at 30 µg

Lane 2:

DDDDK tagged ALP1 transfected 293T whole cell lysates at 30 µg

Lane 3:

DDDDK tagged ALPP transfected 293T whole cell lysates at 30 µg

Lane 4:

DDDDK tagged ALPG transfected 293T whole cell lysates at 30 µg

Secondary

All lanes:

HRP-conjugated anti-rabbit IgG antibody

Predicted band size: 57 kDa

false

Key facts

Host species

Rabbit

Clonality

Polyclonal

Isotype

IgG

Carrier free

No

Reacts with

Mouse, Human

Applications

IHC-P, WB

applications

Immunogen

Recombinant Fragment Protein within Human ALPI aa 1-250. The exact immunogen used to generate this antibody is proprietary information.

P09923

Reactivity data

{ "title": "Reactivity Data", "filters": { "stats": ["", "Species", "Dilution Info", "Notes"], "tabs": { "all-applications": {"fullname" : "All Applications", "shortname": "All Applications"}, "WB" : {"fullname" : "Western blot", "shortname":"WB"}, "IHCP" : {"fullname" : "Immunohistochemistry (Formalin/PFA-fixed paraffin-embedded sections)", "shortname":"IHC-P"} }, "product-promise": { "all": "all", "testedAndGuaranteed": "tested", "guaranteed": "expected", "predicted": "predicted", "notRecommended": "not-recommended" } }, "values": { "Human": { "WB-species-checked": "testedAndGuaranteed", "WB-species-dilution-info": "1/500 - 1/3000", "WB-species-notes": "<p></p>", "IHCP-species-checked": "testedAndGuaranteed", "IHCP-species-dilution-info": "1/100 - 1/1000", "IHCP-species-notes": "<p></p>" }, "Mouse": { "WB-species-checked": "guaranteed", "WB-species-dilution-info": "", "WB-species-notes": "", "IHCP-species-checked": "testedAndGuaranteed", "IHCP-species-dilution-info": "1/100 - 1/1000", "IHCP-species-notes": "<p></p>" }, "Recombinant fragment": { "WB-species-checked": "testedAndGuaranteed", "WB-species-dilution-info": "1/500 - 1/3000", "WB-species-notes": "<p></p>", "IHCP-species-checked": "notRecommended", "IHCP-species-dilution-info": "", "IHCP-species-notes": "" } } }

Properties and storage information

Form
Liquid
Purification technique
Affinity purification Immunogen
Storage buffer
pH: 7 Preservative: 0.01% Thimerosal (merthiolate) Constituents: 10% Glycerol (glycerin, glycerine), 1.21% Tris, 0.75% Glycine
Shipped at conditions
Blue Ice
Appropriate short-term storage duration
1-2 weeks
Appropriate short-term storage conditions
+4°C
Appropriate long-term storage conditions
-20°C
Aliquoting information
Upon delivery aliquot
Storage information
Avoid freeze / thaw cycle

Supplementary information

This supplementary information is collated from multiple sources and compiled automatically.

Intestinal alkaline phosphatase also known as alkaline phosphatase intestinal or intestinal ALP is an enzyme that plays an important mechanical role in dephosphorylation processes. This enzyme with a molecular weight (mw) of approximately 57 kDa is primarily expressed in the brush border of enterocytes lining the intestinal tract. It exhibits phosphatase activity by removing phosphate groups from various molecules including nucleotides proteins and alkaloids to regulate diverse physiological processes.
Biological function summary

Intestinal alkaline phosphatase is involved in maintaining gut health and homeostasis. It participates in the detoxification of lipopolysaccharides (LPS) and modulation of gut microbiota thereby reducing inflammation and protecting intestinal barrier function. This enzyme does not form part of a complex; instead it operates as a monomeric protein to execute its functions. By dephosphorylating toxins it contributes to the defense mechanisms of the intestinal mucosa aiding in the preservation of a balanced intestinal environment.

Pathways

Intestinal alkaline phosphatase is integrated into the digestive and immune pathways. Its function is closely linked with the regulation of the Toll-like receptor signaling pathway by detoxifying LPS a major outer membrane component of Gram-negative bacteria. Through this pathway it associates with proteins such as TLR4 thereby influencing immune responses and cytokine production. Additionally it plays a role in the absorption of nutrients by interacting with other digestive enzymes contributing to efficient nutrient uptake and utilization.

Intestinal alkaline phosphatase has been implicated in conditions such as inflammatory bowel disease (IBD) and metabolic syndrome. In inflammatory bowel disease the enzyme's ability to dephosphorylate and detoxify LPS is significant in ameliorating intestinal inflammation. Moreover an association exists between inadequate intestinal alkaline phosphatase activity and metabolic syndrome linking it to proteins such as LPS-binding protein (LBP) involved in inflammation and metabolism. Consequently this enzyme emerges as a potential therapeutic target in managing these disorders.

Product protocols

For this product, it's our understanding that no specific protocols are required. You can visit:

Target data

Alkaline phosphatase that can hydrolyze various phosphate compounds.
See full target information ALPI

Publications (2)

Recent publications for all applications. Explore the full list and refine your search

International journal of molecular sciences 25: PubMed38928261

2024

Intestinal Ketogenesis and Permeability.

Applications

Unspecified application

Species

Unspecified reactive species

Anna Casselbrant,Erik Elias,Peter Hallersund,Erik Elebring,Jakob Cervin,Lars Fändriks,Ville Wallenius

The Journal of biological chemistry 289:25306-16 PubMed25037223

2014

The intestinal epithelial cell differentiation marker intestinal alkaline phosphatase (ALPi) is selectively induced by histone deacetylase inhibitors (HDACi) in colon cancer cells in a Kruppel-like factor 5 (KLF5)-dependent manner.

Applications

WB

Species

Human

Joongho Shin,Azadeh Carr,Georgia A Corner,Lars Tögel,Mercedes Dávalos-Salas,Mercedes Dávaos-Salas,Hoanh Tran,Anderly C Chueh,Sheren Al-Obaidi,Fiona Chionh,Naseem Ahmed,Daniel D Buchanan,Joanne P Young,Madhu S Malo,Richard A Hodin,Diego Arango,Oliver M Sieber,Leonard H Augenlicht,Amardeep S Dhillon,Thomas K Weber,John M Mariadason
View all publications

Product promise

We are committed to supporting your work with high-quality reagents, and we're here for you every step of the way. In the unlikely event that one of our products does not perform as expected, you're protected by our Product Promise.
For full details, please see our Terms & Conditions

Please note: All products are 'FOR RESEARCH USE ONLY. NOT FOR USE IN DIAGNOSTIC OR THERAPEUTIC PROCEDURES'.

For licensing inquiries, please contact partnerships@abcam.com