JavaScript is disabled in your browser. Please enable JavaScript to view this website.
AB86369

Anti-INTS6 antibody

Be the first to review this product! Submit a review

|

(1 Publication)

Rabbit Polyclonal INTS6 antibody. Suitable for IHC-P, WB and reacts with Human samples. Cited in 1 publication. Immunogen corresponding to Synthetic Peptide within Human INTS6 aa 750-800.

View Alternative Names

DBI1, DDX26, DDX26A, INTS6, Integrator complex subunit 6, Int6, DBI-1, Protein DDX26, Protein deleted in cancer 1, DICE1

2 Images
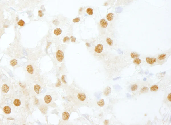
Immunohistochemistry (Formalin/PFA-fixed paraffin-embedded sections) - Anti-INTS6 antibody (AB86369)
  • IHC-P

Unknown

Immunohistochemistry (Formalin/PFA-fixed paraffin-embedded sections) - Anti-INTS6 antibody (AB86369)

Immunohistochemistry (Formalin/PFA-fixed paraffin-embedded sections) analysis of human thyroid carcinoma tissue labelling DDX26 with ab86369 at 1/200 (1µg/ml). Detection : DAB.

Western blot - Anti-INTS6 antibody (AB86369)
  • WB

Unknown

Western blot - Anti-INTS6 antibody (AB86369)

All lanes:

Western blot - Anti-INTS6 antibody (ab86369) at 0.04 µg/mL

Lane 1:

Whole cell lysate from HeLa cells at 50 µg

Lane 2:

Whole cell lysate from HeLa cells at 15 µg

Lane 3:

Whole cell lysate from HeLa cells at 5 µg

Predicted band size: 100 kDa

Observed band size: 117 kDa

false

Key facts

Host species

Rabbit

Clonality

Polyclonal

Isotype

IgG

Carrier free

No

Reacts with

Human

Applications

WB, IHC-P

applications

Immunogen

Synthetic Peptide within Human INTS6 aa 750-800. The exact immunogen used to generate this antibody is proprietary information.

Q9UL03

Reactivity data

{ "title": "Reactivity Data", "filters": { "stats": ["", "Species", "Dilution Info", "Notes"], "tabs": { "all-applications": {"fullname" : "All Applications", "shortname": "All Applications"}, "IHCP" : {"fullname" : "Immunohistochemistry (Formalin/PFA-fixed paraffin-embedded sections)", "shortname":"IHC-P"}, "WB" : {"fullname" : "Western blot", "shortname":"WB"} }, "product-promise": { "all": "all", "testedAndGuaranteed": "tested", "guaranteed": "expected", "predicted": "predicted", "notRecommended": "not-recommended" } }, "values": { "Human": { "IHCP-species-checked": "testedAndGuaranteed", "IHCP-species-dilution-info": "1/100 - 1/500", "IHCP-species-notes": "<p></p> Perform heat-mediated antigen retrieval with citrate buffer pH 6 before commencing with IHC staining protocol.", "WB-species-checked": "testedAndGuaranteed", "WB-species-dilution-info": "1/2000 - 1/10000", "WB-species-notes": "<p></p>" }, "Chimpanzee": { "IHCP-species-checked": "predicted", "IHCP-species-dilution-info": "", "IHCP-species-notes": "", "WB-species-checked": "predicted", "WB-species-dilution-info": "", "WB-species-notes": "" }, "Cow": { "IHCP-species-checked": "predicted", "IHCP-species-dilution-info": "", "IHCP-species-notes": "", "WB-species-checked": "predicted", "WB-species-dilution-info": "", "WB-species-notes": "" }, "Elephant": { "IHCP-species-checked": "predicted", "IHCP-species-dilution-info": "", "IHCP-species-notes": "", "WB-species-checked": "predicted", "WB-species-dilution-info": "", "WB-species-notes": "" }, "Gorilla": { "IHCP-species-checked": "predicted", "IHCP-species-dilution-info": "", "IHCP-species-notes": "", "WB-species-checked": "predicted", "WB-species-dilution-info": "", "WB-species-notes": "" }, "Horse": { "IHCP-species-checked": "predicted", "IHCP-species-dilution-info": "", "IHCP-species-notes": "", "WB-species-checked": "predicted", "WB-species-dilution-info": "", "WB-species-notes": "" }, "Opossum": { "IHCP-species-checked": "predicted", "IHCP-species-dilution-info": "", "IHCP-species-notes": "", "WB-species-checked": "predicted", "WB-species-dilution-info": "", "WB-species-notes": "" }, "Orangutan": { "IHCP-species-checked": "predicted", "IHCP-species-dilution-info": "", "IHCP-species-notes": "", "WB-species-checked": "predicted", "WB-species-dilution-info": "", "WB-species-notes": "" }, "Pig": { "IHCP-species-checked": "predicted", "IHCP-species-dilution-info": "", "IHCP-species-notes": "", "WB-species-checked": "predicted", "WB-species-dilution-info": "", "WB-species-notes": "" }, "Rabbit": { "IHCP-species-checked": "predicted", "IHCP-species-dilution-info": "", "IHCP-species-notes": "", "WB-species-checked": "predicted", "WB-species-dilution-info": "", "WB-species-notes": "" }, "Rhesus monkey": { "IHCP-species-checked": "predicted", "IHCP-species-dilution-info": "", "IHCP-species-notes": "", "WB-species-checked": "predicted", "WB-species-dilution-info": "", "WB-species-notes": "" } } }

Properties and storage information

Form
Liquid
Purification technique
Affinity purification Immunogen
Storage buffer
pH: 6.8 - 7.4 Preservative: 0.09% Sodium azide Constituents: Tris buffered saline, 0.1% BSA
Shipped at conditions
Blue Ice
Appropriate short-term storage conditions
+4°C
Appropriate long-term storage conditions
+4°C
Aliquoting information
Upon delivery aliquot
Storage information
Avoid freeze / thaw cycle

Supplementary information

This supplementary information is collated from multiple sources and compiled automatically.

INTS6 also known as Integrator Complex Subunit 6 plays an important role in RNA processing. This protein weighs approximately 99 kDa and is a part of the Integrator complex. INTS6 is primarily expressed in the nucleus of cells and is involved in the processing of small nuclear RNAs (snRNAs). It plays an essential role in facilitating the transcription termination of polymerase II-dependent snRNA genes by interacting with other components of the Integrator complex.
Biological function summary

INTS6 functions as a component of the multisubunit Integrator complex which is associated with the C-terminal domain of RNA polymerase II. This complex is responsible for 3' end processing of U1 and U2 snRNAs. INTS6 acts as a scaffold that links various enzymatic subunits of the Integrator complex coordinating their actions during RNA processing. Its activity is important for effective snRNA synthesis impacting ultimate mRNA processing and maturation.

Pathways

INTS6 significantly contributes to the snRNA processing pathways within the cell. It interacts with proteins like RNA polymerase II during transcription termination processes. The protein facilitates coordination between Integrator complex activities and small nuclear ribonucleoproteins (snRNPs) that are vital for snRNA maturation. This interaction is vital to the integrity and regulation of gene expression pathways influencing RNA splicing and processing.

INTS6 has been linked to tumorigenesis and neurodegenerative disorders. Studies associate mutations or downregulation of INTS6 with various types of cancer such as head and neck squamous cell carcinoma. Its interaction with tumor suppressor proteins like p53 suggests a role in controlling cell cycle and apoptosis. Alterations in its function may also relate to disorders affecting RNA metabolism furthering our understanding of its involvement in neurological diseases.

Product protocols

For this product, it's our understanding that no specific protocols are required. You can visit:

Target data

Component of the Integrator (INT) complex, a complex involved in the small nuclear RNAs (snRNA) U1 and U2 transcription and in their 3'-box-dependent processing. The Integrator complex is associated with the C-terminal domain (CTD) of RNA polymerase II largest subunit (POLR2A) and is recruited to the U1 and U2 snRNAs genes (Probable). Mediates recruitment of cytoplasmic dynein to the nuclear envelope, probably as component of the INT complex (PubMed : 23904267). May have a tumor suppressor role; an ectopic expression suppressing tumor cell growth (PubMed : 15254679, PubMed : 16239144).
See full target information INTS6

Publications (1)

Recent publications for all applications. Explore the full list and refine your search

Respiratory research 13:69 PubMed22873647

2012

HSULF-1 inhibits ERK and AKT signaling and decreases cell viability in vitro in human lung epithelial cells.

Applications

Unspecified application

Species

Unspecified reactive species

Huiying Zhang,Donna R Newman,Philip L Sannes
View all publications

Product promise

We are committed to supporting your work with high-quality reagents, and we're here for you every step of the way. In the unlikely event that one of our products does not perform as expected, you're protected by our Product Promise.
For full details, please see our Terms & Conditions

Please note: All products are 'FOR RESEARCH USE ONLY. NOT FOR USE IN DIAGNOSTIC OR THERAPEUTIC PROCEDURES'.

For licensing inquiries, please contact partnerships@abcam.com