JavaScript is disabled in your browser. Please enable JavaScript to view this website.
AB53112

Anti-Involucrin antibody

4

(7 Reviews)

|

(60 Publications)

Anti-Involucrin antibody (ab53112) is a rabbit polyclonal antibody detecting Involucrin in Western Blot, IHC-P, ICC/IF, ELISA. Suitable for Human.

- Over 40 publications
- Trusted since 2007

View Alternative Names

Involucrin, IVL

3 Images
Immunohistochemistry (Formalin/PFA-fixed paraffin-embedded sections) - Anti-Involucrin antibody (AB53112)
  • IHC-P

AbReview28420****

Immunohistochemistry (Formalin/PFA-fixed paraffin-embedded sections) - Anti-Involucrin antibody (AB53112)

ab53112 staining human skin sections by IHC-P. The tissue was fixed with formaldehyde and a heat mediated antigen retrival step was performed with citric acid pH 6. Blocking of the sample was done with 1% BSA for 10 minutes at 21°C, followed by staining with ab53112 at 1/150 in TBS/BSA/azide for 16h at 21°C. A biotinylated goat anti-rabbit polyclonal antibody at 1/200 was used as the secondary antibody.

This image is courtesy of an Abreview submitted by Carl Hobbs

Immunohistochemistry (Formalin/PFA-fixed paraffin-embedded sections) - Anti-Involucrin antibody (AB53112)
  • IHC-P

Unknown

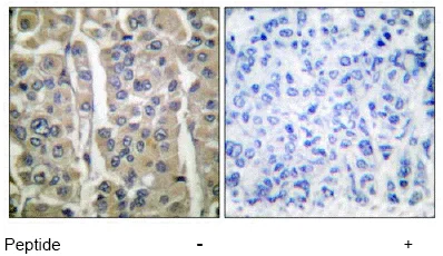
Immunohistochemistry (Formalin/PFA-fixed paraffin-embedded sections) - Anti-Involucrin antibody (AB53112)

ab53112 at 1/50 dilution staining Involucrin in human breast carcinoma by Immunohistochemistry, Paraffin embedded tissue, in the absence and presence of the immunising peptide.

Western blot - Anti-Involucrin antibody (AB53112)
  • WB

Unknown

Western blot - Anti-Involucrin antibody (AB53112)

All lanes:

Western blot - Anti-Involucrin antibody (ab53112) at 1/300 dilution

Lane 1:

HuvEc cell extract

Lane 2:

HuvEc cell extract with immunising peptide

Predicted band size: 68 kDa

Observed band size: 68 kDa

false

Key facts

Host species

Rabbit

Clonality

Polyclonal

Isotype

IgG

Carrier free

No

Reacts with

Human

Applications

ELISA, IHC-P, ICC/IF, WB

applications

Immunogen

Synthetic Peptide within Human IVL. The exact immunogen used to generate this antibody is proprietary information.

P07476

Reactivity data

{ "title": "Reactivity Data", "filters": { "stats": ["", "Species", "Dilution Info", "Notes"], "tabs": { "all-applications": {"fullname" : "All Applications", "shortname": "All Applications"}, "ELISA" : {"fullname" : "ELISA", "shortname":"ELISA"}, "WB" : {"fullname" : "Western blot", "shortname":"WB"}, "IHCP" : {"fullname" : "Immunohistochemistry (Formalin/PFA-fixed paraffin-embedded sections)", "shortname":"IHC-P"}, "ICCIF" : {"fullname" : "Immunocytochemistry/ Immunofluorescence", "shortname":"ICC/IF"} }, "product-promise": { "all": "all", "testedAndGuaranteed": "tested", "guaranteed": "expected", "predicted": "predicted", "notRecommended": "not-recommended" } }, "values": { "Human": { "ELISA-species-checked": "guaranteed", "ELISA-species-dilution-info": "", "ELISA-species-notes": "<p></p>", "WB-species-checked": "testedAndGuaranteed", "WB-species-dilution-info": "1/300 - 1/1000", "WB-species-notes": "<p></p>", "IHCP-species-checked": "testedAndGuaranteed", "IHCP-species-dilution-info": "", "IHCP-species-notes": "<p></p>", "ICCIF-species-checked": "guaranteed", "ICCIF-species-dilution-info": "", "ICCIF-species-notes": "<p></p>" } } }

Product details

What is this antibody validated in?
Anti-Involucrin antibody (ab53112) is a rabbit polyclonal antibody and is validated for use in Western Blot (WB), Immunohistochemistry (IHC-P), Immunocytochemistry/immunofluorescence (ICC/IF), ELISA in Human samples.

What is the molecular weight of Involucrin?
Anti-Involucrin (ab53112) specifically detects a band for Involucrin (UniProt: P07476) at a molecular weight of 68kDa.

Trusted by the scientific community
Anti-Involucrin (ab53112) was first used in a scientific publication in 2007 and has been cited over 40 times in peer-reviewed journals.

Reviewed by scientists
Anti-Involucrin (ab53112) has over 5 independent reviews from customers.

Properties and storage information

Form
Liquid
Purification technique
Affinity purification Immunogen
Purification notes
ab53112 was affinity purified from rabbit antiserum by affinity chromatography using epitope-specific immunogen.
Storage buffer
pH: 7.4 Preservative: 0.02% Sodium azide Constituents: PBS, 50% Glycerol (glycerin, glycerine), 0.87% Sodium chloride
Shipped at conditions
Blue Ice
Appropriate short-term storage conditions
+4°C
Appropriate long-term storage conditions
-20°C
Storage information
Stable for 12 months at -20°C

Supplementary information

This supplementary information is collated from multiple sources and compiled automatically.

Involucrin also known as involucrine envocrin or ivrn is a protein with a mass of approximately 68 kDa. You will find involucrin expressed mainly in the suprabasal layers of the stratified squamous epithelia including epidermis tongue and esophagus. This protein becomes cross-linked to form the cornified cell envelope (CCE) in the upper layers of the skin an essential structure for epidermal differentiation and maintenance of skin barrier function.
Biological function summary

Involucrin serves as a critical substrate in the formation of the CCE by providing reactive sites for cross-linking with other proteins like loricrin and small proline-rich proteins. This cross-linking process occurs due to the action of transglutaminases which bond glutamine residues of involucrin with lysine residues in other proteins reinforcing the skin's protective barrier. Involucrin is a part of the protein network integral to keratinocyte terminal differentiation playing a distinctive role in the formation of a resilient and impermeable skin surface.

Pathways

Involucrin contributes directly within the epidermal differentiation complex (EDC) supporting the skin barrier's structural stability and resilience. The protein prominently acts in the terminal differentiation pathway in conjunction with other structural proteins such as filaggrin and keratins. This pathway forms a protective barrier that resists mechanical stress and environmental insults functioning together to provide a robust defense against external factors.

Involucrin's role is highlighted in conditions like psoriasis and ichthyosis where skin barrier formation is disrupted. Aberrant expression or modification of involucrin can lead to compromised barrier integrity leading to these skin disorders. It relates closely to filaggrin in these conditions as both are essential for barrier function and mutations in these proteins can exacerbate skin pathologies. Understanding these connections helps us evaluate potential therapeutic strategies for skin barrier-related diseases.

Product protocols

For this product, it's our understanding that no specific protocols are required. You can visit:

Target data

Part of the insoluble cornified cell envelope (CE) of stratified squamous epithelia.
See full target information IVL

Publications (60)

Recent publications for all applications. Explore the full list and refine your search

Bioengineering & translational medicine 10:e70003 PubMed40708979

2025

Carboxymethyl cellulose-polylactic acid particles for inhibiting anoikis and enhancing wound healing efficacy of human mesenchymal stem cells.

Applications

Unspecified application

Species

Unspecified reactive species

Dong-Hyun Lee,You Bin Lee,Hyun Su Park,Young-Ju Jang,Youn Chul Kim,Suk Ho Bhang

Cells 14: PubMed40710298

2025

Bioengineering a Human Dermal Equivalent Using Induced Pluripotent Stem Cell-Derived Fibroblasts to Support the Formation of a Full-Thickness Skin Construct.

Applications

Unspecified application

Species

Unspecified reactive species

Lucy Smith,David Bunton,Michael Finch,Stefan Przyborski

Scientific reports 15:662 PubMed40118897

2025

Dysregulation of STS in keratinocytes promotes calcium signaling and differentiation.

Applications

Unspecified application

Species

Unspecified reactive species

Tae-Uk Kwon,Yeo-Jung Kwon,Hyemin Park,Yoon-Ji Kang,Young-Jin Chun

Molecular medicine reports 31: PubMed40084708

2025

Effects of natural killer cell‑conditioned medium on UVB‑induced photoaging in human keratinocytes and a human reconstructed skin model.

Applications

Unspecified application

Species

Unspecified reactive species

Jung Ok Lee,Jung Min Lee,Yujin Kim,A Yeon Park,Daewon Yoon,Su Young Kim,Jihye Heo,Seungryel Han,Hyungjin Nam,Hye Jin Shin,Kyeongsoo Jeong,Minju Im,Beom Joon Kim

FASEB journal : official publication of the Federation of American Societies for Experimental Biology 39:e70323 PubMed39812615

2025

A noncanonical-GPRC5A signaling regulates keratinocyte adhesion and migration by nuclear translocation.

Applications

Unspecified application

Species

Unspecified reactive species

Sarah Chanteloube,Choua Ya,Gabrielle Le Provost,Aurore Berthier,Cindy Dieryckx,Sandrine Vadon-Le Goff,Florence Nadal,Bérengère Fromy,Romain Debret

Frontiers in immunology 15:1483000 PubMed39790997

2025

Beneficial effects of ultrafine bubble shower on a mouse model of atopic dermatitis.

Applications

Unspecified application

Species

Unspecified reactive species

Ayaki Matsumoto,Hisayoshi Imanishi,Mika Yamanaka-Takaichi,Masateru Hirae,Daisuke Tsuruta,Kozo Nakai

iScience 27:111093 PubMed39502293

2024

OBP2A regulates epidermal barrier function and protects against cytotoxic small hydrophobic molecules.

Applications

Unspecified application

Species

Unspecified reactive species

Shinobu Nakanishi,Tatsuya Hasegawa,Katsuyuki Maeno,Akira Motoyama,Mitsuhiro Denda

Journal of materials chemistry. B 12:11110-11122 PubMed39466636

2024

Controlled therapeutic cholesterol delivery to cells for the proliferation and differentiation of keratinocytes.

Applications

Unspecified application

Species

Unspecified reactive species

Krzysztof Berniak,Ahmadreza Moradi,Agata Lichawska-Cieslar,Weronika Szukala,Jolanta Jura,Urszula Stachewicz

Cells 13: PubMed38727296

2024

JAK/STAT Inhibition Normalizes Lipid Composition in 3D Human Epidermal Equivalents Challenged with Th2 Cytokines.

Applications

Unspecified application

Species

Unspecified reactive species

Enrica Flori,Alessia Cavallo,Sarah Mosca,Daniela Kovacs,Carlo Cota,Marco Zaccarini,Anna Di Nardo,Grazia Bottillo,Miriam Maiellaro,Emanuela Camera,Giorgia Cardinali

International journal of molecular sciences 24: PubMed38139209

2023

Targeting Fatty Acid Amide Hydrolase Counteracts the Epithelial-to-Mesenchymal Transition in Keratinocyte-Derived Tumors.

Applications

Unspecified application

Species

Unspecified reactive species

Daniela Kovacs,Enrica Flori,Emanuela Bastonini,Sarah Mosca,Emilia Migliano,Carlo Cota,Marco Zaccarini,Stefania Briganti,Giorgia Cardinali
View all publications

Product promise

We are committed to supporting your work with high-quality reagents, and we're here for you every step of the way. In the unlikely event that one of our products does not perform as expected, you're protected by our Product Promise.
For full details, please see our Terms & Conditions

Please note: All products are 'FOR RESEARCH USE ONLY. NOT FOR USE IN DIAGNOSTIC OR THERAPEUTIC PROCEDURES'.

For licensing inquiries, please contact partnerships@abcam.com