JavaScript is disabled in your browser. Please enable JavaScript to view this website.
AB181980

Anti-Involucrin antibody [EPR13054]

5

(1 Review)

|

(10 Publications)

Rabbit Recombinant Monoclonal Involucrin antibody. Suitable for WB, Flow Cyt (Intra), IHC-P and reacts with Rat, Human samples. Cited in 10 publications.

View Alternative Names

Involucrin, IVL

5 Images
Flow Cytometry (Intracellular) - Anti-Involucrin antibody [EPR13054] (AB181980)
  • Flow Cyt (Intra)

Supplier Data

Flow Cytometry (Intracellular) - Anti-Involucrin antibody [EPR13054] (AB181980)

Intracellular flow cytometric analysis of 2% paraformaldehyde-fixed HUVEC cells labeling Involucrin with ab181980 at 1/10 dilution (red) compared to a Rabbit monoclonal IgG Isotype control (green), followed by Goat anti rabbit IgG (FITC) secondary antibody at 1/150 dilution.

Immunohistochemistry (Formalin/PFA-fixed paraffin-embedded sections) - Anti-Involucrin antibody [EPR13054] (AB181980)
  • IHC-P

Supplier Data

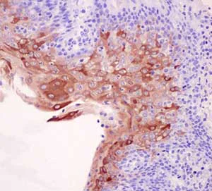
Immunohistochemistry (Formalin/PFA-fixed paraffin-embedded sections) - Anti-Involucrin antibody [EPR13054] (AB181980)

Immunohistochemical analysis of paraffin-embedded Human skin tissue labeling Involucrin with ab181980 at 1/100 dilution, followed by prediluted ImmunoHistoprobe (Ready to use) HRP Polymer for Rabbit IgG. Counter stained with Hematoxylin.

Perform heat mediated antigen retrieval with EDTA buffer pH 9 before commencing with IHC staining protocol.

Immunohistochemistry (Formalin/PFA-fixed paraffin-embedded sections) - Anti-Involucrin antibody [EPR13054] (AB181980)
  • IHC-P

Supplier Data

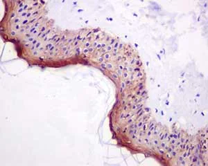
Immunohistochemistry (Formalin/PFA-fixed paraffin-embedded sections) - Anti-Involucrin antibody [EPR13054] (AB181980)

Immunohistochemical analysis of paraffin-embedded Human tonsil tissue labeling Involucrin with ab181980 at 1/100 dilution, followed by prediluted ImmunoHistoprobe (Ready to use) HRP Polymer for Rabbit IgG. Counter stained with Hematoxylin.

Perform heat mediated antigen retrieval with EDTA buffer pH 9 before commencing with IHC staining protocol.

Western blot - Anti-Involucrin antibody [EPR13054] (AB181980)
  • WB

Lab

Western blot - Anti-Involucrin antibody [EPR13054] (AB181980)

Diluting and blocking buffer : 5% NFDM/TBST

All lanes:

Western blot - Anti-Involucrin antibody [EPR13054] (ab181980) at 1/500000 dilution

Lane 1:

HaCaT (Human keratinocyte cell line) whole cell lysate at 10 µg

Lane 2:

A431 (Human epidermoid carcinoma cell line) whole cell lysate at 10 µg

Secondary

All lanes:

Anti-Rabbit IgG (HRP), specific to the non-reduced form of IgG at 1/1000 dilution

Predicted band size: 68 kDa

Observed band size: 120 kDa

false

Exposure time: 1min

Western blot - Anti-Involucrin antibody [EPR13054] (AB181980)
  • WB

Lab

Western blot - Anti-Involucrin antibody [EPR13054] (AB181980)

Diluting and blocking buffer : 5% NFDM/TBST

All lanes:

Western blot - Anti-Involucrin antibody [EPR13054] (ab181980) at 1/50000 dilution

Lane 1:

Human fetal skin tissue at 10 µg

Lane 2:

Rat skin tissue at 10 µg

Secondary

All lanes:

Anti-Rabbit IgG (HRP), specific to the non-reduced form of IgG at 1/1000 dilution

Predicted band size: 68 kDa

Observed band size: 120 kDa

false

Exposure time: 1min

  • Carrier free

    Anti-Involucrin antibody [EPR13054] - BSA and Azide free

  • 578 PE

    PE Anti-Involucrin antibody [EPR13054]

  • 660 APC

    APC Anti-Involucrin antibody [EPR13054]

  • 519 Alexa Fluor® 488

    Alexa Fluor® 488 Anti-Involucrin antibody [EPR13054]

  • 665 Alexa Fluor® 647

    Alexa Fluor® 647 Anti-Involucrin antibody [EPR13054]

  • 617 Alexa Fluor® 594

    Alexa Fluor® 594 Anti-Involucrin antibody [EPR13054]

  • 603 Alexa Fluor® 568

    Alexa Fluor® 568 Anti-Involucrin antibody [EPR13054]

  • HRP

    HRP Anti-Involucrin antibody [EPR13054]

  • 565 Alexa Fluor® 555

    Alexa Fluor® 555 Anti-Involucrin antibody [EPR13054]

  • 775 Alexa Fluor® 750

    Alexa Fluor® 750 Anti-Involucrin antibody [EPR13054]

Key facts

Host species

Rabbit

Clonality

Monoclonal

Clone number

EPR13054

Isotype

IgG

Carrier free

No

Reacts with

Rat, Human

Applications

IHC-P, WB, Flow Cyt (Intra)

applications

Immunogen

The exact immunogen used to generate this antibody is proprietary information.

Specificity

Unsuitable for rat IHC-P.

Reactivity data

{ "title": "Reactivity Data", "filters": { "stats": ["", "Species", "Dilution Info", "Notes"], "tabs": { "all-applications": {"fullname" : "All Applications", "shortname": "All Applications"}, "WB" : {"fullname" : "Western blot", "shortname":"WB"}, "FlowCytIntra" : {"fullname" : "Flow Cytometry (Intracellular)", "shortname":"Flow Cyt (Intra)"}, "IHCP" : {"fullname" : "Immunohistochemistry (Formalin/PFA-fixed paraffin-embedded sections)", "shortname":"IHC-P"} }, "product-promise": { "all": "all", "testedAndGuaranteed": "tested", "guaranteed": "expected", "predicted": "predicted", "notRecommended": "not-recommended" } }, "values": { "Human": { "WB-species-checked": "testedAndGuaranteed", "WB-species-dilution-info": "1/10000 - 1/50000", "WB-species-notes": "<p></p>", "FlowCytIntra-species-checked": "testedAndGuaranteed", "FlowCytIntra-species-dilution-info": "1/10", "FlowCytIntra-species-notes": "<p><a href='/en-us/products/primary-antibodies/rabbit-igg-monoclonal-epr25a-isotype-control-ab172730'>ab172730</a> - Rabbit monoclonal IgG, is suitable for use as an isotype control with this antibody.</p>", "IHCP-species-checked": "testedAndGuaranteed", "IHCP-species-dilution-info": "1/100", "IHCP-species-notes": "<p></p> Perform heat-mediated antigen retrieval with Tris/EDTA buffer pH 9.0 before commencing with IHC staining protocol." }, "Rat": { "WB-species-checked": "testedAndGuaranteed", "WB-species-dilution-info": "1/10000 - 1/50000", "WB-species-notes": "<p></p>", "FlowCytIntra-species-checked": "guaranteed", "FlowCytIntra-species-dilution-info": "", "FlowCytIntra-species-notes": "", "IHCP-species-checked": "notRecommended", "IHCP-species-dilution-info": "1/100", "IHCP-species-notes": "<p></p> Perform heat-mediated antigen retrieval with Tris/EDTA buffer pH 9.0 before commencing with IHC staining protocol." } } }

Product details

Patented technology
Our RabMAb® technology is a patented hybridoma-based technology for making rabbit monoclonal antibodies. For details on our patents, please refer to RabMAb® patents.

What are the advantages of a recombinant monoclonal antibody?
This product is a recombinant monoclonal antibody, which offers several advantages including:

  • - High batch-to-batch consistency and reproducibility
  • - Improved sensitivity and specificity
  • - Long-term security of supply
  • - Animal-free batch production

For more information, read more on recombinant antibodies.

Properties and storage information

Form
Liquid
Purity
Tissue culture supernatant
Storage buffer
Preservative: 0.01% Sodium azide Constituents: PBS, 40% Glycerol (glycerin, glycerine), 0.05% BSA
Shipped at conditions
Blue Ice
Appropriate short-term storage duration
1-2 weeks
Appropriate short-term storage conditions
+4°C
Appropriate long-term storage conditions
-20°C
Aliquoting information
Upon delivery aliquot
Storage information
Avoid freeze / thaw cycle

Supplementary information

This supplementary information is collated from multiple sources and compiled automatically.

Involucrin also known as involucrine envocrin or ivrn is a protein with a mass of approximately 68 kDa. You will find involucrin expressed mainly in the suprabasal layers of the stratified squamous epithelia including epidermis tongue and esophagus. This protein becomes cross-linked to form the cornified cell envelope (CCE) in the upper layers of the skin an essential structure for epidermal differentiation and maintenance of skin barrier function.
Biological function summary

Involucrin serves as a critical substrate in the formation of the CCE by providing reactive sites for cross-linking with other proteins like loricrin and small proline-rich proteins. This cross-linking process occurs due to the action of transglutaminases which bond glutamine residues of involucrin with lysine residues in other proteins reinforcing the skin's protective barrier. Involucrin is a part of the protein network integral to keratinocyte terminal differentiation playing a distinctive role in the formation of a resilient and impermeable skin surface.

Pathways

Involucrin contributes directly within the epidermal differentiation complex (EDC) supporting the skin barrier's structural stability and resilience. The protein prominently acts in the terminal differentiation pathway in conjunction with other structural proteins such as filaggrin and keratins. This pathway forms a protective barrier that resists mechanical stress and environmental insults functioning together to provide a robust defense against external factors.

Involucrin's role is highlighted in conditions like psoriasis and ichthyosis where skin barrier formation is disrupted. Aberrant expression or modification of involucrin can lead to compromised barrier integrity leading to these skin disorders. It relates closely to filaggrin in these conditions as both are essential for barrier function and mutations in these proteins can exacerbate skin pathologies. Understanding these connections helps us evaluate potential therapeutic strategies for skin barrier-related diseases.

Product protocols

For this product, it's our understanding that no specific protocols are required. You can visit:

Target data

Part of the insoluble cornified cell envelope (CE) of stratified squamous epithelia.
See full target information IVL

Publications (10)

Recent publications for all applications. Explore the full list and refine your search

Cells 13: PubMed39682709

2024

Impairment of Intermediate Filament Expression Reveals Impact on Cell Functions Independent from Keratinocyte Transformation.

Applications

Unspecified application

Species

Unspecified reactive species

Charlotte Klein,Imke Ramminger,Shuoqiu Bai,Thorsten Steinberg,Pascal Tomakidi

International journal of molecular sciences 25: PubMed38732209

2024

Development of a Static Avascular and Dynamic Vascular Human Skin Equivalent Employing Collagen/Keratin Hydrogels.

Applications

Unspecified application

Species

Unspecified reactive species

Kameel Zuniga,Neda Ghousifam,Lucy Shaffer,Sean Brocklehurst,Mark Van Dyke,Robert Christy,Shanmugasundaram Natesan,Marissa Nichole Rylander

Nature communications 15:3366 PubMed38684678

2024

Skin graft with dermis and appendages generated in vivo by cell competition.

Applications

Unspecified application

Species

Unspecified reactive species

Hisato Nagano,Naoaki Mizuno,Hideyuki Sato,Eiji Mizutani,Ayaka Yanagida,Mayuko Kano,Mariko Kasai,Hiromi Yamamoto,Motoo Watanabe,Fabian Suchy,Hideki Masaki,Hiromitsu Nakauchi

ACS omega 9:15114-15133 PubMed38585049

2024

Development of a Composite Hydrogel Containing Statistically Optimized PDGF-Loaded Polymeric Nanospheres for Skin Regeneration: In Vitro Evaluation and Stem Cell Differentiation Studies.

Applications

Unspecified application

Species

Unspecified reactive species

Raheleh Hazrati,Effat Alizadeh,Somaieh Soltani,Peyman Keyhanvar,Soodabeh Davaran

Toxicon : official journal of the International Society on Toxinology 220:106955 PubMed36309071

2022

Proteomics and histological assessment of an organotypic model of human skin following exposure to Naja nigricollis venom.

Applications

Unspecified application

Species

Unspecified reactive species

Shirin Ahmadi,Spyridon T Pachis,Konstantinos Kalogeropoulos,Farrell McGeoghan,Vahap Canbay,Steven R Hall,Edouard P Crittenden,Charlotte A Dawson,Keirah E Bartlett,José María Gutiérrez,Nicholas R Casewell,Ulrich Auf dem Keller,Andreas H Laustsen

Macromolecular bioscience 23:e2200387 PubMed36222273

2022

A Humanized In Vitro Model of Innervated Skin for Transdermal Analgesic Testing.

Applications

Unspecified application

Species

Unspecified reactive species

Afonso Malheiro,Maria Thon,Ana Filipa Lourenço,Adrián Seijas Gamardo,Amit Chandrakar,Susan Gibbs,Paul Wieringa,Lorenzo Moroni

Cell death discovery 8:160 PubMed35379779

2022

Smurf2-induced degradation of SMAD2 causes inhibition of hair follicle stem cell differentiation.

Applications

Unspecified application

Species

Unspecified reactive species

Bojie Lin,Dan Huang,Guanyu Lin,Yong Miao,Jin Wang,Zhexiang Fan,Zhiqi Hu

ImmunoHorizons 5:830-843 PubMed34702760

2021

Transcriptomic Analysis of Healthy and Atopic Dermatitis Samples Reveals the Role of IL-37 in Human Skin.

Applications

Unspecified application

Species

Unspecified reactive species

Jiajun Zhou,David C Gemperline,Matthew J Turner,Jonathan Oldach,Jennifer Molignano,Jonathan T Sims,Keith R Stayrook

The Journal of biological chemistry 297:101257 PubMed34597669

2021

The eIF2 kinase GCN2 directs keratinocyte collective cell migration during wound healing via coordination of reactive oxygen species and amino acids.

Applications

Unspecified application

Species

Unspecified reactive species

Rebecca R Miles,Parth H Amin,Miguel Barriera Diaz,Jagannath Misra,Erica Aukerman,Amitava Das,Nandini Ghosh,Tanner Guith,Michael D Knierman,Sashwati Roy,Dan F Spandau,Ronald C Wek

International journal of molecular sciences 20: PubMed31167352

2019

The High Mobility Group A1 (HMGA1) Chromatin Architectural Factor Modulates Nuclear Stiffness in Breast Cancer Cells.

Applications

Unspecified application

Species

Unspecified reactive species

Beatrice Senigagliesi,Carlotta Penzo,Luisa Ulloa Severino,Riccardo Maraspini,Sara Petrosino,Hernan Morales-Navarrete,Enrico Pobega,Elena Ambrosetti,Pietro Parisse,Silvia Pegoraro,Guidalberto Manfioletti,Loredana Casalis,Riccardo Sgarra
View all publications

Product promise

We are committed to supporting your work with high-quality reagents, and we're here for you every step of the way. In the unlikely event that one of our products does not perform as expected, you're protected by our Product Promise.
For full details, please see our Terms & Conditions

Please note: All products are 'FOR RESEARCH USE ONLY. NOT FOR USE IN DIAGNOSTIC OR THERAPEUTIC PROCEDURES'.

For licensing inquiries, please contact partnerships@abcam.com