JavaScript is disabled in your browser. Please enable JavaScript to view this website.
AB240256

Anti-Involucrin antibody [EPR13054] - BSA and Azide free

5

(1 Review)

|

(1 Publication)

Rabbit Recombinant Monoclonal Involucrin antibody. Carrier free. Suitable for WB, Flow Cyt (Intra), IHC-P and reacts with Rat, Human samples. Cited in 1 publication.

View Alternative Names

Involucrin, IVL

3 Images
Flow Cytometry (Intracellular) - Anti-Involucrin antibody [EPR13054] - BSA and Azide free (AB240256)
  • Flow Cyt (Intra)

Supplier Data

Flow Cytometry (Intracellular) - Anti-Involucrin antibody [EPR13054] - BSA and Azide free (AB240256)

Intracellular flow cytometric analysis of 2% paraformaldehyde-fixed HUVEC cells labeling Involucrin with ab181980 at 1/10 dilution (red) compared to a Rabbit monoclonal IgG Isotype control (green), followed by Goat anti rabbit IgG (FITC) secondary antibody at 1/150 dilution.

This data was developed using the same antibody clone in a different buffer formulation containing PBS, BSA, glycerol, and sodium azide (ab181980).

Immunohistochemistry (Formalin/PFA-fixed paraffin-embedded sections) - Anti-Involucrin antibody [EPR13054] - BSA and Azide free (AB240256)
  • IHC-P

Supplier Data

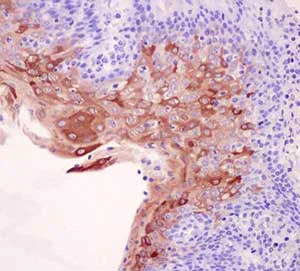
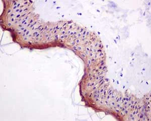
Immunohistochemistry (Formalin/PFA-fixed paraffin-embedded sections) - Anti-Involucrin antibody [EPR13054] - BSA and Azide free (AB240256)

Immunohistochemical analysis of paraffin-embedded Human skin tissue labeling Involucrin with ab181980 at 1/100 dilution, followed by prediluted ImmunoHistoprobe (Ready to use) HRP Polymer for Rabbit IgG. Counter stained with Hematoxylin.

This data was developed using the same antibody clone in a different buffer formulation containing PBS, BSA, glycerol, and sodium azide (ab181980).

Perform heat mediated antigen retrieval with EDTA buffer pH 9 before commencing with IHC staining protocol.

Immunohistochemistry (Formalin/PFA-fixed paraffin-embedded sections) - Anti-Involucrin antibody [EPR13054] - BSA and Azide free (AB240256)
  • IHC-P

Supplier Data

Immunohistochemistry (Formalin/PFA-fixed paraffin-embedded sections) - Anti-Involucrin antibody [EPR13054] - BSA and Azide free (AB240256)

Immunohistochemical analysis of paraffin-embedded Human tonsil tissue labeling Involucrin with ab181980 at 1/100 dilution, followed by prediluted ImmunoHistoprobe (Ready to use) HRP Polymer for Rabbit IgG. Counter stained with Hematoxylin.

This data was developed using the same antibody clone in a different buffer formulation containing PBS, BSA, glycerol, and sodium azide (ab181980).

Perform heat mediated antigen retrieval with EDTA buffer pH 9 before commencing with IHC staining protocol.

  • Unconjugated

    Anti-Involucrin antibody [EPR13054]

  • 775 Alexa Fluor® 750

    Alexa Fluor® 750 Anti-Involucrin antibody [EPR13054]

  • 578 PE

    PE Anti-Involucrin antibody [EPR13054]

  • 660 APC

    APC Anti-Involucrin antibody [EPR13054]

  • HRP

    HRP Anti-Involucrin antibody [EPR13054]

  • 519 Alexa Fluor® 488

    Alexa Fluor® 488 Anti-Involucrin antibody [EPR13054]

  • 665 Alexa Fluor® 647

    Alexa Fluor® 647 Anti-Involucrin antibody [EPR13054]

  • 617 Alexa Fluor® 594

    Alexa Fluor® 594 Anti-Involucrin antibody [EPR13054]

  • 565 Alexa Fluor® 555

    Alexa Fluor® 555 Anti-Involucrin antibody [EPR13054]

  • 603 Alexa Fluor® 568

    Alexa Fluor® 568 Anti-Involucrin antibody [EPR13054]

Key facts

Host species

Rabbit

Clonality

Monoclonal

Clone number

EPR13054

Isotype

IgG

Carrier free

Yes

Reacts with

Rat, Human

Applications

Flow Cyt (Intra), WB, IHC-P

applications

Immunogen

The exact immunogen used to generate this antibody is proprietary information.

Specificity

Unsuitable for rat IHC-P.

Reactivity data

{ "title": "Reactivity Data", "filters": { "stats": ["", "Species", "Dilution Info", "Notes"], "tabs": { "all-applications": {"fullname" : "All Applications", "shortname": "All Applications"}, "WB" : {"fullname" : "Western blot", "shortname":"WB"}, "FlowCytIntra" : {"fullname" : "Flow Cytometry (Intracellular)", "shortname":"Flow Cyt (Intra)"}, "IHCP" : {"fullname" : "Immunohistochemistry (Formalin/PFA-fixed paraffin-embedded sections)", "shortname":"IHC-P"} }, "product-promise": { "all": "all", "testedAndGuaranteed": "tested", "guaranteed": "expected", "predicted": "predicted", "notRecommended": "not-recommended" } }, "values": { "Human": { "WB-species-checked": "guaranteed", "WB-species-dilution-info": "", "WB-species-notes": "<p></p>", "FlowCytIntra-species-checked": "testedAndGuaranteed", "FlowCytIntra-species-dilution-info": "", "FlowCytIntra-species-notes": "<p><a href='/en-us/products/primary-antibodies/rabbit-igg-monoclonal-epr25a-isotype-control-low-endotoxin-azide-free-ab199376'>ab199376</a> - Rabbit monoclonal IgG, is suitable for use as an isotype control with this antibody.</p>", "IHCP-species-checked": "testedAndGuaranteed", "IHCP-species-dilution-info": "", "IHCP-species-notes": "<p></p>" }, "Rat": { "WB-species-checked": "guaranteed", "WB-species-dilution-info": "", "WB-species-notes": "<p></p>", "FlowCytIntra-species-checked": "predicted", "FlowCytIntra-species-dilution-info": "", "FlowCytIntra-species-notes": "", "IHCP-species-checked": "notRecommended", "IHCP-species-dilution-info": "", "IHCP-species-notes": "<p></p>" } } }

Product details

ab240256 is the carrier-free version of ab181980.

Patented technology
Our RabMAb® technology is a patented hybridoma-based technology for making rabbit monoclonal antibodies. For details on our patents, please refer to RabMAb® patents.

What are the advantages of a recombinant monoclonal antibody?
This product is a recombinant monoclonal antibody, which offers several advantages including:

  • - High batch-to-batch consistency and reproducibility
  • - Improved sensitivity and specificity
  • - Long-term security of supply
  • - Animal-free batch production

For more information, read more on recombinant antibodies.

Conjugation ready
Our carrier-free antibodies are typically supplied in a PBS-only formulation, purified and free of BSA, sodium azide and glycerol. This conjugation-ready format is designed for use with fluorochromes, metal isotopes, oligonucleotides, and enzymes, which makes them ideal for antibody labelling, functional and cell-based assays, flow-based assays (e.g. mass cytometry) and Multiplex Imaging applications.

Use our conjugation kits for antibody conjugates that are ready-to-use in as little as 20 minutes with 1 minute hands-on-time and 100% antibody recovery: available for fluorescent dyes, HRP, biotin and gold.

Compatibility
This product is compatible with the Maxpar® Antibody Labeling Kit from Fluidigm, without the need for antibody preparation. Maxpar® is a trademark of Fluidigm Canada Inc.

Properties and storage information

Form
Liquid
Purification technique
Affinity purification Protein A
Storage buffer
pH: 7.2 - 7.4 Constituents: PBS
Shipped at conditions
Blue Ice
Appropriate short-term storage conditions
+4°C
Appropriate long-term storage conditions
+4°C
Storage information
Do Not Freeze

Supplementary information

This supplementary information is collated from multiple sources and compiled automatically.

Involucrin also known as involucrine envocrin or ivrn is a protein with a mass of approximately 68 kDa. You will find involucrin expressed mainly in the suprabasal layers of the stratified squamous epithelia including epidermis tongue and esophagus. This protein becomes cross-linked to form the cornified cell envelope (CCE) in the upper layers of the skin an essential structure for epidermal differentiation and maintenance of skin barrier function.
Biological function summary

Involucrin serves as a critical substrate in the formation of the CCE by providing reactive sites for cross-linking with other proteins like loricrin and small proline-rich proteins. This cross-linking process occurs due to the action of transglutaminases which bond glutamine residues of involucrin with lysine residues in other proteins reinforcing the skin's protective barrier. Involucrin is a part of the protein network integral to keratinocyte terminal differentiation playing a distinctive role in the formation of a resilient and impermeable skin surface.

Pathways

Involucrin contributes directly within the epidermal differentiation complex (EDC) supporting the skin barrier's structural stability and resilience. The protein prominently acts in the terminal differentiation pathway in conjunction with other structural proteins such as filaggrin and keratins. This pathway forms a protective barrier that resists mechanical stress and environmental insults functioning together to provide a robust defense against external factors.

Involucrin's role is highlighted in conditions like psoriasis and ichthyosis where skin barrier formation is disrupted. Aberrant expression or modification of involucrin can lead to compromised barrier integrity leading to these skin disorders. It relates closely to filaggrin in these conditions as both are essential for barrier function and mutations in these proteins can exacerbate skin pathologies. Understanding these connections helps us evaluate potential therapeutic strategies for skin barrier-related diseases.

Product protocols

For this product, it's our understanding that no specific protocols are required. You can visit:

Target data

Part of the insoluble cornified cell envelope (CE) of stratified squamous epithelia.
See full target information IVL

Publications (1)

Recent publications for all applications. Explore the full list and refine your search

Cell 187:3120-3140.e29 PubMed38714197

2024

Mapping the cellular biogeography of human bone marrow niches using single-cell transcriptomics and proteomic imaging.

Applications

Unspecified application

Species

Unspecified reactive species

Shovik Bandyopadhyay,Michael P Duffy,Kyung Jin Ahn,Jonathan H Sussman,Minxing Pang,David Smith,Gwendolyn Duncan,Iris Zhang,Jeffrey Huang,Yulieh Lin,Barbara Xiong,Tamjid Imtiaz,Chia-Hui Chen,Anusha Thadi,Changya Chen,Jason Xu,Melissa Reichart,Zachary Martinez,Caroline Diorio,Chider Chen,Vinodh Pillai,Oraine Snaith,Derek Oldridge,Siddharth Bhattacharyya,Ivan Maillard,Martin Carroll,Charles Nelson,Ling Qin,Kai Tan
View all publications

Product promise

We are committed to supporting your work with high-quality reagents, and we're here for you every step of the way. In the unlikely event that one of our products does not perform as expected, you're protected by our Product Promise.
For full details, please see our Terms & Conditions

Please note: All products are 'FOR RESEARCH USE ONLY. NOT FOR USE IN DIAGNOSTIC OR THERAPEUTIC PROCEDURES'.

For licensing inquiries, please contact partnerships@abcam.com