JavaScript is disabled in your browser. Please enable JavaScript to view this website.
AB234403

Anti-Involucrin antibody [IVRN/2113R]

Be the first to review this product! Submit a review

|

(1 Publication)

Rabbit Recombinant Monoclonal Involucrin antibody. Suitable for IHC-P and reacts with Human samples. Cited in 1 publication. Immunogen corresponding to Recombinant Full Length Protein corresponding to Human IVL.

View Alternative Names

Involucrin, IVL

1 Images
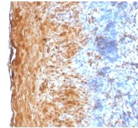
Immunohistochemistry (Formalin/PFA-fixed paraffin-embedded sections) - Anti-Involucrin antibody [IVRN/2113R] (AB234403)
  • IHC-P

Supplier Data

Immunohistochemistry (Formalin/PFA-fixed paraffin-embedded sections) - Anti-Involucrin antibody [IVRN/2113R] (AB234403)

Formalin-fixed, paraffin-embedded human tonsil tissue stained for Involucrin with ab234403 in immunohistochemical analysis.

Key facts

Host species

Rabbit

Clonality

Monoclonal

Clone number

IVRN/2113R

Isotype

IgG

Carrier free

No

Reacts with

Human

Applications

IHC-P

applications

Immunogen

Recombinant Full Length Protein corresponding to Human IVL.

P07476

Reactivity data

{ "title": "Reactivity Data", "filters": { "stats": ["", "Species", "Dilution Info", "Notes"], "tabs": { "all-applications": {"fullname" : "All Applications", "shortname": "All Applications"}, "IHCP" : {"fullname" : "Immunohistochemistry (Formalin/PFA-fixed paraffin-embedded sections)", "shortname":"IHC-P"} }, "product-promise": { "all": "all", "testedAndGuaranteed": "tested", "guaranteed": "expected", "predicted": "predicted", "notRecommended": "not-recommended" } }, "values": { "Human": { "IHCP-species-checked": "testedAndGuaranteed", "IHCP-species-dilution-info": "1-2 µg/mL", "IHCP-species-notes": "<p>Staining of formalin-fixed tissues is enhanced by digestion with trypsin or Protease XXV at 1 mg/ml PBS for 5 minutes at 37°C. (Note than enzyme digestion is better than citrate buffer based epitope unmasking). Incubate with primary antibody for 30 minutes at room temperature.</p>" }, "Mouse": { "IHCP-species-checked": "notRecommended", "IHCP-species-dilution-info": "", "IHCP-species-notes": "<p>Staining of formalin-fixed tissues is enhanced by digestion with trypsin or Protease XXV at 1 mg/ml PBS for 5 minutes at 37°C. (Note than enzyme digestion is better than citrate buffer based epitope unmasking). Incubate with primary antibody for 30 minutes at room temperature.</p>" } } }

Properties and storage information

Form
Liquid
Purification technique
Affinity purification Protein A/G
Purification notes
Purified from bioreactor concentrate by Protein A/G.
Storage buffer
pH: 7.2 - 7.4 Preservative: 0.05% Sodium azide Constituents: PBS, 0.05% BSA
Shipped at conditions
Blue Ice
Appropriate short-term storage duration
1-2 weeks
Appropriate short-term storage conditions
+4°C
Appropriate long-term storage conditions
-20°C
Aliquoting information
Upon delivery aliquot
Storage information
Avoid freeze / thaw cycle

Supplementary information

This supplementary information is collated from multiple sources and compiled automatically.

Involucrin also known as involucrine envocrin or ivrn is a protein with a mass of approximately 68 kDa. You will find involucrin expressed mainly in the suprabasal layers of the stratified squamous epithelia including epidermis tongue and esophagus. This protein becomes cross-linked to form the cornified cell envelope (CCE) in the upper layers of the skin an essential structure for epidermal differentiation and maintenance of skin barrier function.
Biological function summary

Involucrin serves as a critical substrate in the formation of the CCE by providing reactive sites for cross-linking with other proteins like loricrin and small proline-rich proteins. This cross-linking process occurs due to the action of transglutaminases which bond glutamine residues of involucrin with lysine residues in other proteins reinforcing the skin's protective barrier. Involucrin is a part of the protein network integral to keratinocyte terminal differentiation playing a distinctive role in the formation of a resilient and impermeable skin surface.

Pathways

Involucrin contributes directly within the epidermal differentiation complex (EDC) supporting the skin barrier's structural stability and resilience. The protein prominently acts in the terminal differentiation pathway in conjunction with other structural proteins such as filaggrin and keratins. This pathway forms a protective barrier that resists mechanical stress and environmental insults functioning together to provide a robust defense against external factors.

Involucrin's role is highlighted in conditions like psoriasis and ichthyosis where skin barrier formation is disrupted. Aberrant expression or modification of involucrin can lead to compromised barrier integrity leading to these skin disorders. It relates closely to filaggrin in these conditions as both are essential for barrier function and mutations in these proteins can exacerbate skin pathologies. Understanding these connections helps us evaluate potential therapeutic strategies for skin barrier-related diseases.

Product protocols

For this product, it's our understanding that no specific protocols are required. You can visit:

Target data

Part of the insoluble cornified cell envelope (CE) of stratified squamous epithelia.
See full target information IVL

Publications (1)

Recent publications for all applications. Explore the full list and refine your search

Oncology letters 28:468 PubMed39119236

2024

Myeloid/lymphoid neoplasms with eosinophilia and FGFR1 rearrangement t(8;13)(p11;q12): A case report and literature review.

Applications

Unspecified application

Species

Unspecified reactive species

Yu-Jie Guo,Meng-Xue Ma,Tian Tian,Jing-Nan Zhang,Xiao-Nan Guo,Shukai Qiao
View all publications

Product promise

We are committed to supporting your work with high-quality reagents, and we're here for you every step of the way. In the unlikely event that one of our products does not perform as expected, you're protected by our Product Promise.
For full details, please see our Terms & Conditions

Please note: All products are 'FOR RESEARCH USE ONLY. NOT FOR USE IN DIAGNOSTIC OR THERAPEUTIC PROCEDURES'.

For licensing inquiries, please contact partnerships@abcam.com