JavaScript is disabled in your browser. Please enable JavaScript to view this website.
AB68

Anti-Involucrin antibody [SY5]

4

(9 Reviews)

|

(55 Publications)

Anti-Involucrin antibody [SY5] (ab68) is a mouse monoclonal antibody detecting Involucrin in Flow Cytometry, IHC-P, ICC/IF. Suitable for Human.

- Over 40 publications
- Trusted since 1998

View Alternative Names

Involucrin, IVL

5 Images
Immunohistochemistry (Formalin/PFA-fixed paraffin-embedded sections) - Anti-Involucrin antibody [SY5] (AB68)
  • IHC-P

AbReview17708****

Immunohistochemistry (Formalin/PFA-fixed paraffin-embedded sections) - Anti-Involucrin antibody [SY5] (AB68)

ab68 at a 1/1000 dilution staining Involucrin in human normal skin tissue by Immunohistochemistry (formalin fixed, paraffin embedded sections), incubated for 2 hours at 21°C. Heat mediated antigen retrieval step performed using citrate buffer pH 6.0. Blocked with 10% serum for 30 minutes at 21°C. Secondary used at 1/100 polyclonal Donkey anti-mouse IgG conjugated to Alexa Fluor 594 (red).

This image is courtesy of an anonymous abreview.

Immunohistochemistry (Formalin/PFA-fixed paraffin-embedded sections) - Anti-Involucrin antibody [SY5] (AB68)
  • IHC-P

Supplier Data

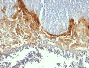
Immunohistochemistry (Formalin/PFA-fixed paraffin-embedded sections) - Anti-Involucrin antibody [SY5] (AB68)

Immunohistochemical analysis of Formalin fixed paraffin embedded human tonsil section labelling Involucrin with ab68 at dilution of 0.1 ug/mL.

Immunocytochemistry/ Immunofluorescence - Anti-Involucrin antibody [SY5] (AB68)
  • ICC/IF

Unknown

Immunocytochemistry/ Immunofluorescence - Anti-Involucrin antibody [SY5] (AB68)

ICC/IF image of ab68 stained MCF7 cells. The cells were 4% formaldehyde fixed (10 min) and then incubated in 1%BSA / 10% normal goat serum / 0.3M glycine in 0.1% PBS-Tween for 1h to permeabilise the cells and block non-specific protein-protein interactions. The cells were then incubated with the antibody (ab68, 1μg/ml) overnight at +4°C. The secondary antibody (green) was Alexa Fluor® 488 goat anti-mouse IgG (H+L) used at a 1/1000 dilution for 1h. Alexa Fluor® 594 WGA was used to label plasma membranes (red) at a 1/200 dilution for 1h. DAPI was used to stain the cell nuclei (blue) at a concentration of 1.43μM.

Immunohistochemistry (Formalin/PFA-fixed paraffin-embedded sections) - Anti-Involucrin antibody [SY5] (AB68)
  • IHC-P

PubMed

Immunohistochemistry (Formalin/PFA-fixed paraffin-embedded sections) - Anti-Involucrin antibody [SY5] (AB68)

KLC (keratinocyte-like cells) have the capacity to stratify

Human skin was decellularized and confirmed complete cell removal by H&E staining. ASC (human adipose-derived stem cells) were seeded on the epithelial side of human dermal decellularized matrices in the presence or absence of EGF (0.005 μg/mL). Human dermal decellularized matrices seeded with keratinocytes were used as controls. All three groups were kept in the same media conditions and lifted to an air-liquid interphase at the same time. Histological analysis revealed the presence of several layers of KLC with an organization similar to that of keratinocytes (A.1and 3). Surprisingly, ASC without EGF not only did not transdifferentiate into KLC, but instead migrated inside the matrix (A.2). Immunohistochemical analysis revealed a positive staining of cytokeratin-5 (B.3), cytokeratin-10 (C.3) and Involucrin (D.3) in stratified KLC matrices comparable to that of the stratified keratinocyte matrix (A, B, C and D.1). No positive staining was found in the ASC seeded matrices (A, B, C and D.2).

Chavez-Munoz, C. et al PLoS One. 2013 Dec 2;8(12):e80587. doi: 10.1371/journal.pone.0080587. eCollection 2013 Reproduced under the Creative Commons license http://creativecommons.org/licenses/by/4.0/

Flow Cytometry - Anti-Involucrin antibody [SY5] (AB68)
  • Flow Cyt

Unknown

Flow Cytometry - Anti-Involucrin antibody [SY5] (AB68)

Overlay histogram showing A431 cells stained with ab68 (red line). The cells were fixed with 80% methanol (5 min) and then permeabilized with 0.1% PBS-Tween for 20 min. The cells were then incubated in 1x PBS / 10% normal goat serum / 0.3M glycine to block non-specific protein-protein interactions followed by the antibody (ab68, 1μg/1x106 cells) for 30 min at 22°C. The secondary antibody used was DyLight® 488 goat anti-mouse IgG (H&L) (ab96879) at 1/500 dilution for 30 min at 22°C. Isotype control antibody (black line) was mouse IgG1 [ICIGG1] (ab91353, 2μg/1x106 cells) used under the same conditions. Unlabelled sample (blue line) was also used as a control. Acquisition of >5,000 events were collected using a 20mW Argon ion laser (488nm) and 525/30 bandpass filter. This antibody gave a positive signal in A431 cells fixed with 4% paraformaldehyde (10 min)/permeabilized with 0.1% PBS-Tween for 20 min used under the same conditions.

Key facts

Host species

Mouse

Clonality

Monoclonal

Clone number

SY5

Isotype

IgG1

Light chain type

unknown

Carrier free

No

Reacts with

Human

Applications

IHC-P, ICC/IF, Flow Cyt

applications

Epitope

The epitope maps between codon 421-568 of human involucrin.

Reactivity data

{ "title": "Reactivity Data", "filters": { "stats": ["", "Species", "Dilution Info", "Notes"], "tabs": { "all-applications": {"fullname" : "All Applications", "shortname": "All Applications"}, "FlowCyt" : {"fullname" : "Flow Cytometry", "shortname":"Flow Cyt"}, "IHCP" : {"fullname" : "Immunohistochemistry (Formalin/PFA-fixed paraffin-embedded sections)", "shortname":"IHC-P"}, "ICCIF" : {"fullname" : "Immunocytochemistry/ Immunofluorescence", "shortname":"ICC/IF"} }, "product-promise": { "all": "all", "testedAndGuaranteed": "tested", "guaranteed": "expected", "predicted": "predicted", "notRecommended": "not-recommended" } }, "values": { "Human": { "FlowCyt-species-checked": "testedAndGuaranteed", "FlowCyt-species-dilution-info": "1 µg for 10^6 Cells", "FlowCyt-species-notes": "<p><a href='/en-us/products/primary-antibodies/mouse-igg1-kappa-monoclonal-15-6e10a7-isotype-control-ab170190'>ab170190</a> - Mouse monoclonal IgG1, is suitable for use as an isotype control with this antibody.</p>", "IHCP-species-checked": "testedAndGuaranteed", "IHCP-species-dilution-info": "0.1-0.2 µg/mL", "IHCP-species-notes": "<p>Staining of formalin-fixed tissues is enhanced by digestion with trypsin or Protease XXV at 1mg/ml PBS for 5 min at 37°C (Note than enzyme digestion is better than citrate buffer based epitope unmasking).</p>", "ICCIF-species-checked": "testedAndGuaranteed", "ICCIF-species-dilution-info": "1 µg/mL", "ICCIF-species-notes": "<p></p>" }, "Mouse": { "FlowCyt-species-checked": "notRecommended", "FlowCyt-species-dilution-info": "1 µg for 10^6 Cells", "FlowCyt-species-notes": "<p><a href='/en-us/products/primary-antibodies/mouse-igg1-kappa-monoclonal-15-6e10a7-isotype-control-ab170190'>ab170190</a> - Mouse monoclonal IgG1, is suitable for use as an isotype control with this antibody.</p>", "IHCP-species-checked": "notRecommended", "IHCP-species-dilution-info": "0.1-0.2 µg/mL", "IHCP-species-notes": "<p></p>", "ICCIF-species-checked": "notRecommended", "ICCIF-species-dilution-info": "", "ICCIF-species-notes": "<p></p>" } } }

Product details

What is this antibody validated in?
Anti-Involucrin antibody [SY5] (ab68) is a mouse monoclonal antibody and is validated for use in Flow Cytometry (Flow Cyt), Immunohistochemistry (IHC-P), Immunocytochemistry/immunofluorescence (ICC/IF) in Human samples.

Trusted by the scientific community
Anti-Involucrin [SY5] (ab68) was first used in a scientific publication in 1998 and has been cited over 40 times in peer-reviewed journals.

Reviewed by scientists
Anti-Involucrin [SY5] (ab68) has over 5 independent reviews from customers.

Properties and storage information

Form
Liquid
Purification technique
Affinity purification Immunogen
Storage buffer
Preservative: 0.02% Sodium azide Constituents: PBS
Shipped at conditions
Blue Ice
Appropriate short-term storage duration
1-2 weeks
Appropriate short-term storage conditions
+4°C
Appropriate long-term storage conditions
-20°C
Aliquoting information
Upon delivery aliquot
Storage information
Avoid freeze / thaw cycle

Supplementary information

This supplementary information is collated from multiple sources and compiled automatically.

Involucrin also known as involucrine envocrin or ivrn is a protein with a mass of approximately 68 kDa. You will find involucrin expressed mainly in the suprabasal layers of the stratified squamous epithelia including epidermis tongue and esophagus. This protein becomes cross-linked to form the cornified cell envelope (CCE) in the upper layers of the skin an essential structure for epidermal differentiation and maintenance of skin barrier function.
Biological function summary

Involucrin serves as a critical substrate in the formation of the CCE by providing reactive sites for cross-linking with other proteins like loricrin and small proline-rich proteins. This cross-linking process occurs due to the action of transglutaminases which bond glutamine residues of involucrin with lysine residues in other proteins reinforcing the skin's protective barrier. Involucrin is a part of the protein network integral to keratinocyte terminal differentiation playing a distinctive role in the formation of a resilient and impermeable skin surface.

Pathways

Involucrin contributes directly within the epidermal differentiation complex (EDC) supporting the skin barrier's structural stability and resilience. The protein prominently acts in the terminal differentiation pathway in conjunction with other structural proteins such as filaggrin and keratins. This pathway forms a protective barrier that resists mechanical stress and environmental insults functioning together to provide a robust defense against external factors.

Involucrin's role is highlighted in conditions like psoriasis and ichthyosis where skin barrier formation is disrupted. Aberrant expression or modification of involucrin can lead to compromised barrier integrity leading to these skin disorders. It relates closely to filaggrin in these conditions as both are essential for barrier function and mutations in these proteins can exacerbate skin pathologies. Understanding these connections helps us evaluate potential therapeutic strategies for skin barrier-related diseases.

Product protocols

For this product, it's our understanding that no specific protocols are required. You can visit:

Target data

Part of the insoluble cornified cell envelope (CE) of stratified squamous epithelia.
See full target information IVL

Publications (55)

Recent publications for all applications. Explore the full list and refine your search

Scientific reports 15:2129 PubMed39820037

2025

Subcytotoxic transepidermal delivery using low intensity cold atmospheric plasma.

Applications

Unspecified application

Species

Unspecified reactive species

Ga Ram Ahn,Hyung-Joon Park,Yu Jin Kim,Min Gyo Song,Hye Sung Han,Woo Geon Lee,Hyuck Ki Hong,Kwang Ho Yoo,Joon Seok,Kyu Back Lee,Beom Joon Kim

Scientific reports 13:22357 PubMed38102220

2023

β-endorphin suppresses ultraviolet B irradiation-induced epidermal barrier damage by regulating inflammation-dependent mTORC1 signaling.

Applications

Unspecified application

Species

Unspecified reactive species

Hyung-Su Kim,Hyoung-June Kim,Yong-Deog Hong,Eui Dong Son,Si-Young Cho

Science advances 9:eade2514 PubMed36706190

2023

Engineering edgeless human skin with enhanced biomechanical properties.

Applications

Unspecified application

Species

Unspecified reactive species

Alberto Pappalardo,David Alvarez Cespedes,Shuyang Fang,Abigail R Herschman,Eun Young Jeon,Kristin M Myers,Jeffrey W Kysar,Hasan Erbil Abaci

Microbiome 10:201 PubMed36434666

2022

Vaginal microbiome-host interactions modeled in a human vagina-on-a-chip.

Applications

Unspecified application

Species

Unspecified reactive species

Gautam Mahajan,Erin Doherty,Tania To,Arlene Sutherland,Jennifer Grant,Abidemi Junaid,Aakanksha Gulati,Nina LoGrande,Zohreh Izadifar,Sanjay Sharma Timilsina,Viktor Horváth,Roberto Plebani,Michael France,Indriati Hood-Pishchany,Seth Rakoff-Nahoum,Douglas S Kwon,Girija Goyal,Rachelle Prantil-Baun,Jacques Ravel,Donald E Ingber

Bioengineering (Basel, Switzerland) 9: PubMed36290526

2022

Keratin Promotes Differentiation of Keratinocytes Seeded on Collagen/Keratin Hydrogels.

Applications

Unspecified application

Species

Unspecified reactive species

Kameel Zuniga,Neda Ghousifam,John Sansalone,Kris Senecal,Mark Van Dyke,Marissa Nichole Rylander

FASEB journal : official publication of the Federation of American Societies for Experimental Biology 36:e22424 PubMed35747929

2022

Nephrin expression in human epidermal keratinocytes and its implication in poor wound closure.

Applications

Unspecified application

Species

Unspecified reactive species

Ji Young Kim,Eun Jung Lee,Jimyung Seo,Yangsin Lee,Yuri Ahn,Sujin Park,Yu Jeong Bae,Jinu Lee,Beom Jin Lim,Doyoung Kim,Jin Won Cho,Sang Ho Oh

JID innovations : skin science from molecules to population health 2:100139 PubMed36090299

2022

RAB3A Regulates Melanin Exocytosis and Transfer Induced by Keratinocyte-Conditioned Medium.

Applications

Unspecified application

Species

Unspecified reactive species

Luís C Cabaço,Liliana Bento-Lopes,Matilde V Neto,Andreia Ferreira,Wanja B L Staubli,José S Ramalho,Miguel C Seabra,Duarte C Barral

Small (Weinheim an der Bergstrasse, Germany) 19:e2201251 PubMed35694770

2022

Micromotor-Assisted Keratinocytes Migration in a Floating Paper Chip.

Applications

Unspecified application

Species

Unspecified reactive species

Paula de Dios Andres,Brigitte Städler

The Journal of cell biology 220: PubMed34550317

2021

EGFR-mediated epidermal stem cell motility drives skin regeneration through COL17A1 proteolysis.

Applications

Unspecified application

Species

Unspecified reactive species

Daisuke Nanba,Fujio Toki,Kyosuke Asakawa,Hiroyuki Matsumura,Ken Shiraishi,Koji Sayama,Kyoichi Matsuzaki,Hiroshi Toki,Emi K Nishimura

Bioengineering & translational medicine 6:e10195 PubMed34027085

2021

Microscopy-guided laser ablation for the creation of complex skin models with folliculoid appendages.

Applications

Unspecified application

Species

Unspecified reactive species

Carla M Abreu,Luca Gasperini,Manuela E L Lago,Rui L Reis,Alexandra P Marques
View all publications

Product promise

We are committed to supporting your work with high-quality reagents, and we're here for you every step of the way. In the unlikely event that one of our products does not perform as expected, you're protected by our Product Promise.
For full details, please see our Terms & Conditions

Please note: All products are 'FOR RESEARCH USE ONLY. NOT FOR USE IN DIAGNOSTIC OR THERAPEUTIC PROCEDURES'.

For licensing inquiries, please contact partnerships@abcam.com