JavaScript is disabled in your browser. Please enable JavaScript to view this website.
AB206293

Anti-Ionotropic Glutamate receptor 2 + 3 antibody [EPR18115]

5

(4 Reviews)

|

(35 Publications)

Anti-Ionotropic Glutamate receptor 2 + 3 antibody [EPR18115] (ab206293) is a rabbit monoclonal antibody detecting Ionotropic Glutamate receptor 2 + 3 in Western Blot, IP, IHC-P. Suitable for Human, Mouse, Rat.

- Biophysical QC for unrivalled batch-batch consistency
- Over 20 publications

View Alternative Names

GluA2, GLUR2, GRIA2, Glutamate receptor 2, GluR-2, AMPA-selective glutamate receptor 2, GluR-B, GluR-K2

4 Images
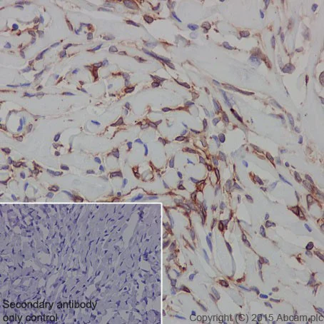
Immunohistochemistry (Formalin/PFA-fixed paraffin-embedded sections) - Anti-Ionotropic Glutamate receptor 2 + 3 antibody [EPR18115] (AB206293)
  • IHC-P

Supplier Data

Immunohistochemistry (Formalin/PFA-fixed paraffin-embedded sections) - Anti-Ionotropic Glutamate receptor 2 + 3 antibody [EPR18115] (AB206293)

Immunohistochemical analysis of paraffin-embedded Human solitary fibrous tumor tissue labeling Ionotropic Glutamate receptor 2 + 3 with ab206293 at 1/500 dilution followed by Goat Anti-Rabbit IgG H&L (HRP) (ab97051) at 1/500 dilution.

Membrane staining on Human solitary fibrous tumor is observed.

Counter stained with Hematoxylin.

Secondary antibody only control : Used PBS instead of primary antibody secondary antibody is Goat Anti-Rabbit IgG H&L (HRP) (ab97051) at 1/500 dilution.

Perform heat mediated antigen retrieval with Tris/EDTA buffer pH 9.0 before commencing with IHC staining protocol.

Immunoprecipitation - Anti-Ionotropic Glutamate receptor 2 + 3 antibody [EPR18115] (AB206293)
  • IP

Supplier Data

Immunoprecipitation - Anti-Ionotropic Glutamate receptor 2 + 3 antibody [EPR18115] (AB206293)

Ionotropic Glutamate receptor 2 was immunoprecipitated from 1mg of C6 (Rat glial tumor cell line) whole cell lysate with ab206293 at 1/40 dilution.

Western blot was performed from the immunoprecipitate using ab206293 at 1/1000 dilution.

VeriBlot for IP Detection Reagent (HRP) (ab131366), was used for detection at 1/10000 dilution.

Lane 1 : C6 whole cell lysate 10μg (Input).

Lane 2 : ab206293 IP in C6 whole cell lysate.

Lane 3 : Rabbit IgG, monoclonal [EPR18115] - Isotype Control (ab172730) instead of ab206293 in C6 whole cell lysate.

Blocking and dilution buffer and concentration : 5% NFDM/TBST.

Exposure time : 10 seconds.

All lanes:

Immunoprecipitation - Anti-Ionotropic Glutamate receptor 2 + 3 antibody [EPR18115] (ab206293)

Predicted band size: 98 kDa

false

Western blot - Anti-Ionotropic Glutamate receptor 2 + 3 antibody [EPR18115] (AB206293)
  • WB

Supplier Data

Western blot - Anti-Ionotropic Glutamate receptor 2 + 3 antibody [EPR18115] (AB206293)

Blocking/Dilution buffer : 5% NFDM/TBST.

Exposure time : Lane 1 : 1 second; Lane 2,3,4,5,6 and 7 : 10 seconds.

All lanes:

Western blot - Anti-Ionotropic Glutamate receptor 2 + 3 antibody [EPR18115] (ab206293) at 1/5000 dilution

Lane 1:

Mouse brain tissue lysate at 10 µg

Lane 2:

Rat brain tissue lysate at 10 µg

Lane 3:

Human fetal brain tissue lysate at 10 µg

Lane 4:

Rat spleen tissue lysate at 10 µg

Lane 5:

HeLa (Human epithelial cell line from cervix adenocarcinoma) whole cell lysate at 10 µg

Lane 6:

Human fetal kidney tissue lysate at 10 µg

Lane 7:

HT1080 (Human fibrosarcoma cell line) whole cell lysate at 10 µg

Secondary

All lanes:

Anti-Rabbit IgG (HRP), specific to the non-reduced form of IgG at 1/10000 dilution

Predicted band size: 98 kDa

Observed band size: 99 kDa

false

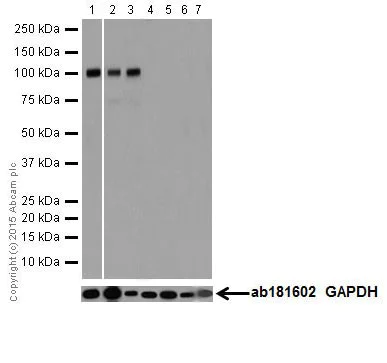
Western blot - Anti-Ionotropic Glutamate receptor 2 + 3 antibody [EPR18115] (AB206293)
  • WB

Supplier Data

Western blot - Anti-Ionotropic Glutamate receptor 2 + 3 antibody [EPR18115] (AB206293)

Blocking/Dilution buffer : 5% NFDM/TBST.

All lanes:

Western blot - Anti-Ionotropic Glutamate receptor 2 + 3 antibody [EPR18115] (ab206293) at 1/2000 dilution

Lane 1:

Human brain tissue lysate at 20 µg

Lane 2:

Mouse brain tissue lysate at 20 µg

Lane 3:

Rat brain tissue lysate at 20 µg

Lane 4:

C6 (Rat glial tumor cell line) whole cell lysate at 20 µg

Lane 5:

Human fetal kidney tissue lysate at 20 µg

Lane 6:

HT1080 (Human fibrosarcoma cell line) whole cell lysate at 20 µg

Lane 7:

Mouse heart tissue lysate at 20 µg

Lane 8:

Rat spleen tissue lysate at 20 µg

Lane 9:

HeLa (Human epithelial cell line from cervix adenocarcinoma) whole cell lysate at 20 µg

Secondary

All lanes:

Anti-Rabbit IgG (HRP), specific to the non-reduced form of IgG at 1/10000 dilution

Predicted band size: 98 kDa

Observed band size: 99 kDa

false

Exposure time: 3min

  • Carrier free

    Anti-Ionotropic Glutamate receptor 2 + 3 antibody [EPR18115] - BSA and Azide free

Key facts

Host species

Rabbit

Clonality

Monoclonal

Clone number

EPR18115

Isotype

IgG

Carrier free

No

Reacts with

Mouse, Rat, Human

Applications

IHC-P, WB, IP

applications

Immunogen

The exact immunogen used to generate this antibody is proprietary information.

Reactivity data

{ "title": "Reactivity Data", "filters": { "stats": ["", "Species", "Dilution Info", "Notes"], "tabs": { "all-applications": {"fullname" : "All Applications", "shortname": "All Applications"}, "IP" : {"fullname" : "Immunoprecipitation", "shortname":"IP"}, "WB" : {"fullname" : "Western blot", "shortname":"WB"}, "IHCP" : {"fullname" : "Immunohistochemistry (Formalin/PFA-fixed paraffin-embedded sections)", "shortname":"IHC-P"} }, "product-promise": { "all": "all", "testedAndGuaranteed": "tested", "guaranteed": "expected", "predicted": "predicted", "notRecommended": "not-recommended" } }, "values": { "Human": { "IP-species-checked": "guaranteed", "IP-species-dilution-info": "", "IP-species-notes": "", "WB-species-checked": "testedAndGuaranteed", "WB-species-dilution-info": "1/2000", "WB-species-notes": "<p></p>", "IHCP-species-checked": "testedAndGuaranteed", "IHCP-species-dilution-info": "1/500", "IHCP-species-notes": "<p>IHC is recommended for human only.</p> Perform heat-mediated antigen retrieval with Tris/EDTA buffer pH 9.0 before commencing with IHC staining protocol." }, "Mouse": { "IP-species-checked": "guaranteed", "IP-species-dilution-info": "", "IP-species-notes": "", "WB-species-checked": "testedAndGuaranteed", "WB-species-dilution-info": "1/2000", "WB-species-notes": "<p></p>", "IHCP-species-checked": "guaranteed", "IHCP-species-dilution-info": "", "IHCP-species-notes": "" }, "Rat": { "IP-species-checked": "testedAndGuaranteed", "IP-species-dilution-info": "1/40", "IP-species-notes": "<p></p>", "WB-species-checked": "testedAndGuaranteed", "WB-species-dilution-info": "1/2000", "WB-species-notes": "<p></p>", "IHCP-species-checked": "guaranteed", "IHCP-species-dilution-info": "", "IHCP-species-notes": "" } } }

Product details

What is this antibody validated in?
Anti-Ionotropic Glutamate receptor 2 + 3 antibody [EPR18115] (ab206293) is a rabbit recombinant monoclonal antibody and is validated for use in Western Blot (WB), Immunoprecipitation (IP), Immunohistochemistry (IHC-P) in Human, Mouse, Rat samples.

What is the molecular weight of Ionotropic Glutamate receptor 2?
Anti-Ionotropic Glutamate receptor 2 + 3 [EPR18115] (ab206293) specifically detects a band for Ionotropic Glutamate receptor 2 (UniProt: P42262) and Ionotropic Glutamate receptor 3 (UniProt: P42263) at a molecular weight of 99kDa.

Trusted by the scientific community
Anti-Ionotropic Glutamate receptor 2 + 3 [EPR18115] (ab206293) was first used in a scientific publication in 2015 and has been cited over 20 times in peer-reviewed journals.

Trial sizes available!
Test your antibody or perform pre-screening before committing to a larger quantity. Sold in 10µl. Discover our selection of trial-size antibodies.

Other related products
We have a range of other formats of antibody clone [EPR18115] also available for your convenience: ab206293, Carrier free - ab251444

Patented technology
Our RabMAb® technology is a patented hybridoma-based technology for making rabbit monoclonal antibodies. For details on our patents, please refer to RabMAb® patents.

What are the advantages of a recombinant monoclonal antibody?
This product is a recombinant monoclonal antibody, which offers several advantages including:

  • - High batch-to-batch consistency and reproducibility
  • - Improved sensitivity and specificity
  • - Long-term security of supply
  • - Animal-free batch production

For more information, read more on recombinant antibodies.

Properties and storage information

Form
Liquid
Purification technique
Affinity purification Protein A
Storage buffer
pH: 7.2 - 7.4 Preservative: 0.01% Sodium azide Constituents: PBS, 40% Glycerol (glycerin, glycerine), 0.05% BSA
Shipped at conditions
Blue Ice
Appropriate short-term storage duration
1-2 weeks
Appropriate short-term storage conditions
+4°C
Appropriate long-term storage conditions
-20°C
Aliquoting information
Upon delivery aliquot
Storage information
Avoid freeze / thaw cycle

Supplementary information

This supplementary information is collated from multiple sources and compiled automatically.

Ionotropic glutamate receptor 2 and 3 also known as GluR2 and GluR3 are subunits of AMPA receptors which are ion channels facilitating synaptic transmission. These receptors bind glutamate an important neurotransmitter and become permeable to cations leading to rapid excitatory synaptic signaling. The combined molecular masses of GluR2 and GluR3 subunits are approximately 200 kDa. They are predominantly expressed in the central nervous system particularly in the cortex hippocampus and cerebellum where they contribute to fast synaptic transmission and plasticity.
Biological function summary

These receptors play a role in regulating synaptic strength and neuronal communication. They are part of AMPA receptor complexes vital for modulating synaptic plasticity that underlies learning and memory. GluR2 contains a Q/R site near pore region controlling calcium permeability and channel conductance. This editing is necessary to prevent excessive calcium entry ensuring regulated neuronal activity and maintaining neuroprotective functions.

Pathways

AMPA receptors including GluR2 and GluR3 integrate into the glutamatergic system and are significantly involved in the long-term potentiation (LTP) pathway essential for synaptic plasticity. They interact with proteins like NMDA receptors which help the initiation phase of LTP. They also play a role in excitotoxicity pathways where excessive glutamate can lead to neuronal damage. This interaction with glutamate saves as a bridge between normal synaptic activity and dysregulated excitatory signals.

Ionotropic glutamate receptor dysregulation associates with neurodegenerative diseases like Alzheimer’s disease and seizure disorders such as epilepsy. In Alzheimer's altered receptor trafficking leads to impaired synaptic function with amyloid-beta interacting with receptor systems including NMDA receptors. For epilepsy aberrant glutamate signaling through AMPA receptor subunits like GluR2 and GluR3 is a contributing factor to excitotoxicity and seizure pathogenesis suggesting potential therapeutic targets within receptor signaling pathways.

Product protocols

For this product, it's our understanding that no specific protocols are required. You can visit:

Target data

Ionotropic glutamate receptor that functions as a ligand-gated cation channel, gated by L-glutamate and glutamatergic agonists such as alpha-amino-3-hydroxy-5-methyl-4-isoxazolepropionic acid (AMPA), quisqualic acid, and kainic acid (PubMed : 20614889, PubMed : 31300657, PubMed : 8003671). L-glutamate acts as an excitatory neurotransmitter at many synapses in the central nervous system and plays an important role in fast excitatory synaptic transmission (PubMed : 14687553). Binding of the excitatory neurotransmitter L-glutamate induces a conformation change, leading to the opening of the cation channel, and thereby converts the chemical signal to an electrical impulse upon entry of monovalent and divalent cations such as sodium and calcium (PubMed : 20614889, PubMed : 8003671). The receptor then desensitizes rapidly and enters in a transient inactive state, characterized by the presence of bound agonist (By similarity). In the presence of CACNG4 or CACNG7 or CACNG8, shows resensitization which is characterized by a delayed accumulation of current flux upon continued application of L-glutamate (By similarity). Through complex formation with NSG1, GRIP1 and STX12 controls the intracellular fate of AMPAR and the endosomal sorting of the GRIA2 subunit toward recycling and membrane targeting (By similarity).
See full target information GRIA2

Additional targets

GRIA3

Publications (35)

Recent publications for all applications. Explore the full list and refine your search

International journal of molecular sciences 26: PubMed40650236

2025

Cognitive and Affective Dysregulation in Neuropathic Pain: Associated Hippocampal Remodeling and Microglial Activation.

Applications

Unspecified application

Species

Unspecified reactive species

Anna Tyrtyshnaia,Igor Manzhulo,Anastasia Egoraeva,Darya Ivashkevich

Addiction neuroscience 15: PubMed40575352

2025

EcoHIV infection effects on cocaine seeking and neuroimmune responses in male mice depend on cocaine exposure pattern.

Applications

Unspecified application

Species

Unspecified reactive species

Mark D Namba,Qiaowei Xie,Kyewon Park,Joshua G Jackson,Jacqueline M Barker

Molecular neurobiology 62:12004-12016 PubMed40346445

2025

Regulatory Mechanism of CRTC1 on Autophagy and GluA2 Expression in Epilepsy.

Applications

Unspecified application

Species

Unspecified reactive species

Xueying Wang,Liqian Zhou,Lin Yang,Shaoping Huang,Yuying Wang,Dan Li

Neural regeneration research 20:3259-3272 PubMed39715097

2024

Glutamatergic CYLD deletion leads to aberrant excitatory activity in the basolateral amygdala: association with enhanced cued fear expression.

Applications

Unspecified application

Species

Unspecified reactive species

Huidong Li,Faqin Li,Zhaoyi Chen,Erwen Wu,Xiaoxi Dai,Danni Li,Haojie An,Shiyi Zeng,Chunyan Wang,Li Yang,Cheng Long

Nature chemical biology 21:109-119 PubMed39090312

2024

Photoproximity labeling of endogenous receptors in the live mouse brain in minutes.

Applications

Unspecified application

Species

Unspecified reactive species

Mikiko Takato,Seiji Sakamoto,Hiroshi Nonaka,Fátima Yuri Tanimura Valor,Tomonori Tamura,Itaru Hamachi

Neuropharmacology 253:109963 PubMed38657945

2024

Prenatal exposure to valproic acid reduces synaptic δ-catenin levels and disrupts ultrasonic vocalization in neonates.

Applications

Unspecified application

Species

Unspecified reactive species

Seung Hyun Roh,Hadassah Mendez-Vazquez,Matheus F Sathler,Michael J Doolittle,Anastasiya Zaytseva,Hannah Brown,Morgan Sainsbury,Seonil Kim

European journal of medical research 29:121 PubMed38355613

2024

Neuroprotective effects of quinpirole on lithium chloride pilocarpine-induced epilepsy in rats and its underlying mechanisms.

Applications

Unspecified application

Species

Unspecified reactive species

Hui Wang,Yongheng Zhao,Dongqing Zhang,Jun Li,Kun Yang,Junli Yang,Baomin Li

Aging cell 23:e14074 PubMed38155547

2023

Increased A1 astrocyte activation-driven hippocampal neural network abnormality mediates delirium-like behavior in aged mice undergoing cardiac surgery.

Applications

Unspecified application

Species

Unspecified reactive species

Wenxue Liu,Min Jia,Keyin Zhang,Jiang Chen,Xiyu Zhu,Ruisha Li,Zhenjun Xu,Yanyu Zang,Yapeng Wang,Jun Pan,Daqing Ma,Jianjun Yang,Dongjin Wang

eNeuro 10: PubMed37945352

2023

Developing a Toolbox of Antibodies Validated for Array Tomography-Based Imaging of Brain Synapses.

Applications

Unspecified application

Species

Unspecified reactive species

Kristina D Micheva,Belvin Gong,Forrest Collman,Richard J Weinberg,Stephen J Smith,James S Trimmer,Karl D Murray

Neural regeneration research 19:1336-1343 PubMed37905883

2023

Exercise-with-melatonin therapy improves sleep disorder and motor dysfunction in a rat model of ischemic stroke.

Applications

Unspecified application

Species

Unspecified reactive species

Haitao Zhao,Tong Zhang,Haojie Zhang,Yunlei Wang,Lingna Cheng
View all publications

Product promise

We are committed to supporting your work with high-quality reagents, and we're here for you every step of the way. In the unlikely event that one of our products does not perform as expected, you're protected by our Product Promise.
For full details, please see our Terms & Conditions

Please note: All products are 'FOR RESEARCH USE ONLY. NOT FOR USE IN DIAGNOSTIC OR THERAPEUTIC PROCEDURES'.

For licensing inquiries, please contact partnerships@abcam.com