JavaScript is disabled in your browser. Please enable JavaScript to view this website.
AB214668

Anti-IP10 antibody [EPR20764]

Be the first to review this product! Submit a review

|

(4 Publications)

Rabbit Recombinant Monoclonal IP10 antibody. Suitable for I-ELISA, WB and reacts with Recombinant fragment - Human, Human samples. Cited in 4 publications.

View Alternative Names

INP10, SCYB10, CXCL10, C-X-C motif chemokine 10, 10 kDa interferon gamma-induced protein, Small-inducible cytokine B10, Gamma-IP10, IP-10

6 Images
Western blot - Anti-IP10 antibody [EPR20764] (AB214668)
  • WB

Lab

Western blot - Anti-IP10 antibody [EPR20764] (AB214668)

Lanes 1 - 6 : Merged signal (red and green). Green - ab214668 observed at 11 kDa. Red - loading control ab8245 (Mouse anti-GAPDH antibody [6C5]) observed at 37kDa.

ab214668 was shown to react with IP10 in wild-type A549 cells in western blot with loss of signal observed in IP10 knockout cell line ab266971 (knockout cell lysate ab256888). Wild-type and IP10 knockout A549 cell lysates were subjected to SDS-PAGE. Membranes were blocked in fluorescent western blot (TBS-based) blocking solution before incubation with ab214668 and ab8245 (Mouse anti-GAPDH antibody [6C5]) overnight at 4°C at a 1 in 1000 dilution and a 1 in 20000 dilution respectively. Blots were incubated with Goat anti-Rabbit IgG H&L (IRDye® 800CW) preabsorbed (ab216773) and Goat anti-Mouse IgG H&L (IRDye® 800CW) preabsorbed (ab216772) secondary antibodies at 1 in 20000 dilution for 1 hour at room temperature before imaging.

All lanes:

Western blot - Anti-IP10 antibody [EPR20764] (ab214668) at 1/1000 dilution

Lane 1:

Wild-type A549 Brefeldin A (<a href='/en-us/products/biochemicals/brefeldin-a-inhibitor-of-adp-ribosylation-factor-ab120299'>ab120299</a>)-treated (5ug/ml, 6h) cell lysate at 30 µg

Lane 2:

Wild-type A549 IFN-y (<a href='/en-us/products/proteins-peptides/recombinant-human-interferon-gamma-protein-active-ab259377'>ab259377</a>) (100 ng/ml, 32 h) and TNF-alpha (<a href='/en-us/products/proteins-peptides/recombinant-human-tnf-alpha-protein-active-ab259410'>ab259410</a>) (10 ng/ml, 32h), and Brefeldin A (<a href='/en-us/products/biochemicals/brefeldin-a-inhibitor-of-adp-ribosylation-factor-ab120299'>ab120299</a>)-treated (5ug/ml for the last 6h) cell lysate at 30 µg

Lane 2:

Western blot - Human CXCL10 (IP10) knockout THP-1 cell line (<a href='/en-us/products/cell-lines/human-cxcl10-ip10-knockout-thp-1-cell-line-ab277860'>ab277860</a>)

Lane 3:

IP10 knockout A549 Brefeldin A (<a href='/en-us/products/biochemicals/brefeldin-a-inhibitor-of-adp-ribosylation-factor-ab120299'>ab120299</a>)-treated (5ug/ml, 6h) cell lysate at 30 µg

Lane 4:

IP10 knockout A549 IFN-y (<a href='/en-us/products/proteins-peptides/recombinant-human-interferon-gamma-protein-active-ab259377'>ab259377</a>) (100ng/ml, 32h) and TNF-alpha (<a href='/en-us/products/proteins-peptides/recombinant-human-tnf-alpha-protein-active-ab259410'>ab259410</a>) (10ng/ml, 32h), and Brefeldin A (<a href='/en-us/products/biochemicals/brefeldin-a-inhibitor-of-adp-ribosylation-factor-ab120299'>ab120299</a>)-treated (5ug/ml for the last 6h) cell lysate at 30 µg

Lane 5:

THP-1 Brefeldin A (<a href='/en-us/products/biochemicals/brefeldin-a-inhibitor-of-adp-ribosylation-factor-ab120299'>ab120299</a>)-treated (5ug/ml, 6h) cell lysate at 30 µg

Lane 6:

THP-1 IFN-y (<a href='/en-us/products/proteins-peptides/recombinant-human-interferon-gamma-protein-active-ab259377'>ab259377</a>) (200ng/ml, 24h) and LPS (50ng/ml, 24h)-treated for 24 hours, and Brefeldin A (<a href='/en-us/products/biochemicals/brefeldin-a-inhibitor-of-adp-ribosylation-factor-ab120299'>ab120299</a>)-treated (5ug/ml for the last 6h) cell lysate at 30 µg

Predicted band size: 10 kDa

false

Western blot - Anti-IP10 antibody [EPR20764] (AB214668)
  • WB

Lab

Western blot - Anti-IP10 antibody [EPR20764] (AB214668)

Lanes 1 - 6 : Merged signal (red and green). Green - ab214668 observed at 11 kDa. Red - loading control ab8245 (Mouse anti-GAPDH antibody [6C5]) observed at 37kDa.

ab214668 was shown to react with IP10 in wild-type A549 cells in western blot with loss of signal observed in IP10 knockout cell line ab266971 (knockout cell lysate ab256888). Wild-type and IP10 knockout A549 cell lysates were subjected to SDS-PAGE. Membranes were blocked in fluorescent western blot (TBS-based) blocking solution before incubation with ab214668 and ab8245 (Mouse anti-GAPDH antibody [6C5]) overnight at 4°C at a 1 in 1000 dilution and a 1 in 20000 dilution respectively. Blots were incubated with Goat anti-Rabbit IgG H&L (IRDye® 800CW) preabsorbed (ab216773) and Goat anti-Mouse IgG H&L (IRDye® 800CW) preabsorbed (ab216772) secondary antibodies at 1 in 20000 dilution for 1 hour at room temperature before imaging.

All lanes:

Western blot - Anti-IP10 antibody [EPR20764] (ab214668) at 1/1000 dilution

Lane 1:

Wild-type A549 Brefeldin A (<a href='/en-us/products/biochemicals/brefeldin-a-inhibitor-of-adp-ribosylation-factor-ab120299'>ab120299</a>)-treated (5ug/ml, 6h) cell lysate at 30 µg

Lane 2:

Wild-type A549 IFN-y (<a href='/en-us/products/proteins-peptides/recombinant-human-interferon-gamma-protein-active-ab259377'>ab259377</a>) (100 ng/ml, 32 h) and TNF-alpha (<a href='/en-us/products/proteins-peptides/recombinant-human-tnf-alpha-protein-active-ab259410'>ab259410</a>) (10 ng/ml, 32h), and Brefeldin A (<a href='/en-us/products/biochemicals/brefeldin-a-inhibitor-of-adp-ribosylation-factor-ab120299'>ab120299</a>)-treated (5ug/ml for the last 6h) cell lysate at 30 µg

Lane 2:

Western blot - Human CXCL10 (IP10) knockout A549 cell line (<a href='/en-us/products/cell-lines/human-cxcl10-ip10-knockout-a549-cell-line-ab266971'>ab266971</a>)

Lane 3:

IP10 knockout A549 Brefeldin A (<a href='/en-us/products/biochemicals/brefeldin-a-inhibitor-of-adp-ribosylation-factor-ab120299'>ab120299</a>)-treated (5ug/ml, 6h) cell lysate at 30 µg

Lane 4:

IP10 knockout A549 IFN-y (<a href='/en-us/products/proteins-peptides/recombinant-human-interferon-gamma-protein-active-ab259377'>ab259377</a>) (100ng/ml, 32h) and TNF-alpha (<a href='/en-us/products/proteins-peptides/recombinant-human-tnf-alpha-protein-active-ab259410'>ab259410</a>) (10ng/ml, 32h), and Brefeldin A (<a href='/en-us/products/biochemicals/brefeldin-a-inhibitor-of-adp-ribosylation-factor-ab120299'>ab120299</a>)-treated (5ug/ml for the last 6h) cell lysate at 30 µg

Lane 5:

THP-1 Brefeldin A (<a href='/en-us/products/biochemicals/brefeldin-a-inhibitor-of-adp-ribosylation-factor-ab120299'>ab120299</a>)-treated (5ug/ml, 6h) cell lysate at 30 µg

Lane 6:

THP-1 IFN-y (<a href='/en-us/products/proteins-peptides/recombinant-human-interferon-gamma-protein-active-ab259377'>ab259377</a>) (200ng/ml, 24h) and LPS (50ng/ml, 24h)-treated for 24 hours, and Brefeldin A (<a href='/en-us/products/biochemicals/brefeldin-a-inhibitor-of-adp-ribosylation-factor-ab120299'>ab120299</a>)-treated (5ug/ml for the last 6h) cell lysate at 30 µg

Predicted band size: 10 kDa

Observed band size: 11 kDa

false

Western blot - Anti-IP10 antibody [EPR20764] (AB214668)
  • WB

Lab

Western blot - Anti-IP10 antibody [EPR20764] (AB214668)

False colour image of Western blot : Anti-IP10 antibody [EPR20764] staining at 1/1000 dilution, shown in green; Mouse anti-Alpha Tubulin [DM1A] (ab7291) loading control staining at 1/20000 dilution, shown in red. In Western blot, ab214668 was shown to bind specifically to IP10. A band was observed at 11 kDa in wild-type A549 cell lysates with no signal observed at this size in CXCL10 knockout cell line ab266970 (knockout cell lysate ab256887). To generate this image, wild-type and CXCL10 knockout A549 cell lysates were analysed. First, samples were run on an SDS-PAGE gel then transferred onto a nitrocellulose membrane. Membranes were blocked in 3 % milk in TBS-0.1 % Tween® 20 (TBS-T) before incubation with primary antibodies overnight at 4 °C. Blots were washed four times in TBS-T, incubated with secondary antibodies for 1 h at room temperature, washed again four times then imaged. Secondary antibodies used were Goat anti-Rabbit IgG H&L (IRDye® 800CW) preabsorbed (ab216773) and Goat anti-Mouse IgG H&L (IRDye® 680RD) preabsorbed (ab216776) at 1/20000 dilution.

All lanes:

Western blot - Anti-IP10 antibody [EPR20764] (ab214668) at 1/1000 dilution

Lane 1:

Wild-type A549 Vehicle Control IFN-gamma (0 ng/mL, 32 h) + TNF-alpha (0 ng/mL, 32h) + BFA (0 u/mL, 6h) cell lysate at 20 µg

Lane 2:

Wild-type A549 Treated IFN-gamma (100 ng/mL, 32 h) + TNF-alpha (10 ng/mL, 32h) + BFA (5 u/mL, 6h) cell lysate at 20 µg

Lane 3:

CXCL10 knockout A549 Vehicle Control IFN-gamma (0 ng/mL, 32 h) + TNF-alpha (0 ng/mL, 32h) + BFA (0 u/mL, 6h) cell lysate at 20 µg

Lane 4:

CXCL10 knockout A549 Treated IFN-gamma (100 ng/mL, 32 h) + TNF-alpha (10 ng/mL, 32h) + BFA (5 u/mL, 6h) cell lysate at 20 µg

Predicted band size: 10 kDa

Observed band size: 11 kDa

false

Western blot - Anti-IP10 antibody [EPR20764] (AB214668)
  • WB

Lab

Western blot - Anti-IP10 antibody [EPR20764] (AB214668)

False colour image of Western blot : Anti-IP10 antibody [EPR20764] staining at 1/1000 dilution, shown in green; Mouse anti-Alpha Tubulin [DM1A] (ab7291) loading control staining at 1/20000 dilution, shown in red. In Western blot, ab214668 was shown to bind specifically to IP10. A band was observed at 11 kDa in treated wild-type THP-1 cell lysates with no signal observed at this size in treated CXCL10 knockout cell line ab277860 (knockout cell lysate ab283141). To generate this image, wild-type and CXCL10 knockout THP-1 cell lysates were analysed. First, samples were run on an SDS-PAGE gel then transferred onto a nitrocellulose membrane. Membranes were blocked in 3 % milk in TBS-0.1 % Tween® 20 (TBS-T) before incubation with primary antibodies overnight at 4°C. Blots were washed four times in TBS-T, incubated with secondary antibodies for 1 h at room temperature, washed again four times then imaged. Secondary antibodies used were Goat anti-Rabbit IgG H&L (IRDye® 800CW) preabsorbed (ab216773) and Goat anti-Mouse IgG H&L (IRDye® 680RD) preabsorbed (ab216776) at 1/20000 dilution.

All lanes:

Western blot - Anti-IP10 antibody [EPR20764] (ab214668) at 1/1000 dilution

Lane 1:

Wild-type THP-1 vehicle control IFNg (0 ng/ml, 32 h), TNF-alpha (0 ng/ml, 32 h), Brefeldin A (5 ug/ml, 6 h) cell lysate at 20 µg

Lane 2:

Wild-type THP-1 treated IFNg (100 ng/ml, 32 h), TNF-alpha (10 ng/ml, 32 h), Brefeldin A (5 ug/ml, 6 h) cell lysate at 20 µg

Lane 3:

CXCL10 knockout THP-1 vehicle control IFNg (0 ng/ml, 32 h), TNF-alpha (0 ng/ml, 32 h), Brefeldin A (5 ug/ml, 6 h) cell lysate at 20 µg

Lane 4:

CXCL10 knockout THP-1 treated IFN-gamma (100 ng/ml, 32 h), TNF-alpha (10 ng/ml, 32 h), Brefeldin A (5 ug/ml, 6 h) cell lysate at 20 µg

Predicted band size: 10 kDa

Observed band size: 11 kDa

false

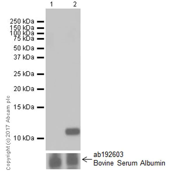
Western blot - Anti-IP10 antibody [EPR20764] (AB214668)
  • WB

Supplier Data

Western blot - Anti-IP10 antibody [EPR20764] (AB214668)

Blocking/Dilution buffer : 5% NFDM/TBST.

IP10 protein secretion can be induced by IFN-gamma treatment (PMID : 11907072).

All lanes:

Western blot - Anti-IP10 antibody [EPR20764] (ab214668) at 1/1000 dilution

Lane 1:

Untreated THP-1 (human monocytic leukemia cell line) culture supernatant at 15 µL

Lane 2:

THP-1 treated with 200 ng/ml interferon-gamma (IFN-gamma, <a href='/en-us/products/proteins-peptides/recombinant-human-interferon-gamma-protein-active-ab9659'>ab9659</a>) and 50 ng/ml lipopolysaccharides (LPS) for 24 hours, culture supernatant at 15 µL

Secondary

All lanes:

Western blot - Goat Anti-Rabbit IgG H&L (HRP) (<a href='/en-us/products/secondary-antibodies/goat-rabbit-igg-h-l-hrp-ab97051'>ab97051</a>) at 1/100000 dilution

Predicted band size: 10 kDa

Observed band size: 12 kDa

true

Exposure time: 15s

ELISA - Anti-IP10 antibody [EPR20764] (AB214668)
  • ELISA

Unknown

ELISA - Anti-IP10 antibody [EPR20764] (AB214668)

ELISA analysis of CXCL10 recombinant protein at 1000 ng/mL with ab214668. An Alkaline Phosphatase-conjugated AffiniPure Goat Anti-Rabbit IgG (H+L) at 1/2500 dilution was used as the secondary antibody.

  • Carrier free

    Anti-IP10 antibody [EPR20764] - BSA and Azide free

Key facts

Host species

Rabbit

Clonality

Monoclonal

Clone number

EPR20764

Isotype

IgG

Carrier free

No

Reacts with

Human

Applications

I-ELISA, WB

applications

Immunogen

The exact immunogen used to generate this antibody is proprietary information.

Reactivity data

{ "title": "Reactivity Data", "filters": { "stats": ["", "Species", "Dilution Info", "Notes"], "tabs": { "all-applications": {"fullname" : "All Applications", "shortname": "All Applications"}, "IELISA" : {"fullname" : "Indirect ELISA", "shortname":"I-ELISA"}, "WB" : {"fullname" : "Western blot", "shortname":"WB"} }, "product-promise": { "all": "all", "testedAndGuaranteed": "tested", "guaranteed": "expected", "predicted": "predicted", "notRecommended": "not-recommended" } }, "values": { "Human": { "IELISA-species-checked": "guaranteed", "IELISA-species-dilution-info": "", "IELISA-species-notes": "", "WB-species-checked": "testedAndGuaranteed", "WB-species-dilution-info": "1/1000", "WB-species-notes": "<p></p>" }, "Recombinant fragment - Human": { "IELISA-species-checked": "testedAndGuaranteed", "IELISA-species-dilution-info": "", "IELISA-species-notes": "<p></p>", "WB-species-checked": "notRecommended", "WB-species-dilution-info": "", "WB-species-notes": "" } } }

Product details

Species reactivity
Mouse, Rat: We have preliminary internal testing data to indicate this antibody may not react with these species.
Please contact us for more information.

Patented technology
Our RabMAb® technology is a patented hybridoma-based technology for making rabbit monoclonal antibodies. For details on our patents, please refer to RabMAb® patents.

What are the advantages of a recombinant monoclonal antibody?
This product is a recombinant monoclonal antibody, which offers several advantages including:

  • - High batch-to-batch consistency and reproducibility
  • - Improved sensitivity and specificity
  • - Long-term security of supply
  • - Animal-free batch production

For more information, read more on recombinant antibodies.

Properties and storage information

Form
Liquid
Purification technique
Affinity purification Protein A
Storage buffer
pH: 7.2 - 7.4 Preservative: 0.01% Sodium azide Constituents: PBS, 40% Glycerol (glycerin, glycerine), 0.05% BSA
Shipped at conditions
Blue Ice
Appropriate short-term storage duration
1-2 weeks
Appropriate short-term storage conditions
+4°C
Appropriate long-term storage conditions
-20°C
Aliquoting information
Upon delivery aliquot
Storage information
Avoid freeze / thaw cycle

Supplementary information

This supplementary information is collated from multiple sources and compiled automatically.

IP10 also known as CXCL10 is a small cytokine belonging to the CXC chemokine family. It has a molecular mass of approximately 8.7 kDa. IP10 is secreted by several cell types such as monocytes endothelial cells and fibroblasts in response to interferon-gamma (IFN-γ). This protein is involved in immune responses and exhibits various roles especially in chemoattracting cells. Researchers often measure IP10 concentrations using ELISA kits such as the IP-10 ELISA to study its expression levels in different biological contexts.
Biological function summary

IP10 plays a role in modulating the activities of immune cells. It attracts T cells eosinophils monocytes and natural killer (NK) cells by binding to the CXCR3 receptor. IP10 is not part of a larger complex but interacts with other cytokines to influence cell migration and the immune response. High levels of IP10 can reflect strong immune activation which is why it is often measured in inflammatory conditions using standard assays like the IP-10 ELISA kits.

Pathways

The role of IP10 lies within the Th1-type immune response pathway. In this pathway IP10 works alongside other chemokines to recruit and activate immune cells to sites of inflammation or infection. It synergizes with IFN-γ to propagate immune signals. IP10 is also linked with the CXCR3 receptor which plays a critical role in these pathways providing a connection to other proteins such as CXCL9 and CXCL11 which have similar functions in cell-mediated immunity.

IP10 is associated with conditions like multiple sclerosis and rheumatoid arthritis. Elevated IP10 levels often correlate with disease activity in these disorders making it a potential biomarker for disease progression. The protein interacts with other inflammatory mediators such as TNF-α in regulating immune activity within these disease contexts. IP10's involvement in recruiting immune cells contributes to the pathogenic inflammation observed in these conditions.

Product protocols

For this product, it's our understanding that no specific protocols are required. You can visit:

Target data

Pro-inflammatory cytokine that is involved in a wide variety of processes such as chemotaxis, differentiation, and activation of peripheral immune cells, regulation of cell growth, apoptosis and modulation of angiostatic effects (PubMed : 11157474, PubMed : 22652417, PubMed : 7540647). Plays thereby an important role during viral infections by stimulating the activation and migration of immune cells to the infected sites (By similarity). Mechanistically, binding of CXCL10 to the CXCR3 receptor activates G protein-mediated signaling and results in downstream activation of phospholipase C-dependent pathway, an increase in intracellular calcium production and actin reorganization (PubMed : 12750173, PubMed : 19151743). In turn, recruitment of activated Th1 lymphocytes occurs at sites of inflammation (PubMed : 12663757, PubMed : 12750173). Activation of the CXCL10/CXCR3 axis also plays an important role in neurons in response to brain injury for activating microglia, the resident macrophage population of the central nervous system, and directing them to the lesion site. This recruitment is an essential element for neuronal reorganization (By similarity).
See full target information CXCL10

Publications (4)

Recent publications for all applications. Explore the full list and refine your search

Stem cell reports 20:102610 PubMed40882638

2025

Inhibition of N-myristoyltransferase in pluripotent stem cells promotes the naive state in mice and elicits trophectoderm and primitive endoderm markers in humans.

Applications

Unspecified application

Species

Unspecified reactive species

Junko Yoshida,Hitomi Watanabe,Kaori Yamauchi,Takumi Nishikubo,Ayako Isotani,Satoshi Ohtsuka,Hitoshi Niwa,Yuki Kawamoto,Hidenori Akutsu,Akihiro Umezawa,Hirofumi Suemori,Yasuhiro Takashima,Hideo Matsuda,Gen Kondoh,Junji Takeda,Kyoji Horie

Journal for immunotherapy of cancer 12: PubMed38886114

2024

EBV promotes TCR-T-cell therapy resistance by inducing CD163+M2 macrophage polarization and MMP9 secretion.

Applications

Unspecified application

Species

Unspecified reactive species

Yuanyuan Chen,Dijun Ouyang,Yan Wang,Qiuzhong Pan,Jingjing Zhao,Hao Chen,Xinyi Yang,Yan Tang,Qijing Wang,Yongqiang Li,Jia He,Jin-Qi You,Yingzi Li,Chi Xu,Yan Ren,Sisi Xie,Song Li,Jiamin Lian,Desheng Weng,Tong Xiang,Jian-Chuan Xia

Gut microbes 15:2197836 PubMed37017266

2023

promotes esophageal squamous cell carcinoma progression and chemoresistance by enhancing the secretion of chemotherapy-induced senescence-associated secretory phenotype via activation of DNA damage response pathway.

Applications

Unspecified application

Species

Unspecified reactive species

Jian-Wei Zhang,Dan Zhang,Hai-Sen Yin,Han Zhang,Kun-Qiao Hong,Jing-Ping Yuan,Bao-Ping Yu

International journal of biological sciences 16:1388-1402 PubMed32210727

2020

The Role of CHK1 Varies with the Status of Oestrogen-receptor and Progesterone-receptor in the Targeted Therapy for Breast Cancer.

Applications

Unspecified application

Species

Unspecified reactive species

Wei Xu,Minghua Huang,Jia Guo,Huiting Zhang,Depeng Wang,Tiantian Liu,Haiting Liu,Shiming Chen,Peng Gao,Kun Mu
View all publications

Product promise

We are committed to supporting your work with high-quality reagents, and we're here for you every step of the way. In the unlikely event that one of our products does not perform as expected, you're protected by our Product Promise.
For full details, please see our Terms & Conditions

Please note: All products are 'FOR RESEARCH USE ONLY. NOT FOR USE IN DIAGNOSTIC OR THERAPEUTIC PROCEDURES'.

For licensing inquiries, please contact partnerships@abcam.com