JavaScript is disabled in your browser. Please enable JavaScript to view this website.
AB326046

Anti-IP10 antibody [EPR30290-10]

Be the first to review this product! Submit a review

|

(0 Publication)

Rabbit Recombinant Monoclonal IP10 antibody. Suitable for WB and reacts with Mouse samples.

View Alternative Names

Crg2, Ifi10, Inp10, Scyb10, Cxcl10, C-X-C motif chemokine 10, 10 kDa interferon gamma-induced protein, C7, Interferon-gamma induced protein CRG-2, Small-inducible cytokine B10, Gamma-IP10, IP-10

2 Images
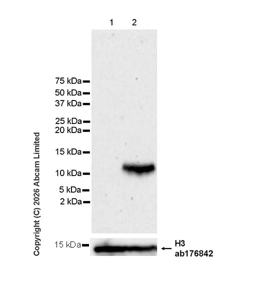
Western blot - Anti-IP10 antibody [EPR30290-10] (AB326046)
  • WB

Lab

Western blot - Anti-IP10 antibody [EPR30290-10] (AB326046)

Blocking and diluting buffer and concentration : 5% NFDM/TBST.

The expression of IP10 is upregulated in response to IFN-beta ( PMID : 36499241).

In Western blot, Anti-Histone H3 antibody [EPR16987] - Nuclear Marker and ChIP Grade (ab176842) 1 : 100000 (15Kda).

All lanes:

Western blot - Anti-IP10 antibody [EPR30290-10] (ab326046) at 1/1000 dilution

Lane 1:

Untreated Mouse bone marrow lysate at 80 µg

Lane 2:

Mouse bone marrow treated with 100ng/mL M-CSF for 6 days lysate at 80 µg

Lane 3:

Mouse bone marrow treated with 100ng/mL M-CSF for 6 days then serum starvation for 2 hours then treated with 50ng/mL IFN beta (Mouse) for 4 hours lysate at 80 µg

Secondary

All lanes:

Western blot - Goat Anti-Rabbit IgG H&L (HRP) (<a href='/en-us/products/secondary-antibodies/goat-rabbit-igg-h-l-hrp-ab97051'>ab97051</a>) at 1/20000 dilution

Observed band size: 10 kDa,15 kDa

false

Exposure time: 180s

Western blot - Anti-IP10 antibody [EPR30290-10] (AB326046)
  • WB

Lab

Western blot - Anti-IP10 antibody [EPR30290-10] (AB326046)

Blocking and diluting buffer and concentration : 5% NFDM/TBST.

The expression of IP10 is upregulated in response to mIFN-gamma and LPS treatment (PMID : 26892362).

In Western blot, Anti-Histone H3 antibody [EPR16987] - Nuclear Marker and ChIP Grade (ab176842) 1 : 100000 (15Kda).

All lanes:

Western blot - Anti-IP10 antibody [EPR30290-10] (ab326046) at 1/1000 dilution

Lane 1:

Untreated RAW 264.7 (mouse Abelson murine leukemia virus-induced tumor macrophage) whole cell lysate at 20 µg

Lane 2:

RAW 264.7 treated with 200ng/ml mIFN gamma and 50ng/ml LPS for 24 hours whole cell lysate at 20 µg

Secondary

All lanes:

Western blot - Goat Anti-Rabbit IgG H&L (HRP) (<a href='/en-us/products/secondary-antibodies/goat-rabbit-igg-h-l-hrp-ab97051'>ab97051</a>) at 1/20000 dilution

Observed band size: 10 kDa,15 kDa

false

Exposure time: 180s

Key facts

Host species

Rabbit

Clonality

Monoclonal

Clone number

EPR30290-10

Isotype

IgG

Carrier free

No

Reacts with

Mouse

Applications

WB

applications

Immunogen

The exact immunogen used to generate this antibody is proprietary information.

Reactivity data

{ "title": "Reactivity Data", "filters": { "stats": ["", "Species", "Dilution Info", "Notes"], "tabs": { "all-applications": {"fullname" : "All Applications", "shortname": "All Applications"}, "WB" : {"fullname" : "Western blot", "shortname":"WB"}, "FlowCytIntra" : {"fullname" : "Flow Cytometry (Intracellular)", "shortname":"Flow Cyt (Intra)"}, "ICCIF" : {"fullname" : "Immunocytochemistry/ Immunofluorescence", "shortname":"ICC/IF"}, "IHCP" : {"fullname" : "Immunohistochemistry (Formalin/PFA-fixed paraffin-embedded sections)", "shortname":"IHC-P"} }, "product-promise": { "all": "all", "testedAndGuaranteed": "tested", "guaranteed": "expected", "predicted": "predicted", "notRecommended": "not-recommended" } }, "values": { "Mouse": { "WB-species-checked": "testedAndGuaranteed", "WB-species-dilution-info": "1/1000", "WB-species-notes": "<p></p>", "FlowCytIntra-species-checked": "notRecommended", "FlowCytIntra-species-dilution-info": "", "FlowCytIntra-species-notes": "<p></p>", "ICCIF-species-checked": "notRecommended", "ICCIF-species-dilution-info": "", "ICCIF-species-notes": "<p></p>", "IHCP-species-checked": "notRecommended", "IHCP-species-dilution-info": "", "IHCP-species-notes": "<p></p>" } } }

Product details

Patented technology
Our RabMAb® technology is a patented hybridoma-based technology for making rabbit monoclonal antibodies. For details on our patents, please refer to RabMAb® patents.

What are the advantages of a recombinant monoclonal antibody?
This product is a recombinant monoclonal antibody, which offers several advantages including:

  • - High batch-to-batch consistency and reproducibility
  • - Improved sensitivity and specificity
  • - Long-term security of supply
  • - Animal-free batch production

For more information, read more on recombinant antibodies.

Properties and storage information

Form
Liquid
Purification technique
Affinity purification Protein A
Storage buffer
pH: 7.2 - 7.4 Preservative: 0.01% Sodium azide Constituents: PBS, 40% Glycerol (glycerin, glycerine), 0.05% BSA
Shipped at conditions
Blue Ice
Appropriate short-term storage duration
1-2 weeks
Appropriate short-term storage conditions
+4°C
Appropriate long-term storage conditions
-20°C
Aliquoting information
Upon delivery aliquot
Storage information
Avoid freeze / thaw cycle

Product protocols

For this product, it's our understanding that no specific protocols are required. You can visit:

Target data

Pro-inflammatory cytokine that is involved in a wide variety of processes such as chemotaxis, differentiation, and activation of peripheral immune cells, regulation of cell growth, apoptosis and modulation of angiostatic effects (By similarity) (PubMed : 28623423). Plays thereby an important role during viral infections by stimulating the activation and migration of immune cells to the infected sites (PubMed : 18624292, PubMed : 19017990, PubMed : 28468883). Mechanistically, binding of CXCL10 to the CXCR3 receptor activates G protein-mediated signaling and results in downstream activation of phospholipase C-dependent pathway, an increase in intracellular calcium production and actin reorganization. In turn, recruitment of activated Th1 lymphocytes occurs at sites of inflammation (By similarity). Activation of the CXCL10/CXCR3 axis also plays an important role in neurons in response to brain injury for activating microglia, the resident macrophage population of the central nervous system, and directing them to the lesion site. This recruitment is an essential element for neuronal reorganization (PubMed : 15456824).
See full target information Cxcl10

Product promise

We are committed to supporting your work with high-quality reagents, and we're here for you every step of the way. In the unlikely event that one of our products does not perform as expected, you're protected by our Product Promise.
For full details, please see our Terms & Conditions

Please note: All products are 'FOR RESEARCH USE ONLY. NOT FOR USE IN DIAGNOSTIC OR THERAPEUTIC PROCEDURES'.

For licensing inquiries, please contact partnerships@abcam.com