JavaScript is disabled in your browser. Please enable JavaScript to view this website.
AB5804

Anti-IP3 receptor antibody

5

(4 Reviews)

|

(100 Publications)

Anti-IP3 receptor antibody (ab5804) is a rabbit polyclonal antibody detecting IP3 receptor in IHC-P, ICC/IF. Suitable for Human, Rat.

- Over 70 publications
- Trusted since 2004

View Alternative Names

INSP3R1, ITPR1, IP3 receptor isoform 1, IP3R 1, InsP3R1, Type 1 InsP3 receptor

2 Images
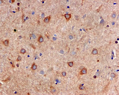
Immunohistochemistry (Formalin/PFA-fixed paraffin-embedded sections) - Anti-IP3 receptor antibody (AB5804)
  • IHC-P

Unknown

Immunohistochemistry (Formalin/PFA-fixed paraffin-embedded sections) - Anti-IP3 receptor antibody (AB5804)

IHC image of ab5804 staining in normal human hippocampus formalin fixed paraffin embedded tissue section, performed on a Leica BondTM system using the standard protocol F. The section was pre-treated using heat mediated antigen retrieval with sodium citrate buffer (pH6, epitope retrieval solution 1) for 20 mins. The section was then incubated with ab5804, 1µg/ml, for 15 mins at room temperature and detected using an HRP conjugated compact polymer system. DAB was used as the chromogen. The section was then counterstained with haematoxylin and mounted with DPX.

For other IHC staining systems (automated and non-automated) customers should optimize variable parameters such as antigen retrieval conditions, primary antibody concentration and antibody incubation times.

Immunocytochemistry/ Immunofluorescence - Anti-IP3 receptor antibody (AB5804)
  • ICC/IF

Supplier Data

Immunocytochemistry/ Immunofluorescence - Anti-IP3 receptor antibody (AB5804)

Shows immunolocalization of ITPR1 in rat cerebellum using ab5804.

Key facts

Host species

Rabbit

Clonality

Polyclonal

Isotype

IgG

Carrier free

No

Reacts with

Rat, Human

Applications

IHC-P, ICC/IF

applications

Immunogen

Synthetic Peptide within Human ITPR1 aa 1800-1850. The exact immunogen used to generate this antibody is proprietary information.

Q14643

Reactivity data

{ "title": "Reactivity Data", "filters": { "stats": ["", "Species", "Dilution Info", "Notes"], "tabs": { "all-applications": {"fullname" : "All Applications", "shortname": "All Applications"}, "IHCP" : {"fullname" : "Immunohistochemistry (Formalin/PFA-fixed paraffin-embedded sections)", "shortname":"IHC-P"}, "ICCIF" : {"fullname" : "Immunocytochemistry/ Immunofluorescence", "shortname":"ICC/IF"} }, "product-promise": { "all": "all", "testedAndGuaranteed": "tested", "guaranteed": "expected", "predicted": "predicted", "notRecommended": "not-recommended" } }, "values": { "Human": { "IHCP-species-checked": "testedAndGuaranteed", "IHCP-species-dilution-info": "1 µg/mL", "IHCP-species-notes": "<p></p>", "ICCIF-species-checked": "guaranteed", "ICCIF-species-dilution-info": "", "ICCIF-species-notes": "" }, "Rat": { "IHCP-species-checked": "guaranteed", "IHCP-species-dilution-info": "", "IHCP-species-notes": "", "ICCIF-species-checked": "testedAndGuaranteed", "ICCIF-species-dilution-info": "", "ICCIF-species-notes": "<p></p>" }, "Cow": { "IHCP-species-checked": "predicted", "IHCP-species-dilution-info": "", "IHCP-species-notes": "", "ICCIF-species-checked": "predicted", "ICCIF-species-dilution-info": "", "ICCIF-species-notes": "" } } }

Product details

What is this antibody validated in?
Anti-IP3 receptor antibody (ab5804) is a rabbit polyclonal antibody and is validated for use in Immunohistochemistry (IHC-P), Immunocytochemistry/immunofluorescence (ICC/IF) in Human, Rat samples.

Trusted by the scientific community
Anti-IP3 receptor (ab5804) was first used in a scientific publication in 2004 and has been cited over 70 times in peer-reviewed journals.

Properties and storage information

Form
Liquid
Purification technique
Affinity purification Immunogen
Storage buffer
Preservative: 0.05% Sodium azide Constituents: PBS, 0.1% BSA
Shipped at conditions
Blue Ice
Appropriate short-term storage duration
1-2 weeks
Appropriate short-term storage conditions
+4°C
Appropriate long-term storage conditions
-20°C
Aliquoting information
Upon delivery aliquot
Storage information
Avoid freeze / thaw cycle

Supplementary information

This supplementary information is collated from multiple sources and compiled automatically.

The IP3 receptor (IP3R) also known as inositol 145-trisphosphate receptor functions as a ligand-gated calcium channel. It plays a major role in calcium release from the endoplasmic reticulum into the cytoplasm. The IP3 receptor has a molecular mass of approximately 313 kDa. IP3 receptor expression is extensive found in various tissues including the brain liver and smooth muscle cells. It is an essential component of intracellular calcium signaling mechanisms directly activated by IP3 a secondary messenger molecule.
Biological function summary

IP3 receptor involves in various cellular processes by mediating intracellular calcium release. Upon binding of IP3 produced by phospholipase C catalysis of PIP2 the channel opens to allow calcium ions to flow into the cytosol. The IP3 receptor forms a tetrameric complex essential for its function. This complex is vital for responses in signal transduction pathways affecting T-cell activation muscle contraction and neurotransmitter release.

Pathways

IP3 receptor is central to calcium signaling and interacts with the IP3 pathway modulating cellular activities in response to different stimuli. The interaction with proteins such as TRPC3 a transient receptor potential channel integrates calcium influx. IP3 receptor also participates in the calcium/calmodulin-dependent protein kinase (CaMK) pathway impacting phosphorylation events in the cell.

Dysregulation of IP3 receptor function associates with neurodegenerative diseases such as Alzheimer's Disease due to calcium homeostasis disruption. The receptor also connects to heart diseases where abnormal calcium signaling can lead to arrhythmic conditions. The interaction between the IP3 receptor and other proteins like ryanodine receptors may exacerbate these conditions influencing cellular calcium dynamics in pathological states.

Product protocols

For this product, it's our understanding that no specific protocols are required. You can visit:

Target data

Inositol 1,4,5-trisphosphate-gated calcium channel that, upon inositol 1,4,5-trisphosphate binding, mediates calcium release from the endoplasmic reticulum (ER) (PubMed : 10620513, PubMed : 27108797). Undergoes conformational changes upon ligand binding, suggesting structural flexibility that allows the channel to switch from a closed state, capable of interacting with its ligands such as 1,4,5-trisphosphate and calcium, to an open state, capable of transferring calcium ions across the ER membrane (By similarity). Cytoplasmic calcium released from the ER triggers apoptosis by the activation of CAMK2 complex (By similarity). Involved in the regulation of epithelial secretion of electrolytes and fluid through the interaction with AHCYL1 (By similarity). Part of a complex composed of HSPA9, ITPR1 and VDAC1 that regulates mitochondrial calcium-dependent apoptosis by facilitating calcium transport from the ER lumen to the mitochondria intermembrane space thus providing calcium for the downstream calcium channel MCU that directly releases it into mitochondria matrix (By similarity). Regulates fertilization and egg activation by tuning the frequency and amplitude of calcium oscillations (By similarity).
See full target information ITPR1

Publications (100)

Recent publications for all applications. Explore the full list and refine your search

International journal of molecular medicine 56: PubMed41041839

2025

Changes in the endoplasmic reticulum‑mitochondria communication in dermal fibroblasts from early‑stage bipolar disorder patients: Skin‑brain axis as a new route to understand the pathophysiology of mental illness?

Applications

Unspecified application

Species

Unspecified reactive species

Ana Catarina Pereira,Ana Patrícia Marques,Rosa Resende,Laura Serrano-Cuñarro,Margarida Caldeira,Tânia Fernandes,Mariana Batista,António Macedo,Joana Barbosa De Melo,Nuno Madeira,Cláudia Cavadas,Maria Teresa Cruz,Cláudia Fragão Pereira

International journal of molecular sciences 26: PubMed41009339

2025

NeuroDecon: A Neural Network-Based Method for Three-Dimensional Deconvolution of Fluorescent Microscopic Images.

Applications

Unspecified application

Species

Unspecified reactive species

Alexander Sachuk,Ekaterina Volkova,Anastasiya Rakovskaya,Vyacheslav Chukanov,Ekaterina Pchitskaya

Cells 14: PubMed40940813

2025

Autism Spectrum Disorder Induced Pluripotent Stem Cells Display Dysregulated Calcium Signaling During Neural Differentiation.

Applications

Unspecified application

Species

Unspecified reactive species

Abdullah J AlShawaf,Sarah A AlNassar,Norah AlGhamdi,Cristiana Mattei,Shiang Y Lim,Mirella Dottori,Futwan A Al-Mohanna

Cell communication and signaling : CCS 23:166 PubMed40176126

2025

Restoration of Miro1's N-terminal GTPase function alleviates prenatal stress-induced mitochondrial fission via Drp1 modulation.

Applications

Unspecified application

Species

Unspecified reactive species

Gee Euhn Choi,Ji Yong Park,Mo Ran Park,Chang Woo Chae,Young Hyun Jung,Jae Ryong Lim,Jee Hyeon Yoon,Ji Hyeon Cho,Ho Jae Han

The Journal of cell biology 224: PubMed40116769

2025

STIM1/2 maintain signaling competence at ER-PM contact sites during neutrophil spreading.

Applications

Unspecified application

Species

Unspecified reactive species

Camille Rabesahala de Meritens,Amado Carreras-Sureda,Nicolas Rosa,Robert Pick,Christoph Scheiermann,Nicolas Demaurex

Acta neuropathologica communications 13:21 PubMed39893487

2025

Kaempferol enhances ER-mitochondria coupling and protects motor neurons from mitochondrial dysfunction and ER stress in C9ORF72-ALS.

Applications

Unspecified application

Species

Unspecified reactive species

Federica Pilotto,Paulien Hermine Smeele,Olivier Scheidegger,Rim Diab,Martina Schobesberger,Julieth Andrea Sierra-Delgado,Smita Saxena

Nature communications 16:459 PubMed39779704

2025

Dual-targeting CRISPR-CasRx reduces C9orf72 ALS/FTD sense and antisense repeat RNAs in vitro and in vivo.

Applications

Unspecified application

Species

Unspecified reactive species

Liam Kempthorne,Deniz Vaizoglu,Alexander J Cammack,Mireia Carcolé,Martha J Roberts,Alla Mikheenko,Alessia Fisher,Pacharaporn Suklai,Bhavana Muralidharan,François Kroll,Thomas G Moens,Lidia Yshii,Stijn Verschoren,Benedikt V Hölbling,Francisco C Moreira,Eszter Katona,Rachel Coneys,Paula de Oliveira,Yong-Jie Zhang,Karen Jansen,Lillian M Daughrity,Alexander McGown,Tennore M Ramesh,Ludo Van Den Bosch,Gabriele Lignani,Ahad A Rahim,Alyssa N Coyne,Leonard Petrucelli,Jason Rihel,Adrian M Isaacs

Current protocols 4:e70061 PubMed39641661

2024

Generate and Analyze Three-Dimensional Dendritic Spine Morphology Datasets With SpineTool Software.

Applications

Unspecified application

Species

Unspecified reactive species

Anita Ustinova,Ekaterina Volkova,Anastasiya Rakovskaya,Daria Smirnova,Olesya Korovina,Ekaterina Pchitskaya

Clinics (Sao Paulo, Brazil) 79:100485 PubMed39316895

2024

Exploration of the mechanism underlying the therapeutic effect of electroacupuncture at chengshan acupoint on post-hemorrhoidectomy anal pain: Insights from the mAChRs/IP3-Ca-CaM signaling pathway.

Applications

Unspecified application

Species

Unspecified reactive species

Yang Song,Yang Wang,Ming Li,Yujuan Wang,Tianshu Xu

iScience 27:110683 PubMed39252960

2024

Spastin regulates ER-mitochondrial contact sites and mitochondrial homeostasis.

Applications

Unspecified application

Species

Unspecified reactive species

Amelie Raby,Sonia Missiroli,Peggy Sanatine,Dominique Langui,Julien Pansiot,Nissai Beaude,Lucie Vezzana,Rachelle Saleh,Martina Marinello,Mireille Laforge,Paolo Pinton,Ana Buj-Bello,Andrea Burgo
View all publications

Product promise

We are committed to supporting your work with high-quality reagents, and we're here for you every step of the way. In the unlikely event that one of our products does not perform as expected, you're protected by our Product Promise.
For full details, please see our Terms & Conditions

Please note: All products are 'FOR RESEARCH USE ONLY. NOT FOR USE IN DIAGNOSTIC OR THERAPEUTIC PROCEDURES'.

For licensing inquiries, please contact partnerships@abcam.com