JavaScript is disabled in your browser. Please enable JavaScript to view this website.
AB248112

Anti-IP3 receptor antibody [EPR4536] - BSA and Azide free

Be the first to review this product! Submit a review

|

(1 Publication)

Rabbit Recombinant Monoclonal IP3 receptor antibody. Carrier free. Suitable for IHC-P, WB, Flow Cyt (Intra) and reacts with Human samples. Cited in 1 publication.

View Alternative Names

INSP3R1, ITPR1, IP3 receptor isoform 1, IP3R 1, InsP3R1, Type 1 InsP3 receptor

4 Images
Flow Cytometry (Intracellular) - Anti-IP3 receptor antibody [EPR4536] - BSA and Azide free (AB248112)
  • Flow Cyt (Intra)

Lab

Flow Cytometry (Intracellular) - Anti-IP3 receptor antibody [EPR4536] - BSA and Azide free (AB248112)

This data was developed using ab125076, the same antibody clone in a different buffer formulation.

Flow Cytometry analysis of SH-SY5Y (Human neuroblastoma epithelial cell) cells labeling IP3 receptor with purified ab125076 at 1/500 dilution (1 μg/mL) (Red). Cells were fixed with 4% Paraformaldehyde and permeabilised with 90% Methanol. A Goat anti rabbit IgG (Alexa Fluor® 488, ab150077) secondary antibody was used at 1/2000. Isotype control - Rabbit monoclonal IgG (Black). Unlabeled control - Cell without incubation with primary antibody and secondary antibody (Blue).

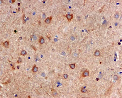
Immunohistochemistry (Formalin/PFA-fixed paraffin-embedded sections) - Anti-IP3 receptor antibody [EPR4536] - BSA and Azide free (AB248112)
  • IHC-P

Unknown

Immunohistochemistry (Formalin/PFA-fixed paraffin-embedded sections) - Anti-IP3 receptor antibody [EPR4536] - BSA and Azide free (AB248112)

This data was developed using ab125076, the same antibody clone in a different buffer formulation.

ab125076, at 1/50, staining ITPR1 in paraffin-embedded Human brain tissue by immunohistochemistry. Perform heat mediated antigen retrieval with citrate buffer pH 6 before commencing with IHC staining protocol.

Western blot - Anti-IP3 receptor antibody [EPR4536] - BSA and Azide free (AB248112)
  • WB

Lab

Western blot - Anti-IP3 receptor antibody [EPR4536] - BSA and Azide free (AB248112)

This data was developed using ab125076, the same antibody clone in a different buffer formulation.

Lane 1 : Wild-type HAP1 cell lysate (20 μg)

Lane 2 : IP3 receptor knockout HAP1 cell lysate (20 μg)

Lane 3 : Human brain tissue lysate (20 μg)

Lane 4 : SH-SY5Y cell lysate (20 μg)

Lanes 1 - 4 : Merged signal (red and green). Green - ab125076 observed at 270 kDa. Red - loading control, ab18058, observed at 124 kDa.

ab125076 was shown to specifically recognize IP3 receptor in wild-type HAP1 cells along with additional cross-reactive bands. No band was observed when IP3 receptor knockout samples were examined. Wild-type and IP3 receptor knockout samples were subjected to SDS-PAGE. ab125076 and ab18058 (loading control to Vinculin) were diluted 1/1000 and 1/10,000 respectively and incubated overnight at 4°C. Blots were developed with Goat anti-Rabbit IgG H&L (IRDye® 800CW) preadsorbed (ab216773) and Goat anti-Mouse IgG H&L (IRDye® 680RD) preadsorbed (ab216776) secondary antibodies at 1/10,000 dilution for 1 hour at room temperature before imaging.

All lanes:

Western blot - Anti-IP3 receptor antibody [EPR4536] (<a href='/en-us/products/primary-antibodies/ip3-receptor-antibody-epr4536-ab125076'>ab125076</a>)

Predicted band size: 24 kDa,314 kDa,70 kDa

Observed band size: 60-65 kDa

false

Western blot - Anti-IP3 receptor antibody [EPR4536] - BSA and Azide free (AB248112)
  • WB

Unknown

Western blot - Anti-IP3 receptor antibody [EPR4536] - BSA and Azide free (AB248112)

This data was developed using ab125076, the same antibody clone in a different buffer formulation.

All lanes:

Western blot - Anti-IP3 receptor antibody [EPR4536] (<a href='/en-us/products/primary-antibodies/ip3-receptor-antibody-epr4536-ab125076'>ab125076</a>) at 1/1000 dilution

Lane 1:

SH-SY5Y cell lysate at 10 µg

Lane 2:

HeLa cell lysate at 10 µg

Lane 3:

HuT78 cell lysate at 10 µg

Secondary

All lanes:

Goat anti-Rabbit HRP at 1/2000 dilution

Predicted band size: 314 kDa

false

Key facts

Host species

Rabbit

Clonality

Monoclonal

Clone number

EPR4536

Isotype

IgG

Carrier free

Yes

Reacts with

Human

Applications

IHC-P, Flow Cyt (Intra), WB

applications

Immunogen

The exact immunogen used to generate this antibody is proprietary information.

Reactivity data

{ "title": "Reactivity Data", "filters": { "stats": ["", "Species", "Dilution Info", "Notes"], "tabs": { "all-applications": {"fullname" : "All Applications", "shortname": "All Applications"}, "IHCP" : {"fullname" : "Immunohistochemistry (Formalin/PFA-fixed paraffin-embedded sections)", "shortname":"IHC-P"}, "IP" : {"fullname" : "Immunoprecipitation", "shortname":"IP"}, "WB" : {"fullname" : "Western blot", "shortname":"WB"}, "FlowCytIntra" : {"fullname" : "Flow Cytometry (Intracellular)", "shortname":"Flow Cyt (Intra)"} }, "product-promise": { "all": "all", "testedAndGuaranteed": "tested", "guaranteed": "expected", "predicted": "predicted", "notRecommended": "not-recommended" } }, "values": { "Human": { "IHCP-species-checked": "testedAndGuaranteed", "IHCP-species-dilution-info": "", "IHCP-species-notes": "<p></p>", "IP-species-checked": "notRecommended", "IP-species-dilution-info": "", "IP-species-notes": "<p></p>", "WB-species-checked": "testedAndGuaranteed", "WB-species-dilution-info": "", "WB-species-notes": "<p></p>", "FlowCytIntra-species-checked": "testedAndGuaranteed", "FlowCytIntra-species-dilution-info": "", "FlowCytIntra-species-notes": "<p></p>" }, "Mouse": { "IHCP-species-checked": "notRecommended", "IHCP-species-dilution-info": "", "IHCP-species-notes": "<p></p>", "IP-species-checked": "notRecommended", "IP-species-dilution-info": "", "IP-species-notes": "<p></p>", "WB-species-checked": "notRecommended", "WB-species-dilution-info": "", "WB-species-notes": "<p></p>", "FlowCytIntra-species-checked": "notRecommended", "FlowCytIntra-species-dilution-info": "", "FlowCytIntra-species-notes": "<p></p>" }, "Rat": { "IHCP-species-checked": "notRecommended", "IHCP-species-dilution-info": "", "IHCP-species-notes": "<p></p>", "IP-species-checked": "notRecommended", "IP-species-dilution-info": "", "IP-species-notes": "<p></p>", "WB-species-checked": "notRecommended", "WB-species-dilution-info": "", "WB-species-notes": "<p></p>", "FlowCytIntra-species-checked": "notRecommended", "FlowCytIntra-species-dilution-info": "", "FlowCytIntra-species-notes": "<p></p>" } } }

Product details

ab248112 is the carrier-free version of ab125076.

Patented technology
Our RabMAb® technology is a patented hybridoma-based technology for making rabbit monoclonal antibodies. For details on our patents, please refer to RabMAb® patents.

What are the advantages of a recombinant monoclonal antibody?
This product is a recombinant monoclonal antibody, which offers several advantages including:

  • - High batch-to-batch consistency and reproducibility
  • - Improved sensitivity and specificity
  • - Long-term security of supply
  • - Animal-free batch production

For more information, read more on recombinant antibodies.

Conjugation ready
Our carrier-free antibodies are typically supplied in a PBS-only formulation, purified and free of BSA, sodium azide and glycerol. This conjugation-ready format is designed for use with fluorochromes, metal isotopes, oligonucleotides, and enzymes, which makes them ideal for antibody labelling, functional and cell-based assays, flow-based assays (e.g. mass cytometry) and Multiplex Imaging applications.

Use our conjugation kits for antibody conjugates that are ready-to-use in as little as 20 minutes with 1 minute hands-on-time and 100% antibody recovery: available for fluorescent dyes, HRP, biotin and gold.

Compatibility
This product is compatible with the Maxpar® Antibody Labeling Kit from Fluidigm, without the need for antibody preparation. Maxpar® is a trademark of Fluidigm Canada Inc.

Properties and storage information

Form
Liquid
Purification technique
Affinity purification Protein A
Storage buffer
pH: 7.2 - 7.4 Constituents: PBS
Shipped at conditions
Blue Ice
Appropriate short-term storage conditions
+4°C
Appropriate long-term storage conditions
+4°C
Storage information
Do Not Freeze

Supplementary information

This supplementary information is collated from multiple sources and compiled automatically.

The IP3 receptor (IP3R) also known as inositol 145-trisphosphate receptor functions as a ligand-gated calcium channel. It plays a major role in calcium release from the endoplasmic reticulum into the cytoplasm. The IP3 receptor has a molecular mass of approximately 313 kDa. IP3 receptor expression is extensive found in various tissues including the brain liver and smooth muscle cells. It is an essential component of intracellular calcium signaling mechanisms directly activated by IP3 a secondary messenger molecule.
Biological function summary

IP3 receptor involves in various cellular processes by mediating intracellular calcium release. Upon binding of IP3 produced by phospholipase C catalysis of PIP2 the channel opens to allow calcium ions to flow into the cytosol. The IP3 receptor forms a tetrameric complex essential for its function. This complex is vital for responses in signal transduction pathways affecting T-cell activation muscle contraction and neurotransmitter release.

Pathways

IP3 receptor is central to calcium signaling and interacts with the IP3 pathway modulating cellular activities in response to different stimuli. The interaction with proteins such as TRPC3 a transient receptor potential channel integrates calcium influx. IP3 receptor also participates in the calcium/calmodulin-dependent protein kinase (CaMK) pathway impacting phosphorylation events in the cell.

Dysregulation of IP3 receptor function associates with neurodegenerative diseases such as Alzheimer's Disease due to calcium homeostasis disruption. The receptor also connects to heart diseases where abnormal calcium signaling can lead to arrhythmic conditions. The interaction between the IP3 receptor and other proteins like ryanodine receptors may exacerbate these conditions influencing cellular calcium dynamics in pathological states.

Product protocols

For this product, it's our understanding that no specific protocols are required. You can visit:

Target data

Inositol 1,4,5-trisphosphate-gated calcium channel that, upon inositol 1,4,5-trisphosphate binding, mediates calcium release from the endoplasmic reticulum (ER) (PubMed : 10620513, PubMed : 27108797). Undergoes conformational changes upon ligand binding, suggesting structural flexibility that allows the channel to switch from a closed state, capable of interacting with its ligands such as 1,4,5-trisphosphate and calcium, to an open state, capable of transferring calcium ions across the ER membrane (By similarity). Cytoplasmic calcium released from the ER triggers apoptosis by the activation of CAMK2 complex (By similarity). Involved in the regulation of epithelial secretion of electrolytes and fluid through the interaction with AHCYL1 (By similarity). Part of a complex composed of HSPA9, ITPR1 and VDAC1 that regulates mitochondrial calcium-dependent apoptosis by facilitating calcium transport from the ER lumen to the mitochondria intermembrane space thus providing calcium for the downstream calcium channel MCU that directly releases it into mitochondria matrix (By similarity). Regulates fertilization and egg activation by tuning the frequency and amplitude of calcium oscillations (By similarity).
See full target information ITPR1

Publications (1)

Recent publications for all applications. Explore the full list and refine your search

International journal of molecular sciences 23: PubMed35269806

2022

Modulation of Gut Microbiota Combined with Upregulation of Intestinal Tight Junction Explains Anti-Inflammatory Effect of Corylin on Colitis-Associated Cancer in Mice.

Applications

Unspecified application

Species

Unspecified reactive species

Zi-Yu Chang,Hsuan-Miao Liu,Yann-Lii Leu,Chung-Hua Hsu,Tzung-Yan Lee
View all publications

Product promise

We are committed to supporting your work with high-quality reagents, and we're here for you every step of the way. In the unlikely event that one of our products does not perform as expected, you're protected by our Product Promise.
For full details, please see our Terms & Conditions

Please note: All products are 'FOR RESEARCH USE ONLY. NOT FOR USE IN DIAGNOSTIC OR THERAPEUTIC PROCEDURES'.

For licensing inquiries, please contact partnerships@abcam.com