JavaScript is disabled in your browser. Please enable JavaScript to view this website.
AB238170

Anti-IP6K1 (phospho S118 + S121) antibody [EPR19852] - BSA and Azide free

Be the first to review this product! Submit a review

|

(0 Publication)

Rabbit Recombinant Monoclonal IP6K1 phospho S118 + S121 antibody. Carrier free. Suitable for IP, Dot, WB and reacts with Human, Synthetic peptide, Transfected cell lysate - Human samples.

View Alternative Names

IHPK1, KIAA0263, IP6K1, Inositol hexakisphosphate kinase 1, InsP6 kinase 1, Inositol hexaphosphate kinase 1

3 Images
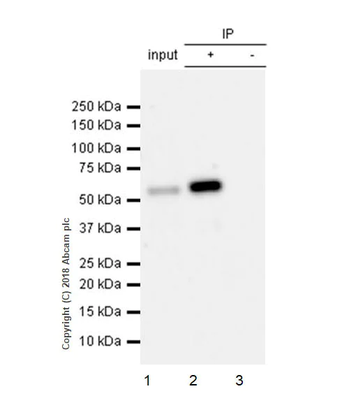
Immunoprecipitation - Anti-IP6K1 (phospho S118 + S121) antibody [EPR19852] - BSA and Azide free (AB238170)
  • IP

Unknown

Immunoprecipitation - Anti-IP6K1 (phospho S118 + S121) antibody [EPR19852] - BSA and Azide free (AB238170)

IP6K1 (phospho S118 + S121) was immunoprecipitated from 0.35 mg MOLT-4 (human lymphoblastic leukemia cell line) whole cell lysate with ab214816 at 1/30 dilution. Western blot was performed from the immunoprecipitate using ab214816 at 1/1000 dilution. VeriBlot for IP Detection Reagent (HRP) (ab131366), was used for detection at 1/5000 dilution.

Lane 1 : MOLT-4 whole cell lysate 10 μg (Input).
Lane 2 : ab214816 IP in MOLT-4 whole cell lysate (+).
Lane 3 : Rabbit monoclonal IgG (ab172730) instead of ab214816 in MOLT-4 whole cell lysate (-).

Blocking/Dilution buffer and concentration : 5% NFDM/TBST.

Exposure time : 1 minute.

This data was developed using the same antibody clone in a different buffer formulation containing PBS, BSA, glycerol, and sodium azide (ab214816).

All lanes:

Immunoprecipitation - Anti-IP6K1 (phospho S118 + S121) antibody [EPR19852] (<a href='/en-us/products/primary-antibodies/ip6k1-phospho-s118-s121-antibody-epr19852-ab214816'>ab214816</a>)

Predicted band size: 50 kDa

Observed band size: 52 kDa

false

Western blot - Anti-IP6K1 (phospho S118 + S121) antibody [EPR19852] - BSA and Azide free (AB238170)
  • WB

Supplier Data

Western blot - Anti-IP6K1 (phospho S118 + S121) antibody [EPR19852] - BSA and Azide free (AB238170)

Blocking/diluting buffer : 5% NFDM/TBST.

The band at approximately 30 kDa likely represents degradation fragments of IP6K1 (pS118 and pS121) protein.

The plasmids were kindly provided by our collaborator Dr. Feng Rao NIBS.

This data was developed using the same antibody clone in a different buffer formulation containing PBS, BSA, glycerol, and sodium azide (ab214816).

All lanes:

Western blot - Anti-IP6K1 (phospho S118 + S121) antibody [EPR19852] - BSA and Azide free (ab238170) at 1/10000 dilution

Lane 1:

HEK-293T (human epithelial cell line from embryonic kidney transformed with large T antigen) transfected with a His-tagged human IP6K1 (WT) expression vector, whole cell lysate at 10 µg

Lane 2:

HEK-293T transfected with a His-tagged human IP6K1 (WT) expression vector, whole cell lysate. The WB membrane was treated with alkaline phosphatase for 1h at 37°C at 10 µg

Lane 3:

HEK-293T transfected with a His-tagged human IP6K1 S118A+S121A mutant expression vector, whole cell lysate at 10 µg

Secondary

All lanes:

Western blot - Goat Anti-Rabbit IgG H&L (HRP) (<a href='/en-us/products/secondary-antibodies/goat-rabbit-igg-h-l-hrp-ab97051'>ab97051</a>) at 1/100000 dilution

Predicted band size: 50 kDa

Observed band size: 52 kDa

false

Exposure time: 26s

Dot Blot - Anti-IP6K1 (phospho S118 + S121) antibody [EPR19852] - BSA and Azide free (AB238170)
  • Dot

Unknown

Dot Blot - Anti-IP6K1 (phospho S118 + S121) antibody [EPR19852] - BSA and Azide free (AB238170)

Dot blot analysis of IP6K1 (phospho S118 + S121) labeled with ab214816 at 1/1000 dilution. Goat Anti-Rabbit IgG H&L (HRP) (ab97051) secondary antibody was used at 1/100,000 dilution..

Lane 1 : IP6K1 (phospho S118 + S121) peptide (aa114-125).

Lane 2 : IP6K1 (phospho S118 + S121) peptide (aa116-127).

Lane 3 : IP6K1 (phospho S118) peptide (aa114-127).

Lane 4 : IP6K1 (phospho S121) peptide (aa114-127).

Lane 5 : IP6K1 non-phospho peptide (aa114-127).

Exposure time : 58 seconds.

Blocking/Dilution buffer and concentration : 5% NFDM/TBST.

This data was developed using the same antibody clone in a different buffer formulation containing PBS, BSA, glycerol, and sodium azide (ab214816).

Key facts

Host species

Rabbit

Clonality

Monoclonal

Clone number

EPR19852

Isotype

IgG

Carrier free

Yes

Reacts with

Human

Applications

IP, WB, Dot

applications

Immunogen

The exact immunogen used to generate this antibody is proprietary information.

Reactivity data

{ "title": "Reactivity Data", "filters": { "stats": ["", "Species", "Dilution Info", "Notes"], "tabs": { "all-applications": {"fullname" : "All Applications", "shortname": "All Applications"}, "IP" : {"fullname" : "Immunoprecipitation", "shortname":"IP"}, "Dot" : {"fullname" : "Dot Blot", "shortname":"Dot"}, "WB" : {"fullname" : "Western blot", "shortname":"WB"} }, "product-promise": { "all": "all", "testedAndGuaranteed": "tested", "guaranteed": "expected", "predicted": "predicted", "notRecommended": "not-recommended" } }, "values": { "Human": { "IP-species-checked": "testedAndGuaranteed", "IP-species-dilution-info": "", "IP-species-notes": "<p></p>", "Dot-species-checked": "guaranteed", "Dot-species-dilution-info": "", "Dot-species-notes": "", "WB-species-checked": "testedAndGuaranteed", "WB-species-dilution-info": "", "WB-species-notes": "<p></p>" }, "Synthetic peptide": { "IP-species-checked": "notRecommended", "IP-species-dilution-info": "", "IP-species-notes": "", "Dot-species-checked": "testedAndGuaranteed", "Dot-species-dilution-info": "", "Dot-species-notes": "<p></p>", "WB-species-checked": "notRecommended", "WB-species-dilution-info": "", "WB-species-notes": "" }, "Transfected cell lysate - Human": { "IP-species-checked": "notRecommended", "IP-species-dilution-info": "", "IP-species-notes": "", "Dot-species-checked": "notRecommended", "Dot-species-dilution-info": "", "Dot-species-notes": "", "WB-species-checked": "testedAndGuaranteed", "WB-species-dilution-info": "", "WB-species-notes": "<p></p>" } } }

Product details

ab238170 is the carrier-free version of ab214816.

Patented technology
Our RabMAb® technology is a patented hybridoma-based technology for making rabbit monoclonal antibodies. For details on our patents, please refer to RabMAb® patents.

What are the advantages of a recombinant monoclonal antibody?
This product is a recombinant monoclonal antibody, which offers several advantages including:

  • - High batch-to-batch consistency and reproducibility
  • - Improved sensitivity and specificity
  • - Long-term security of supply
  • - Animal-free batch production

For more information, read more on recombinant antibodies.

Conjugation ready
Our carrier-free antibodies are typically supplied in a PBS-only formulation, purified and free of BSA, sodium azide and glycerol. This conjugation-ready format is designed for use with fluorochromes, metal isotopes, oligonucleotides, and enzymes, which makes them ideal for antibody labelling, functional and cell-based assays, flow-based assays (e.g. mass cytometry) and Multiplex Imaging applications.

Use our conjugation kits for antibody conjugates that are ready-to-use in as little as 20 minutes with 1 minute hands-on-time and 100% antibody recovery: available for fluorescent dyes, HRP, biotin and gold.

Compatibility
This product is compatible with the Maxpar® Antibody Labeling Kit from Fluidigm, without the need for antibody preparation. Maxpar® is a trademark of Fluidigm Canada Inc.

Properties and storage information

Form
Liquid
Purification technique
Affinity purification Protein A
Storage buffer
pH: 7.2 - 7.4 Constituents: PBS
Shipped at conditions
Blue Ice
Appropriate short-term storage conditions
+4°C
Appropriate long-term storage conditions
+4°C
Storage information
Do Not Freeze

Supplementary information

This supplementary information is collated from multiple sources and compiled automatically.

The protein inositol hexakisphosphate kinase 1 (IP6K1) also known as IHPK1 plays an important mechanical role in cellular signaling. It catalyzes the conversion of inositol hexakisphosphate (IP6) to diphosphoinositol pentakisphosphate (IP7). IP6K1 has a molecular mass of approximately 48 kDa. It is expressed in various tissues including the brain testis and pancreas where it is involved in multiple cellular processes.
Biological function summary

IP6K1 influences several critical cell functions such as energy metabolism cell migration and apoptosis. It also participates in the regulation of insulin secretion. IP6K1 does not primarily form part of a complex; however it interacts with proteins that impact these biological functions. Its role in metabolism and signaling pathways marks it as a significant contributor to maintaining cellular homeostasis.

Pathways

IP6K1 plays a part in the inositol phosphate metabolism and insulin signaling pathways. Within these pathways IP6K1 interacts closely with proteins such as Akt mTOR and other kinases modulating their activities. These interactions affect cellular energy status and influence growth factor signaling pathways impacting numerous downstream biological processes.

IP6K1's activity links it to conditions such as type 2 diabetes and obesity. In type 2 diabetes IP6K1 interacts with insulin-signaling proteins affecting glucose homeostasis and insulin sensitivity. The protein's role in obesity relates to its influence on energy metabolism as it can impact energy expenditure and fat storage with potential interactions involving with proteins like leptin and AMPK.

Product protocols

For this product, it's our understanding that no specific protocols are required. You can visit:

Target data

Converts inositol hexakisphosphate (InsP6) to diphosphoinositol pentakisphosphate (InsP7/PP-InsP5). Converts 1,3,4,5,6-pentakisphosphate (InsP5) to PP-InsP4.
See full target information IP6K1 phospho S118 + S121

Product promise

We are committed to supporting your work with high-quality reagents, and we're here for you every step of the way. In the unlikely event that one of our products does not perform as expected, you're protected by our Product Promise.
For full details, please see our Terms & Conditions

Please note: All products are 'FOR RESEARCH USE ONLY. NOT FOR USE IN DIAGNOSTIC OR THERAPEUTIC PROCEDURES'.

For licensing inquiries, please contact partnerships@abcam.com