JavaScript is disabled in your browser. Please enable JavaScript to view this website.
AB251133

Anti-IPP antibody [EPR15575] - BSA and Azide free

Be the first to review this product! Submit a review

|

(0 Publication)

Rabbit Recombinant Monoclonal IPP antibody. Carrier free. Suitable for WB, IHC-P and reacts with Human, Mouse, Rat samples.

View Alternative Names

KLHL27, IPP, Actin-binding protein IPP, Intracisternal A particle-promoted polypeptide, Kelch-like protein 27

4 Images
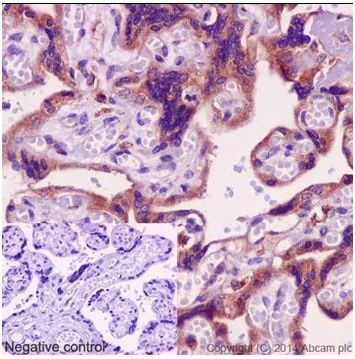
Immunohistochemistry (Formalin/PFA-fixed paraffin-embedded sections) - Anti-IPP antibody [EPR15575] - BSA and Azide free (AB251133)
  • IHC-P

Supplier Data

Immunohistochemistry (Formalin/PFA-fixed paraffin-embedded sections) - Anti-IPP antibody [EPR15575] - BSA and Azide free (AB251133)

This data was developed using ab192266, the same antibody clone in a different buffer formulation.

Immunohistochemical analysis of paraffin-embedded Human placenta tissue labeling IPP with ab192266 at 1/100 dilution, followed by prediluted HRP Polymer for Rabbit/Mouse IgG. Counter stained with Hematoxylin. Negative control also shown.

Perform heat mediated antigen retrieval with Tris/EDTA buffer pH 9.0 before commencing with IHC staining protocol.

Immunohistochemistry (Formalin/PFA-fixed paraffin-embedded sections) - Anti-IPP antibody [EPR15575] - BSA and Azide free (AB251133)
  • IHC-P

Supplier Data

Immunohistochemistry (Formalin/PFA-fixed paraffin-embedded sections) - Anti-IPP antibody [EPR15575] - BSA and Azide free (AB251133)

This data was developed using ab192266, the same antibody clone in a different buffer formulation.

Immunohistochemical analysis of paraffin-embedded Mouse kidney tissue labeling IPP with ab192266 at 1/100 dilution, followed by prediluted HRP Polymer for Rabbit/Mouse IgG. Counter stained with Hematoxylin. Negative control also shown.

Perform heat mediated antigen retrieval with Tris/EDTA buffer pH 9.0 before commencing with IHC staining protocol.

Western blot - Anti-IPP antibody [EPR15575] - BSA and Azide free (AB251133)
  • WB

Supplier Data

Western blot - Anti-IPP antibody [EPR15575] - BSA and Azide free (AB251133)

This data was developed using ab192266, the same antibody clone in a different buffer formulation.

All lanes:

Western blot - Anti-IPP antibody [EPR15575] (<a href='/en-us/products/primary-antibodies/ipp-antibody-epr15575-ab192266'>ab192266</a>) at 1/1000 dilution

Lane 1:

HepG2 cell lysate at 20 µg

Lane 2:

Jurkat cell lysate at 20 µg

Lane 3:

Human testis tissue lysate at 20 µg

Secondary

All lanes:

Goat Anti-Rabbit IgG, (H+L), Peroxidase conjugated at 1/1000 dilution

Predicted band size: 65 kDa

Observed band size: 65 kDa

false

Western blot - Anti-IPP antibody [EPR15575] - BSA and Azide free (AB251133)
  • WB

Supplier Data

Western blot - Anti-IPP antibody [EPR15575] - BSA and Azide free (AB251133)

This data was developed using ab192266, the same antibody clone in a different buffer formulation.

Blocking and dilution buffer : 5% NFDM/TBST.

All lanes:

Western blot - Anti-IPP antibody [EPR15575] (<a href='/en-us/products/primary-antibodies/ipp-antibody-epr15575-ab192266'>ab192266</a>) at 1/1000 dilution

Lane 1:

Mouse brain tissue lysate at 10 µg

Lane 2:

Mouse heart tissue lysate at 10 µg

Lane 3:

Mouse kidney tissue lysate at 10 µg

Lane 4:

Rat heart tissue lysate at 10 µg

Lane 5:

Rat kidney tissue lysate at 10 µg

Secondary

All lanes:

Goat Anti-Rabbit IgG, (H+L), Peroxidase conjugated at 1/1000 dilution

Predicted band size: 65 kDa

Observed band size: 65 kDa

false

Key facts

Host species

Rabbit

Clonality

Monoclonal

Clone number

EPR15575

Isotype

IgG

Carrier free

Yes

Reacts with

Mouse, Rat, Human

Applications

WB, IHC-P

applications

Immunogen

The exact immunogen used to generate this antibody is proprietary information.

Reactivity data

{ "title": "Reactivity Data", "filters": { "stats": ["", "Species", "Dilution Info", "Notes"], "tabs": { "all-applications": {"fullname" : "All Applications", "shortname": "All Applications"}, "WB" : {"fullname" : "Western blot", "shortname":"WB"}, "IHCP" : {"fullname" : "Immunohistochemistry (Formalin/PFA-fixed paraffin-embedded sections)", "shortname":"IHC-P"} }, "product-promise": { "all": "all", "testedAndGuaranteed": "tested", "guaranteed": "expected", "predicted": "predicted", "notRecommended": "not-recommended" } }, "values": { "Human": { "WB-species-checked": "testedAndGuaranteed", "WB-species-dilution-info": "", "WB-species-notes": "<p></p>", "IHCP-species-checked": "testedAndGuaranteed", "IHCP-species-dilution-info": "", "IHCP-species-notes": "<p></p>" }, "Mouse": { "WB-species-checked": "testedAndGuaranteed", "WB-species-dilution-info": "", "WB-species-notes": "<p></p>", "IHCP-species-checked": "testedAndGuaranteed", "IHCP-species-dilution-info": "", "IHCP-species-notes": "<p></p>" }, "Rat": { "WB-species-checked": "testedAndGuaranteed", "WB-species-dilution-info": "", "WB-species-notes": "<p></p>", "IHCP-species-checked": "guaranteed", "IHCP-species-dilution-info": "", "IHCP-species-notes": "" } } }

Product details

ab251133 is the carrier-free version of ab192266.

Patented technology
Our RabMAb® technology is a patented hybridoma-based technology for making rabbit monoclonal antibodies. For details on our patents, please refer to RabMAb® patents.

What are the advantages of a recombinant monoclonal antibody?
This product is a recombinant monoclonal antibody, which offers several advantages including:

  • - High batch-to-batch consistency and reproducibility
  • - Improved sensitivity and specificity
  • - Long-term security of supply
  • - Animal-free batch production

For more information, read more on recombinant antibodies.

Conjugation ready
Our carrier-free antibodies are typically supplied in a PBS-only formulation, purified and free of BSA, sodium azide and glycerol. This conjugation-ready format is designed for use with fluorochromes, metal isotopes, oligonucleotides, and enzymes, which makes them ideal for antibody labelling, functional and cell-based assays, flow-based assays (e.g. mass cytometry) and Multiplex Imaging applications.

Use our conjugation kits for antibody conjugates that are ready-to-use in as little as 20 minutes with 1 minute hands-on-time and 100% antibody recovery: available for fluorescent dyes, HRP, biotin and gold.

Compatibility
This product is compatible with the Maxpar® Antibody Labeling Kit from Fluidigm, without the need for antibody preparation. Maxpar® is a trademark of Fluidigm Canada Inc.

Properties and storage information

Form
Liquid
Purification technique
Affinity purification Protein A
Storage buffer
pH: 7.2 - 7.4 Constituents: PBS
Shipped at conditions
Blue Ice
Appropriate short-term storage conditions
+4°C
Appropriate long-term storage conditions
+4°C
Storage information
Do Not Freeze

Supplementary information

This supplementary information is collated from multiple sources and compiled automatically.

The molecule isopentenyl pyrophosphate (IPP) sometimes referred to as isopentenyl diphosphate serves as an important intermediate in the biosynthesis of terpenes and isoprenoids. IPP a small molecule with a molecular mass of 246.1 g/mol participates in various enzymatic reactions within the mevalonate pathway. This pathway occurs in the cytosol of eukaryotic cells and the peroxisomes in plants. In terms of its expression while IPP is not a protein or gene with specific expression levels the enzymes related to its synthesis and utilization show varying activity across different tissues.
Biological function summary

IPP functions as a precursor for various essential isoprenoid compounds encompassing sterols dolichols and ubiquinones. It acts within a network of enzymes converting basic building blocks into complex molecules that maintain cell membranes and facilitate electron transport. These reactions often involve enzyme complexes like synthases that regulate the flow of intermediates. Moreover IPP plays a substantial role in the synthesis of other molecules like cholesterol and steroid hormones reflecting its broad biological influence.

Pathways

IPP engages prominently in the mevalonate and the methylerythritol phosphate (MEP) pathways. The mevalonate pathway produces isoprenoids which are vital for cell growth and development. Within these pathways IPP can interconvert with dimethylallyl pyrophosphate (DMAPP) another critical molecule. Enzymes like HMG-CoA reductase and isopentenyl-diphosphate isomerase control these reactions linking IPP to key biological pathways involved in metabolic regulation and cellular differentiation.

IPP's significance links to disorders related to cholesterol metabolism and immune system dysregulation. Defects in the mevalonate pathway associate with diseases like mevalonate kinase deficiency influencing levels of inflammatory proteins. Moreover IPP accumulation can activate immune cells through the recognition by Vγ9/Vδ2 T-cells implicating it in conditions such as autoimmunity or inflammation. This connection highlights the consequence of IPP in understanding metabolic and immune-related disorders.

Product protocols

For this product, it's our understanding that no specific protocols are required. You can visit:

Target data

May play a role in organizing the actin cytoskeleton.
See full target information IPP

Product promise

We are committed to supporting your work with high-quality reagents, and we're here for you every step of the way. In the unlikely event that one of our products does not perform as expected, you're protected by our Product Promise.
For full details, please see our Terms & Conditions

Please note: All products are 'FOR RESEARCH USE ONLY. NOT FOR USE IN DIAGNOSTIC OR THERAPEUTIC PROCEDURES'.

For licensing inquiries, please contact partnerships@abcam.com