JavaScript is disabled in your browser. Please enable JavaScript to view this website.
AB86064

Anti-IQGAP1 antibody

5

(7 Reviews)

|

(17 Publications)

Rabbit Polyclonal IQGAP1 antibody. Suitable for IP, WB, IHC-P and reacts with Human samples. Cited in 17 publications. Immunogen corresponding to Synthetic Peptide within Human IQGAP1 aa 1-50.

View Alternative Names

KIAA0051, IQGAP1, Ras GTPase-activating-like protein IQGAP1, p195

5 Images
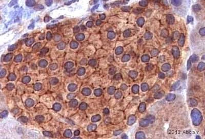
Immunohistochemistry (Formalin/PFA-fixed paraffin-embedded sections) - Anti-IQGAP1 antibody (AB86064)
  • IHC-P

AbReview28933****

Immunohistochemistry (Formalin/PFA-fixed paraffin-embedded sections) - Anti-IQGAP1 antibody (AB86064)

ab86064 staining IQGAP1 in human pacreatic islets by Immunohistochemistry (Formalin/PFA-fixed paraffin-embedded sections).

Tissue was fixed in paraformaldehyde and a heat mediated antigen retrieval step was performed using citrate. Samples were then blocked with 5% serum for 1 hour at 20°C and then incubated with ab86064 at a 1/100 dilution for 8 hours at 4°C. The secondary used was a biotin conjugated goat anti-rabbit polyclonal used at a 1/1000 dilution.

Image courtesy of an anonymous Abreview.

Immunohistochemistry (Formalin/PFA-fixed paraffin-embedded sections) - Anti-IQGAP1 antibody (AB86064)
  • IHC-P

Supplier Data

Immunohistochemistry (Formalin/PFA-fixed paraffin-embedded sections) - Anti-IQGAP1 antibody (AB86064)

Immunohistochemistry (Formalin/PFA-fixed paraffin-embedded sections) analysis of human breast carcinoma tissue labelling IQGAP1 with ab86064 at 1/1000 (0.2µg/ml) and 1/200 (1µg/ml). Detection : DAB and a DyLight® 594-conjugated goat anti-rabbit IgG (H+L) (1/100).

Immunoprecipitation - Anti-IQGAP1 antibody (AB86064)
  • IP

Unknown

Immunoprecipitation - Anti-IQGAP1 antibody (AB86064)

Detection of IQGAP1 by Western Blot of Immunprecipitate.
ab86064 at 0.4µg/ml staining IQGAP1 in HeLa whole cell lysate immunoprecipitated using ab86064 at 3µg/mg lysate (1 mg/IP; 20% of IP loaded/lane).
Detection : Chemiluminescence with exposure time of 10 seconds.

All lanes:

Immunoprecipitation - Anti-IQGAP1 antibody (ab86064)

Predicted band size: 189 kDa

false

Western blot - Anti-IQGAP1 antibody (AB86064)
  • WB

Unknown

Western blot - Anti-IQGAP1 antibody (AB86064)

All lanes:

Western blot - Anti-IQGAP1 antibody (ab86064) at 0.04 µg/mL

Lane 1:

HeLa whole cell lysate at 50 µg

Lane 2:

HeLa whole cell lysate at 15 µg

Lane 3:

HeLa whole cell lysate at 5 µg

Lane 4:

293T whole cell lysate at 50 µg

Predicted band size: 189 kDa

Observed band size: 189 kDa,238 kDa

false

Exposure time: 10s

Western blot - Anti-IQGAP1 antibody (AB86064)
  • WB

CiteAb

Western blot - Anti-IQGAP1 antibody (AB86064)

IQGAP1 western blot using anti-IQGAP1 antibody ab86064. Publication image and figure legend from Zheng, X., Hu, X., et al., 2019, Int J Med Sci, PubMed 31523178.

ab86064 was used in this publication in western blot. This may not be the same as the application(s) guaranteed by Abcam. For a full list of applications guaranteed by Abcam for ab86064 please see the product overview.

Imatinib attenuated vascular smooth muscle cell phenotype switching to a migration state by IQGAP1. (A), The changes of α-SMA and SM22 expression were mediated by imatinib. Quantification of α-SMA is shown in A1; ** : P<0.01, CULSMC Control vs CULSMC LPS, ## : P<0.01, CULSMC LPS vs SMCs were treated with LPS and imatinib in co-culture system (CULSMC LPS + imatinib). Quantification of SM22 expression is shown in A2; * : P<0.05, CULSMC Control vs CULSMC LPS, # : P<0.05, CULSMC LPS vs CULSMC LPS + imatinib; (B) LPS induced an increase in the migration ability of SMCs in the co-culture system were attenuated by imatinib. Quantification of B is shown in B1, ** : P<0.01, CULSMC Control vs CULSMC LPS, ## : P<0.01, CULSMC LPS vs CULSMC LPS + imatinib; (C) The change of IQGAP1 expression was mediated by imatinib. Quantification of IQGAP1 is shown in C1; ** : P<0.01, CULSMC Control vs CULSMC LPS, ## : P<0.01, CULSMC LPS vs CULSMC LPS + imatinib.

false

Key facts

Host species

Rabbit

Clonality

Polyclonal

Isotype

IgG

Carrier free

No

Reacts with

Human

Applications

IHC-P, IP, WB

applications

Immunogen

Synthetic Peptide within Human IQGAP1 aa 1-50. The exact immunogen used to generate this antibody is proprietary information.

P46940

Reactivity data

{ "title": "Reactivity Data", "filters": { "stats": ["", "Species", "Dilution Info", "Notes"], "tabs": { "all-applications": {"fullname" : "All Applications", "shortname": "All Applications"}, "IP" : {"fullname" : "Immunoprecipitation", "shortname":"IP"}, "WB" : {"fullname" : "Western blot", "shortname":"WB"}, "IHCP" : {"fullname" : "Immunohistochemistry (Formalin/PFA-fixed paraffin-embedded sections)", "shortname":"IHC-P"} }, "product-promise": { "all": "all", "testedAndGuaranteed": "tested", "guaranteed": "expected", "predicted": "predicted", "notRecommended": "not-recommended" } }, "values": { "Human": { "IP-species-checked": "testedAndGuaranteed", "IP-species-dilution-info": "2-5 µg/mg of lysate", "IP-species-notes": "<p></p>", "WB-species-checked": "testedAndGuaranteed", "WB-species-dilution-info": "1/2000 - 1/10000", "WB-species-notes": "<p></p>", "IHCP-species-checked": "testedAndGuaranteed", "IHCP-species-dilution-info": "", "IHCP-species-notes": "<p></p>" }, "Chimpanzee": { "IP-species-checked": "predicted", "IP-species-dilution-info": "", "IP-species-notes": "", "WB-species-checked": "predicted", "WB-species-dilution-info": "", "WB-species-notes": "", "IHCP-species-checked": "predicted", "IHCP-species-dilution-info": "", "IHCP-species-notes": "" }, "Elephant": { "IP-species-checked": "predicted", "IP-species-dilution-info": "", "IP-species-notes": "", "WB-species-checked": "predicted", "WB-species-dilution-info": "", "WB-species-notes": "", "IHCP-species-checked": "predicted", "IHCP-species-dilution-info": "", "IHCP-species-notes": "" }, "Ferret": { "IP-species-checked": "predicted", "IP-species-dilution-info": "", "IP-species-notes": "", "WB-species-checked": "predicted", "WB-species-dilution-info": "", "WB-species-notes": "", "IHCP-species-checked": "predicted", "IHCP-species-dilution-info": "", "IHCP-species-notes": "" }, "Gorilla": { "IP-species-checked": "predicted", "IP-species-dilution-info": "", "IP-species-notes": "", "WB-species-checked": "predicted", "WB-species-dilution-info": "", "WB-species-notes": "", "IHCP-species-checked": "predicted", "IHCP-species-dilution-info": "", "IHCP-species-notes": "" }, "Rhesus monkey": { "IP-species-checked": "predicted", "IP-species-dilution-info": "", "IP-species-notes": "", "WB-species-checked": "predicted", "WB-species-dilution-info": "", "WB-species-notes": "", "IHCP-species-checked": "predicted", "IHCP-species-dilution-info": "", "IHCP-species-notes": "" } } }

Properties and storage information

Form
Liquid
Purification technique
Affinity purification Immunogen
Purification notes
ab86064 was affinity purified using an epitope specific to IQGAP1 immobilized on solid suppo
Storage buffer
pH: 6.8 - 7.4 Preservative: 0.09% Sodium azide Constituents: Tris buffered saline, 0.1% BSA
Shipped at conditions
Blue Ice
Appropriate short-term storage conditions
+4°C
Appropriate long-term storage conditions
+4°C
Aliquoting information
Upon delivery aliquot
Storage information
Avoid freeze / thaw cycle

Supplementary information

This supplementary information is collated from multiple sources and compiled automatically.

IQGAP1 also known as IQ motif containing GTPase activating protein 1 acts as a scaffold protein that interacts with several signaling molecules. It weighs approximately 189 kDa. This protein is expressed in various tissues but shows high expression in the brain liver and kidney. IQGAP1 contains multiple domains including four IQ motifs that bind to calmodulin and a Rho GTPase-activating protein-related domain that mediates interactions with GTPases.
Biological function summary

IQGAP1 plays a critical role in cytoskeletal organization cell adhesion and intracellular signaling. It participates in the formation of multiprotein complexes facilitating communication and structural integrity within the cell. IQGAP1 stabilizes the actin cytoskeleton and affects cell motility and polarity. It interacts with proteins such as E-cadherin and beta-catenin affecting cell-cell adhesion and signal transduction.

Pathways

IQGAP1 integrates signals from different pathways including the MAPK/ERK and Wnt pathways. It modulates the MAPK pathway by interacting with Raf and MEK kinases impacting cell proliferation and differentiation. In the Wnt signaling pathway IQGAP1 binds to APC and beta-catenin regulating gene transcription related to cell growth and division. These interactions highlight its role in coordinating cellular responses to various external signals.

IQGAP1 has associations with cancer and neurological disorders. In cancer alterations in IQGAP1 expression or function can lead to abnormal cell growth and metastasis due to disrupted signaling pathways like MAPK. Mutations and dysregulation of proteins such as Ras and beta-catenin commonly interact with IQGAP1 in oncogenic contexts. In neurological disorders its interaction with the actin cytoskeleton and signaling proteins can affect synapse formation and function with links to conditions such as schizophrenia and Alzheimer's disease.

Product protocols

For this product, it's our understanding that no specific protocols are required. You can visit:

Target data

Plays a crucial role in regulating the dynamics and assembly of the actin cytoskeleton. Recruited to the cell cortex by interaction with ILK which allows it to cooperate with its effector DIAPH1 to locally stabilize microtubules and allow stable insertion of caveolae into the plasma membrane (By similarity). Binds to activated CDC42 but does not stimulate its GTPase activity. Associates with calmodulin. May promote neurite outgrowth (PubMed : 15695813). May play a possible role in cell cycle regulation by contributing to cell cycle progression after DNA replication arrest (PubMed : 20883816).
See full target information IQGAP1

Publications (17)

Recent publications for all applications. Explore the full list and refine your search

Molecular metabolism 101:102238 PubMed40907945

2025

Apolipoprotein E receptor 2 in endothelium promote glucose tolerance by mediating insulin delivery to skeletal muscle.

Applications

Unspecified application

Species

Unspecified reactive species

Anastasia Sacharidou,Ken L Chambliss,Jun Peng,Keiji Tanigaki,Md Nurul Islam,Shashank Sirsi,Andrew Lemoff,Kenneth Hoyt,Chieko Mineo,Philip W Shaul

Oncogene 44:3831-3849 PubMed40830657

2025

Wnt target IQGAP3 promotes Wnt signaling via disrupting Axin1-CK1α interaction.

Applications

Unspecified application

Species

Unspecified reactive species

Muhammad Bakhait Rahmat,Aashiq Hussain,Yu Xuan Teh,Bibek Dutta,Sumedha Pundrik,Dennis Kappei,Yoshiaki Ito

Cell reports 44:115237 PubMed39883578

2025

G3BP1 ribonucleoprotein complexes regulate focal adhesion protein mobility and cell migration.

Applications

Unspecified application

Species

Unspecified reactive species

Liana C Boraas,Mengwei Hu,Pieter Martino,Lauren Thornton,Charles E Vejnar,Gang Zhen,Longhui Zeng,Dylan M Parker,Andy L Cox,Antonio J Giraldez,Xiaolei Su,Christine Mayr,Siyuan Wang,Stefania Nicoli

Cancers 16: PubMed38791874

2024

Pepsinogen C Interacts with IQGAP1 to Inhibit the Metastasis of Gastric Cancer Cells by Suppressing Rho-GTPase Pathway.

Applications

Unspecified application

Species

Unspecified reactive species

Hanxi Ding,Yingnan Liu,Xiaodong Lu,Aoran Liu,Qian Xu,Yuan Yuan

eLife 12: PubMed37787041

2023

Integrin β4 promotes DNA damage-related drug resistance in triple-negative breast cancer via TNFAIP2/IQGAP1/RAC1.

Applications

Unspecified application

Species

Unspecified reactive species

Huan Fang,Wenlong Ren,Qiuxia Cui,Huichun Liang,Chuanyu Yang,Wenjing Liu,Xinye Wang,Xue Liu,Yujie Shi,Jing Feng,Ceshi Chen

Clinical and translational medicine 11:e352 PubMed33783988

2021

AMD1 upregulates hepatocellular carcinoma cells stemness by FTO mediated mRNA demethylation.

Applications

Unspecified application

Species

Unspecified reactive species

Xinyu Bian,Dongmin Shi,Kailin Xing,Hongxin Zhou,Lili Lu,Dahai Yu,Weizhong Wu

British journal of cancer 123:1154-1163 PubMed32632148

2020

IQGAP1 promotes anoikis resistance and metastasis through Rac1-dependent ROS accumulation and activation of Src/FAK signalling in hepatocellular carcinoma.

Applications

Unspecified application

Species

Unspecified reactive species

Chun-Fen Mo,Jun Li,Shu-Xia Yang,Hui-Jie Guo,Yang Liu,Xing-Yan Luo,Yan-Tang Wang,Min-Hui Li,Jing-Yi Li,Qiang Zou

The Journal of biological chemistry 294:16198-16213 PubMed31515267

2019

Ligand-dependent spatiotemporal signaling profiles of the μ-opioid receptor are controlled by distinct protein-interaction networks.

Applications

Unspecified application

Species

Unspecified reactive species

Srgjan Civciristov,Cheng Huang,Bonan Liu,Elsa A Marquez,Arisbel B Gondin,Ralf B Schittenhelm,Andrew M Ellisdon,Meritxell Canals,Michelle L Halls

International journal of medical sciences 16:1149-1156 PubMed31523178

2019

The phenotype of vascular smooth muscle cells co-cultured with endothelial cells is modulated by PDGFR-β/IQGAP1 signaling in LPS-induced intravascular injury.

Applications

Unspecified application

Species

Unspecified reactive species

Xia Zheng,Xiaotong Hu,Wang Zhang

Science signaling 12: PubMed31040262

2019

CD13 tethers the IQGAP1-ARF6-EFA6 complex to the plasma membrane to promote ARF6 activation, β1 integrin recycling, and cell migration.

Applications

Unspecified application

Species

Unspecified reactive species

Mallika Ghosh,Robin Lo,Ivan Ivic,Brian Aguilera,Veneta Qendro,Charan Devarakonda,Linda H Shapiro
View all publications

Product promise

We are committed to supporting your work with high-quality reagents, and we're here for you every step of the way. In the unlikely event that one of our products does not perform as expected, you're protected by our Product Promise.
For full details, please see our Terms & Conditions

Please note: All products are 'FOR RESEARCH USE ONLY. NOT FOR USE IN DIAGNOSTIC OR THERAPEUTIC PROCEDURES'.

For licensing inquiries, please contact partnerships@abcam.com