JavaScript is disabled in your browser. Please enable JavaScript to view this website.
AB133490

Anti-IQGAP1 antibody [EPR5220]

Be the first to review this product! Submit a review

|

(16 Publications)

Rabbit Recombinant Monoclonal IQGAP1 antibody. Suitable for IHC-P, WB, ICC/IF, Flow Cyt (Intra) and reacts with Human, Mouse samples. Cited in 16 publications.

View Alternative Names

KIAA0051, IQGAP1, Ras GTPase-activating-like protein IQGAP1, p195

5 Images
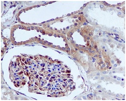
Immunohistochemistry (Formalin/PFA-fixed paraffin-embedded sections) - Anti-IQGAP1 antibody [EPR5220] (AB133490)
  • IHC-P

Unknown

Immunohistochemistry (Formalin/PFA-fixed paraffin-embedded sections) - Anti-IQGAP1 antibody [EPR5220] (AB133490)

Immunohistochemical analysis of IQGAP1 in paraffin embedded Human kidney tissue using ab133490 at a dilution of 1/100.

Perform heat mediated antigen retrieval with citrate buffer pH 6 before commencing with IHC staining protocol.

Flow Cytometry (Intracellular) - Anti-IQGAP1 antibody [EPR5220] (AB133490)
  • Flow Cyt (Intra)

Lab

Flow Cytometry (Intracellular) - Anti-IQGAP1 antibody [EPR5220] (AB133490)

Intracellular Flow Cytometry analysis of HeLa (human cervix adenocarcinoma) cells labeling IQGAP1 with unpurified ab133490 at 1/20 dilution (10ug/ml) (red). Cells were fixed with 4% paraformaldehyde and permeabilised with 90% methanol. A Goat anti rabbit IgG (Alexa Fluor® 488) (1/2000 dilution) was used as the secondary antibody. Rabbit monoclonal IgG (Black) was used as the isotype control, cells without incubation with primary antibody and secondary antibody (Blue) were used as the unlabeled control.

Immunocytochemistry/ Immunofluorescence - Anti-IQGAP1 antibody [EPR5220] (AB133490)
  • ICC/IF

Unknown

Immunocytochemistry/ Immunofluorescence - Anti-IQGAP1 antibody [EPR5220] (AB133490)

Immunocytochemistry/Immunofluorescence analysis of HeLa (Human epithelial cell line from cervix adenocarcinoma) labeling IQGAP1 with Purified ab133490 at 1/500 dilution (5 μg/ml). Cells were fixed with 100% methanol. ab150077 Goat anti rabbit IgG(Alexa Fluor® 488) at 1/1000 dilution was used as the secondary antibody. Nuclei were counterstained with DAPI. PBS was used instead of the primary antibody as the negative control.

Western blot - Anti-IQGAP1 antibody [EPR5220] (AB133490)
  • WB

Lab

Western blot - Anti-IQGAP1 antibody [EPR5220] (AB133490)

Lane 1 : Wild-type HAP1 cell lysate (20 μg)
Lane 2 : IQGAP knockout HAP1 cell lysate (20 μg)
Lane 3 : HeLa cell lysate (20 μg)
Lane 4 : HEK293 cell lysate (20 μg)
Lanes 1 - 4 : Merged signal (red and green). Green - ab133490 observed at 190 kDa. Red - loading control, ab7291, observed at 52 kDa.
ab133490 was shown to specifically react with IQGAP1 when IQGAP1 knockout samples were used. Wild-type and IQGAP1 knockout samples were subjected to SDS-PAGE. ab133490 and ab7291 (loading control to alpha tubulin) were diluted 1/1000 and 1/2000 and incubated overnight at 4°C. Blots were developed with Goat anti-Rabbit IgG H&L (IRDye® 800CW) preadsorbed (ab216773) and Goat anti-Mouse IgG H&L (IRDye® 680RD) preadsorbed (ab216776) secondary antibodies at 1/10 000 dilution for 1 h at room temperature before imaging.

All lanes:

Western blot - Anti-IQGAP1 antibody [EPR5220] (ab133490)

Predicted band size: 189 kDa

false

Western blot - Anti-IQGAP1 antibody [EPR5220] (AB133490)
  • WB

Unknown

Western blot - Anti-IQGAP1 antibody [EPR5220] (AB133490)

All lanes:

Western blot - Anti-IQGAP1 antibody [EPR5220] (ab133490) at 1/1000 dilution

Lane 1:

HeLa cell lysate at 10 µg

Lane 2:

293T cell lysate at 10 µg

Lane 3:

Human placenta lysate at 10 µg

Lane 4:

Mouse thymus lysate at 10 µg

Lane 5:

F9 cell lysate at 10 µg

Secondary

All lanes:

HRP labelled goat anti-rabbit at 1/2000 dilution

Predicted band size: 189 kDa

Observed band size: 195 kDa

false

  • Carrier free

    Anti-IQGAP1 antibody [EPR5220] - BSA and Azide free

  • 565 Alexa Fluor® 555

    Alexa Fluor® 555 Anti-IQGAP1 antibody [EPR5220]

  • 578 PE

    PE Anti-IQGAP1 antibody [EPR5220]

  • 660 APC

    APC Anti-IQGAP1 antibody [EPR5220]

  • HRP

    HRP Anti-IQGAP1 antibody [EPR5220]

  • 665 Alexa Fluor® 647

    Alexa Fluor® 647 Anti-IQGAP1 antibody [EPR5220]

  • 603 Alexa Fluor® 568

    Alexa Fluor® 568 Anti-IQGAP1 antibody [EPR5220]

  • 617 Alexa Fluor® 594

    Alexa Fluor® 594 Anti-IQGAP1 antibody [EPR5220]

  • Carrier free

    Anti-IQGAP1 antibody [EPR5220] - Low endotoxin, Azide free

Key facts

Host species

Rabbit

Clonality

Monoclonal

Clone number

EPR5220

Isotype

IgG

Carrier free

No

Reacts with

Mouse, Human

Applications

Flow Cyt (Intra), WB, IHC-P, ICC/IF

applications

Immunogen

The exact immunogen used to generate this antibody is proprietary information.

Reactivity data

{ "title": "Reactivity Data", "filters": { "stats": ["", "Species", "Dilution Info", "Notes"], "tabs": { "all-applications": {"fullname" : "All Applications", "shortname": "All Applications"}, "IHCP" : {"fullname" : "Immunohistochemistry (Formalin/PFA-fixed paraffin-embedded sections)", "shortname":"IHC-P"}, "IP" : {"fullname" : "Immunoprecipitation", "shortname":"IP"}, "WB" : {"fullname" : "Western blot", "shortname":"WB"}, "ICCIF" : {"fullname" : "Immunocytochemistry/ Immunofluorescence", "shortname":"ICC/IF"}, "FlowCytIntra" : {"fullname" : "Flow Cytometry (Intracellular)", "shortname":"Flow Cyt (Intra)"} }, "product-promise": { "all": "all", "testedAndGuaranteed": "tested", "guaranteed": "expected", "predicted": "predicted", "notRecommended": "not-recommended" } }, "values": { "Human": { "IHCP-species-checked": "testedAndGuaranteed", "IHCP-species-dilution-info": "1/100 - 1/250", "IHCP-species-notes": "<p></p>", "IP-species-checked": "notRecommended", "IP-species-dilution-info": "", "IP-species-notes": "<p></p>", "WB-species-checked": "testedAndGuaranteed", "WB-species-dilution-info": "1/1000 - 1/10000", "WB-species-notes": "<p></p>", "ICCIF-species-checked": "testedAndGuaranteed", "ICCIF-species-dilution-info": "1/50 - 1/100", "ICCIF-species-notes": "<p></p>", "FlowCytIntra-species-checked": "testedAndGuaranteed", "FlowCytIntra-species-dilution-info": "", "FlowCytIntra-species-notes": "<p><a href='/en-us/products/primary-antibodies/rabbit-igg-monoclonal-epr25a-isotype-control-ab172730'>ab172730</a> - Rabbit monoclonal IgG, is suitable for use as an isotype control with this antibody.</p>" }, "Mouse": { "IHCP-species-checked": "guaranteed", "IHCP-species-dilution-info": "", "IHCP-species-notes": "", "IP-species-checked": "notRecommended", "IP-species-dilution-info": "", "IP-species-notes": "<p></p>", "WB-species-checked": "testedAndGuaranteed", "WB-species-dilution-info": "1/1000 - 1/10000", "WB-species-notes": "<p></p>", "ICCIF-species-checked": "guaranteed", "ICCIF-species-dilution-info": "", "ICCIF-species-notes": "", "FlowCytIntra-species-checked": "guaranteed", "FlowCytIntra-species-dilution-info": "", "FlowCytIntra-species-notes": "" } } }

Product details

Patented technology
Our RabMAb® technology is a patented hybridoma-based technology for making rabbit monoclonal antibodies. For details on our patents, please refer to RabMAb® patents.

What are the advantages of a recombinant monoclonal antibody?
This product is a recombinant monoclonal antibody, which offers several advantages including:

  • - High batch-to-batch consistency and reproducibility
  • - Improved sensitivity and specificity
  • - Long-term security of supply
  • - Animal-free batch production

For more information, read more on recombinant antibodies.

Species reactivity
Rat: We have preliminary internal testing data to indicate this antibody may not react with this species.
Please contact us for more information.

Properties and storage information

Form
Liquid
Purity
Tissue culture supernatant
Storage buffer
pH: 7.2 - 7.4 Preservative: 0.05% Sodium azide Constituents: 50% Tissue culture supernatant, 40% Glycerol (glycerin, glycerine), 9.85% Tris glycine, 0.1% BSA
Shipped at conditions
Blue Ice
Appropriate short-term storage duration
1-2 weeks
Appropriate short-term storage conditions
+4°C
Appropriate long-term storage conditions
-20°C
Aliquoting information
Upon delivery aliquot
Storage information
Stable for 12 months at -20°C

Supplementary information

This supplementary information is collated from multiple sources and compiled automatically.

IQGAP1 also known as IQ motif containing GTPase activating protein 1 acts as a scaffold protein that interacts with several signaling molecules. It weighs approximately 189 kDa. This protein is expressed in various tissues but shows high expression in the brain liver and kidney. IQGAP1 contains multiple domains including four IQ motifs that bind to calmodulin and a Rho GTPase-activating protein-related domain that mediates interactions with GTPases.
Biological function summary

IQGAP1 plays a critical role in cytoskeletal organization cell adhesion and intracellular signaling. It participates in the formation of multiprotein complexes facilitating communication and structural integrity within the cell. IQGAP1 stabilizes the actin cytoskeleton and affects cell motility and polarity. It interacts with proteins such as E-cadherin and beta-catenin affecting cell-cell adhesion and signal transduction.

Pathways

IQGAP1 integrates signals from different pathways including the MAPK/ERK and Wnt pathways. It modulates the MAPK pathway by interacting with Raf and MEK kinases impacting cell proliferation and differentiation. In the Wnt signaling pathway IQGAP1 binds to APC and beta-catenin regulating gene transcription related to cell growth and division. These interactions highlight its role in coordinating cellular responses to various external signals.

IQGAP1 has associations with cancer and neurological disorders. In cancer alterations in IQGAP1 expression or function can lead to abnormal cell growth and metastasis due to disrupted signaling pathways like MAPK. Mutations and dysregulation of proteins such as Ras and beta-catenin commonly interact with IQGAP1 in oncogenic contexts. In neurological disorders its interaction with the actin cytoskeleton and signaling proteins can affect synapse formation and function with links to conditions such as schizophrenia and Alzheimer's disease.

Product protocols

For this product, it's our understanding that no specific protocols are required. You can visit:

Target data

Plays a crucial role in regulating the dynamics and assembly of the actin cytoskeleton. Recruited to the cell cortex by interaction with ILK which allows it to cooperate with its effector DIAPH1 to locally stabilize microtubules and allow stable insertion of caveolae into the plasma membrane (By similarity). Binds to activated CDC42 but does not stimulate its GTPase activity. Associates with calmodulin. May promote neurite outgrowth (PubMed : 15695813). May play a possible role in cell cycle regulation by contributing to cell cycle progression after DNA replication arrest (PubMed : 20883816).
See full target information IQGAP1

Publications (16)

Recent publications for all applications. Explore the full list and refine your search

CNS neuroscience & therapeutics 31:e70172 PubMed39753851

2025

Integrated Mendelian Randomization and Single-Cell Transcriptomics Analysis Identifies Critical Blood Biomarkers and Potential Mechanisms in Epilepsy.

Applications

Unspecified application

Species

Unspecified reactive species

Jianwei Shi,Jing Xie,Yanfeng Yang,Bin Fu,Zuliang Ye,Ting Tang,Quanlei Liu,Jinkun Xu,Penghu Wei,Yongzhi Shan,Guoguang Zhao

Journal of translational medicine 22:602 PubMed38943117

2024

Deciphering the SOX4/MAPK1 regulatory axis: a phosphoproteomic insight into IQGAP1 phosphorylation and pancreatic Cancer progression.

Applications

Unspecified application

Species

Unspecified reactive species

Chao Song,Ganggang Wang,Mengmeng Liu,Siyang Han,Meiyuan Dong,Maozhen Peng,Wenquan Wang,Yicun Wang,Yaolin Xu,Liang Liu

Cancers 16: PubMed38791874

2024

Pepsinogen C Interacts with IQGAP1 to Inhibit the Metastasis of Gastric Cancer Cells by Suppressing Rho-GTPase Pathway.

Applications

Unspecified application

Species

Unspecified reactive species

Hanxi Ding,Yingnan Liu,Xiaodong Lu,Aoran Liu,Qian Xu,Yuan Yuan

Molecular therapy. Nucleic acids 27:471-483 PubMed35036058

2022

Silencing IQGAP1 alleviates hepatic fibrogenesis via blocking bone marrow mesenchymal stromal cell recruitment to fibrotic liver.

Applications

Unspecified application

Species

Unspecified reactive species

Yuehan Ma,Na Chang,Yuran Liu,Fuquan Liu,Chengbin Dong,Lei Hou,Changbo Qi,Lin Yang,Liying Li

Molecular biology of the cell 33:ar2 PubMed34731043

2021

Single-molecule imaging of IQGAP1 regulating actin filament dynamics.

Applications

Unspecified application

Species

Unspecified reactive species

Gregory J Hoeprich,Amy N Sinclair,Shashank Shekhar,Bruce L Goode

PeerJ 8:e9524 PubMed33062407

2020

Engineering of HN3 increases the tumor targeting specificity of exosomes and upgrade the anti-tumor effect of sorafenib on HuH-7 cells.

Applications

Unspecified application

Species

Unspecified reactive species

Cong He,Doulathunnisa Jaffar Ali,Yumin Li,Yanliang Zhu,Bo Sun,Zhongdang Xiao

Cell reports 30:4065-4081.e4 PubMed32209469

2020

IQGAP1 Negatively Regulates HIV-1 Gag Trafficking and Virion Production.

Applications

Unspecified application

Species

Unspecified reactive species

Yosef Sabo,Kenia de Los Santos,Stephen P Goff

Scientific reports 10:2439 PubMed32051509

2020

The scaffold protein IQGAP1 is crucial for extravasation and metastasis.

Applications

Unspecified application

Species

Unspecified reactive species

Jess D Hebert,Chenxi Tian,John M Lamar,Steffen Rickelt,Genevieve Abbruzzese,Xiaotie Liu,Richard O Hynes

Archives of gynecology and obstetrics 299:1443-1451 PubMed30809696

2019

Follicle-stimulating hormone promoted pyruvate kinase isozyme type M2-induced glycolysis and proliferation of ovarian cancer cells.

Applications

Unspecified application

Species

Unspecified reactive species

Shuangdi Li,Xiaoning Ji,Renchen Wang,Yi Miao

Journal of neuroinflammation 15:210 PubMed30029608

2018

The adhesion and migration of microglia to β-amyloid (Aβ) is decreased with aging and inhibited by Nogo/NgR pathway.

Applications

Unspecified application

Species

Unspecified reactive species

Yinquan Fang,Jianing Wang,Lemeng Yao,Chenhui Li,Jing Wang,Yuan Liu,Xia Tao,Hao Sun,Hong Liao
View all publications

Product promise

We are committed to supporting your work with high-quality reagents, and we're here for you every step of the way. In the unlikely event that one of our products does not perform as expected, you're protected by our Product Promise.
For full details, please see our Terms & Conditions

Please note: All products are 'FOR RESEARCH USE ONLY. NOT FOR USE IN DIAGNOSTIC OR THERAPEUTIC PROCEDURES'.

For licensing inquiries, please contact partnerships@abcam.com