JavaScript is disabled in your browser. Please enable JavaScript to view this website.
AB271893

Anti-IQGAP1 antibody [EPR5220] - BSA and Azide free

Be the first to review this product! Submit a review

|

(0 Publication)

Rabbit Recombinant Monoclonal IQGAP1 antibody. Carrier free. Suitable for WB, IHC-P, ICC/IF, Flow Cyt (Intra) and reacts with Human samples.

View Alternative Names

KIAA0051, IQGAP1, Ras GTPase-activating-like protein IQGAP1, p195

3 Images
Flow Cytometry (Intracellular) - Anti-IQGAP1 antibody [EPR5220] - BSA and Azide free (AB271893)
  • Flow Cyt (Intra)

Lab

Flow Cytometry (Intracellular) - Anti-IQGAP1 antibody [EPR5220] - BSA and Azide free (AB271893)

Intracellular Flow Cytometry analysis of HeLa (human cervix adenocarcinoma) cells labeling IQGAP1 with unpurified ab133490 at 1/20 dilution (10ug/ml) (red). Cells were fixed with 4% paraformaldehyde and permeabilised with 90% methanol. A Goat anti rabbit IgG (Alexa Fluor® 488) (1/2000 dilution) was used as the secondary antibody. Rabbit monoclonal IgG (Black) was used as the isotype control, cells without incubation with primary antibody and secondary antibody (Blue) were used as the unlabeled control.

This data was developed using the same antibody clone in a different buffer formulation containing PBS, BSA, glycerol, and sodium azide (ab133490).

Immunocytochemistry/ Immunofluorescence - Anti-IQGAP1 antibody [EPR5220] - BSA and Azide free (AB271893)
  • ICC/IF

Unknown

Immunocytochemistry/ Immunofluorescence - Anti-IQGAP1 antibody [EPR5220] - BSA and Azide free (AB271893)

Immunocytochemistry/Immunofluorescence analysis of HeLa (Human epithelial cell line from cervix adenocarcinoma) labeling IQGAP1 with Purified ab133490 at 1/500 dilution (5 μg/ml). Cells were fixed with 100% methanol. ab150077 Goat anti rabbit IgG(Alexa Fluor® 488) at 1/1000 dilution was used as the secondary antibody. Nuclei were counterstained with DAPI. PBS was used instead of the primary antibody as the negative control.

This data was developed using the same antibody clone in a different buffer formulation containing PBS, BSA, glycerol, and sodium azide (ab133490).

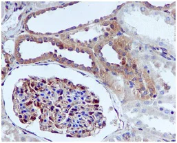
Immunohistochemistry (Formalin/PFA-fixed paraffin-embedded sections) - Anti-IQGAP1 antibody [EPR5220] - BSA and Azide free (AB271893)
  • IHC-P

Unknown

Immunohistochemistry (Formalin/PFA-fixed paraffin-embedded sections) - Anti-IQGAP1 antibody [EPR5220] - BSA and Azide free (AB271893)

Immunohistochemical analysis of IQGAP1 in paraffin embedded Human kidney tissue, using ab133490 at a dilution of 1/100.

Perform heat mediated antigen retrieval with citrate buffer pH 6 before commencing with IHC staining protocol.

This data was developed using the same antibody clone in a different buffer formulation containing PBS, BSA, glycerol, and sodium azide (ab133490).

  • Unconjugated

    Anti-IQGAP1 antibody [EPR5220]

  • 565 Alexa Fluor® 555

    Alexa Fluor® 555 Anti-IQGAP1 antibody [EPR5220]

  • 578 PE

    PE Anti-IQGAP1 antibody [EPR5220]

  • 660 APC

    APC Anti-IQGAP1 antibody [EPR5220]

  • HRP

    HRP Anti-IQGAP1 antibody [EPR5220]

  • 665 Alexa Fluor® 647

    Alexa Fluor® 647 Anti-IQGAP1 antibody [EPR5220]

  • 603 Alexa Fluor® 568

    Alexa Fluor® 568 Anti-IQGAP1 antibody [EPR5220]

  • 617 Alexa Fluor® 594

    Alexa Fluor® 594 Anti-IQGAP1 antibody [EPR5220]

Key facts

Host species

Rabbit

Clonality

Monoclonal

Clone number

EPR5220

Isotype

IgG

Carrier free

Yes

Reacts with

Human

Applications

WB, Flow Cyt (Intra), IHC-P, ICC/IF

applications

Immunogen

The exact immunogen used to generate this antibody is proprietary information.

Reactivity data

{ "title": "Reactivity Data", "filters": { "stats": ["", "Species", "Dilution Info", "Notes"], "tabs": { "all-applications": {"fullname" : "All Applications", "shortname": "All Applications"}, "IP" : {"fullname" : "Immunoprecipitation", "shortname":"IP"}, "WB" : {"fullname" : "Western blot", "shortname":"WB"}, "IHCP" : {"fullname" : "Immunohistochemistry (Formalin/PFA-fixed paraffin-embedded sections)", "shortname":"IHC-P"}, "ICCIF" : {"fullname" : "Immunocytochemistry/ Immunofluorescence", "shortname":"ICC/IF"}, "FlowCytIntra" : {"fullname" : "Flow Cytometry (Intracellular)", "shortname":"Flow Cyt (Intra)"} }, "product-promise": { "all": "all", "testedAndGuaranteed": "tested", "guaranteed": "expected", "predicted": "predicted", "notRecommended": "not-recommended" } }, "values": { "Human": { "IP-species-checked": "notRecommended", "IP-species-dilution-info": "", "IP-species-notes": "<p></p>", "WB-species-checked": "guaranteed", "WB-species-dilution-info": "", "WB-species-notes": "<p></p>", "IHCP-species-checked": "testedAndGuaranteed", "IHCP-species-dilution-info": "", "IHCP-species-notes": "<p></p>", "ICCIF-species-checked": "testedAndGuaranteed", "ICCIF-species-dilution-info": "", "ICCIF-species-notes": "<p></p>", "FlowCytIntra-species-checked": "testedAndGuaranteed", "FlowCytIntra-species-dilution-info": "", "FlowCytIntra-species-notes": "<p><a href='/en-us/products/primary-antibodies/rabbit-igg-monoclonal-epr25a-isotype-control-ab172730'>ab172730</a> - Rabbit monoclonal IgG, is suitable for use as an isotype control with this antibody.</p>" }, "Mouse": { "IP-species-checked": "notRecommended", "IP-species-dilution-info": "", "IP-species-notes": "", "WB-species-checked": "predicted", "WB-species-dilution-info": "", "WB-species-notes": "", "IHCP-species-checked": "predicted", "IHCP-species-dilution-info": "", "IHCP-species-notes": "", "ICCIF-species-checked": "predicted", "ICCIF-species-dilution-info": "", "ICCIF-species-notes": "", "FlowCytIntra-species-checked": "predicted", "FlowCytIntra-species-dilution-info": "", "FlowCytIntra-species-notes": "" } } }

Product details

ab271893 is the carrier-free version of ab133490.

Patented technology
Our RabMAb® technology is a patented hybridoma-based technology for making rabbit monoclonal antibodies. For details on our patents, please refer to RabMAb® patents.

What are the advantages of a recombinant monoclonal antibody?
This product is a recombinant monoclonal antibody, which offers several advantages including:

  • - High batch-to-batch consistency and reproducibility
  • - Improved sensitivity and specificity
  • - Long-term security of supply
  • - Animal-free batch production

For more information, read more on recombinant antibodies.

Species reactivity
Rat: We have preliminary internal testing data to indicate this antibody may not react with this species.
Please contact us for more information.

Conjugation ready
Our carrier-free antibodies are typically supplied in a PBS-only formulation, purified and free of BSA, sodium azide and glycerol. This conjugation-ready format is designed for use with fluorochromes, metal isotopes, oligonucleotides, and enzymes, which makes them ideal for antibody labelling, functional and cell-based assays, flow-based assays (e.g. mass cytometry) and Multiplex Imaging applications.

Use our conjugation kits for antibody conjugates that are ready-to-use in as little as 20 minutes with 1 minute hands-on-time and 100% antibody recovery: available for fluorescent dyes, HRP, biotin and gold.

Compatibility
This product is compatible with the Maxpar® Antibody Labeling Kit from Fluidigm, without the need for antibody preparation. Maxpar® is a trademark of Fluidigm Canada Inc.

Properties and storage information

Form
Liquid
Purification technique
Affinity purification
Storage buffer
pH: 7.2 - 7.4 Constituents: PBS
Shipped at conditions
Blue Ice
Appropriate short-term storage conditions
+4°C
Appropriate long-term storage conditions
+4°C
Storage information
Do Not Freeze

Supplementary information

This supplementary information is collated from multiple sources and compiled automatically.

IQGAP1 also known as IQ motif containing GTPase activating protein 1 acts as a scaffold protein that interacts with several signaling molecules. It weighs approximately 189 kDa. This protein is expressed in various tissues but shows high expression in the brain liver and kidney. IQGAP1 contains multiple domains including four IQ motifs that bind to calmodulin and a Rho GTPase-activating protein-related domain that mediates interactions with GTPases.
Biological function summary

IQGAP1 plays a critical role in cytoskeletal organization cell adhesion and intracellular signaling. It participates in the formation of multiprotein complexes facilitating communication and structural integrity within the cell. IQGAP1 stabilizes the actin cytoskeleton and affects cell motility and polarity. It interacts with proteins such as E-cadherin and beta-catenin affecting cell-cell adhesion and signal transduction.

Pathways

IQGAP1 integrates signals from different pathways including the MAPK/ERK and Wnt pathways. It modulates the MAPK pathway by interacting with Raf and MEK kinases impacting cell proliferation and differentiation. In the Wnt signaling pathway IQGAP1 binds to APC and beta-catenin regulating gene transcription related to cell growth and division. These interactions highlight its role in coordinating cellular responses to various external signals.

IQGAP1 has associations with cancer and neurological disorders. In cancer alterations in IQGAP1 expression or function can lead to abnormal cell growth and metastasis due to disrupted signaling pathways like MAPK. Mutations and dysregulation of proteins such as Ras and beta-catenin commonly interact with IQGAP1 in oncogenic contexts. In neurological disorders its interaction with the actin cytoskeleton and signaling proteins can affect synapse formation and function with links to conditions such as schizophrenia and Alzheimer's disease.

Product protocols

For this product, it's our understanding that no specific protocols are required. You can visit:

Target data

Plays a crucial role in regulating the dynamics and assembly of the actin cytoskeleton. Recruited to the cell cortex by interaction with ILK which allows it to cooperate with its effector DIAPH1 to locally stabilize microtubules and allow stable insertion of caveolae into the plasma membrane (By similarity). Binds to activated CDC42 but does not stimulate its GTPase activity. Associates with calmodulin. May promote neurite outgrowth (PubMed : 15695813). May play a possible role in cell cycle regulation by contributing to cell cycle progression after DNA replication arrest (PubMed : 20883816).
See full target information IQGAP1

Product promise

We are committed to supporting your work with high-quality reagents, and we're here for you every step of the way. In the unlikely event that one of our products does not perform as expected, you're protected by our Product Promise.
For full details, please see our Terms & Conditions

Associated Products

Select an associated product type
Alternative Product
Primary Antibodies

AB86064

Anti-IQGAP1 antibody

primary-antibodies

iqgap1-antibody-ab86064

5

(7 reviews)

Alternative Product
Primary Antibodies

AB109292

Anti-IQGAP1 antibody [EPR5221]

primary-antibodies

iqgap1-antibody-epr5221-ab109292

0

(0 reviews)

Alternative Product
Primary Antibodies

AB247821

Anti-IQGAP1 antibody [EPR5221] - BSA and Azide free

primary-antibodies

iqgap1-antibody-epr5221-bsa-and-azide-free-ab247821

0

(0 reviews)

Alternative Product
Primary Antibodies

AB216899

Alexa Fluor® 555 Anti-IQGAP1 antibody [EPR5220]

primary-antibodies

alexa-fluor-555-iqgap1-antibody-epr5220-ab216899

0

(0 reviews)

Alternative Product
Primary Antibodies

AB222390

Anti-IQGAP1 antibody [EPR5220] - Low endotoxin, Azide free

primary-antibodies

iqgap1-antibody-epr5220-low-endotoxin-azide-free-ab222390

0

(0 reviews)

Alternative Version
Primary Antibodies

AB310167

Alexa Fluor® 647 Anti-IQGAP1 antibody [EPR5220]

primary-antibodies

alexa-fluor-647-iqgap1-antibody-epr5220-ab310167

0

(0 reviews)

Alternative Version
Primary Antibodies

AB312614

Alexa Fluor® 568 Anti-IQGAP1 antibody [EPR5220]

primary-antibodies

alexa-fluor-568-iqgap1-antibody-epr5220-ab312614

0

(0 reviews)

Alternative Version
Primary Antibodies

AB310600

Alexa Fluor® 594 Anti-IQGAP1 antibody [EPR5220]

primary-antibodies

alexa-fluor-594-iqgap1-antibody-epr5220-ab310600

0

(0 reviews)

Please note: All products are 'FOR RESEARCH USE ONLY. NOT FOR USE IN DIAGNOSTIC OR THERAPEUTIC PROCEDURES'.

For licensing inquiries, please contact partnerships@abcam.com