JavaScript is disabled in your browser. Please enable JavaScript to view this website.
AB302554

Anti-IRAK-1 antibody [EPR26375-90]

  • BOND RX™ Validated
  • 20ul selling size
  • RabMAb
  • Recombinant
  • KO Validated
  • What is this?

Be the first to review this product! Submit a review

|

(1 Publication)

Rabbit Recombinant Monoclonal IRAK-1 antibody. Suitable for WB, IHC-P and reacts with Human samples. Cited in 1 publication.

View Alternative Names

IRAK, IRAK1, Interleukin-1 receptor-associated kinase 1, IRAK-1

6 Images
Immunohistochemistry (Formalin/PFA-fixed paraffin-embedded sections) - Anti-IRAK-1 antibody [EPR26375-90] (AB302554)
  • IHC-P

Supplier Data

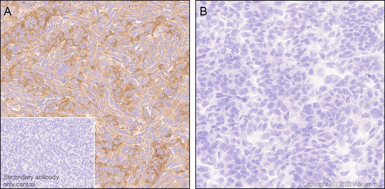
Immunohistochemistry (Formalin/PFA-fixed paraffin-embedded sections) - Anti-IRAK-1 antibody [EPR26375-90] (AB302554)

Immunohistochemical analysis of paraffin-embedded A Wild-type HAP1 (H tissue labeling IRAK-1 with ab302554 at 1/100 (4.53 ug/ml) followed by a ready to use LeicaDS9800 (Bond™ Polymer Refine Detection) was used. Positive staining on (A) wild-type HAP1 cell pellet, no staining on (B) IRAK1 knockout HAP1 cell pellet. The section was incubated with ab302554 for 30 mins at room temperature.The immunostaining was performed on a Leica Biosystems BOND® RX instrument Counterstained with Hematoxylin. Secondary antibody only control : Secondary antibody is a ready to use LeicaDS9800 (Bond™ Polymer Refine Detection) was used. Heat mediated antigen retrieval with Tris-EDTA buffer (pH 9.0, epitope retrieval solution2) for 20 mins

Immunohistochemistry (Formalin/PFA-fixed paraffin-embedded sections) - Anti-IRAK-1 antibody [EPR26375-90] (AB302554)
  • IHC-P

Supplier Data

Immunohistochemistry (Formalin/PFA-fixed paraffin-embedded sections) - Anti-IRAK-1 antibody [EPR26375-90] (AB302554)

Immunohistochemical analysis of paraffin-embedded Human lung cancer an tissue labeling IRAK-1 with ab302554 at 1/100 (4.53 ug/ml) followed by a ready to use LeicaDS9800 (Bond™ Polymer Refine Detection) was used. Positive staining in human lung cancer, no staining in the adjacent tissue. The section was incubated with ab302554 for 30 mins at room temperature.The immunostaining was performed on a Leica Biosystems BOND® RX instrument Counterstained with Hematoxylin. Secondary antibody only control : Secondary antibody is a ready to use LeicaDS9800 (Bond™ Polymer Refine Detection) was used. Heat mediated antigen retrieval with Tris-EDTA buffer (pH 9.0, epitope retrieval solution2) for 20 mins

Immunohistochemistry (Formalin/PFA-fixed paraffin-embedded sections) - Anti-IRAK-1 antibody [EPR26375-90] (AB302554)
  • IHC-P

Supplier Data

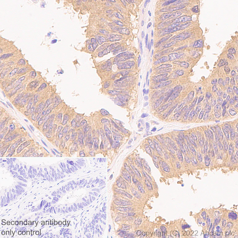
Immunohistochemistry (Formalin/PFA-fixed paraffin-embedded sections) - Anti-IRAK-1 antibody [EPR26375-90] (AB302554)

Immunohistochemical analysis of paraffin-embedded Human colon carcinom tissue labeling IRAK-1 with ab302554 at 1/100 (4.53 ug/ml) followed by a ready to use LeicaDS9800 (Bond™ Polymer Refine Detection) was used. Positive staining in human colon carcinoma. The section was incubated with ab302554 for 30 mins at room temperature.The immunostaining was performed on a Leica Biosystems BOND® RX instrument Counterstained with Hematoxylin. Secondary antibody only control : Secondary antibody is a ready to use LeicaDS9800 (Bond™ Polymer Refine Detection) was used. Heat mediated antigen retrieval with Tris-EDTA buffer (pH 9.0, epitope retrieval solution2) for 20 mins

Western blot - Anti-IRAK-1 antibody [EPR26375-90] (AB302554)
  • WB

Supplier Data

Western blot - Anti-IRAK-1 antibody [EPR26375-90] (AB302554)

Blocking and diluting buffer and concentration : Intercept® (TBS) Blocking Buffer diluted with an equal volume of 0.1% TBST The samples were run on a Bis-Tris gel.Lysates/proteins at 20 µg per lane. Performed under reducing conditions.False colour image of Western blot : Anti-IRAK1 antibody (ab302554) staining at 1/1000 dilution, shown in green; Mouse anti-GAPDH antibody [6C5] (ab8245) loading control staining at 1/20000 dilution, shown in red.In Western blot, ab302554 was shown to bind specifically to IRAK1. A band was observed at 80 kDa in wild-type HAP1 cell lysates with no signal observed at this size in IRAK1 knockout cell line. To generate this image, wild-type and IRAK1 knockout HAP1 cell lysates were analyzed. First, samples were run on an SDS-PAGE gel then transferred onto an immobilon-FL PVDF membrane. Membranes were blocked in in Intercept® (TBS) Blocking Buffer diluted with an equal volume of 0.1% TBS before incubation with primary antibodies overnight at 4 °C. Blots were washed four times in TBS-T, incubated with secondary antibodies for 1 h at room temperature, washed again four times then imaged. Secondary antibodies used were Goat anti-Rabbit IgG H&L (IRDye® 800CW) preabsorbed (ab216773) and Goat anti-Mouse IgG H&L (IRDye® 680RD) preabsorbed (ab216776) at 1/20000 dilution.

All lanes:

Western blot - Anti-IRAK-1 antibody [EPR26375-90] (ab302554) at 1/1000 dilution

Lane 1:

Wild-type HAP1 (human chronic myelogenous leukemia near-haploid cell line), whole cell lysate 20 µg

Lane 2:

IRAK1 knockout HAP1 whole cell lysate 20 µg

Lane 3:

HeLa (human cervical adenocarcinoma epithelial cell), whole cell lysate 20 µg

Secondary

Lanes 1 - 3:

Western blot - Goat anti-Rabbit IgG H&L (IRDye® 800CW) preadsorbed (<a href='/en-us/products/secondary-antibodies/goat-rabbit-igg-h-l-irdye-800cw-preadsorbed-ab216773'>ab216773</a>) at 1/10000 dilution

Lanes 1 - 3:

Western blot - Goat anti-Mouse IgG H&L (IRDye® 680RD) preadsorbed (<a href='/en-us/products/secondary-antibodies/goat-mouse-igg-h-l-irdye-680rd-preadsorbed-ab216776'>ab216776</a>) at 1/10000 dilution

Observed band size: 80 kDa

false

Western blot - Anti-IRAK-1 antibody [EPR26375-90] (AB302554)
  • WB

Supplier Data

Western blot - Anti-IRAK-1 antibody [EPR26375-90] (AB302554)

Blocking and diluting buffer and concentration : 5% NFDM/TBST.

This blot was developed using a high sensitivity ECL substrate. The high-sensitivity ECL substrate used allows for the detection of proteins in the mid-femtogram range.

All lanes:

Western blot - Anti-IRAK-1 antibody [EPR26375-90] (ab302554) at 1/500 dilution

All lanes:

Human hypothalamus tissue lysate 20 µg

Secondary

All lanes:

Goat Anti-Rabbit IgG (HRP) with minimal cross-reactivity with human IgG at 1/1000 dilution

Observed band size: 80 kDa

true

Exposure time: 59s

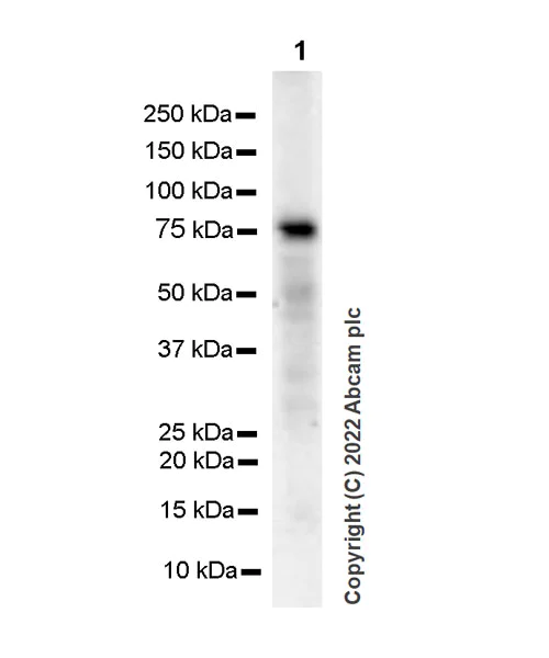
Western blot - Anti-IRAK-1 antibody [EPR26375-90] (AB302554)
  • WB

Supplier Data

Western blot - Anti-IRAK-1 antibody [EPR26375-90] (AB302554)

Blocking and diluting buffer and concentration : 5% NFDM/TBST.

This blot was developed using a high sensitivity ECL substrate. The high-sensitivity ECL substrate used allows for the detection of proteins in the mid-femtogram range.

All lanes:

Western blot - Anti-IRAK-1 antibody [EPR26375-90] (ab302554) at 1/500 dilution

All lanes:

Human tonsil tissue lysate at 40 µg

Secondary

All lanes:

Western blot - Goat Anti-Rabbit IgG H&L (HRP) (<a href='/en-us/products/secondary-antibodies/goat-rabbit-igg-h-l-hrp-ab97051'>ab97051</a>) at 1/20000 dilution

Observed band size: 80 kDa

true

Exposure time: 180s

Key facts

Host species

Rabbit

Clonality

Monoclonal

Clone number

EPR26375-90

Isotype

IgG

Carrier free

No

Reacts with

Human

Applications

IHC-P, WB

applications

Immunogen

The exact immunogen used to generate this antibody is proprietary information.

Reactivity data

{ "title": "Reactivity Data", "filters": { "stats": ["", "Species", "Dilution Info", "Notes"], "tabs": { "all-applications": {"fullname" : "All Applications", "shortname": "All Applications"}, "WB" : {"fullname" : "Western blot", "shortname":"WB"}, "IHCP" : {"fullname" : "Immunohistochemistry (Formalin/PFA-fixed paraffin-embedded sections)", "shortname":"IHC-P"}, "ICCIF" : {"fullname" : "Immunocytochemistry/ Immunofluorescence", "shortname":"ICC/IF"}, "FlowCytIntra" : {"fullname" : "Flow Cytometry (Intracellular)", "shortname":"Flow Cyt (Intra)"}, "IP" : {"fullname" : "Immunoprecipitation", "shortname":"IP"} }, "product-promise": { "all": "all", "testedAndGuaranteed": "tested", "guaranteed": "expected", "predicted": "predicted", "notRecommended": "not-recommended" } }, "values": { "Human": { "WB-species-checked": "testedAndGuaranteed", "WB-species-dilution-info": "1/500", "WB-species-notes": "<p></p>", "IHCP-species-checked": "testedAndGuaranteed", "IHCP-species-dilution-info": "1/100", "IHCP-species-notes": "<p></p> Perform heat-mediated antigen retrieval with Tris/EDTA buffer pH 9.0 before commencing with IHC staining protocol.", "ICCIF-species-checked": "notRecommended", "ICCIF-species-dilution-info": "", "ICCIF-species-notes": "<p></p>", "FlowCytIntra-species-checked": "notRecommended", "FlowCytIntra-species-dilution-info": "", "FlowCytIntra-species-notes": "<p></p>", "IP-species-checked": "notRecommended", "IP-species-dilution-info": "", "IP-species-notes": "<p></p>" }, "Mouse": { "WB-species-checked": "notRecommended", "WB-species-dilution-info": "1/500", "WB-species-notes": "<p></p>", "IHCP-species-checked": "notRecommended", "IHCP-species-dilution-info": "1/100", "IHCP-species-notes": "<p></p> Perform heat-mediated antigen retrieval with Tris/EDTA buffer pH 9.0 before commencing with IHC staining protocol.", "ICCIF-species-checked": "notRecommended", "ICCIF-species-dilution-info": "", "ICCIF-species-notes": "<p></p>", "FlowCytIntra-species-checked": "notRecommended", "FlowCytIntra-species-dilution-info": "", "FlowCytIntra-species-notes": "<p></p>", "IP-species-checked": "notRecommended", "IP-species-dilution-info": "", "IP-species-notes": "<p></p>" }, "Rat": { "WB-species-checked": "notRecommended", "WB-species-dilution-info": "", "WB-species-notes": "", "IHCP-species-checked": "notRecommended", "IHCP-species-dilution-info": "1/100", "IHCP-species-notes": "<p></p> Perform heat-mediated antigen retrieval with Tris/EDTA buffer pH 9.0 before commencing with IHC staining protocol.", "ICCIF-species-checked": "notRecommended", "ICCIF-species-dilution-info": "", "ICCIF-species-notes": "", "FlowCytIntra-species-checked": "notRecommended", "FlowCytIntra-species-dilution-info": "", "FlowCytIntra-species-notes": "", "IP-species-checked": "notRecommended", "IP-species-dilution-info": "", "IP-species-notes": "" } } }

Product details

Want a custom formulation?
This antibody clone is manufactured by Abcam. If you require a custom buffer formulation or conjugation for your experiments, please contact orders@abcam.com

Patented technology
Our RabMAb® technology is a patented hybridoma-based technology for making rabbit monoclonal antibodies. For details on our patents, please refer to RabMAb® patents.

What are the advantages of a recombinant monoclonal antibody?
This product is a recombinant monoclonal antibody, which offers several advantages including:

  • - High batch-to-batch consistency and reproducibility
  • - Improved sensitivity and specificity
  • - Long-term security of supply
  • - Animal-free batch production

For more information, read more on recombinant antibodies.

Properties and storage information

Form
Liquid
Purification technique
Affinity purification Protein A
Storage buffer
pH: 7.2 - 7.4 Preservative: 0.01% Sodium azide Constituents: PBS, 40% Glycerol (glycerin, glycerine), 0.05% BSA
Shipped at conditions
Blue Ice
Appropriate short-term storage duration
1-2 weeks
Appropriate short-term storage conditions
+4°C
Appropriate long-term storage conditions
-20°C
Aliquoting information
Upon delivery aliquot
Storage information
Avoid freeze / thaw cycle

Supplementary information

This supplementary information is collated from multiple sources and compiled automatically.

IRAK-1 also known as Interleukin-1 Receptor-Associated Kinase 1 is a serine/threonine kinase that plays a role in the immune response. With a molecular mass around 76 kDa this protein is heavily expressed in immune cells such as macrophages and monocytes. IRAK-1 is an important player in the signal transduction process following the activation of the Toll-like and interleukin-1 receptor (IL-1R) families. The kinase activity of IRAK-1 occurs when it associates with the receptor complex transmitting signals that activate downstream pathways.
Biological function summary

IRAK-1 mediates the inflammatory response by promoting the production of cytokines and other inflammatory mediators. It is a component of the Myddosome a multi-protein complex that assembles upon receptor activation and includes MyD88 an adaptor protein needed for signal transduction. IRAK-1 phosphorylates other targets and itself leading to its own degradation which is an important step for turning off the signaling and preventing prolonged activation. Its precise activity modulation ensures balanced immune responses and prevents overreaction that could cause tissue damage.

Pathways

IRAK-1 functions in the IL-1 and Toll-like receptor signaling pathways both of which are important for innate immunity. In these pathways IRAK-1 interacts with key proteins such as TRAF6 which transduces signals leading to NF-κB and MAPK activation critical for inflammatory gene expression. Its role in these pathways highlights the importance of proper function and regulation as deficiencies or dysregulation can result in inappropriate immune responses.

IRAK-1 has been connected to autoimmune diseases such as rheumatoid arthritis and certain cancers. This protein affects how the immune system responds to inflammation and can influence disease progression through its regulatory actions. For instance alterations in IRAK-1 activity or expression can lead to an increase in pro-inflammatory cytokines that exacerbate conditions like rheumatoid arthritis. Additionally in cancer pathways influenced by IRAK-1 can affect tumor growth and metastasis. Its interaction with proteins such as MyD88 and TRAF6 within these pathological contexts underlines its importance as a potential target for therapeutic intervention.

Product protocols

For this product, it's our understanding that no specific protocols are required. You can visit:

Target data

Serine/threonine-protein kinase that plays a critical role in initiating innate immune response against foreign pathogens. Involved in Toll-like receptor (TLR) and IL-1R signaling pathways. Is rapidly recruited by MYD88 to the receptor-signaling complex upon TLR activation. Association with MYD88 leads to IRAK1 phosphorylation by IRAK4 and subsequent autophosphorylation and kinase activation. Phosphorylates E3 ubiquitin ligases Pellino proteins (PELI1, PELI2 and PELI3) to promote pellino-mediated polyubiquitination of IRAK1. Then, the ubiquitin-binding domain of IKBKG/NEMO binds to polyubiquitinated IRAK1 bringing together the IRAK1-MAP3K7/TAK1-TRAF6 complex and the NEMO-IKKA-IKKB complex. In turn, MAP3K7/TAK1 activates IKKs (CHUK/IKKA and IKBKB/IKKB) leading to NF-kappa-B nuclear translocation and activation. Alternatively, phosphorylates TIRAP to promote its ubiquitination and subsequent degradation. Phosphorylates the interferon regulatory factor 7 (IRF7) to induce its activation and translocation to the nucleus, resulting in transcriptional activation of type I IFN genes, which drive the cell in an antiviral state. When sumoylated, translocates to the nucleus and phosphorylates STAT3.
See full target information IRAK1

Publications (1)

Recent publications for all applications. Explore the full list and refine your search

Cells 11: PubMed36552771

2022

Expression of Steroid Receptor RNA Activator 1 (SRA1) in the Adipose Tissue Is Associated with TLRs and IRFs in Diabesity.

Applications

Unspecified application

Species

Unspecified reactive species

Shihab Kochumon,Hossein Arefanian,Sardar Sindhu,Reeby Thomas,Texy Jacob,Amnah Al-Sayyar,Steve Shenouda,Fatema Al-Rashed,Heikki A Koistinen,Fahd Al-Mulla,Jaakko Tuomilehto,Rasheed Ahmad
View all publications

Product promise

We are committed to supporting your work with high-quality reagents, and we're here for you every step of the way. In the unlikely event that one of our products does not perform as expected, you're protected by our Product Promise.
For full details, please see our Terms & Conditions

Please note: All products are 'FOR RESEARCH USE ONLY. NOT FOR USE IN DIAGNOSTIC OR THERAPEUTIC PROCEDURES'.

For licensing inquiries, please contact partnerships@abcam.com