JavaScript is disabled in your browser. Please enable JavaScript to view this website.
AB119942

Anti-IRAK4 antibody [2H9]

Be the first to review this product! Submit a review

|

(9 Publications)

Anti-IRAK4 antibody [2H9] (ab119942) is a mouse monoclonal antibody detecting IRAK4 in Western Blot, Flow Cytometry, IHC-P, ICC/IF, ELISA. Suitable for African green monkey, Human, Mouse,.

- KO validated for confirmed specificity

View Alternative Names

Interleukin-1 receptor-associated kinase 4, IRAK-4, Renal carcinoma antigen NY-REN-64, IRAK4

9 Images
Western blot - Anti-IRAK4 antibody [2H9] (AB119942)
  • WB

Lab

Western blot - Anti-IRAK4 antibody [2H9] (AB119942)

Lane 1 : Wild-type MCF7 cell lysate 20 ug Lane 2 : IRAK4 knockout MCF7 cell lysate 20 ug Lane 3 : Wild-type THP-1 cell lysate 20 ug Lane 4 : IRAK4 knockout THP-1 cell lysate 20 ug Lane 5 : A549 cell lysate 20 ug Western blot : Anti-IRAK4 antibody [2H9] (ab119942) staining at 1/1000 dilution, shown in green; Rabbit Anti-GAPDH antibody [EPR16891] (ab181602) loading control staining at 1/20000 dilution, shown in magenta. In Western blot, ab119942 was shown to bind specifically to IRAK4. A band was observed at 52 kDa in wild-type MCF7 cell lysates and wild-type THP-1 cell lysates with no signal observed at this size in IRAK4 knockout cell line. To generate this image, wild-type and IRAK4 knockout MCF7 cell lysates and knockoutTHP-1 cell lysates were analysed. First, samples were run on an SDS-PAGE gel then transferred onto a nitrocellulose membrane. Membranes were blocked in 3 % milk in TBS-0.1 % Tween® 20 (TBS-T) before incubation with primary antibodies overnight at 4 °C. Blots were washed four times in TBS-T, incubated with secondary antibodies for 1 h at room temperature, washed again four times then imaged. Secondary antibodies used were Goat anti-Mouse IgG H&L 800CW and Goat anti-Rabbit IgG H&L 680RD at 1/20000 dilution.

All lanes:

Western blot - Anti-IRAK4 antibody [2H9] (ab119942) at 1/1000 dilution

Lane 1:

Wild-type MCF7 cell lysate at 20 µg

Lanes 2 and 4:

Western blot - Human IRAK4 knockout THP-1 cell line (<a href='/en-us/products/cell-lines/human-irak4-knockout-thp-1-cell-line-ab281630'>ab281630</a>) at 20 µg

Lane 5:

A549 cell lysate at 20 µg

Secondary

Lanes 1 - 6:

Goat anti-Mouse IgG H&L 800CW at 1/20000 dilution

Lanes 1 - 6:

Goat anti-Rabbit IgG H&L 680RD at 1/20000 dilution

Observed band size: 52 kDa

false

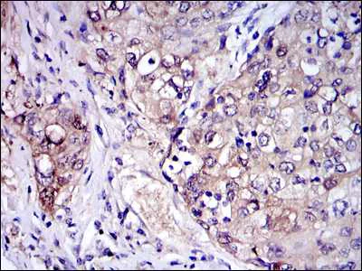
Immunohistochemistry (Formalin/PFA-fixed paraffin-embedded sections) - Anti-IRAK4 antibody [2H9] (AB119942)
  • IHC-P

Unknown

Immunohistochemistry (Formalin/PFA-fixed paraffin-embedded sections) - Anti-IRAK4 antibody [2H9] (AB119942)

ab119942, at 1/200 dilution, staining IRAK4 in paraffin-embedded Human lung cancer tissue by Immunohistochemistry with DAB staining.

Immunocytochemistry/ Immunofluorescence - Anti-IRAK4 antibody [2H9] (AB119942)
  • ICC/IF

Unknown

Immunocytochemistry/ Immunofluorescence - Anti-IRAK4 antibody [2H9] (AB119942)

ab119942 stained HepG2 cells. The cells were 4% formaldehyde fixed (10 min) and then incubated in 1%BSA / 10% normal goat serum / 0.3M glycine in 0.1% PBS-Tween for 1h to permeabilise the cells and block non-specific protein-protein interactions. The cells were then incubated with the antibody ab119942 at 1/100 dilution overnight at +4°C. The secondary antibody (green) was DyLight® 488 goat anti- mouse (ab96879) IgG (H+L) used at a 1/1000 dilution for 1h. Alexa Fluor® 594 WGA was used to label plasma membranes (red) at a 1/200 dilution for 1h. DAPI was used to stain the cell nuclei (blue) at a concentration of 1.43μM.

Flow Cytometry - Anti-IRAK4 antibody [2H9] (AB119942)
  • Flow Cyt

Unknown

Flow Cytometry - Anti-IRAK4 antibody [2H9] (AB119942)

Flow cytometric analysis of Hela cells using ab119942 at 1/200 dilution (blue) and negative control (red).

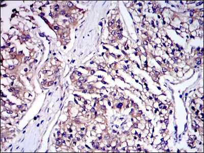
Immunohistochemistry (Formalin/PFA-fixed paraffin-embedded sections) - Anti-IRAK4 antibody [2H9] (AB119942)
  • IHC-P

Unknown

Immunohistochemistry (Formalin/PFA-fixed paraffin-embedded sections) - Anti-IRAK4 antibody [2H9] (AB119942)

ab119942, at 1/200 dilution, staining IRAK4 in paraffin-embedded Human kidney cancer tissue by Immunohistochemistry with DAB staining.

Western blot - Anti-IRAK4 antibody [2H9] (AB119942)
  • WB

Lab

Western blot - Anti-IRAK4 antibody [2H9] (AB119942)

False colour image of Western blot : Anti-IRAK4 antibody [2H9] staining at 1/500 dilution, shown in green; Rabbit Anti-GAPDH antibody [EPR16891] (ab181602) loading control staining at 1/20000 dilution, shown in red. In Western blot, ab119942 was shown to bind specifically to IRAK4. A band was observed at 55 kDa in wild-type THP-1 cell lysates with no signal observed at this size in IRAK4 knockout cell line ab281630 (knockout cell lysate ab282980). To generate this image, wild-type and IRAK4 knockout THP-1 cell lysates were analysed. First, samples were run on an SDS-PAGE gel then transferred onto a nitrocellulose membrane. Membranes were blocked in 3 % milk in TBS-0.1 % Tween® 20 (TBS-T) before incubation with primary antibodies overnight at 4 °C. Blots were washed four times in TBS-T, incubated with secondary antibodies for 1 h at room temperature, washed again four times then imaged. Secondary antibodies used were Goat anti-Mouse IgG H&L (IRDye® 800CW) preabsorbed (ab216772) and Goat anti-Rabbit IgG H&L (IRDye® 680RD) preabsorbed (ab216777) at 1/20000 dilution.

All lanes:

Western blot - Anti-IRAK4 antibody [2H9] (ab119942) at 1/500 dilution

Lane 1:

Wild-type THP-1 cell lysate at 20 µg

Lane 2:

IRAK4 knockout THP-1 cell lysate at 20 µg

Lane 3:

U937 cell lysate at 20 µg

Lane 4:

U-87 MG cell lysate at 20 µg

Observed band size: 55 kDa

false

ELISA - Anti-IRAK4 antibody [2H9] (AB119942)
  • ELISA

Unknown

ELISA - Anti-IRAK4 antibody [2H9] (AB119942)

ELISA using ab119942.

Western blot - Anti-IRAK4 antibody [2H9] (AB119942)
  • WB

Unknown

Western blot - Anti-IRAK4 antibody [2H9] (AB119942)

All lanes:

Western blot - Anti-IRAK4 antibody [2H9] (ab119942) at 1/500 dilution

All lanes:

Recombinant IRAK4 protein

Predicted band size: 52 kDa

false

Western blot - Anti-IRAK4 antibody [2H9] (AB119942)
  • WB

Unknown

Western blot - Anti-IRAK4 antibody [2H9] (AB119942)

All lanes:

Western blot - Anti-IRAK4 antibody [2H9] (ab119942) at 1/500 dilution

Lane 1:

THP-1 cell lysate

Lane 2:

HeLa cell lysate

Lane 3:

K562 cell lysate

Lane 4:

MCF7 cell lysate

Lane 5:

RAW264.7 cell lysate

Lane 6:

Jurkat cell lysate

Lane 7:

COS-7 (African green monkey kidney fibroblast-like cell line) cell lysate

Predicted band size: 52 kDa

false

Key facts

Host species

Mouse

Clonality

Monoclonal

Clone number

2H9

Isotype

IgG1

Carrier free

No

Reacts with

Mouse, Human, African green monkey

Applications

WB, ICC/IF, Flow Cyt, IHC-P, ELISA

applications

Immunogen

Recombinant Fragment Protein within Human IRAK4 aa 1-200. The exact immunogen used to generate this antibody is proprietary information.

Q9NWZ3

Reactivity data

{ "title": "Reactivity Data", "filters": { "stats": ["", "Species", "Dilution Info", "Notes"], "tabs": { "all-applications": {"fullname" : "All Applications", "shortname": "All Applications"}, "FlowCyt" : {"fullname" : "Flow Cytometry", "shortname":"Flow Cyt"}, "ELISA" : {"fullname" : "ELISA", "shortname":"ELISA"}, "WB" : {"fullname" : "Western blot", "shortname":"WB"}, "IHCP" : {"fullname" : "Immunohistochemistry (Formalin/PFA-fixed paraffin-embedded sections)", "shortname":"IHC-P"}, "ICCIF" : {"fullname" : "Immunocytochemistry/ Immunofluorescence", "shortname":"ICC/IF"} }, "product-promise": { "all": "all", "testedAndGuaranteed": "tested", "guaranteed": "expected", "predicted": "predicted", "notRecommended": "not-recommended" } }, "values": { "Human": { "FlowCyt-species-checked": "testedAndGuaranteed", "FlowCyt-species-dilution-info": "1/200 - 1/400", "FlowCyt-species-notes": "<p><a href='/en-us/products/primary-antibodies/mouse-igg1-kappa-monoclonal-15-6e10a7-isotype-control-ab170190'>ab170190</a> - Mouse monoclonal IgG1, is suitable for use as an isotype control with this antibody.</p>", "ELISA-species-checked": "guaranteed", "ELISA-species-dilution-info": "", "ELISA-species-notes": "", "WB-species-checked": "testedAndGuaranteed", "WB-species-dilution-info": "1/500 - 1/2000", "WB-species-notes": "<p></p>", "IHCP-species-checked": "testedAndGuaranteed", "IHCP-species-dilution-info": "1/200 - 1/1000", "IHCP-species-notes": "<p></p>", "ICCIF-species-checked": "testedAndGuaranteed", "ICCIF-species-dilution-info": "1/100", "ICCIF-species-notes": "<p></p>" }, "Mouse": { "FlowCyt-species-checked": "guaranteed", "FlowCyt-species-dilution-info": "", "FlowCyt-species-notes": "", "ELISA-species-checked": "guaranteed", "ELISA-species-dilution-info": "", "ELISA-species-notes": "", "WB-species-checked": "testedAndGuaranteed", "WB-species-dilution-info": "1/500 - 1/2000", "WB-species-notes": "<p></p>", "IHCP-species-checked": "guaranteed", "IHCP-species-dilution-info": "", "IHCP-species-notes": "", "ICCIF-species-checked": "guaranteed", "ICCIF-species-dilution-info": "", "ICCIF-species-notes": "" }, "African green monkey": { "FlowCyt-species-checked": "guaranteed", "FlowCyt-species-dilution-info": "", "FlowCyt-species-notes": "<p><a href='/en-us/products/primary-antibodies/mouse-igg1-kappa-monoclonal-15-6e10a7-isotype-control-ab170190'>ab170190</a> - Mouse monoclonal IgG1, is suitable for use as an isotype control with this antibody.</p>", "ELISA-species-checked": "guaranteed", "ELISA-species-dilution-info": "", "ELISA-species-notes": "", "WB-species-checked": "testedAndGuaranteed", "WB-species-dilution-info": "1/500 - 1/2000", "WB-species-notes": "<p></p>", "IHCP-species-checked": "guaranteed", "IHCP-species-dilution-info": "", "IHCP-species-notes": "", "ICCIF-species-checked": "guaranteed", "ICCIF-species-dilution-info": "", "ICCIF-species-notes": "" }, "Recombinant fragment - Human": { "FlowCyt-species-checked": "notRecommended", "FlowCyt-species-dilution-info": "", "FlowCyt-species-notes": "", "ELISA-species-checked": "testedAndGuaranteed", "ELISA-species-dilution-info": "1/10000", "ELISA-species-notes": "<p></p>", "WB-species-checked": "notRecommended", "WB-species-dilution-info": "", "WB-species-notes": "", "IHCP-species-checked": "notRecommended", "IHCP-species-dilution-info": "", "IHCP-species-notes": "", "ICCIF-species-checked": "notRecommended", "ICCIF-species-dilution-info": "", "ICCIF-species-notes": "" }, "Recombinant full length protein - Human": { "FlowCyt-species-checked": "notRecommended", "FlowCyt-species-dilution-info": "", "FlowCyt-species-notes": "", "ELISA-species-checked": "notRecommended", "ELISA-species-dilution-info": "", "ELISA-species-notes": "", "WB-species-checked": "testedAndGuaranteed", "WB-species-dilution-info": "1/500 - 1/2000", "WB-species-notes": "<p></p>", "IHCP-species-checked": "notRecommended", "IHCP-species-dilution-info": "", "IHCP-species-notes": "", "ICCIF-species-checked": "notRecommended", "ICCIF-species-dilution-info": "", "ICCIF-species-notes": "" } } }

Product details

What is this antibody validated in?
Anti-IRAK4 antibody [2H9] (ab119942) is a mouse monoclonal antibody and is validated for use in Western Blot (WB), Flow Cytometry (Flow Cyt), Immunohistochemistry (IHC-P), Immunocytochemistry/immunofluorescence (ICC/IF), ELISA in African green monkey, Human, Mouse, samples.

What is the molecular weight of IRAK4?
Anti-IRAK4 [2H9] (ab119942) specifically detects a band for IRAK4 (UniProt: Q9NWZ3) at a molecular weight of 52kDa.

Specificity confirmed
The specificity of Anti-IRAK4 antibody [2H9] (ab119942) has been confirmed by Western blot testing in IRAK4 Knockout THP-1 cell line, ab281630.

Properties and storage information

Form
Liquid
Purification technique
Affinity purification Protein G
Purification notes
Purified from tissue culture supernatant.
Storage buffer
Preservative: 0.05% Sodium azide Constituents: PBS
Shipped at conditions
Blue Ice
Appropriate short-term storage duration
1-2 weeks
Appropriate short-term storage conditions
+4°C
Appropriate long-term storage conditions
-20°C

Supplementary information

This supplementary information is collated from multiple sources and compiled automatically.

IRAK4 also known as Interleukin-1 receptor-associated kinase 4 is an important protein with an approximate molecular mass of 51 kDa. This protein is a significant part of the signaling cascade initiated by the Interleukin-1 receptor (IL-1R) and Toll-like receptors (TLRs). Expressed in a variety of tissues including the spleen thymus and lung IRAK4 is involved in innate immune responses. The presence of IRAK4 protein facilitates the downstream signaling pathways that activate the transcription factors responsible for inflammatory cytokine production.
Biological function summary

IRAK4 plays an important role in mediating signaling in the innate immune system by forming complexes with other proteins such as IRAK-1. These complexes propagate signals that result in the activation of transcription factors like NF-kB and AP-1 which regulate the expression of inflammatory genes. Through these mechanisms IRAK4 influences the body's ability to respond to infections and stresses. Its critical involvement in these signaling pathways highlights its importance in maintaining immune homeostasis.

Pathways

IRAK4 is a pivotal player in the Toll-like receptor and IL-1 receptor signaling pathways which are central to the host defense against pathogens. It functions upstream activating the MyD88-dependent pathway resulting in the recruitment and phosphorylation of other kinases such as IRAK-1 and TRAF6. These interactions trigger the NF-kB signaling cascade thereby enhancing pro-inflammatory cytokine production that is essential for initiating immune responses.

Mutations or dysregulation of IRAK4 are linked to increased susceptibility to recurrent bacterial infections and sepsis. Patients with IRAK4 deficiency have impaired NF-kB activation leading to a weakened inflammatory response. Additionally overexpression of IRAK4 has been observed in certain autoimmune diseases such as rheumatoid arthritis where the persistent activation of TLR signaling contributes to chronic inflammation. The role of IRAK4 in these disorders ties closely with its interaction with proteins like TRAF6 influencing disease development and progression.

Product protocols

For this product, it's our understanding that no specific protocols are required. You can visit:

Target data

Serine/threonine-protein kinase that plays a critical role in initiating innate immune response against foreign pathogens. Involved in Toll-like receptor (TLR) and IL-1R signaling pathways (PubMed : 17878374). Is rapidly recruited by MYD88 to the receptor-signaling complex upon TLR activation to form the Myddosome together with IRAK2. Phosphorylates initially IRAK1, thus stimulating the kinase activity and intensive autophosphorylation of IRAK1. Phosphorylates E3 ubiquitin ligases Pellino proteins (PELI1, PELI2 and PELI3) to promote pellino-mediated polyubiquitination of IRAK1. Then, the ubiquitin-binding domain of IKBKG/NEMO binds to polyubiquitinated IRAK1 bringing together the IRAK1-MAP3K7/TAK1-TRAF6 complex and the NEMO-IKKA-IKKB complex. In turn, MAP3K7/TAK1 activates IKKs (CHUK/IKKA and IKBKB/IKKB) leading to NF-kappa-B nuclear translocation and activation. Alternatively, phosphorylates TIRAP to promote its ubiquitination and subsequent degradation. Phosphorylates NCF1 and regulates NADPH oxidase activation after LPS stimulation suggesting a similar mechanism during microbial infections.
See full target information IRAK4

Publications (9)

Recent publications for all applications. Explore the full list and refine your search

Clinical cancer research : an official journal of the American Association for Cancer Research 31:746-755 PubMed39704655

2024

Smoking-Associated Carcinogen-Induced Inflammation Promotes Lung Carcinogenesis via IRAK4 Activation.

Applications

Unspecified application

Species

Unspecified reactive species

Ritesh K Aggarwal,Simone Sidoli,Jingli Wang,Srabani Sahu,Rahul Sanawar,Varun Gupta,Srinivas Aluri,Vineeth Sukrithan,Charan T R Vegivinti,Phaedon D Zavras,Divij Verma,Shanisha Gordon-Mitchell,Beamon Agarwal,Tanya Verma,Daniel T Starczynowski,Ulrich G Steidl,Aditi Shastri,Balazs Halmos,Lindsay M LaFave,Haiying Cheng,Amit Verma,Yiyu Zou

Cell death and differentiation 31:753-767 PubMed38605168

2024

OTUD5 promotes the inflammatory immune response by enhancing MyD88 oligomerization and Myddosome formation.

Applications

Unspecified application

Species

Unspecified reactive species

Yaxing Liu,Jiahua Yuan,Yuling Zhang,Fei Qin,Xuemei Bai,Wanwei Sun,Tian Chen,Feng Liu,Yi Zheng,Xiaopeng Qi,Wei Zhao,Bingyu Liu,Chengjiang Gao

Phytotherapy research : PTR 37:731-742 PubMed36196887

2022

Effect of curcumin on regulatory B cells in chronic colitis mice involving TLR/MyD88 signaling pathway.

Applications

Unspecified application

Species

Unspecified reactive species

Jie Huang,Tiantian Wu,Youbao Zhong,Jiaqi Huang,Zengping Kang,Bugao Zhou,Haimei Zhao,Duanyong Liu

Frontiers in immunology 12:723683 PubMed34456930

2021

Mitofusin 2 Deficiency Causes Pro-Inflammatory Effects in Human Primary Macrophages.

Applications

Unspecified application

Species

Unspecified reactive species

Vera Khodzhaeva,Yannick Schreiber,Gerd Geisslinger,Ralf P Brandes,Bernhard Brüne,Dmitry Namgaladze

Frontiers in immunology 12:637659 PubMed33767707

2021

Activation of Toll-Like Receptor 7 Signaling Pathway in Primary Sjögren's Syndrome-Associated Thrombocytopenia.

Applications

Unspecified application

Species

Unspecified reactive species

Shuo Zhang,Jingge Qu,Li Wang,Mengtao Li,Dong Xu,Yan Zhao,Fengchun Zhang,Xiaofeng Zeng

Experimental cell research 396:112159 PubMed32652081

2020

Toll-like receptor-9 (TLR-9) deficiency alleviates optic nerve injury (ONI) by inhibiting inflammatory response in vivo and in vitro.

Applications

Unspecified application

Species

Unspecified reactive species

Lu Zhang,Xueying Li

Methods in molecular biology (Clifton, N.J.) 1714:79-95 PubMed29177857

2017

Biochemical Isolation of the Myddosome from Murine Macrophages.

Applications

Unspecified application

Species

Unspecified reactive species

Yunhao Tan,Jonathan C Kagan

International journal of molecular medicine 35:1003-10 PubMed25695694

2015

The role of Toll-like receptor 3 and 4 in regulating the function of mesenchymal stem cells isolated from umbilical cord.

Applications

Unspecified application

Species

Unspecified reactive species

Li Zhang,Dan Liu,Dan Pu,Yanwen Wang,Li Li,Yanqi He,Yalun Li,Lei Li,Zhixin Qiu,Shuang Zhao,Weimin Li

PloS one 7:e52697 PubMed23285155

2012

A subclone of HuH-7 with enhanced intracellular hepatitis C virus production and evasion of virus related-cell cycle arrest.

Applications

Unspecified application

Species

Unspecified reactive species

Asako Murayama,Nao Sugiyama,Seiko Yoshimura,Mitsuko Ishihara-Sugano,Takahiro Masaki,Sulyi Kim,Takaji Wakita,Shunji Mishiro,Takanobu Kato
View all publications

Product promise

We are committed to supporting your work with high-quality reagents, and we're here for you every step of the way. In the unlikely event that one of our products does not perform as expected, you're protected by our Product Promise.
For full details, please see our Terms & Conditions

Please note: All products are 'FOR RESEARCH USE ONLY. NOT FOR USE IN DIAGNOSTIC OR THERAPEUTIC PROCEDURES'.

For licensing inquiries, please contact partnerships@abcam.com