JavaScript is disabled in your browser. Please enable JavaScript to view this website.
AB113525

Anti-IRAK4 antibody

5

(1 Review)

|

(1 Publication)

Goat Polyclonal IRAK4 antibody. Suitable for IHC-P, WB and reacts with Human samples. Cited in 1 publication. Immunogen corresponding to Synthetic Peptide within Human IRAK4 aa 1-50 conjugated to Keyhole Limpet Haemocyanin.

View Alternative Names

Interleukin-1 receptor-associated kinase 4, IRAK-4, Renal carcinoma antigen NY-REN-64, IRAK4

3 Images
Immunohistochemistry (Formalin/PFA-fixed paraffin-embedded sections) - Anti-IRAK4 antibody (AB113525)
  • IHC-P

Unknown

Immunohistochemistry (Formalin/PFA-fixed paraffin-embedded sections) - Anti-IRAK4 antibody (AB113525)

ab113525 at 3.75ug/ml staining IRAK4 in Human heart tissue by immunohistochemistry.

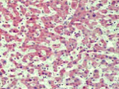
Immunohistochemistry (Formalin/PFA-fixed paraffin-embedded sections) - Anti-IRAK4 antibody (AB113525)
  • IHC-P

Unknown

Immunohistochemistry (Formalin/PFA-fixed paraffin-embedded sections) - Anti-IRAK4 antibody (AB113525)

ab113525 at 3.75ug/ml staining IRAK4 in Human liver tissue by immunohistochemistry.

Western blot - Anti-IRAK4 antibody (AB113525)
  • WB

Unknown

Western blot - Anti-IRAK4 antibody (AB113525)

All lanes:

Western blot - Anti-IRAK4 antibody (ab113525) at 1/1 dilution

All lanes:

HeLa cell lysate at 35 µg

Predicted band size: 52 kDa

true

Key facts

Host species

Goat

Clonality

Polyclonal

Isotype

IgG

Carrier free

No

Reacts with

Human

Applications

WB, IHC-P

applications

Immunogen

Synthetic Peptide within Human IRAK4 aa 1-50 conjugated to Keyhole Limpet Haemocyanin. The exact immunogen used to generate this antibody is proprietary information.

Q9NWZ3

Reactivity data

{ "title": "Reactivity Data", "filters": { "stats": ["", "Species", "Dilution Info", "Notes"], "tabs": { "all-applications": {"fullname" : "All Applications", "shortname": "All Applications"}, "IHCP" : {"fullname" : "Immunohistochemistry (Formalin/PFA-fixed paraffin-embedded sections)", "shortname":"IHC-P"}, "WB" : {"fullname" : "Western blot", "shortname":"WB"} }, "product-promise": { "all": "all", "testedAndGuaranteed": "tested", "guaranteed": "expected", "predicted": "predicted", "notRecommended": "not-recommended" } }, "values": { "Human": { "IHCP-species-checked": "testedAndGuaranteed", "IHCP-species-dilution-info": "3.75 µg/mL", "IHCP-species-notes": "<p></p> Perform heat-mediated antigen retrieval with citrate buffer pH 6 before commencing with IHC staining protocol.", "WB-species-checked": "testedAndGuaranteed", "WB-species-dilution-info": "1-3 µg/mL", "WB-species-notes": "<p></p>" }, "Cow": { "IHCP-species-checked": "predicted", "IHCP-species-dilution-info": "", "IHCP-species-notes": "", "WB-species-checked": "predicted", "WB-species-dilution-info": "", "WB-species-notes": "" }, "Dog": { "IHCP-species-checked": "predicted", "IHCP-species-dilution-info": "", "IHCP-species-notes": "", "WB-species-checked": "predicted", "WB-species-dilution-info": "", "WB-species-notes": "" }, "Horse": { "IHCP-species-checked": "predicted", "IHCP-species-dilution-info": "", "IHCP-species-notes": "", "WB-species-checked": "predicted", "WB-species-dilution-info": "", "WB-species-notes": "" }, "Pig": { "IHCP-species-checked": "predicted", "IHCP-species-dilution-info": "", "IHCP-species-notes": "", "WB-species-checked": "predicted", "WB-species-dilution-info": "", "WB-species-notes": "" }, "Sheep": { "IHCP-species-checked": "predicted", "IHCP-species-dilution-info": "", "IHCP-species-notes": "", "WB-species-checked": "predicted", "WB-species-dilution-info": "", "WB-species-notes": "" } } }

Properties and storage information

Form
Liquid
Purification technique
Affinity purification Immunogen
Storage buffer
pH: 7.3 Preservative: 0.02% Sodium azide Constituents: 99.48% Tris buffered saline, 0.5% BSA
Shipped at conditions
Blue Ice
Appropriate short-term storage conditions
+4°C
Appropriate long-term storage conditions
-20°C
Aliquoting information
Upon delivery aliquot
Storage information
Avoid freeze / thaw cycle

Supplementary information

This supplementary information is collated from multiple sources and compiled automatically.

IRAK4 also known as Interleukin-1 receptor-associated kinase 4 is an important protein with an approximate molecular mass of 51 kDa. This protein is a significant part of the signaling cascade initiated by the Interleukin-1 receptor (IL-1R) and Toll-like receptors (TLRs). Expressed in a variety of tissues including the spleen thymus and lung IRAK4 is involved in innate immune responses. The presence of IRAK4 protein facilitates the downstream signaling pathways that activate the transcription factors responsible for inflammatory cytokine production.
Biological function summary

IRAK4 plays an important role in mediating signaling in the innate immune system by forming complexes with other proteins such as IRAK-1. These complexes propagate signals that result in the activation of transcription factors like NF-kB and AP-1 which regulate the expression of inflammatory genes. Through these mechanisms IRAK4 influences the body's ability to respond to infections and stresses. Its critical involvement in these signaling pathways highlights its importance in maintaining immune homeostasis.

Pathways

IRAK4 is a pivotal player in the Toll-like receptor and IL-1 receptor signaling pathways which are central to the host defense against pathogens. It functions upstream activating the MyD88-dependent pathway resulting in the recruitment and phosphorylation of other kinases such as IRAK-1 and TRAF6. These interactions trigger the NF-kB signaling cascade thereby enhancing pro-inflammatory cytokine production that is essential for initiating immune responses.

Mutations or dysregulation of IRAK4 are linked to increased susceptibility to recurrent bacterial infections and sepsis. Patients with IRAK4 deficiency have impaired NF-kB activation leading to a weakened inflammatory response. Additionally overexpression of IRAK4 has been observed in certain autoimmune diseases such as rheumatoid arthritis where the persistent activation of TLR signaling contributes to chronic inflammation. The role of IRAK4 in these disorders ties closely with its interaction with proteins like TRAF6 influencing disease development and progression.

Product protocols

For this product, it's our understanding that no specific protocols are required. You can visit:

Target data

Serine/threonine-protein kinase that plays a critical role in initiating innate immune response against foreign pathogens. Involved in Toll-like receptor (TLR) and IL-1R signaling pathways (PubMed : 17878374). Is rapidly recruited by MYD88 to the receptor-signaling complex upon TLR activation to form the Myddosome together with IRAK2. Phosphorylates initially IRAK1, thus stimulating the kinase activity and intensive autophosphorylation of IRAK1. Phosphorylates E3 ubiquitin ligases Pellino proteins (PELI1, PELI2 and PELI3) to promote pellino-mediated polyubiquitination of IRAK1. Then, the ubiquitin-binding domain of IKBKG/NEMO binds to polyubiquitinated IRAK1 bringing together the IRAK1-MAP3K7/TAK1-TRAF6 complex and the NEMO-IKKA-IKKB complex. In turn, MAP3K7/TAK1 activates IKKs (CHUK/IKKA and IKBKB/IKKB) leading to NF-kappa-B nuclear translocation and activation. Alternatively, phosphorylates TIRAP to promote its ubiquitination and subsequent degradation. Phosphorylates NCF1 and regulates NADPH oxidase activation after LPS stimulation suggesting a similar mechanism during microbial infections.
See full target information IRAK4

Publications (1)

Recent publications for all applications. Explore the full list and refine your search

Journal of hypertension 43:1675-1685 PubMed40704393

2025

Overexpression of TLR7 contributes to the development of preeclampsia through suppression of the PI3K-Akt signaling pathway.

Applications

Unspecified application

Species

Unspecified reactive species

Xiaowei Zhang,Shilin Zhong,Ping Yang,Xinyang Liu,Jinli Lyu,Yuzhen Ding,Qiaoli Feng,Yiheng Liang,Ping Liu,Chunfeng Liu,Yanlan Wang,Yuxia Zhu,Liting Huang,Zhansong Xiao,Pingyue Zhao,Qing Li,Kaidong Ma,Shangrong Fan
View all publications

Product promise

We are committed to supporting your work with high-quality reagents, and we're here for you every step of the way. In the unlikely event that one of our products does not perform as expected, you're protected by our Product Promise.
For full details, please see our Terms & Conditions

Please note: All products are 'FOR RESEARCH USE ONLY. NOT FOR USE IN DIAGNOSTIC OR THERAPEUTIC PROCEDURES'.

For licensing inquiries, please contact partnerships@abcam.com