JavaScript is disabled in your browser. Please enable JavaScript to view this website.
AB300077

Anti-IRAK4 antibody [EPR24506-71]

Be the first to review this product! Submit a review

|

(0 Publication)

Rabbit Recombinant Monoclonal IRAK4 antibody. Suitable for WB, IP and reacts with Mouse, Rat samples.

View Alternative Names

Interleukin-1 receptor-associated kinase 4, IRAK-4, Renal carcinoma antigen NY-REN-64, IRAK4

4 Images
Immunoprecipitation - Anti-IRAK4 antibody [EPR24506-71] (AB300077)
  • IP

Supplier Data

Immunoprecipitation - Anti-IRAK4 antibody [EPR24506-71] (AB300077)

IRAK4 was immunoprecipitated from 0.35 mg MEF (mouse embryonic fibroblast) whole cell lysate 10μg with ab300077 at 1/30 dilution (2μg in 0.35mg lysates). Western blot was performed on the immunoprecipitate using ab300077 at 1/1000 dilution. VeriBlot for IP secondary antibody (HRP)(ab131366) was used at 1/5000 dilution.

Lane 1 : MEF (mouse embryonic fibroblast) whole cell lysate 10μg

Lane 2 : ab300077 in MEF whole cell lysate 10μg

Lane 3 : Rabbit monoclonal IgG (ab172730) instead of ab300077 in MEF whole cell lysate

Blocking and dilution buffer and concentration : 5% NFDM/TBST.

Exposure time : 180 seconds

All lanes:

Immunoprecipitation - Anti-IRAK4 antibody [EPR24506-71] (ab300077)

Predicted band size: 52 kDa

Observed band size: 50 kDa

false

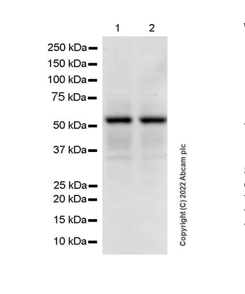
Western blot - Anti-IRAK4 antibody [EPR24506-71] (AB300077)
  • WB

Supplier Data

Western blot - Anti-IRAK4 antibody [EPR24506-71] (AB300077)

Blocking and diluting buffer and concentration : 5% NFDM/TBST.

The band near 37KD is a nonspecific band.

This blot was developed using a high sensitivity ECL substrate. The high-sensitivity ECL substrate used allows for the detection of proteins in the mid-femtogram range.

All lanes:

Western blot - Anti-IRAK4 antibody [EPR24506-71] (ab300077) at 1/1000 dilution

Lane 1:

Mouse lymph node tissue lysate at 20 µg

Lane 2:

Rat lymph node tissue lysate at 20 µg

Secondary

All lanes:

Western blot - Goat Anti-Rabbit IgG H&L (HRP) (<a href='/en-us/products/secondary-antibodies/goat-rabbit-igg-h-l-hrp-ab97051'>ab97051</a>) at 1/20000 dilution

Predicted band size: 52 kDa

Observed band size: 50 kDa

true

Exposure time: 70s

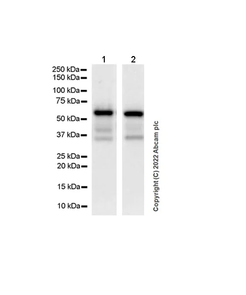
Western blot - Anti-IRAK4 antibody [EPR24506-71] (AB300077)
  • WB

Supplier Data

Western blot - Anti-IRAK4 antibody [EPR24506-71] (AB300077)

Blocking and diluting buffer and concentration : 5% NFDM/TBST.

Lysates were made freshly and used in WB immediately to minimize protein degradation.
This blot was developed using a high sensitivity ECL substrate. The high-sensitivity ECL substrate used allows for the detection of proteins in the mid-femtogram range.

All lanes:

Western blot - Anti-IRAK4 antibody [EPR24506-71] (ab300077) at 1/2000 dilution

Lane 1:

RAW264.7 (Mouse Abelson murine leukemia virus-induced tumor macrophage) whole cell lysate at 20 µg

Lane 2:

2.4G2 (Rat B cell lymphoma B lymphocyte) whole cell lysate at 20 µg

Secondary

All lanes:

Western blot - Goat Anti-Rabbit IgG H&L (HRP) (<a href='/en-us/products/secondary-antibodies/goat-rabbit-igg-h-l-hrp-ab97051'>ab97051</a>) at 1/20000 dilution

Predicted band size: 52 kDa

Observed band size: 50 kDa

true

Exposure time: 81s

Western blot - Anti-IRAK4 antibody [EPR24506-71] (AB300077)
  • WB

Supplier Data

Western blot - Anti-IRAK4 antibody [EPR24506-71] (AB300077)

Blocking and diluting buffer and concentration : 5% NFDM/TBST.

Low expression : MEF, DCS (PMID : 11923.

The band near 37KD is a nonspecific band.

This blot was developed using a high sensitivity ECL substrate. The high-sensitivity ECL substrate used allows for the detection of proteins in the mid-femtogram range.

All lanes:

Western blot - Anti-IRAK4 antibody [EPR24506-71] (ab300077) at 1/1000 dilution

Lane 1:

RAW264.7 (Mouse Abelson murine leukemia virus-induced tumor macrophage) whole cell lysate at 40 µg

Lane 2:

MEF (Mouse embryonic fibroblast) whole cell lysate at 40 µg

Lane 3:

DCS (Mouse dendritic cell sarcoma) whole cell lysate at 40 µg

Secondary

All lanes:

Western blot - Goat Anti-Rabbit IgG H&L (HRP) (<a href='/en-us/products/secondary-antibodies/goat-rabbit-igg-h-l-hrp-ab97051'>ab97051</a>) at 1/20000 dilution

Predicted band size: 52 kDa

Observed band size: 50 kDa

true

Exposure time: 70s

  • Carrier free

    Anti-IRAK4 antibody [EPR24506-71] (BSA and Azide free)

Key facts

Host species

Rabbit

Clonality

Monoclonal

Clone number

EPR24506-71

Isotype

IgG

Carrier free

No

Reacts with

Mouse, Rat

Applications

WB, IP

applications

Immunogen

The exact immunogen used to generate this antibody is proprietary information.

Reactivity data

{ "title": "Reactivity Data", "filters": { "stats": ["", "Species", "Dilution Info", "Notes"], "tabs": { "all-applications": {"fullname" : "All Applications", "shortname": "All Applications"}, "ICCIF" : {"fullname" : "Immunocytochemistry/ Immunofluorescence", "shortname":"ICC/IF"}, "IHCP" : {"fullname" : "Immunohistochemistry (Formalin/PFA-fixed paraffin-embedded sections)", "shortname":"IHC-P"}, "FlowCytIntra" : {"fullname" : "Flow Cytometry (Intracellular)", "shortname":"Flow Cyt (Intra)"}, "WB" : {"fullname" : "Western blot", "shortname":"WB"}, "IP" : {"fullname" : "Immunoprecipitation", "shortname":"IP"} }, "product-promise": { "all": "all", "testedAndGuaranteed": "tested", "guaranteed": "expected", "predicted": "predicted", "notRecommended": "not-recommended" } }, "values": { "Human": { "ICCIF-species-checked": "notRecommended", "ICCIF-species-dilution-info": "", "ICCIF-species-notes": "<p></p>", "IHCP-species-checked": "notRecommended", "IHCP-species-dilution-info": "", "IHCP-species-notes": "<p></p>", "FlowCytIntra-species-checked": "notRecommended", "FlowCytIntra-species-dilution-info": "", "FlowCytIntra-species-notes": "<p></p>", "WB-species-checked": "notRecommended", "WB-species-dilution-info": "", "WB-species-notes": "", "IP-species-checked": "notRecommended", "IP-species-dilution-info": "", "IP-species-notes": "" }, "Mouse": { "ICCIF-species-checked": "notRecommended", "ICCIF-species-dilution-info": "", "ICCIF-species-notes": "<p></p>", "IHCP-species-checked": "notRecommended", "IHCP-species-dilution-info": "", "IHCP-species-notes": "<p></p>", "FlowCytIntra-species-checked": "notRecommended", "FlowCytIntra-species-dilution-info": "", "FlowCytIntra-species-notes": "<p></p>", "WB-species-checked": "testedAndGuaranteed", "WB-species-dilution-info": "1/1000", "WB-species-notes": "<p></p>", "IP-species-checked": "testedAndGuaranteed", "IP-species-dilution-info": "1/30", "IP-species-notes": "<p></p>" }, "Rat": { "ICCIF-species-checked": "notRecommended", "ICCIF-species-dilution-info": "", "ICCIF-species-notes": "", "IHCP-species-checked": "notRecommended", "IHCP-species-dilution-info": "", "IHCP-species-notes": "<p></p>", "FlowCytIntra-species-checked": "notRecommended", "FlowCytIntra-species-dilution-info": "", "FlowCytIntra-species-notes": "<p></p>", "WB-species-checked": "testedAndGuaranteed", "WB-species-dilution-info": "1/1000", "WB-species-notes": "<p></p>", "IP-species-checked": "guaranteed", "IP-species-dilution-info": "", "IP-species-notes": "" } } }

Product details

Patented technology
Our RabMAb® technology is a patented hybridoma-based technology for making rabbit monoclonal antibodies. For details on our patents, please refer to RabMAb® patents.

What are the advantages of a recombinant monoclonal antibody?
This product is a recombinant monoclonal antibody, which offers several advantages including:

  • - High batch-to-batch consistency and reproducibility
  • - Improved sensitivity and specificity
  • - Long-term security of supply
  • - Animal-free batch production

For more information, read more on recombinant antibodies.

Properties and storage information

Form
Liquid
Purification technique
Affinity purification Protein A
Storage buffer
pH: 7.2 - 7.4 Preservative: 0.01% Sodium azide Constituents: PBS, 40% Glycerol (glycerin, glycerine), 0.05% BSA
Shipped at conditions
Blue Ice
Appropriate short-term storage duration
1-2 weeks
Appropriate short-term storage conditions
+4°C
Appropriate long-term storage conditions
-20°C
Aliquoting information
Upon delivery aliquot
Storage information
Avoid freeze / thaw cycle

Supplementary information

This supplementary information is collated from multiple sources and compiled automatically.

IRAK4 also known as Interleukin-1 receptor-associated kinase 4 is an important protein with an approximate molecular mass of 51 kDa. This protein is a significant part of the signaling cascade initiated by the Interleukin-1 receptor (IL-1R) and Toll-like receptors (TLRs). Expressed in a variety of tissues including the spleen thymus and lung IRAK4 is involved in innate immune responses. The presence of IRAK4 protein facilitates the downstream signaling pathways that activate the transcription factors responsible for inflammatory cytokine production.
Biological function summary

IRAK4 plays an important role in mediating signaling in the innate immune system by forming complexes with other proteins such as IRAK-1. These complexes propagate signals that result in the activation of transcription factors like NF-kB and AP-1 which regulate the expression of inflammatory genes. Through these mechanisms IRAK4 influences the body's ability to respond to infections and stresses. Its critical involvement in these signaling pathways highlights its importance in maintaining immune homeostasis.

Pathways

IRAK4 is a pivotal player in the Toll-like receptor and IL-1 receptor signaling pathways which are central to the host defense against pathogens. It functions upstream activating the MyD88-dependent pathway resulting in the recruitment and phosphorylation of other kinases such as IRAK-1 and TRAF6. These interactions trigger the NF-kB signaling cascade thereby enhancing pro-inflammatory cytokine production that is essential for initiating immune responses.

Mutations or dysregulation of IRAK4 are linked to increased susceptibility to recurrent bacterial infections and sepsis. Patients with IRAK4 deficiency have impaired NF-kB activation leading to a weakened inflammatory response. Additionally overexpression of IRAK4 has been observed in certain autoimmune diseases such as rheumatoid arthritis where the persistent activation of TLR signaling contributes to chronic inflammation. The role of IRAK4 in these disorders ties closely with its interaction with proteins like TRAF6 influencing disease development and progression.

Product protocols

For this product, it's our understanding that no specific protocols are required. You can visit:

Target data

Serine/threonine-protein kinase that plays a critical role in initiating innate immune response against foreign pathogens. Involved in Toll-like receptor (TLR) and IL-1R signaling pathways (PubMed : 17878374). Is rapidly recruited by MYD88 to the receptor-signaling complex upon TLR activation to form the Myddosome together with IRAK2. Phosphorylates initially IRAK1, thus stimulating the kinase activity and intensive autophosphorylation of IRAK1. Phosphorylates E3 ubiquitin ligases Pellino proteins (PELI1, PELI2 and PELI3) to promote pellino-mediated polyubiquitination of IRAK1. Then, the ubiquitin-binding domain of IKBKG/NEMO binds to polyubiquitinated IRAK1 bringing together the IRAK1-MAP3K7/TAK1-TRAF6 complex and the NEMO-IKKA-IKKB complex. In turn, MAP3K7/TAK1 activates IKKs (CHUK/IKKA and IKBKB/IKKB) leading to NF-kappa-B nuclear translocation and activation. Alternatively, phosphorylates TIRAP to promote its ubiquitination and subsequent degradation. Phosphorylates NCF1 and regulates NADPH oxidase activation after LPS stimulation suggesting a similar mechanism during microbial infections.
See full target information IRAK4

Product promise

We are committed to supporting your work with high-quality reagents, and we're here for you every step of the way. In the unlikely event that one of our products does not perform as expected, you're protected by our Product Promise.
For full details, please see our Terms & Conditions

Please note: All products are 'FOR RESEARCH USE ONLY. NOT FOR USE IN DIAGNOSTIC OR THERAPEUTIC PROCEDURES'.

For licensing inquiries, please contact partnerships@abcam.com