JavaScript is disabled in your browser. Please enable JavaScript to view this website.
AB322062

Anti-IRE1 antibody [EPR29162-31] - BSA and Azide free

Be the first to review this product! Submit a review

|

(0 Publication)

Rabbit Recombinant Monoclonal IRE1 antibody. Carrier free. Suitable for WB and reacts with Human, Mouse, Rat samples.

View Alternative Names

IRE1, ERN1, Serine/threonine-protein kinase/endoribonuclease IRE1, Endoplasmic reticulum-to-nucleus signaling 1, Inositol-requiring protein 1, Ire1-alpha, hIRE1p, IRE1a

3 Images
Western blot - Anti-IRE1 antibody [EPR29162-31] - BSA and Azide free (AB322062)
  • WB

Supplier Data

Western blot - Anti-IRE1 antibody [EPR29162-31] - BSA and Azide free (AB322062)

This data was developed using ab322061, the same antibody clone in a different buffer formulation.

Blocking and diluting buffer and concentration : 5% NFDM/TBST.

In Western blot, Anti-GAPDH antibody [EPR16891] - Loading Control (ab181602) staining at 1/200000 dilution.

All lanes:

Western blot - Anti-IRE1 antibody [EPR29162-31] (<a href='/en-us/products/primary-antibodies/ire1-antibody-epr29162-31-ab322061'>ab322061</a>) at 1/1000 dilution

Lane 1:

HeLa (human cervical adenocarcinoma epithelial cell) transfected with scrambled siRNA control whole cell lysate at 20 µg

Lane 2:

HeLa transfected with siRNA specifically targeting IRE1 whole cell lysate at 20 µg

Secondary

All lanes:

Western blot - Goat Anti-Rabbit IgG H&L (HRP) (<a href='/en-us/products/secondary-antibodies/goat-rabbit-igg-h-l-hrp-ab97051'>ab97051</a>) at 1/20000 dilution

Observed band size: 130 kDa,36 kDa

false

Exposure time: 59s

Western blot - Anti-IRE1 antibody [EPR29162-31] - BSA and Azide free (AB322062)
  • WB

Supplier Data

Western blot - Anti-IRE1 antibody [EPR29162-31] - BSA and Azide free (AB322062)

This data was developed using ab322061, the same antibody clone in a different buffer formulation.

Blocking and diluting buffer and concentration : 5% NFDM/TBST.

The identity of the bands lower than 130 kDa in lanes 1-3 are unknown.

Lanes 1-2 are applied with Goat Anti-Rabbit IgG (HRP) with minimal cross-reactivity with human IgG (Merck DC03L) at 1/2000 and lanes 3-5 are applied with Goat Anti-Rabbit IgG, (H+L), Peroxidase conjugated (ab97051) at 1/20000.

This blot of lanes 1-2 was developed using a high sensitivity ECL substrate.

Exposure time : Lanes1-2 : 92 seconds; Lanes 3-5 : 180 seconds

All lanes:

Western blot - Anti-IRE1 antibody [EPR29162-31] (<a href='/en-us/products/primary-antibodies/ire1-antibody-epr29162-31-ab322061'>ab322061</a>) at 1/1000 dilution

Lane 1:

Human kidney tissue lysate at 20 µg

Lane 2:

Human testis tissue lysate at 20 µg

Lane 3:

Mouse liver tissue lysate at 20 µg

Lane 4:

Mouse testis tissue lysate at 20 µg

Lane 5:

Rat liver tissue lysate at 20 µg

Secondary

All lanes:

Western blot - Goat Anti-Rabbit IgG H&L (HRP) (<a href='/en-us/products/secondary-antibodies/goat-rabbit-igg-h-l-hrp-ab97051'>ab97051</a>) at 1/20000 dilution

Observed band size: 130 kDa

false

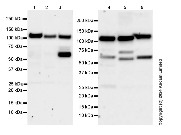
Western blot - Anti-IRE1 antibody [EPR29162-31] - BSA and Azide free (AB322062)
  • WB

Supplier Data

Western blot - Anti-IRE1 antibody [EPR29162-31] - BSA and Azide free (AB322062)

This data was developed using ab322061, the same antibody clone in a different buffer formulation.

Blocking and diluting buffer and concentration : 5% NFDM/TBST.

To minimize protein degradation, cells were lysed immediately after harvest and then applied to a gel and transfer membrane for Western blotting as soon as possible.

The identity of the bands lower than 130 kDa are unknown.

All lanes:

Western blot - Anti-IRE1 antibody [EPR29162-31] (<a href='/en-us/products/primary-antibodies/ire1-antibody-epr29162-31-ab322061'>ab322061</a>) at 1/1000 dilution

Lane 1:

293T (human embryonic kidney epithelial cell) whole cell lysate at 20 µg

Lane 2:

NIH/3T3 (mouse embryonic fibroblast) whole cell lysate at 20 µg

Lane 3:

PC-12 (rat adrenal gland pheochromocytoma cell) whole cell lysate at 20 µg

Lane 4:

C6 (rat glial tumor glial cell) whole cell lysate at 20 µg

Lane 5:

Neuro-2a (mouse neuroblastoma neuroblast) whole cell lysate at 20 µg

Lane 6:

U-87 MG (human glioblastoma-astrocytoma epithelial cell) whole cell lysate at 20 µg

Secondary

All lanes:

Western blot - Goat Anti-Rabbit IgG H&L (HRP) (<a href='/en-us/products/secondary-antibodies/goat-rabbit-igg-h-l-hrp-ab97051'>ab97051</a>) at 1/20000 dilution

Observed band size: 130 kDa

false

Exposure time: 81s

Key facts

Host species

Rabbit

Clonality

Monoclonal

Clone number

EPR29162-31

Isotype

IgG

Carrier free

Yes

Reacts with

Human, Mouse, Rat

Applications

WB

applications

Immunogen

The exact immunogen used to generate this antibody is proprietary information.

Reactivity data

{ "title": "Reactivity Data", "filters": { "stats": ["", "Species", "Dilution Info", "Notes"], "tabs": { "all-applications": {"fullname" : "All Applications", "shortname": "All Applications"}, "IHCP" : {"fullname" : "Immunohistochemistry (Formalin/PFA-fixed paraffin-embedded sections)", "shortname":"IHC-P"}, "WB" : {"fullname" : "Western blot", "shortname":"WB"} }, "product-promise": { "all": "all", "testedAndGuaranteed": "tested", "guaranteed": "expected", "predicted": "predicted", "notRecommended": "not-recommended" } }, "values": { "Human": { "IHCP-species-checked": "notRecommended", "IHCP-species-dilution-info": "", "IHCP-species-notes": "<p></p>", "WB-species-checked": "testedAndGuaranteed", "WB-species-dilution-info": "", "WB-species-notes": "<p></p>" }, "Mouse": { "IHCP-species-checked": "notRecommended", "IHCP-species-dilution-info": "", "IHCP-species-notes": "<p></p>", "WB-species-checked": "testedAndGuaranteed", "WB-species-dilution-info": "", "WB-species-notes": "<p></p>" }, "Rat": { "IHCP-species-checked": "notRecommended", "IHCP-species-dilution-info": "", "IHCP-species-notes": "", "WB-species-checked": "testedAndGuaranteed", "WB-species-dilution-info": "", "WB-species-notes": "<p></p>" } } }

Product details

ab322062 is the carrier-free version of ab322061.

Patented technology
Our RabMAb® technology is a patented hybridoma-based technology for making rabbit monoclonal antibodies. For details on our patents, please refer to RabMAb® patents.

What are the advantages of a recombinant monoclonal antibody?
This product is a recombinant monoclonal antibody, which offers several advantages including:

  • - High batch-to-batch consistency and reproducibility
  • - Improved sensitivity and specificity
  • - Long-term security of supply
  • - Animal-free batch production

For more information, read more on recombinant antibodies.

Conjugation ready
Our carrier-free antibodies are typically supplied in a PBS-only formulation, purified and free of BSA, sodium azide and glycerol. This conjugation-ready format is designed for use with fluorochromes, metal isotopes, oligonucleotides, and enzymes, which makes them ideal for antibody labelling, functional and cell-based assays, flow-based assays (e.g. mass cytometry) and Multiplex Imaging applications.

Use our conjugation kits for antibody conjugates that are ready-to-use in as little as 20 minutes with 1 minute hands-on-time and 100% antibody recovery: available for fluorescent dyes, HRP, biotin and gold.

Compatibility
This product is compatible with the Maxpar® Antibody Labeling Kit from Fluidigm, without the need for antibody preparation. Maxpar® is a trademark of Fluidigm Canada Inc.

Properties and storage information

Form
Liquid
Purification technique
Affinity purification Protein A
Storage buffer
pH: 7.2 - 7.4 Constituents: PBS
Shipped at conditions
Blue Ice
Appropriate short-term storage conditions
+4°C
Appropriate long-term storage conditions
+4°C

Supplementary information

This supplementary information is collated from multiple sources and compiled automatically.

The inositol-requiring enzyme 1 (IRE1) also known as ERN1 or IRE1 alpha is a critical endoplasmic reticulum (ER) stress sensor. It has a molecular weight of approximately 110 kDa. IRE1 is expressed in various cell types and tissues particularly in those subject to a high degree of protein synthesis such as the liver pancreas and secretory cells. This protein plays a dual role as both a RNase and a kinase which enables it to respond swiftly to misfolded proteins accumulating in the ER.
Biological function summary

IRE1 is an important regulator in the unfolded protein response (UPR) a cellular reaction to stress in the ER. It operates as part of a complex mechanism facilitating the splicing of X-box binding protein 1 (XBP1) mRNA which results in the production of a potent transcription factor. IRE1 activity helps in restoring normal function of the cell by upregulating genes involved in protein folding secretion and degradation. Its actions are important for maintaining cellular homeostasis during stressful conditions.

Pathways

IRE1 is an integral component of the UPR pathway which works to alleviate ER stress. It interacts closely with other UPR transducers such as activating transcription factor 6 (ATF6) and protein kinase RNA-like ER kinase (PERK). IRE1 connects with the XBP1 pathway facilitating adaptive responses that enhance protein-folding capacity lipid biosynthesis and ER-associated degradation. Altogether these pathways mediate cell survival or apoptosis depending on the severity of the stress.

IRE1 has significant involvement in conditions like diabetes and cancer. In the context of diabetes improper UPR signaling due to chronic ER stress leads to insulin resistance and pancreatic beta-cell dysfunction. In cancer IRE1 modulates tumor microenvironment and promotes cancer cell survival under hypoxic conditions. The XBP1 pathway linked with IRE1 also plays a substantial role in these diseases by influencing cell proliferation and apoptosis. Understanding the mechanisms of IRE1 in these conditions might provide therapeutic insights.

Product protocols

For this product, it's our understanding that no specific protocols are required. You can visit:

Target data

Serine/threonine-protein kinase and endoribonuclease that acts as a key sensor for the endoplasmic reticulum unfolded protein response (UPR) (PubMed : 11175748, PubMed : 11779464, PubMed : 12637535, PubMed : 21317875, PubMed : 28128204, PubMed : 30118681, PubMed : 9637683). In unstressed cells, the endoplasmic reticulum luminal domain is maintained in its inactive monomeric state by binding to the endoplasmic reticulum chaperone HSPA5/BiP (PubMed : 21317875). Accumulation of misfolded proteins in the endoplasmic reticulum causes release of HSPA5/BiP, allowing the luminal domain to homodimerize, promoting autophosphorylation of the kinase domain and subsequent activation of the endoribonuclease activity (PubMed : 21317875). The endoribonuclease activity is specific for XBP1 mRNA and excises 26 nucleotides from XBP1 mRNA (PubMed : 11779464, PubMed : 21317875, PubMed : 24508390). The resulting spliced transcript of XBP1 encodes a transcriptional activator protein that up-regulates expression of UPR target genes (PubMed : 11779464, PubMed : 21317875, PubMed : 24508390). Acts as an upstream signal for ER stress-induced GORASP2-mediated unconventional (ER/Golgi-independent) trafficking of CFTR to cell membrane by modulating the expression and localization of SEC16A (PubMed : 21884936, PubMed : 28067262).
See full target information ERN1

Product promise

We are committed to supporting your work with high-quality reagents, and we're here for you every step of the way. In the unlikely event that one of our products does not perform as expected, you're protected by our Product Promise.
For full details, please see our Terms & Conditions

Please note: All products are 'FOR RESEARCH USE ONLY. NOT FOR USE IN DIAGNOSTIC OR THERAPEUTIC PROCEDURES'.

For licensing inquiries, please contact partnerships@abcam.com