JavaScript is disabled in your browser. Please enable JavaScript to view this website.
AB324051

Anti-IRE1 (phospho S724) antibody [EPR26009-269]

  • BOND RX™ Validated
  • Recombinant
  • RabMAb
  • 20ul selling size
  • What is this?

Be the first to review this product! Submit a review

|

(0 Publication)

Rabbit Recombinant Monoclonal IRE1 phospho S724 antibody. Suitable for Dot, ICC/IF, IHC-P, WB and reacts with Synthetic peptide, Human, Mouse samples.

View Alternative Names

IRE1, ERN1, Serine/threonine-protein kinase/endoribonuclease IRE1, Endoplasmic reticulum-to-nucleus signaling 1, Inositol-requiring protein 1, Ire1-alpha, hIRE1p, IRE1a

9 Images
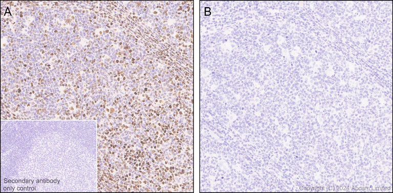
Immunohistochemistry (Formalin/PFA-fixed paraffin-embedded sections) - Anti-IRE1 (phospho S724) antibody [EPR26009-269] (AB324051)
  • IHC-P

Supplier Data

Immunohistochemistry (Formalin/PFA-fixed paraffin-embedded sections) - Anti-IRE1 (phospho S724) antibody [EPR26009-269] (AB324051)

Immunohistochemical analysis of paraffin-embedded Human tonsil tissue labeling IRE1 (phospho S724) with ab324051 at 1/2000 (0.264 ug/ml) dilution, followed by a ready to use LeicaDS9800 (Bond™ Polymer Refine Detection).

Postive staining on human tonsil without alkaline phosphatase treatment (A). No signal was detected when tissues were treated with alkaline phosphatase (B).
The section was incubated with ab324051 for 30 mins at room temperature.
The immunostaining was performed on a Leica Biosystems BOND® RX instrument

Counterstained with Hematoxylin.

Secondary antibody only control : Secondary antibody is a ready to use LeicaDS9800 (Bond™ Polymer Refine Detection).

Heat mediated antigen retrieval was performed with Tris-EDTA buffer (pH 9.0, Epitope Retrieval Solution2) for 20 mins

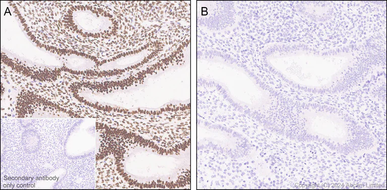
Immunohistochemistry (Formalin/PFA-fixed paraffin-embedded sections) - Anti-IRE1 (phospho S724) antibody [EPR26009-269] (AB324051)
  • IHC-P

Supplier Data

Immunohistochemistry (Formalin/PFA-fixed paraffin-embedded sections) - Anti-IRE1 (phospho S724) antibody [EPR26009-269] (AB324051)

Immunohistochemical analysis of paraffin-embedded Human endometrium tissue labeling IRE1 (phospho S724) with ab324051 at 1/2000 (0.264 ug/ml) dilution, followed by a ready to use LeicaDS9800 (Bond™ Polymer Refine Detection).

Postive staining on human endometrium without alkaline phosphatase treatment (A). No signal was detected when tissues were treated with alkaline phosphatase (B).
The section was incubated with ab324051 for 30 mins at room temperature.
The immunostaining was performed on a Leica Biosystems BOND® RX instrument

Counterstained with Hematoxylin.

Secondary antibody only control : Secondary antibody is a ready to use LeicaDS9800 (Bond™ Polymer Refine Detection).

Heat mediated antigen retrieval was performed with Tris-EDTA buffer (pH 9.0, Epitope Retrieval Solution2) for 20 mins

Immunocytochemistry/ Immunofluorescence - Anti-IRE1 (phospho S724) antibody [EPR26009-269] (AB324051)
  • ICC/IF

Supplier Data

Immunocytochemistry/ Immunofluorescence - Anti-IRE1 (phospho S724) antibody [EPR26009-269] (AB324051)

Immunofluorescent analysis of 4% Paraformaldehyde-fixed, 0.1% TritonX-100 permeabilized HeLa (human cervical adenocarcinoma epithelial cell) cells labelling IRE1 (phospho S724) with ab324051 at 1/5000 (0.106 ug/ml) dilution, followed by ab150081 Goat Anti-Rabbit IgG H&L (Alexa Fluor® 488) preadsorbed antibody at 1/ab150081 1000 2ug/ml dilution (Green).

Confocal image showing increased nuclear staining in HeLa cells (shown in green) treated with 10 mM for 1 hour, and the signal is decreased after Lambda Protein Phosphatase treatment at 30℃ for 2 hours. The counterstain was observed in magenta. Nuclear DNA was labelled with DAPI (shown in blue). Image was taken with a confocal microscope (Leica-Microsystems, TCS SP8).

ab195889 Anti-alpha Tubulin mouse monoclonal antibody - Microtubule Marker (Alexa Fluor® 594) was used to counterstain tubulin at 1/ab195889 200 2.5ug/ml dilution (Magenta). The Nuclear counterstain was DAPI (Blue).

Secondary antibody only control : Secondary antibody is ab150081 Goat Anti-Rabbit IgG H&L (Alexa Fluor® 488) preadsorbed at 1/ab150081 1000 2ug/ml dilution.

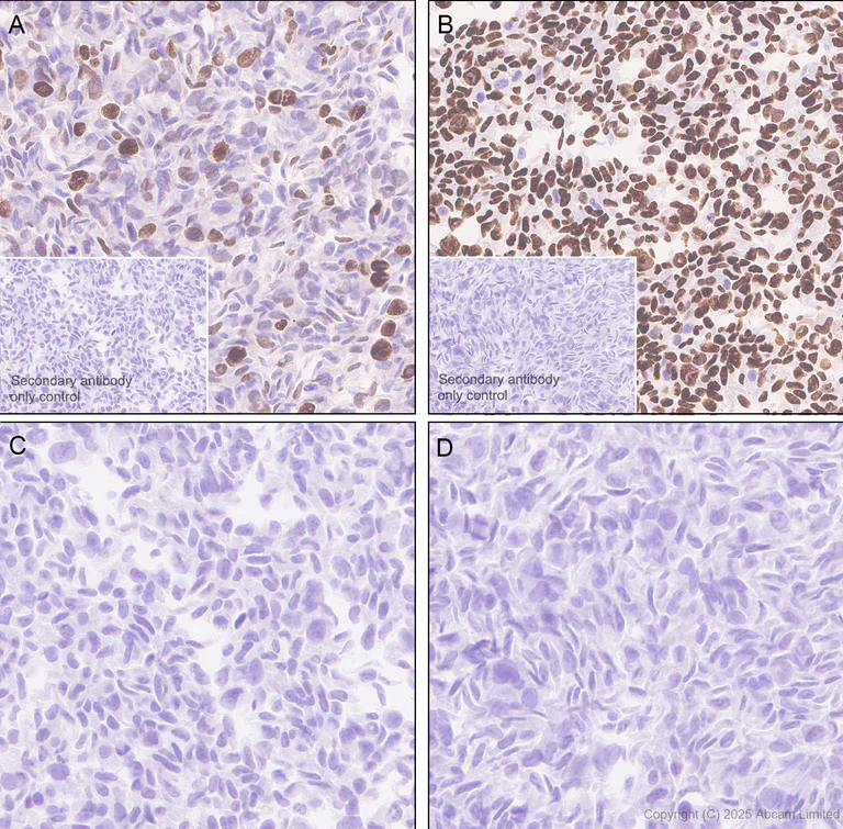
Immunohistochemistry (Formalin/PFA-fixed paraffin-embedded sections) - Anti-IRE1 (phospho S724) antibody [EPR26009-269] (AB324051)
  • IHC-P

Supplier Data

Immunohistochemistry (Formalin/PFA-fixed paraffin-embedded sections) - Anti-IRE1 (phospho S724) antibody [EPR26009-269] (AB324051)

Immunohistochemical analysis of paraffin-embedded (A) Untreated HeLa (human cervical adenocarcinoma epithelial cell) (B) HeLa treated with 10mM DTT for 1 hour (C) Untreated HeLa treated with alkaline phosphatase (D) HeLa treated with 10mM DTT for 1 hour, then treated with alkaline phosphatase tissue labeling IRE1 (phospho S724) with ab324051 at 1/2000 (0.264 ug/ml) dilution, followed by a ready to use LeicaDS9800 (Bond™ Polymer Refine Detection).

Positive staining in (A) untreated HeLa cell pellets, staining was enhanced in (B) HeLa cell pellets treated with 10mM DTT for 1 hour. No staining in all cell pellets after treatment with alkaline phosphatase (C and D).
The section was incubated with ab324051 for 30 mins at room temperature.
The immunostaining was performed on a Leica Biosystems BOND® RX instrument

Counterstained with Hematoxylin.

Secondary antibody only control : Secondary antibody is a ready to use LeicaDS9800 (Bond™ Polymer Refine Detection).

Heat mediated antigen retrieval was performed with Tris-EDTA buffer (pH 9.0, Epitope Retrieval Solution2) for 20 mins

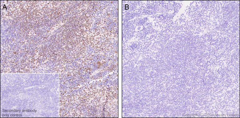
Immunohistochemistry (Formalin/PFA-fixed paraffin-embedded sections) - Anti-IRE1 (phospho S724) antibody [EPR26009-269] (AB324051)
  • IHC-P

Supplier Data

Immunohistochemistry (Formalin/PFA-fixed paraffin-embedded sections) - Anti-IRE1 (phospho S724) antibody [EPR26009-269] (AB324051)

Immunohistochemical analysis of paraffin-embedded Mouse spleen tissue labeling IRE1 (phospho S724) with ab324051 at 1/2000 (0.264 ug/ml) dilution, followed by a ready to use LeicaDS9800 (Bond™ Polymer Refine Detection).

Postive staining on mouse spleen without alkaline phosphatase treatment (A). No signal was detected when tissues were treated with alkaline phosphatase (B).
The section was incubated with ab324051 for 30 mins at room temperature.
The immunostaining was performed on a Leica Biosystems BOND® RX instrument

Counterstained with Hematoxylin.

Secondary antibody only control : Secondary antibody is a ready to use LeicaDS9800 (Bond™ Polymer Refine Detection).

Heat mediated antigen retrieval was performed with Tris-EDTA buffer (pH 9.0, Epitope Retrieval Solution2) for 20 mins

Western blot - Anti-IRE1 (phospho S724) antibody [EPR26009-269] (AB324051)
  • WB

Supplier Data

Western blot - Anti-IRE1 (phospho S724) antibody [EPR26009-269] (AB324051)

Blocking and diluting buffer and concentration : 5% NFDM/TBST.

Extra bands around 37 kDa were observed.

Exposure time : Lane 1, 4 : 3 minutes Lane 2, 3 : 81 seconds

All lanes:

Western blot - Anti-IRE1 (phospho S724) antibody [EPR26009-269] (ab324051) at 1/1000 dilution

Lane 1:

Human cerebellum tissue lysate at 20 µg

Lane 2:

Mouse cerebellum tissue lysate at 20 µg

Lane 3:

SH-SY5Y (human neuroblastoma epithelial cell) whole cell lysate at 20 µg

Lane 4:

Mouse brain tissue lysate at 20 µg

Secondary

All lanes:

Western blot - Goat Anti-Rabbit IgG H&L (HRP) (<a href='/en-us/products/secondary-antibodies/goat-rabbit-igg-h-l-hrp-ab97051'>ab97051</a>) at 1/100000 dilution

Observed band size: 110 kDa

false

Western blot - Anti-IRE1 (phospho S724) antibody [EPR26009-269] (AB324051)
  • WB

Supplier Data

Western blot - Anti-IRE1 (phospho S724) antibody [EPR26009-269] (AB324051)

Blocking and diluting buffer and concentration : 5% NFDM/TBST.

Phosphorylation of IRE1 at S724 can be induced by DTT treatment (PMID : 31453810).

In Western blot, Anti-GAPDH antibody [EPR16891] - Loading Control (ab181602) staining at 1/200000 dilution.

All lanes:

Western blot - Anti-IRE1 (phospho S724) antibody [EPR26009-269] (ab324051) at 1/1000 dilution

Lane 1:

Untreated HeLa (human cervical adenocarcinoma epithelial cell) whole cell lysate (untreated membrane) at 20 µg

Lane 2:

HeLa treated with 10mM DTT for 1 hour whole cell lysate (untreated membrane) at 20 µg

Lane 3:

Untreated HeLa whole cell lysate (alkaline phosphatase treated membrane) at 20 µg

Lane 4:

HeLa treated with 10mM DTT for 1 hour whole cell lysate (alkaline phosphatase treated membrane) at 20 µg

Secondary

All lanes:

Western blot - Goat Anti-Rabbit IgG H&L (HRP) (<a href='/en-us/products/secondary-antibodies/goat-rabbit-igg-h-l-hrp-ab97051'>ab97051</a>) at 1/100000 dilution

Observed band size: 110 kDa,36 kDa

false

Exposure time: 3min

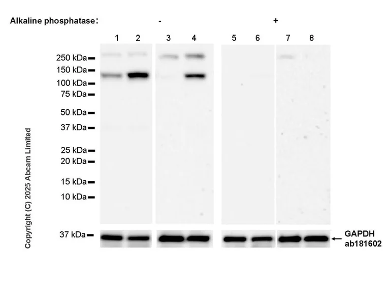
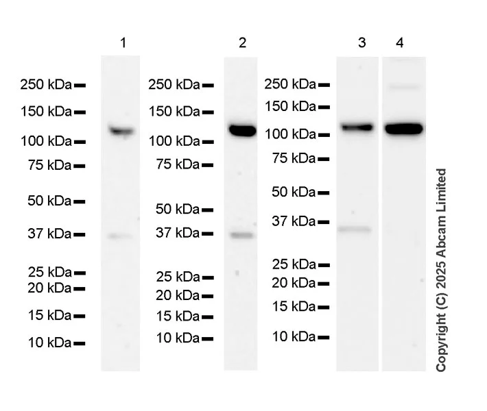
Western blot - Anti-IRE1 (phospho S724) antibody [EPR26009-269] (AB324051)
  • WB

Supplier Data

Western blot - Anti-IRE1 (phospho S724) antibody [EPR26009-269] (AB324051)

Blocking and diluting buffer and concentration : 5% NFDM/TBST.

The band above 250 kDa may be caused by aggregation.

In Western blot, Anti-GAPDH antibody [EPR16891] - Loading Control (ab181602) staining at 1/200000 dilution.

Exposure time : Lane 1, 2, 5, 6 : 26 seconds Lane 3, 4, 7, 8 : 3 minutes

All lanes:

Western blot - Anti-IRE1 (phospho S724) antibody [EPR26009-269] (ab324051) at 1/1000 dilution

Lane 1:

Untreated Neuro-2a (mouse neuroblastoma neuroblast) whole cell lysate (untreated membrane) at 20 µg

Lane 2:

Neuro-2a treated with 10mM DTT for 1 hour whole cell lysate (untreated membrane) at 20 µg

Lane 3:

Untreated RAW 264.7 (mouse Abelson murine leukemia virus-induced tumor macrophage)whole cell lysate (untreated membrane) at 20 µg

Lane 4:

RAW 264.7 treated with 10mM DTT for 1 hour whole cell lysate (untreated membrane) at 20 µg

Lane 5:

Untreated Neuro-2a whole cell lysate (alkaline phosphatase treated membrane) at 20 µg

Lane 6:

Neuro-2a treated with 10mM DTT for 1 hour whole cell lysate (alkaline phosphatase treated membrane) at 20 µg

Lane 7:

Untreated RAW 264.7 (mouse Abelson murine leukemia virus-induced tumor macrophage)whole cell lysate (alkaline phosphatase treated membrane) at 20 µg

Lane 8:

RAW 264.7 treated with 10mM DTT for 1 hour whole cell lysate (alkaline phosphatase treated membrane) at 20 µg

Secondary

All lanes:

Western blot - Goat Anti-Rabbit IgG H&L (HRP) (<a href='/en-us/products/secondary-antibodies/goat-rabbit-igg-h-l-hrp-ab97051'>ab97051</a>) at 1/100000 dilution

Observed band size: 110 kDa,36 kDa

false

Dot Blot - Anti-IRE1 (phospho S724) antibody [EPR26009-269] (AB324051)
  • Dot

Supplier Data

Dot Blot - Anti-IRE1 (phospho S724) antibody [EPR26009-269] (AB324051)

Dot blot analysis of IRE1 (phospho S724) using ab324051 at 1 : 1000 (0.528 ug/ml) followed by a Goat Anti-Rabbit IgG, (H+L), Peroxidase conjugated (ab97051) at 1 : 100,000 dilution.

Lane1 : IRE1 phospho S724 peptide a
Lane2 : IRE1 phospho S724 peptide b
Lane3 : IRE1 non-phospho peptide
Lane4 : IRE1 phospho S724+S726 peptide
Lane5 : IRE1 phospho S726 peptide

Exposure time : 3 minutes.

Blocking and diluting buffer and concentration : 5% NFDM/TBST.

This antibody does cross-activity with IRE1 (phospho S726) at higher concentrations by dot blot.

All lanes:

Dot Blot - Anti-IRE1 (phospho S724) antibody [EPR26009-269] (ab324051) at 1/1000 dilution

Lane 1:

IRE1 phospho S724 peptide a

Lane 2:

IRE1 phospho S724 peptide b

Lane 3:

IRE1 non-phospho peptide

Lane 4:

IRE1 phospho S724+S726 peptide

Lane 5:

IRE1 phospho S726 peptide

Secondary

All lanes:

Dot Blot - Goat Anti-Rabbit IgG H&L (HRP) (<a href='/en-us/products/secondary-antibodies/goat-rabbit-igg-h-l-hrp-ab97051'>ab97051</a>) at 1/100000 dilution

false

Exposure time: 3min

Key facts

Host species

Rabbit

Clonality

Monoclonal

Clone number

EPR26009-269

Isotype

IgG

Carrier free

No

Reacts with

Human, Mouse

Applications

ICC/IF, Dot, IHC-P, WB

applications

Immunogen

The exact immunogen used to generate this antibody is proprietary information.

Specificity

Unsuitable for mouse ICC

Reactivity data

{ "title": "Reactivity Data", "filters": { "stats": ["", "Species", "Dilution Info", "Notes"], "tabs": { "all-applications": {"fullname" : "All Applications", "shortname": "All Applications"}, "Dot" : {"fullname" : "Dot Blot", "shortname":"Dot"}, "ICCIF" : {"fullname" : "Immunocytochemistry/ Immunofluorescence", "shortname":"ICC/IF"}, "IHCP" : {"fullname" : "Immunohistochemistry (Formalin/PFA-fixed paraffin-embedded sections)", "shortname":"IHC-P"}, "WB" : {"fullname" : "Western blot", "shortname":"WB"} }, "product-promise": { "all": "all", "testedAndGuaranteed": "tested", "guaranteed": "expected", "predicted": "predicted", "notRecommended": "not-recommended" } }, "values": { "Human": { "Dot-species-checked": "guaranteed", "Dot-species-dilution-info": "", "Dot-species-notes": "", "ICCIF-species-checked": "testedAndGuaranteed", "ICCIF-species-dilution-info": "1/5000", "ICCIF-species-notes": "<p></p>", "IHCP-species-checked": "testedAndGuaranteed", "IHCP-species-dilution-info": "1/2000", "IHCP-species-notes": "<p></p>", "WB-species-checked": "testedAndGuaranteed", "WB-species-dilution-info": "1/1000", "WB-species-notes": "<p></p>" }, "Mouse": { "Dot-species-checked": "guaranteed", "Dot-species-dilution-info": "", "Dot-species-notes": "", "ICCIF-species-checked": "notRecommended", "ICCIF-species-dilution-info": "", "ICCIF-species-notes": "<p></p>", "IHCP-species-checked": "testedAndGuaranteed", "IHCP-species-dilution-info": "1/2000", "IHCP-species-notes": "<p></p>", "WB-species-checked": "testedAndGuaranteed", "WB-species-dilution-info": "1/1000", "WB-species-notes": "<p></p>" }, "Synthetic peptide": { "Dot-species-checked": "testedAndGuaranteed", "Dot-species-dilution-info": "1/1000", "Dot-species-notes": "<p></p>", "ICCIF-species-checked": "notRecommended", "ICCIF-species-dilution-info": "", "ICCIF-species-notes": "", "IHCP-species-checked": "notRecommended", "IHCP-species-dilution-info": "", "IHCP-species-notes": "", "WB-species-checked": "notRecommended", "WB-species-dilution-info": "", "WB-species-notes": "" } } }

Product details

Patented technology
Our RabMAb® technology is a patented hybridoma-based technology for making rabbit monoclonal antibodies. For details on our patents, please refer to RabMAb® patents.

What are the advantages of a recombinant monoclonal antibody?
This product is a recombinant monoclonal antibody, which offers several advantages including:

  • - High batch-to-batch consistency and reproducibility
  • - Improved sensitivity and specificity
  • - Long-term security of supply
  • - Animal-free batch production

For more information, read more on recombinant antibodies.

Properties and storage information

Form
Liquid
Purification technique
Affinity purification Protein A
Storage buffer
pH: 7.2 - 7.4 Preservative: 0.01% Sodium azide Constituents: PBS, 40% Glycerol (glycerin, glycerine), 0.05% BSA
Shipped at conditions
Blue Ice
Appropriate short-term storage duration
1-2 weeks
Appropriate short-term storage conditions
+4°C
Appropriate long-term storage conditions
-20°C
Aliquoting information
Upon delivery aliquot
Storage information
Avoid freeze / thaw cycle

Product protocols

For this product, it's our understanding that no specific protocols are required. You can visit:

Target data

Serine/threonine-protein kinase and endoribonuclease that acts as a key sensor for the endoplasmic reticulum unfolded protein response (UPR) (PubMed : 11175748, PubMed : 11779464, PubMed : 12637535, PubMed : 19328063, PubMed : 21317875, PubMed : 28128204, PubMed : 30118681, PubMed : 36739529, PubMed : 9637683). In unstressed cells, the endoplasmic reticulum luminal domain is maintained in its inactive monomeric state by binding to the endoplasmic reticulum chaperone HSPA5/BiP (PubMed : 21317875). Accumulation of misfolded proteins in the endoplasmic reticulum causes release of HSPA5/BiP, allowing the luminal domain to homodimerize, promoting autophosphorylation of the kinase domain and subsequent activation of the endoribonuclease activity (PubMed : 21317875). The endoribonuclease activity is specific for XBP1 mRNA and excises 26 nucleotides from XBP1 mRNA (PubMed : 11779464, PubMed : 21317875, PubMed : 24508390). The resulting spliced transcript of XBP1 encodes a transcriptional activator protein that up-regulates expression of UPR target genes (PubMed : 11779464, PubMed : 21317875, PubMed : 24508390). Acts as an upstream signal for ER stress-induced GORASP2-mediated unconventional (ER/Golgi-independent) trafficking of CFTR to cell membrane by modulating the expression and localization of SEC16A (PubMed : 21884936, PubMed : 28067262).
See full target information ERN1 phospho S724

Product promise

We are committed to supporting your work with high-quality reagents, and we're here for you every step of the way. In the unlikely event that one of our products does not perform as expected, you're protected by our Product Promise.
For full details, please see our Terms & Conditions

Please note: All products are 'FOR RESEARCH USE ONLY. NOT FOR USE IN DIAGNOSTIC OR THERAPEUTIC PROCEDURES'.

For licensing inquiries, please contact partnerships@abcam.com