JavaScript is disabled in your browser. Please enable JavaScript to view this website.
AB232861

Anti-IRF1 antibody

Be the first to review this product! Submit a review

|

(5 Publications)

Rabbit Polyclonal IRF1 antibody. Suitable for WB, IHC-P and reacts with Mouse, Human samples. Cited in 5 publications. Immunogen corresponding to Recombinant Fragment Protein within Mouse Irf1 aa 1 to C-terminus.

View Alternative Names

Interferon regulatory factor 1, IRF-1, IRF1

7 Images
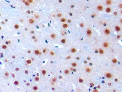
Immunohistochemistry (Formalin/PFA-fixed paraffin-embedded sections) - Anti-IRF1 antibody (AB232861)
  • IHC-P

Supplier Data

Immunohistochemistry (Formalin/PFA-fixed paraffin-embedded sections) - Anti-IRF1 antibody (AB232861)

Paraffin-embedded mouse cerebrum tissue stained for IRF1 with ab232861 at 10 μg/ml in immunohistochemical analysis. DAB staining.

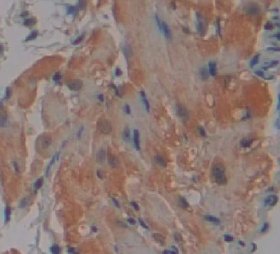
Immunohistochemistry (Formalin/PFA-fixed paraffin-embedded sections) - Anti-IRF1 antibody (AB232861)
  • IHC-P

Supplier Data

Immunohistochemistry (Formalin/PFA-fixed paraffin-embedded sections) - Anti-IRF1 antibody (AB232861)

Formalin-fixed, paraffin-embedded mouse lung tissue stained for IRF1 with ab232861 at 20 μg/ml in immunohistochemical analysis. DAB staining.

Western blot - Anti-IRF1 antibody (AB232861)
  • WB

Supplier Data

Western blot - Anti-IRF1 antibody (AB232861)

All lanes:

Western blot - Anti-IRF1 antibody (ab232861) at 2 µg/mL

All lanes:

Mouse placenta lysate

Predicted band size: 36 kDa

false

Western blot - Anti-IRF1 antibody (AB232861)
  • WB

Supplier Data

Western blot - Anti-IRF1 antibody (AB232861)

All lanes:

Western blot - Anti-IRF1 antibody (ab232861) at 2 µg/mL

All lanes:

Recombinant mouse IRF1 protein

Predicted band size: 36 kDa

false

Western blot - Anti-IRF1 antibody (AB232861)
  • WB

Supplier Data

Western blot - Anti-IRF1 antibody (AB232861)

All lanes:

Western blot - Anti-IRF1 antibody (ab232861) at 2 µg/mL

All lanes:

Jurkat (Human T cell leukemia cell line from peripheral blood) cell lysate

Predicted band size: 36 kDa

false

Western blot - Anti-IRF1 antibody (AB232861)
  • WB

Supplier Data

Western blot - Anti-IRF1 antibody (AB232861)

All lanes:

Western blot - Anti-IRF1 antibody (ab232861) at 2 µg/mL

All lanes:

HeLa (Human epithelial cell line from cervix adenocarcinoma) cell lysate

Predicted band size: 36 kDa

false

Western blot - Anti-IRF1 antibody (AB232861)
  • WB

Supplier Data

Western blot - Anti-IRF1 antibody (AB232861)

All lanes:

Western blot - Anti-IRF1 antibody (ab232861) at 2 µg/mL

All lanes:

Mouse cerebrum lysate

Predicted band size: 36 kDa

false

Key facts

Host species

Rabbit

Clonality

Polyclonal

Isotype

IgG

Carrier free

No

Reacts with

Mouse, Human

Applications

WB, IHC-P

applications

Immunogen

Recombinant Fragment Protein within Mouse Irf1 aa 1 to C-terminus. The exact immunogen used to generate this antibody is proprietary information.

P15314

Reactivity data

{ "title": "Reactivity Data", "filters": { "stats": ["", "Species", "Dilution Info", "Notes"], "tabs": { "all-applications": {"fullname" : "All Applications", "shortname": "All Applications"}, "WB" : {"fullname" : "Western blot", "shortname":"WB"}, "IHCP" : {"fullname" : "Immunohistochemistry (Formalin/PFA-fixed paraffin-embedded sections)", "shortname":"IHC-P"} }, "product-promise": { "all": "all", "testedAndGuaranteed": "tested", "guaranteed": "expected", "predicted": "predicted", "notRecommended": "not-recommended" } }, "values": { "Human": { "WB-species-checked": "testedAndGuaranteed", "WB-species-dilution-info": "0.5-2 µg/mL", "WB-species-notes": "<p></p>", "IHCP-species-checked": "guaranteed", "IHCP-species-dilution-info": "", "IHCP-species-notes": "" }, "Mouse": { "WB-species-checked": "testedAndGuaranteed", "WB-species-dilution-info": "0.5-2 µg/mL", "WB-species-notes": "<p></p>", "IHCP-species-checked": "testedAndGuaranteed", "IHCP-species-dilution-info": "5-20 µg/mL", "IHCP-species-notes": "<p></p>" }, "Rat": { "WB-species-checked": "predicted", "WB-species-dilution-info": "", "WB-species-notes": "", "IHCP-species-checked": "predicted", "IHCP-species-dilution-info": "", "IHCP-species-notes": "" } } }

Properties and storage information

Form
Liquid
Purification technique
Affinity purification Immunogen
Purification notes
ab232861 was purified by antigen-specific affinity chromatography followed by Protein A affinity chromatography.
Storage buffer
pH: 7.4 Preservative: 0.02% Sodium azide Constituents: PBS, 55.77% Glycerol (glycerin, glycerine)
Shipped at conditions
Blue Ice
Appropriate short-term storage duration
1-2 weeks
Appropriate short-term storage conditions
+4°C
Appropriate long-term storage conditions
-20°C
Aliquoting information
Upon delivery aliquot
Storage information
Avoid freeze / thaw cycle

Supplementary information

This supplementary information is collated from multiple sources and compiled automatically.

IRF1 also known as Interferon Regulatory Factor 1 is a transcription factor playing an important role in the regulation of interferon genes. This protein has a molecular weight of approximately 37 kDa. IRF1 is most commonly expressed in the nucleus but can be found elsewhere in the cell depending on the context. It operates by binding specific DNA sequences and influencing the transcription of genes involved in immune response.
Biological function summary

IRF1 influences cell growth arrest apoptosis and immune responses. It acts as an important regulator in the transcription of interferon-alpha and beta genes. IRF1 functions independently and is not generally part of a larger complex although it interacts with other transcription factors to modulate gene expression.

Pathways

IRF1 plays a significant role in both the type I interferon signaling pathway and the NF-kB pathway. These pathways are essential in the body's response to viral infections and inflammation. IRF1 interacts with proteins like STAT1 and NF-kB to initiate and regulate these immune responses effectively coordinating cellular reactions to external stress signals.

IRF1 has associations with cancer and autoimmune diseases. In several cancer types such as gastric cancer IRF1 expression levels can affect tumor suppression and progression. IRF1 also interacts with proteins like P53 in the context of cancer highlighting its role in immune and apoptotic pathways. In autoimmune conditions like multiple sclerosis altered IRF1 activity can impact disease severity and progression often through its interactions with other immune mediators.

Product protocols

For this product, it's our understanding that no specific protocols are required. You can visit:

Target data

Transcriptional regulator which displays a remarkable functional diversity in the regulation of cellular responses (PubMed : 15226432, PubMed : 15509808, PubMed : 17516545, PubMed : 17942705, PubMed : 18497060, PubMed : 19404407, PubMed : 19851330, PubMed : 22367195, PubMed : 32385160). Regulates transcription of IFN and IFN-inducible genes, host response to viral and bacterial infections, regulation of many genes expressed during hematopoiesis, inflammation, immune responses and cell proliferation and differentiation, regulation of the cell cycle and induction of growth arrest and programmed cell death following DNA damage (PubMed : 15226432, PubMed : 15509808, PubMed : 17516545, PubMed : 17942705, PubMed : 18497060, PubMed : 19404407, PubMed : 19851330, PubMed : 22367195). Stimulates both innate and acquired immune responses through the activation of specific target genes and can act as a transcriptional activator and repressor regulating target genes by binding to an interferon-stimulated response element (ISRE) in their promoters (PubMed : 15226432, PubMed : 15509808, PubMed : 17516545, PubMed : 17942705, PubMed : 18497060, PubMed : 19404407, PubMed : 19851330, PubMed : 21389130, PubMed : 22367195). Has an essentail role in IFNG-dependent immunity to mycobacteria (PubMed : 36736301). Competes with the transcriptional repressor ZBED2 for binding to a common consensus sequence in gene promoters (PubMed : 32385160). Its target genes for transcriptional activation activity include : genes involved in anti-viral response, such as IFN-alpha/beta, RIGI, TNFSF10/TRAIL, ZBP1, OAS1/2, PIAS1/GBP, EIF2AK2/PKR and RSAD2/viperin; antibacterial response, such as GBP2, GBP5 and NOS2/INOS; anti-proliferative response, such as p53/TP53, LOX and CDKN1A; apoptosis, such as BBC3/PUMA, CASP1, CASP7 and CASP8; immune response, such as IL7, IL12A/B and IL15, PTGS2/COX2 and CYBB; DNA damage responses and DNA repair, such as POLQ/POLH; MHC class I expression, such as TAP1, PSMB9/LMP2, PSME1/PA28A, PSME2/PA28B and B2M and MHC class II expression, such as CIITA; metabolic enzymes, such as ACOD1/IRG1 (PubMed : 15226432, PubMed : 15509808, PubMed : 17516545, PubMed : 17942705, PubMed : 18497060, PubMed : 19404407, PubMed : 19851330, PubMed : 22367195). Represses genes involved in anti-proliferative response, such as BIRC5/survivin, CCNB1, CCNE1, CDK1, CDK2 and CDK4 and in immune response, such as FOXP3, IL4, ANXA2 and TLR4 (PubMed : 18641303, PubMed : 22200613). Stimulates p53/TP53-dependent transcription through enhanced recruitment of EP300 leading to increased acetylation of p53/TP53 (PubMed : 15509808, PubMed : 18084608). Plays an important role in immune response directly affecting NK maturation and activity, macrophage production of IL12, Th1 development and maturation of CD8+ T-cells (PubMed : 11244049, PubMed : 11846971, PubMed : 11846974, PubMed : 16932750). Also implicated in the differentiation and maturation of dendritic cells and in the suppression of regulatory T (Treg) cells development (PubMed : 11244049, PubMed : 11846971, PubMed : 11846974, PubMed : 16932750). Acts as a tumor suppressor and plays a role not only in antagonism of tumor cell growth but also in stimulating an immune response against tumor cells (PubMed : 20049431).
See full target information IRF1

Publications (5)

Recent publications for all applications. Explore the full list and refine your search

Redox biology 80:103509 PubMed39904190

2025

GAMG alleviates liver fibrosis through inducing ferroptosis in inflammatory macrophages via the IRF1/SLC7A11 signaling pathway.

Applications

Unspecified application

Species

Unspecified reactive species

Qing Pang,Shuai Zhou,Yong Wang,Hongtao Pan,Zhicheng Wang,Xiliang Qin,Chao Zhu,Shilei Chen,Huichun Liu,Xiaosi Hu,Hao Jin

Journal of orthopaedic translation 45:211-225 PubMed38586591

2024

IRF1 governs the expression of SMARCC1 via the GCN5-SETD2 axis and actively engages in the advancement of osteoarthritis.

Applications

Unspecified application

Species

Unspecified reactive species

Dong Wang,Yujun Zhang,Liangping Zhang,Du He,Lan Zhao,Zhimin Miao,Wei Cheng,Chengyue Zhu,Li Zhu,Wei Zhang,Hongting Jin,Hang Zhu,Hao Pan

Heliyon 9:e21616 PubMed38027820

2023

Secreted proteins in plasma and placenta as novel non-invasive biomarkers for intrahepatic cholestasis of pregnancy: A case-control study.

Applications

Unspecified application

Species

Unspecified reactive species

Lingyan Chen,Jingyang Li,Yilan You,Zhiwen Qian,Jiayu Liu,Ying Jiang,Ying Gu,Jianping Xiao,Yan Zhang

International journal of biological sciences 18:995-1007 PubMed35173532

2022

Ascorbic acid induced TET2 enzyme activation enhances cancer immunotherapy efficacy in renal cell carcinoma.

Applications

Unspecified application

Species

Unspecified reactive species

Ding Peng,Anbang He,Shiming He,Guangzhe Ge,Shuo Wang,Weimin Ci,Xuesong Li,Dan Xia,Liqun Zhou

International journal of molecular medicine 47: PubMed33907823

2021

IRF1 regulates the progression of colorectal cancer via interferon‑induced proteins.

Applications

Unspecified application

Species

Unspecified reactive species

Xiaohui Xu,Yong Wu,Ke Yi,Yan Hu,Weiqun Ding,Chungen Xing
View all publications

Product promise

We are committed to supporting your work with high-quality reagents, and we're here for you every step of the way. In the unlikely event that one of our products does not perform as expected, you're protected by our Product Promise.
For full details, please see our Terms & Conditions

Please note: All products are 'FOR RESEARCH USE ONLY. NOT FOR USE IN DIAGNOSTIC OR THERAPEUTIC PROCEDURES'.

For licensing inquiries, please contact partnerships@abcam.com