JavaScript is disabled in your browser. Please enable JavaScript to view this website.
AB243895

Anti-IRF1 antibody [BLR039F]

Be the first to review this product! Submit a review

|

(11 Publications)

Rabbit Recombinant Monoclonal IRF1 antibody. Suitable for IHC-P, ICC, IP, Flow Cyt, WB and reacts with Human samples. Cited in 11 publications. Immunogen corresponding to Synthetic Peptide within Human IRF1 aa 250-300.

View Alternative Names

Interferon regulatory factor 1, IRF-1, IRF1

5 Images
Immunocytochemistry - Anti-IRF1 antibody [BLR039F] (AB243895)
  • ICC

Unknown

Immunocytochemistry - Anti-IRF1 antibody [BLR039F] (AB243895)

Formalin-fixed, paraffin-embedded OVCAR-8 cells labeling IRF1 using ab243895 at 1/250 dilution in ICC analysis. A HRP-conjugated goat-anti rabbit IgG was used as the secondary. DAB staining.

Immunohistochemistry (Formalin/PFA-fixed paraffin-embedded sections) - Anti-IRF1 antibody [BLR039F] (AB243895)
  • IHC-P

Unknown

Immunohistochemistry (Formalin/PFA-fixed paraffin-embedded sections) - Anti-IRF1 antibody [BLR039F] (AB243895)

Formalin-fixed, paraffin-embedded human ovarian carcinoma tissue stained for IRF1 using ab243895 at 1/250 dilution in immunohistochemical analysis. A HRP-conjugated goat anti-rabbit antibody was used as the secondary. DAB staining.

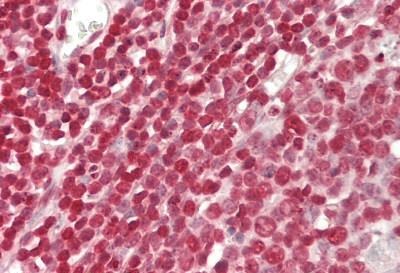
Flow Cytometry - Anti-IRF1 antibody [BLR039F] (AB243895)
  • Flow Cyt

Supplier Data

Flow Cytometry - Anti-IRF1 antibody [BLR039F] (AB243895)

Flow cytometric analysis of 4% formaldehyde and permeabilized with 90% methanol MOLT-4 (Human lymphoblastic leukemia cell line) cells labelling IRF1 with ab243895 at 1μl/106 cells (Red shaded) compared with a Isotype control (unshaded). DyLight® 650-conjugated goat anti-rabbit IgG was used as the secondary antibody.

Immunoprecipitation - Anti-IRF1 antibody [BLR039F] (AB243895)
  • IP

Unknown

Immunoprecipitation - Anti-IRF1 antibody [BLR039F] (AB243895)

IRF1 was immunoprecipitated from 1.0 mg Jurkat (human T cell leukemia cell line from peripheral blood) whole cell lysate with ab243895 at 20 µl per reaction. Western blot was performed on the immunoprecipitate using ab243895 at 1/1000 dilution. Lane 1 : ab243895 IP in Jurkat whole cell lysate.

Lane 2 : Control IgG in Jurkat whole cell lysate.

Detection : Chemiluminescence with an exposure time of 30 seconds.

All lanes:

Immunoprecipitation - Anti-IRF1 antibody [BLR039F] (ab243895)

Predicted band size: 36 kDa

false

Western blot - Anti-IRF1 antibody [BLR039F] (AB243895)
  • WB

Unknown

Western blot - Anti-IRF1 antibody [BLR039F] (AB243895)

Western blot analysis using ab243895 at 1/1000 dilution.

Lane 1 : Jurkat whole cell lysate (50 µg).

Lane 2 : HepG2 whole cell lysate (50 µg).

Lane 3 : HeLA (+ IFN-gamma) whole cell lysate (50 µg).

Lane 4 : HeLa whole cell lysate (50 µg).

Lane 5 : SR whole cell lysate (50 µg).

Lane 6 : MOLT-4 whole cell lysate (50 µg).

Lane 7 : RPMI 8226 whole cell lysate (50 µg).

Lane 8 : KG-1 whole cell lysate (50 µg).

Lane 9 : A549 whole cell lysate (50 µg).

Lane 10 : MCF7 whole cell lysate (50 µg).

A HRP-conjugated goat anti-rabbit IgG antibody was used as the secondary. Detection : chemiluminescence with an exposure time of 3 seconds.

All lanes:

Western blot - Anti-IRF1 antibody [BLR039F] (ab243895)

Predicted band size: 36 kDa

false

Key facts

Host species

Rabbit

Clonality

Monoclonal

Clone number

BLR039F

Isotype

IgG

Carrier free

No

Reacts with

Human

Applications

Flow Cyt, IP, ICC, IHC-P, WB

applications

Immunogen

Synthetic Peptide within Human IRF1 aa 250-300. The exact immunogen used to generate this antibody is proprietary information.

P10914

Reactivity data

{ "title": "Reactivity Data", "filters": { "stats": ["", "Species", "Dilution Info", "Notes"], "tabs": { "all-applications": {"fullname" : "All Applications", "shortname": "All Applications"}, "IHCP" : {"fullname" : "Immunohistochemistry (Formalin/PFA-fixed paraffin-embedded sections)", "shortname":"IHC-P"}, "ICC" : {"fullname" : "Immunocytochemistry", "shortname":"ICC"}, "IP" : {"fullname" : "Immunoprecipitation", "shortname":"IP"}, "FlowCyt" : {"fullname" : "Flow Cytometry", "shortname":"Flow Cyt"}, "WB" : {"fullname" : "Western blot", "shortname":"WB"} }, "product-promise": { "all": "all", "testedAndGuaranteed": "tested", "guaranteed": "expected", "predicted": "predicted", "notRecommended": "not-recommended" } }, "values": { "Human": { "IHCP-species-checked": "testedAndGuaranteed", "IHCP-species-dilution-info": "1/100 - 1/500", "IHCP-species-notes": "<p></p> Perform heat-mediated antigen retrieval with citrate buffer pH 6 before commencing with IHC staining protocol.", "ICC-species-checked": "testedAndGuaranteed", "ICC-species-dilution-info": "1/100 - 1/500", "ICC-species-notes": "<p></p>", "IP-species-checked": "testedAndGuaranteed", "IP-species-dilution-info": "", "IP-species-notes": "<p>Use 20μl/mg lysate.</p>", "FlowCyt-species-checked": "testedAndGuaranteed", "FlowCyt-species-dilution-info": "1 µL for 10^6 Cells", "FlowCyt-species-notes": "<p></p>", "WB-species-checked": "testedAndGuaranteed", "WB-species-dilution-info": "1/1000", "WB-species-notes": "<p></p>" } } }

Product details

REACH authorisation
Abcam has not and does not intend to apply for the REACH Authorisation of customers' uses of products that contain European Authorisation list (Annex XIV) substances.
It is the responsibility of our customers to check the necessity of application of REACH Authorisation, and any other relevant authorisations, for their intended uses.

This product is sold under License from Bethyl Laboratories, Inc.

Properties and storage information

Form
Liquid
Purification notes
Recombinant antibody was purified from cell culture supernatant.
Storage buffer
pH: 7.8 - 8.6 Preservative: 0.09% Sodium azide Constituents: 98% Borate buffered saline, 0.1% BSA
Shipped at conditions
Blue Ice
Appropriate short-term storage duration
1-2 weeks
Appropriate short-term storage conditions
+4°C
Appropriate long-term storage conditions
+4°C
Aliquoting information
Upon delivery aliquot
Storage information
Avoid freeze / thaw cycle

Supplementary information

This supplementary information is collated from multiple sources and compiled automatically.

IRF1 also known as Interferon Regulatory Factor 1 is a transcription factor playing an important role in the regulation of interferon genes. This protein has a molecular weight of approximately 37 kDa. IRF1 is most commonly expressed in the nucleus but can be found elsewhere in the cell depending on the context. It operates by binding specific DNA sequences and influencing the transcription of genes involved in immune response.
Biological function summary

IRF1 influences cell growth arrest apoptosis and immune responses. It acts as an important regulator in the transcription of interferon-alpha and beta genes. IRF1 functions independently and is not generally part of a larger complex although it interacts with other transcription factors to modulate gene expression.

Pathways

IRF1 plays a significant role in both the type I interferon signaling pathway and the NF-kB pathway. These pathways are essential in the body's response to viral infections and inflammation. IRF1 interacts with proteins like STAT1 and NF-kB to initiate and regulate these immune responses effectively coordinating cellular reactions to external stress signals.

IRF1 has associations with cancer and autoimmune diseases. In several cancer types such as gastric cancer IRF1 expression levels can affect tumor suppression and progression. IRF1 also interacts with proteins like P53 in the context of cancer highlighting its role in immune and apoptotic pathways. In autoimmune conditions like multiple sclerosis altered IRF1 activity can impact disease severity and progression often through its interactions with other immune mediators.

Product protocols

For this product, it's our understanding that no specific protocols are required. You can visit:

Target data

Transcriptional regulator which displays a remarkable functional diversity in the regulation of cellular responses (PubMed : 15226432, PubMed : 15509808, PubMed : 17516545, PubMed : 17942705, PubMed : 18497060, PubMed : 19404407, PubMed : 19851330, PubMed : 22367195, PubMed : 32385160). Regulates transcription of IFN and IFN-inducible genes, host response to viral and bacterial infections, regulation of many genes expressed during hematopoiesis, inflammation, immune responses and cell proliferation and differentiation, regulation of the cell cycle and induction of growth arrest and programmed cell death following DNA damage (PubMed : 15226432, PubMed : 15509808, PubMed : 17516545, PubMed : 17942705, PubMed : 18497060, PubMed : 19404407, PubMed : 19851330, PubMed : 22367195). Stimulates both innate and acquired immune responses through the activation of specific target genes and can act as a transcriptional activator and repressor regulating target genes by binding to an interferon-stimulated response element (ISRE) in their promoters (PubMed : 15226432, PubMed : 15509808, PubMed : 17516545, PubMed : 17942705, PubMed : 18497060, PubMed : 19404407, PubMed : 19851330, PubMed : 21389130, PubMed : 22367195). Has an essentail role in IFNG-dependent immunity to mycobacteria (PubMed : 36736301). Competes with the transcriptional repressor ZBED2 for binding to a common consensus sequence in gene promoters (PubMed : 32385160). Its target genes for transcriptional activation activity include : genes involved in anti-viral response, such as IFN-alpha/beta, RIGI, TNFSF10/TRAIL, ZBP1, OAS1/2, PIAS1/GBP, EIF2AK2/PKR and RSAD2/viperin; antibacterial response, such as GBP2, GBP5 and NOS2/INOS; anti-proliferative response, such as p53/TP53, LOX and CDKN1A; apoptosis, such as BBC3/PUMA, CASP1, CASP7 and CASP8; immune response, such as IL7, IL12A/B and IL15, PTGS2/COX2 and CYBB; DNA damage responses and DNA repair, such as POLQ/POLH; MHC class I expression, such as TAP1, PSMB9/LMP2, PSME1/PA28A, PSME2/PA28B and B2M and MHC class II expression, such as CIITA; metabolic enzymes, such as ACOD1/IRG1 (PubMed : 15226432, PubMed : 15509808, PubMed : 17516545, PubMed : 17942705, PubMed : 18497060, PubMed : 19404407, PubMed : 19851330, PubMed : 22367195). Represses genes involved in anti-proliferative response, such as BIRC5/survivin, CCNB1, CCNE1, CDK1, CDK2 and CDK4 and in immune response, such as FOXP3, IL4, ANXA2 and TLR4 (PubMed : 18641303, PubMed : 22200613). Stimulates p53/TP53-dependent transcription through enhanced recruitment of EP300 leading to increased acetylation of p53/TP53 (PubMed : 15509808, PubMed : 18084608). Plays an important role in immune response directly affecting NK maturation and activity, macrophage production of IL12, Th1 development and maturation of CD8+ T-cells (PubMed : 11244049, PubMed : 11846971, PubMed : 11846974, PubMed : 16932750). Also implicated in the differentiation and maturation of dendritic cells and in the suppression of regulatory T (Treg) cells development (PubMed : 11244049, PubMed : 11846971, PubMed : 11846974, PubMed : 16932750). Acts as a tumor suppressor and plays a role not only in antagonism of tumor cell growth but also in stimulating an immune response against tumor cells (PubMed : 20049431).
See full target information IRF1

Publications (11)

Recent publications for all applications. Explore the full list and refine your search

International journal of molecular medicine 56: PubMed41041859

2025

CENPU promotes tumorigenesis and stem cell properties in triple‑negative breast cancer by suppressing lysosomal furin degradation.

Applications

Unspecified application

Species

Unspecified reactive species

Shujuan Sun,Zhenyu Hou,Ling Qiang,Dongdong Zhou

Oncology research 33:1679-1693 PubMed40612868

2025

N6-Methyladenosine Promotes the Transcription of c-Src Kinase via IRF1 to Facilitate the Proliferation of Liver Cancer.

Applications

Unspecified application

Species

Unspecified reactive species

Yanxi Peng,Honggen Yuan,Zhanjie Jiang,Xiaoqing Ou,Qian Zhang,Kexin Yi,Yanbin Meng,Qun Xie

Scientific reports 14:30945 PubMed39730678

2024

CpG hypomethylation at proximal promoter and 5'UTR along with IL6 signaling loop associates with MYD88 upregulation in epithelial ovarian cancer.

Applications

Unspecified application

Species

Unspecified reactive species

Junyang Li,Bingjie Mei,Yi Zhu,Jianmei Huang,Meiying Li,Dengfeng Wang,Jianming Huang,Guonan Zhang

Molecular therapy. Methods & clinical development 32:101316 PubMed39282077

2024

Persistent tailoring of MSC activation through genetic priming.

Applications

Unspecified application

Species

Unspecified reactive species

Michael A Beauregard,Guy C Bedford,Daniel A Brenner,Leonardo D Sanchez Solis,Tomoki Nishiguchi, Abhimanyu,Santiago Carrero Longlax,Barun Mahata,Omid Veiseh,Pamela L Wenzel,Andrew R DiNardo,Isaac B Hilton,Michael R Diehl

iScience 27:110544 PubMed39206147

2024

Proteogenomic characterization of pancreatic neuroendocrine tumors uncovers hypoxia and immune signatures in clinically aggressive subtypes.

Applications

Unspecified application

Species

Unspecified reactive species

Atsushi Tanaka,Makiko Ogawa,Yihua Zhou,Yusuke Otani,Ronald C Hendrickson,Matthew M Miele,Zhuoning Li,David S Klimstra,Julia Y Wang,Michael H Roehrl

Cell reports 43:113810 PubMed38377004

2024

Proteogenomic characterization of primary colorectal cancer and metastatic progression identifies proteome-based subtypes and signatures.

Applications

Unspecified application

Species

Unspecified reactive species

Atsushi Tanaka,Makiko Ogawa,Yihua Zhou,Kei Namba,Ronald C Hendrickson,Matthew M Miele,Zhuoning Li,David S Klimstra,Patrick G Buckley,Jeffrey Gulcher,Julia Y Wang,Michael H A Roehrl

Cancers 15: PubMed36765808

2023

Inhibition of Checkpoint Kinase 1 (CHK1) Upregulates Interferon Regulatory Factor 1 (IRF1) to Promote Apoptosis and Activate Anti-Tumor Immunity via MICA in Hepatocellular Carcinoma (HCC).

Applications

Unspecified application

Species

Unspecified reactive species

Xicai Li,Jingquan Huang,Qiulin Wu,Qiang Du,Yingyu Wang,Yubin Huang,Xiaoyong Cai,David A Geller,Yihe Yan

Oxidative medicine and cellular longevity 2022:8619275 PubMed35979397

2022

Delicaflavone Represses Lung Cancer Growth by Activating Antitumor Immune Response through N6-Methyladenosine Transferases and Oxidative Stress.

Applications

Unspecified application

Species

Unspecified reactive species

Xuewen Wang,Dafen Xu,Bing Chen,Dandan Huang,Zhijun Li,Yuxia Sui,Fei Lin,Hong Yao,Huang Yuan Li,Xinhua Lin

Frontiers in immunology 13:912095 PubMed35958591

2022

ITGB4 Deficiency in Airway Epithelium Aggravates RSV Infection and Increases HDM Sensitivity.

Applications

Unspecified application

Species

Unspecified reactive species

Xizi Du,Lin Yuan,Ye Yao,Yu Yang,Kai Zhou,Xinyu Wu,Leyuan Wang,Ling Qin,Wenkai Li,Yang Xiang,Xiangping Qu,Huijun Liu,Xiaoqun Qin,Ming Yang,Chi Liu

Oncology reports 47: PubMed35322867

2022

IFNγ enhances ferroptosis by increasing JAK‑STAT pathway activation to suppress SLCA711 expression in adrenocortical carcinoma.

Applications

Unspecified application

Species

Unspecified reactive species

Xinbo Yu,Dandan Zhu,Bixian Luo,Wei Kou,Yuling Cheng,Yu Zhu
View all publications

Product promise

We are committed to supporting your work with high-quality reagents, and we're here for you every step of the way. In the unlikely event that one of our products does not perform as expected, you're protected by our Product Promise.
For full details, please see our Terms & Conditions

Please note: All products are 'FOR RESEARCH USE ONLY. NOT FOR USE IN DIAGNOSTIC OR THERAPEUTIC PROCEDURES'.

For licensing inquiries, please contact partnerships@abcam.com